Current Volume 30, 2024 - Page: 6

23 Aug 2024 : Clinical Research
Type D Personality, Stress Levels, and Coping Strategies in Women with Androgenetic Alopecia and Polycystic Ovary Syndrome
Paweł Dybciak
, Dorota Raczkiewicz
DOI: 10.12659/MSM.944746
Med Sci Monit 2024; 30:e944746

23 Aug 2024 : Clinical Research
Type D Personality, Stress Levels, and Coping Strategies in Women with Androgenetic Alopecia and Polycystic Ovary Syndrome
Paweł Dybciak
, Dorota Raczkiewicz
, Ewa Humeniuk
, Julia Helena Gujska
, Krzysztof Suski, Artur Wdowiak
, Iwona Bojar
DOI: 10.12659/MSM.944746
Med Sci Monit 2024; 30:e944746
6,104

22 Aug 2024 : Database Analysis
A Retrospective Study of 290 Patients with Resectable Benign and Malignant Gastric Neoplasms to Compare Postoperative Outcomes of Endoscopic Resection with and without the Internal Traction Method Using a Spring-and-Loop with Clip (S-O Clip)
Yoichi Nakatsu, Makoto Furihata
DOI: 10.12659/MSM.945341
Med Sci Monit 2024; 30:e945341

22 Aug 2024 : Database Analysis
A Retrospective Study of 290 Patients with Resectable Benign and Malignant Gastric Neoplasms to Compare Postoperative Outcomes of Endoscopic Resection with and without the Internal Traction Method Using a Spring-and-Loop with Clip (S-O Clip)
Yoichi Nakatsu, Makoto Furihata, Anna Fujiyama, Arisa Yuzawa, Mako Ushio, Shintaro Yano, Hiroki Okawa, Kumiko Noda, Shinjiro Nishi, Shingo Ogiwara, Tsuneo Kitamura, Naoto Sakamoto, Taro Osada
DOI: 10.12659/MSM.945341
Med Sci Monit 2024; 30:e945341
4,708

21 Aug 2024 : Clinical Research
Enhancing Balance and Strength in Older Adults: The Impact of Pilates and Vibro-Swing Exercises
DoYoo Yoon, JongEun Yim
DOI: 10.12659/MSM.945212
Med Sci Monit 2024; 30:e945212

21 Aug 2024 : Clinical Research
Enhancing Balance and Strength in Older Adults: The Impact of Pilates and Vibro-Swing Exercises
DoYoo Yoon, JongEun Yim
DOI: 10.12659/MSM.945212
Med Sci Monit 2024; 30:e945212
5,697

20 Aug 2024 : Clinical Research
Lower Serum ATG7 Levels Linked to Insulin Resistance in Women with Polycystic Ovary Syndrome
Ling Lu, Baohua Wu
DOI: 10.12659/MSM.944556
Med Sci Monit 2024; 30:e944556

20 Aug 2024 : Clinical Research
Lower Serum ATG7 Levels Linked to Insulin Resistance in Women with Polycystic Ovary Syndrome
Ling Lu, Baohua Wu, Cong Peng, Wei Zhang, Yutai Zhao, Chaolin Huang, Yingfei Long
DOI: 10.12659/MSM.944556
Med Sci Monit 2024; 30:e944556
4,591

19 Aug 2024 : Clinical Research
Comparative Analysis of Complications Following Distal Resections for Neuroendocrine Tumors and Adenocarcinoma: Unveiling the Differences
DOI: 10.12659/MSM.943307
Med Sci Monit 2024; 30:e943307

19 Aug 2024 : Clinical Research
Comparative Analysis of Complications Following Distal Resections for Neuroendocrine Tumors and Adenocarcinoma: Unveiling the Differences
Bartosz Molasy
, Patryk Zemła
, Sławomir Mrowiec
, Piotr Czopek
, Katarzyna Kuśnierz
DOI: 10.12659/MSM.943307
Med Sci Monit 2024; 30:e943307
4,033

18 Aug 2024 : Review article
Optimizing Mesenchymal Stem Cells for Regenerative Medicine: Influence of Diabetes, Obesity, Autoimmune, and Inflammatory Conditions on Therapeutic Efficacy: A Review
Dominika Przywara, Alicja Petniak
DOI: 10.12659/MSM.945331
Med Sci Monit 2024; 30:e945331

18 Aug 2024 : Review article
Optimizing Mesenchymal Stem Cells for Regenerative Medicine: Influence of Diabetes, Obesity, Autoimmune, and Inflammatory Conditions on Therapeutic Efficacy: A Review
Dominika Przywara, Alicja Petniak
, Paulina Gil-Kulik
DOI: 10.12659/MSM.945331
Med Sci Monit 2024; 30:e945331
6,407

17 Aug 2024 : Clinical Research
Oxidative and Antioxidative Biomarker Profiles in Neonatal Hypoxic-Ischemic Encephalopathy: Insights for Pathophysiology and Treatment Strategies
Nur Aycan, Derya Çay Demir
DOI: 10.12659/MSM.945045
Med Sci Monit 2024; 30:e945045

17 Aug 2024 : Clinical Research
Oxidative and Antioxidative Biomarker Profiles in Neonatal Hypoxic-Ischemic Encephalopathy: Insights for Pathophysiology and Treatment Strategies
Nur Aycan, Derya Çay Demir, Eyyüp Yürektürk, Murat Başaranoğlu, Serap Karaman, Oğuz Tuncer
DOI: 10.12659/MSM.945045
Med Sci Monit 2024; 30:e945045
4,997

16 Aug 2024 : Database Analysis
Comparative Efficacy of Medium and Soft Toothbrushes in Plaque Removal and Gingivitis Control
Manea Musa M. Alahmari,
DOI: 10.12659/MSM.945395
Med Sci Monit 2024; 30:e945395

16 Aug 2024 : Database Analysis
Comparative Efficacy of Medium and Soft Toothbrushes in Plaque Removal and Gingivitis Control
Manea Musa M. Alahmari
DOI: 10.12659/MSM.945395
Med Sci Monit 2024; 30:e945395
5,243

15 Aug 2024 : Review article
The Critical Role of Community Pharmacists in Blood Pressure Monitoring
Magdalena Waszyk-Nowaczyk
, Magdalena Jasińska-Stroschein
DOI: 10.12659/MSM.944657
Med Sci Monit 2024; 30:e944657

15 Aug 2024 : Review article
The Critical Role of Community Pharmacists in Blood Pressure Monitoring
Magdalena Waszyk-Nowaczyk
, Magdalena Jasińska-Stroschein
, Justyna Dymek
, Mariola Drozd
, Olga Sierpniowska
, Agnieszka Stankiewicz, Artur Jędra, Maciej Banach, Marek Gierlotka
, Piotr Jankowski
, Adam Windak
, Tadeusz Osadnik
, Tomasz Tomasik
, Jacek Wolf
, Weronika Guzenda
, Łukasz Stryczyński
, Jacek Jóźwiak
DOI: 10.12659/MSM.944657
Med Sci Monit 2024; 30:e944657
7,415

14 Aug 2024 : Clinical Research
Enhancing Facial Filler Training with 3D-Printed Models: A Prospective Observational Study on Medical Student Competence
Alper Tabaru
, Zeliha Kapusuz Gencer
DOI: 10.12659/MSM.945074
Med Sci Monit 2024; 30:e945074

14 Aug 2024 : Clinical Research
Enhancing Facial Filler Training with 3D-Printed Models: A Prospective Observational Study on Medical Student Competence
Alper Tabaru
, Zeliha Kapusuz Gencer
, Şahin Öğreden
, Salih Akyel
, Özlem Özum
, İskender Bayram
DOI: 10.12659/MSM.945074
Med Sci Monit 2024; 30:e945074
4,067

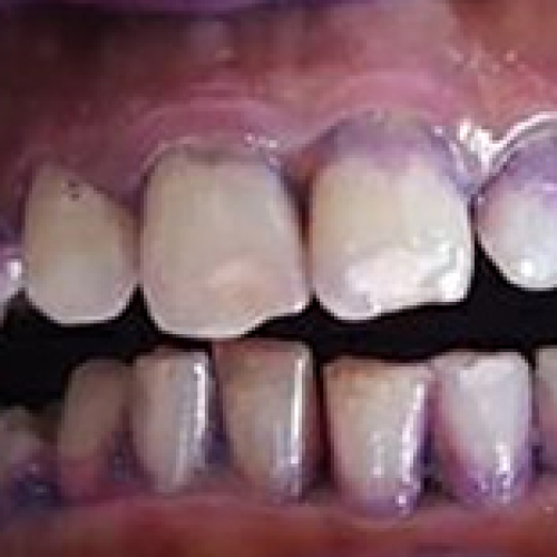
13 Aug 2024 : Laboratory Research
Effects of Artificial Aging of Direct Resin Nano-Hybrid Composite on Mean Bond Strength Values for Veneer Ceramic Samples
Hafiz Adawi, Kulashekar Nandalur Reddy
DOI: 10.12659/MSM.945243
Med Sci Monit 2024; 30:e945243

13 Aug 2024 : Laboratory Research
Effects of Artificial Aging of Direct Resin Nano-Hybrid Composite on Mean Bond Strength Values for Veneer Ceramic Samples
Hafiz Adawi, Kulashekar Nandalur Reddy, Khurshid Mattoo, Naif Najmi, Majid Arishi, Abdullah Ageeli, Abdullah Bahri, Shafait Ullah Khateeb, Shan Sainudeen, Suheel Manzoor Baba, Mashail M.M. Hamid, Shahi Jahan Shah, Sumaya Yousuf Jeri
DOI: 10.12659/MSM.945243
Med Sci Monit 2024; 30:e945243
4,788

12 Aug 2024 : Clinical Research
Individualized Design Application of 3-Dimensional Printing Navigational Template for Pedicle Screw Installation: A Training Case Report
Matthew Jianqiao Peng, Ze Lin
DOI: 10.12659/MSM.941715
Med Sci Monit 2024; 30:e941715

12 Aug 2024 : Clinical Research
Individualized Design Application of 3-Dimensional Printing Navigational Template for Pedicle Screw Installation: A Training Case Report
Matthew Jianqiao Peng, Ze Lin, Erxing He
DOI: 10.12659/MSM.941715
Med Sci Monit 2024; 30:e941715
4,891

11 Aug 2024 : Clinical Research
A Retrospctive Study of 377 Patients Admitted as an Emergency with Crush Syndrome After the Türkiye-Syria Earthquakes
Nazli Görmeli Kurt
, Fatma Elmas Akgün
DOI: 10.12659/MSM.945100
Med Sci Monit 2024; 30:e945100

11 Aug 2024 : Clinical Research
A Retrospctive Study of 377 Patients Admitted as an Emergency with Crush Syndrome After the Türkiye-Syria Earthquakes
Nazli Görmeli Kurt
, Fatma Elmas Akgün
, Reyhan İrem Mutlu
, Merve Unutmaz
, Melih Çamcı
DOI: 10.12659/MSM.945100
Med Sci Monit 2024; 30:e945100
4,769

10 Aug 2024 : Database Analysis
Machine Learning and Clinical Predictors of Mortality in Cardiac Arrest Patients: A Comprehensive Analysis
Łukasz Lewandowski
, Michał Czapla
DOI: 10.12659/MSM.944408
Med Sci Monit 2024; 30:e944408

10 Aug 2024 : Database Analysis
Machine Learning and Clinical Predictors of Mortality in Cardiac Arrest Patients: A Comprehensive Analysis
Łukasz Lewandowski
, Michał Czapla
, Izabella Uchmanowicz
, Grzegorz Kubielas
, Stanisław Zieliński
, Małgorzata Krzystek-Korpacka
, Catherine Ross
, Raúl Juárez-Vela
, Marzena Zielińska
DOI: 10.12659/MSM.944408
Med Sci Monit 2024; 30:e944408
5,703

09 Aug 2024 : Clinical Research
Comparison of the Effects of Compound Training, Plyometric Exercises, and Kettlebell Exercises on Strength, Power, Dynamic Balance, and Pitched Ball Velocity in 30 Male High School Baseball Pitchers Aged 16-19 Years
JeongHun Kim, Hatem Jaber
DOI: 10.12659/MSM.944623
Med Sci Monit 2024; 30:e944623

09 Aug 2024 : Clinical Research
Comparison of the Effects of Compound Training, Plyometric Exercises, and Kettlebell Exercises on Strength, Power, Dynamic Balance, and Pitched Ball Velocity in 30 Male High School Baseball Pitchers Aged 16-19 Years
JeongHun Kim, Hatem Jaber, JongEun Yim
DOI: 10.12659/MSM.944623
Med Sci Monit 2024; 30:e944623
8,409

08 Aug 2024 : Clinical Research
Comprehensive Analysis of Mandibular First Molar Root and Canal Morphology in Saudi Patients Using Cone Beam Computed Tomography (CBCT)
Mey A. Al-Habib
, Sara Almarzouki
DOI: 10.12659/MSM.945364
Med Sci Monit 2024; 30:e945364

08 Aug 2024 : Clinical Research
Comprehensive Analysis of Mandibular First Molar Root and Canal Morphology in Saudi Patients Using Cone Beam Computed Tomography (CBCT)
Mey A. Al-Habib
, Sara Almarzouki, Mona Alsulaiman, Loai Alsofi
DOI: 10.12659/MSM.945364
Med Sci Monit 2024; 30:e945364
5,785

07 Aug 2024 : Clinical Research
Arthroscopic Repair of Extruded Meniscus Tears: Impact on Symptom Relief and Functional Improvement – A 2-Year Follow-Up Study
DOI: 10.12659/MSM.945003
Med Sci Monit 2024; 30:e945003

07 Aug 2024 : Clinical Research
Arthroscopic Repair of Extruded Meniscus Tears: Impact on Symptom Relief and Functional Improvement – A 2-Year Follow-Up Study
Ugur Tiftikci
, Zafer Gunes
, Ahmet Gunay Adam
, Kaan Aksoy
, Eralp Erdogan
DOI: 10.12659/MSM.945003
Med Sci Monit 2024; 30:e945003
4,233

06 Aug 2024 : Meta-Analysis
Quality of Root Canal Fillings and Procedural Errors for In Vivo Studies Prepared in Different Clinical Settings and with Rotary Systems: A Systematic Review
Raid Abdullah Almnea, Yasser M. Al-Qahtani
DOI: 10.12659/MSM.945225
Med Sci Monit 2024; 30:e945225

06 Aug 2024 : Meta-Analysis
Quality of Root Canal Fillings and Procedural Errors for In Vivo Studies Prepared in Different Clinical Settings and with Rotary Systems: A Systematic Review
Raid Abdullah Almnea, Yasser M. Al-Qahtani, Abdullatif A. Albinali, Abdulrahman Abdullah Aldhbaan, Waleed Abdullah Omar, Raed Hassan Dahman, Mishari Mohammed Almalki, Ahmad Awadh AlMohy, Yahya Hady Yahya Mohammed, Ahmad Yahya Abdullah Mousa, Mohammed M. Al Moaleem
DOI: 10.12659/MSM.945225
Med Sci Monit 2024; 30:e945225
5,376

05 Aug 2024 : Clinical Research
Preoperative Thyroid-Stimulating Hormone Levels and Three-Year Mortality in Elderly Hip Fracture Patients: Insights from a Prospective Cohort Study
DOI: 10.12659/MSM.944465
Med Sci Monit 2024; 30:e944465

05 Aug 2024 : Clinical Research
Preoperative Thyroid-Stimulating Hormone Levels and Three-Year Mortality in Elderly Hip Fracture Patients: Insights from a Prospective Cohort Study
Yimin Chen
, Chao Tu, Gang Liu, Mingjian Bei, Jing Zhang, Zhelun Tan, Yufeng Ge, Weidong Peng, Feng Gao
, Maoyi Tian, Minghui Yang, Xinbao Wu
DOI: 10.12659/MSM.944465
Med Sci Monit 2024; 30:e944465
6,413

04 Aug 2024 : Clinical Research
Efficacy Comparison of Osteopathic Muscle Energy Techniques and Cervical Mobilization on Pain, Disability, and Proprioception in Cervical Spondylosis Patients
DOI: 10.12659/MSM.945149
Med Sci Monit 2024; 30:e945149

04 Aug 2024 : Clinical Research
Efficacy Comparison of Osteopathic Muscle Energy Techniques and Cervical Mobilization on Pain, Disability, and Proprioception in Cervical Spondylosis Patients
DOI: 10.12659/MSM.945149
Med Sci Monit 2024; 30:e945149
11,188

03 Aug 2024 : Database Analysis
Psychological Impact of Bladder Cancer: Insights from 219 Patients and Caregivers in Indonesia Using DASS-21 (2019-2023)
Wahjoe Djatisoesanto
, Yufi Aulia Azmi
DOI: 10.12659/MSM.945272
Med Sci Monit 2024; 30:e945272

03 Aug 2024 : Database Analysis
Psychological Impact of Bladder Cancer: Insights from 219 Patients and Caregivers in Indonesia Using DASS-21 (2019-2023)
Wahjoe Djatisoesanto
, Yufi Aulia Azmi
, Ida Bagus Gde Tirta Yoga Yatindra
DOI: 10.12659/MSM.945272
Med Sci Monit 2024; 30:e945272
5,417

02 Aug 2024 : Clinical Research
Transradial and Transfemoral Approaches for Vertebral Artery Stenting: A Single-Center, Prospective, Non-Inferiority Comparison
Yi Lv, Changyang Zhong
DOI: 10.12659/MSM.944183
Med Sci Monit 2024; 30:e944183

02 Aug 2024 : Clinical Research
Transradial and Transfemoral Approaches for Vertebral Artery Stenting: A Single-Center, Prospective, Non-Inferiority Comparison
Yi Lv, Changyang Zhong, Cong Wu, Chunli Wu, Yuan Liu
DOI: 10.12659/MSM.944183
Med Sci Monit 2024; 30:e944183
6,221

01 Aug 2024 : Editorial
Editorial: Genome Editing Goes Beyond CRISPR with the Emergence of ‘Bridge’ RNA Editing
Dinah V. Parums,
DOI: 10.12659/MSM.945933
Med Sci Monit 2024; 30:e945933

01 Aug 2024 : Editorial
Editorial: Genome Editing Goes Beyond CRISPR with the Emergence of ‘Bridge’ RNA Editing
Dinah V. Parums
DOI: 10.12659/MSM.945933
Med Sci Monit 2024; 30:e945933
7,031

01 Aug 2024 : Clinical Research
Endo-Perio Lesions and Dentists’ Treatment Approach: A Survey
Parla Meva Durmazpınar
, Burcu Kanmaz
DOI: 10.12659/MSM.942544
Med Sci Monit 2024; 30:e942544

01 Aug 2024 : Clinical Research
Endo-Perio Lesions and Dentists’ Treatment Approach: A Survey
Parla Meva Durmazpınar
, Burcu Kanmaz, Nurcan Buduneli
DOI: 10.12659/MSM.942544
Med Sci Monit 2024; 30:e942544
5,595

31 Jul 2024 : Clinical Research
Blood Pressure Trends, Demographic Data, Workload, and Lifestyle Factors Among Nurses in the Subcarpathian Region of Poland: A Cross-Sectional Observational Study
Anna Bartosiewicz
, Edyta Łuszczki
DOI: 10.12659/MSM.945148
Med Sci Monit 2024; 30:e945148

31 Jul 2024 : Clinical Research
Blood Pressure Trends, Demographic Data, Workload, and Lifestyle Factors Among Nurses in the Subcarpathian Region of Poland: A Cross-Sectional Observational Study
Anna Bartosiewicz
, Edyta Łuszczki
, Marta Pieczonka, Justyna Nowak, Łukasz Oleksy
, Artur Stolarczyk
, Anna Lewandowska, Agnieszka Dymek
DOI: 10.12659/MSM.945148
Med Sci Monit 2024; 30:e945148
4,919
Editorial
01 December 2025 : Editorial
Editorial: COVID-19 Six Years on and Endemic Omicron Variants of SARS-CoV-2 Under Monitoring Now Include NB.1.8.1 (Nimbus) and XFG (Stratus)DOI: 10.12659/MSM.952217
Med Sci Monit 2025; 31:e952217
In Press
Clinical Research
A Retrospective Study of the Presentation, Imaging Findings, and Outcomes in 195 Patients with Maxillofacia...Med Sci Monit In Press; DOI: 10.12659/MSM.949933
Clinical Research
Enhanced Eustachian Tube Function and Hearing Recovery with Combined Balloon Dilatation and Tympanic Membra...Med Sci Monit In Press; DOI: 10.12659/MSM.948981
Clinical Research
Virtual Pet–Assisted Therapy to Alleviate Symptoms of Long COVID: A Prospective Pilot Interventional StudyMed Sci Monit In Press; DOI: 10.12659/MSM.950105
Clinical Research
Does Concomitant Biceps Tenotomy Affect Shoulder Proprioception and Strength? A Prospective Intra‑Individua...Med Sci Monit In Press; DOI: 10.12659/MSM.950383
Most Viewed Current Articles
17 Jan 2024 : Review article 10,178,526
Vaccination Guidelines for Pregnant Women: Addressing COVID-19 and the Omicron VariantDOI :10.12659/MSM.942799
Med Sci Monit 2024; 30:e942799
13 Nov 2021 : Clinical Research 3,694,265
Acceptance of COVID-19 Vaccination and Its Associated Factors Among Cancer Patients Attending the Oncology ...DOI :10.12659/MSM.932788
Med Sci Monit 2021; 27:e932788
14 Dec 2022 : Clinical Research 2,335,538
Prevalence and Variability of Allergen-Specific Immunoglobulin E in Patients with Elevated Tryptase LevelsDOI :10.12659/MSM.937990
Med Sci Monit 2022; 28:e937990
16 May 2023 : Clinical Research 706,058
Electrophysiological Testing for an Auditory Processing Disorder and Reading Performance in 54 School Stude...DOI :10.12659/MSM.940387
Med Sci Monit 2023; 29:e940387
