Volume 24, 2018 Supplement 1

08 May 2018 : Clinical Research
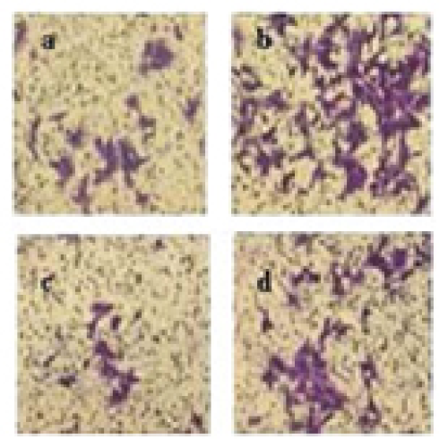
Jinfu’an Decoction Inhibits Invasion and Metastasis in Human Lung Cancer Cells (H1650) via p120ctn-Mediated Induction and Kaiso
Zhe Sun, Yang Cao
DOI: 10.12659/MSM.909748
Med Sci Monit 2018; 24: CLR2878-2886
4,770 13

08 May 2018 : Clinical Research
Jinfu’an Decoction Inhibits Invasion and Metastasis in Human Lung Cancer Cells (H1650) via p120ctn-Mediated Induction and Kaiso
Zhe Sun, Yang Cao
DOI: 10.12659/MSM.909748
Med Sci Monit 2018; 24: CLR2878-2886
4,770 13

08 May 2018 : Clinical Research
Acupuncture Combined with Hydrotherapy in Diabetes Patients with Mild Lower-Extremity Arterial Disease: A Prospective, Randomized, Nonblinded Clinical Study
Zhengqin Qi, Yan Pang
DOI: 10.12659/MSM.909733
Med Sci Monit 2018; 24: CLR2887-2900
6,848 62

08 May 2018 : Clinical Research
Acupuncture Combined with Hydrotherapy in Diabetes Patients with Mild Lower-Extremity Arterial Disease: A Prospective, Randomized, Nonblinded Clinical Study
Zhengqin Qi, Yan Pang
DOI: 10.12659/MSM.909733
Med Sci Monit 2018; 24: CLR2887-2900
6,848 62

08 May 2018 : Clinical Research
Effects of Kanglaite Injection on Serum miRNA-21 in Patients with Advanced Lung Cancer
Yue Wu, Jianbin Zhang
DOI: 10.12659/MSM.909719
Med Sci Monit 2018; 24: CLR2901-2906
4,785 23

08 May 2018 : Clinical Research
Effects of Kanglaite Injection on Serum miRNA-21 in Patients with Advanced Lung Cancer
Yue Wu, Jianbin Zhang
DOI: 10.12659/MSM.909719
Med Sci Monit 2018; 24: CLR2901-2906
4,785 23

08 May 2018 : Clinical Research
Effectiveness of Mild Moxibustion for Sub-Health Conditions in Pre- and Post-Menopausal Women: A Randomized Controlled Clinical Trial
Jie Shen, Bingwei Ai
DOI: 10.12659/MSM.909721
Med Sci Monit 2018; 24: CLR2907-2911
5,755 27

08 May 2018 : Clinical Research
Effectiveness of Mild Moxibustion for Sub-Health Conditions in Pre- and Post-Menopausal Women: A Randomized Controlled Clinical Trial
Jie Shen, Bingwei Ai
DOI: 10.12659/MSM.909721
Med Sci Monit 2018; 24: CLR2907-2911
5,755 27

08 May 2018 : Clinical Research
Clinical Efficacy of Modified Yanghe Decoction in Ankylosing Spondylitis: A Randomized Controlled Trial
Yiquan Wang, Xiaoli Xiao
DOI: 10.12659/MSM.909740
Med Sci Monit 2018; 24: CLR2912-2918
5,466 34

08 May 2018 : Clinical Research
Clinical Efficacy of Modified Yanghe Decoction in Ankylosing Spondylitis: A Randomized Controlled Trial
Yiquan Wang, Xiaoli Xiao
DOI: 10.12659/MSM.909740
Med Sci Monit 2018; 24: CLR2912-2918
5,466 34

08 May 2018 : Clinical Research
Efficacy of Acupuncture Therapy for Chemotherapy-Related Cognitive Impairment in Breast Cancer Patients
Taishan Tong, Chunqin Pei
DOI: 10.12659/MSM.909712
Med Sci Monit 2018; 24: CLR2919-2927
7,919 110

08 May 2018 : Clinical Research
Efficacy of Acupuncture Therapy for Chemotherapy-Related Cognitive Impairment in Breast Cancer Patients
Taishan Tong, Chunqin Pei
DOI: 10.12659/MSM.909712
Med Sci Monit 2018; 24: CLR2919-2927
7,919 110

08 May 2018 : Clinical Research
Clinical Research on the Comprehensive Curative Effect of Acupuncture and Traditional Chinese Medicine for Pelvic Inflammatory Sequelae
Penyuan Mao, Shujie Liu
DOI: 10.12659/MSM.909734
Med Sci Monit 2018; 24: CLR2928-2936
4,691 20

08 May 2018 : Clinical Research
Clinical Research on the Comprehensive Curative Effect of Acupuncture and Traditional Chinese Medicine for Pelvic Inflammatory Sequelae
Penyuan Mao, Shujie Liu
DOI: 10.12659/MSM.909734
Med Sci Monit 2018; 24: CLR2928-2936
4,691 20

08 May 2018 : Clinical Research
Effect of Thunder-Fire Moxibustion on Pain, Quality of Life, and Tension of Multifidus in Patients with Primary Osteoporosis: A Randomized Controlled Trial
Dao-Ming Xu, Huaning Xu
DOI: 10.12659/MSM.909725
Med Sci Monit 2018; 24: CLR2937-2945
6,172 39

08 May 2018 : Clinical Research
Effect of Thunder-Fire Moxibustion on Pain, Quality of Life, and Tension of Multifidus in Patients with Primary Osteoporosis: A Randomized Controlled Trial
Dao-Ming Xu, Huaning Xu
DOI: 10.12659/MSM.909725
Med Sci Monit 2018; 24: CLR2937-2945
6,172 39

08 May 2018 : Meta-Analysis
Efficacy and Safety of Acupuncture for Essential Hypertension: A Meta-Analysis
Hao Chen, Fei-er Shen
DOI: 10.12659/MSM.909995
Med Sci Monit 2018; 24: MTA2946-2969
12,022 217

08 May 2018 : Meta-Analysis
Efficacy and Safety of Acupuncture for Essential Hypertension: A Meta-Analysis
Hao Chen, Fei-er Shen
DOI: 10.12659/MSM.909995
Med Sci Monit 2018; 24: MTA2946-2969
12,022 217

08 May 2018 : Animal Research
Contralateral Electroacupuncture Relieves Chronic Neuropathic Pain in Rats with Spared Nerve Injury
Haolin Zhang, Jungang Sun
DOI: 10.12659/MSM.909741
Med Sci Monit 2018; 24: ANS2970-2974
5,105 19

08 May 2018 : Animal Research
Contralateral Electroacupuncture Relieves Chronic Neuropathic Pain in Rats with Spared Nerve Injury
Haolin Zhang, Jungang Sun
DOI: 10.12659/MSM.909741
Med Sci Monit 2018; 24: ANS2970-2974
5,105 19

08 May 2018 : Animal Research
Sodium Tanshinone IIA Sulfonate Improves Hemodynamic Parameters, Cytokine Release, and Multi-Organ Damage in Endotoxemia Rabbits
Shaolei Ma, Xian Wang
DOI: 10.12659/MSM.909996
Med Sci Monit 2018; 24: ANS2975-2982
4,797 14

08 May 2018 : Animal Research
Sodium Tanshinone IIA Sulfonate Improves Hemodynamic Parameters, Cytokine Release, and Multi-Organ Damage in Endotoxemia Rabbits
Shaolei Ma, Xian Wang
DOI: 10.12659/MSM.909996
Med Sci Monit 2018; 24: ANS2975-2982
4,797 14

08 May 2018 : Laboratory Research
Baicalein Enhances Migration and Invasion of Extravillous Trophoblasts via Activation of the NF-κB Pathway
Jia Liu, Shan-Shan Lv
DOI: 10.12659/MSM.909722
Med Sci Monit 2018; 24: LBR2983-2991
4,857 14

08 May 2018 : Laboratory Research
Baicalein Enhances Migration and Invasion of Extravillous Trophoblasts via Activation of the NF-κB Pathway
Jia Liu, Shan-Shan Lv
DOI: 10.12659/MSM.909722
Med Sci Monit 2018; 24: LBR2983-2991
4,857 14
SARS-CoV-2/COVID-19
29 November 2025 : Clinical Research
Virtual Pet–Assisted Therapy to Alleviate Symptoms of Long COVID: A Prospective Pilot Interventional StudyMed Sci Monit In Press; DOI: 10.12659/MSM.950105
12 November 2025 : Clinical Research
COVID-19 on Elective Surgery Outcomes in a Brazilian Tertiary Hospital: A Retrospective Cohort StudyMed Sci Monit In Press; DOI: 10.12659/MSM.950488
29 October 2025 : Clinical Research
Histopathological Evaluation of the Pericardium in CABG Patients with and without Prior SARS-CoV-2 Infectio...Med Sci Monit In Press; DOI: 10.12659/MSM.950106
01 December 2025 : Editorial
Editorial: COVID-19 Six Years on and Endemic Omicron Variants of SARS-CoV-2 Under Monitoring Now Include NB...Med Sci Monit 2025; 31:e952217
In Press
Clinical Research
A Retrospective Study of the Presentation, Imaging Findings, and Outcomes in 195 Patients with Maxillofacia...Med Sci Monit In Press; DOI: 10.12659/MSM.949933
Clinical Research
Enhanced Eustachian Tube Function and Hearing Recovery with Combined Balloon Dilatation and Tympanic Membra...Med Sci Monit In Press; DOI: 10.12659/MSM.948981
Clinical Research
Virtual Pet–Assisted Therapy to Alleviate Symptoms of Long COVID: A Prospective Pilot Interventional StudyMed Sci Monit In Press; DOI: 10.12659/MSM.950105
Clinical Research
Does Concomitant Biceps Tenotomy Affect Shoulder Proprioception and Strength? A Prospective Intra‑Individua...Med Sci Monit In Press; DOI: 10.12659/MSM.950383
Most Viewed Current Articles
17 Jan 2024 : Review article 10,178,526
Vaccination Guidelines for Pregnant Women: Addressing COVID-19 and the Omicron VariantDOI :10.12659/MSM.942799
Med Sci Monit 2024; 30:e942799
13 Nov 2021 : Clinical Research 3,694,265
Acceptance of COVID-19 Vaccination and Its Associated Factors Among Cancer Patients Attending the Oncology ...DOI :10.12659/MSM.932788
Med Sci Monit 2021; 27:e932788
14 Dec 2022 : Clinical Research 2,335,538
Prevalence and Variability of Allergen-Specific Immunoglobulin E in Patients with Elevated Tryptase LevelsDOI :10.12659/MSM.937990
Med Sci Monit 2022; 28:e937990
16 May 2023 : Clinical Research 706,058
Electrophysiological Testing for an Auditory Processing Disorder and Reading Performance in 54 School Stude...DOI :10.12659/MSM.940387
Med Sci Monit 2023; 29:e940387
