Current Volume 30, 2024 - Page: 2

05 Dec 2024 : Clinical Research
Impact of Comprehensive Preoperative Assessments on Gynecological Ambulatory Surgery Outcomes in a Chinese Hospital
Lu Bai, Yan Huang
DOI: 10.12659/MSM.945771
Med Sci Monit 2024; 30:e945771

05 Dec 2024 : Clinical Research
Impact of Comprehensive Preoperative Assessments on Gynecological Ambulatory Surgery Outcomes in a Chinese Hospital
Lu Bai, Yan Huang, Chuanya Huang, Xin Tan
DOI: 10.12659/MSM.945771
Med Sci Monit 2024; 30:e945771
3,075

04 Dec 2024 : Clinical Research
Cost Reduction in Blood Transfusions After Implementation of Decision Protocol Based on Hemoglobin and Anemia Symptoms: A Pre-Post Analysis
DOI: 10.12659/MSM.945854
Med Sci Monit 2024; 30:e945854

04 Dec 2024 : Clinical Research
Cost Reduction in Blood Transfusions After Implementation of Decision Protocol Based on Hemoglobin and Anemia Symptoms: A Pre-Post Analysis
Piotr F. Czempik
, Jan Herzyk
, Dawid Wilczek
, Anna Rogalska
DOI: 10.12659/MSM.945854
Med Sci Monit 2024; 30:e945854
4,304

03 Dec 2024 : Clinical Research
Machine Learning Models for Predicting 24-Hour Intraocular Pressure Changes: A Comparative Study
Chen Ranran, Lei Jinming
DOI: 10.12659/MSM.945483
Med Sci Monit 2024; 30:e945483

03 Dec 2024 : Clinical Research
Machine Learning Models for Predicting 24-Hour Intraocular Pressure Changes: A Comparative Study
Chen Ranran, Lei Jinming, Liao Yujie, Jin Yiping, Wang Xue, Li Hong, Bi Yanlong, Zhu Haohao
DOI: 10.12659/MSM.945483
Med Sci Monit 2024; 30:e945483
3,761

02 Dec 2024 : Review article
A Review of Muscle Relaxants in Anesthesia in Patients with Neuromuscular Disorders Including Guillain-Barré Syndrome, Myasthenia Gravis, Duchenne Muscular Dystrophy, Charcot-Marie-Tooth Disease, and Inflammatory Myopathies
Paweł Radkowski
, Hubert Oniszczuk
DOI: 10.12659/MSM.945675
Med Sci Monit 2024; 30:e945675

02 Dec 2024 : Review article
A Review of Muscle Relaxants in Anesthesia in Patients with Neuromuscular Disorders Including Guillain-Barré Syndrome, Myasthenia Gravis, Duchenne Muscular Dystrophy, Charcot-Marie-Tooth Disease, and Inflammatory Myopathies
Paweł Radkowski
, Hubert Oniszczuk
, Justyna Opolska
, Iwona Podlińska
, Mateusz Pawluczuk
, Dariusz Onichimowski
DOI: 10.12659/MSM.945675
Med Sci Monit 2024; 30:e945675
8,037

01 Dec 2024 : Editorial
Editorial: The 2024 Revision of the Declaration of Helsinki and its Continued Role as a Code of Ethics to Guide Medical Research
Dinah V. Parums,
DOI: 10.12659/MSM.947428
Med Sci Monit 2024; 30:e947428

01 Dec 2024 : Editorial
Editorial: The 2024 Revision of the Declaration of Helsinki and its Continued Role as a Code of Ethics to Guide Medical Research
Dinah V. Parums
DOI: 10.12659/MSM.947428
Med Sci Monit 2024; 30:e947428
8,738

01 Dec 2024 : Clinical Research
Rituximab use in Rheumatoid Arthritis: A Seven-Year Retrospective Study of 52 Patients at a Saudi Arabian Hospital
Sumayah Sulaiman Bafana, Fahidah Alenzi
DOI: 10.12659/MSM.946178
Med Sci Monit 2024; 30:e946178

01 Dec 2024 : Clinical Research
Rituximab use in Rheumatoid Arthritis: A Seven-Year Retrospective Study of 52 Patients at a Saudi Arabian Hospital
Sumayah Sulaiman Bafana, Fahidah Alenzi
, Ibrahim Almaghlouth, Eman Alqurtas
, Mohammed K. Bedaiwi, Haya M. M. Almalag
, Mohammed A. Omair
DOI: 10.12659/MSM.946178
Med Sci Monit 2024; 30:e946178
4,482

30 Nov 2024 : Review article
Role of Sleep in Depressive Disorders and the Potential Therapeutic Role of Short-Term Sleep Deprivation and Light Therapy: A Review
Wiktoria Bojarska
, Karolina Bury
DOI: 10.12659/MSM.945319
Med Sci Monit 2024; 30:e945319

30 Nov 2024 : Review article
Role of Sleep in Depressive Disorders and the Potential Therapeutic Role of Short-Term Sleep Deprivation and Light Therapy: A Review
Wiktoria Bojarska
, Karolina Bury
, Radosław Januszczak
, Bartosz Burda
, Justyna Pawęzka
DOI: 10.12659/MSM.945319
Med Sci Monit 2024; 30:e945319
8,072

29 Nov 2024 : Clinical Research
Effects of Nutritional Protocol Changes on Hemodialysis Adequacy and Patient Health During the COVID-19 Pandemic
Cebrail Karaca
, Safak Mirioglu
DOI: 10.12659/MSM.946471
Med Sci Monit 2024; 30:e946471

29 Nov 2024 : Clinical Research
Effects of Nutritional Protocol Changes on Hemodialysis Adequacy and Patient Health During the COVID-19 Pandemic
Cebrail Karaca
, Safak Mirioglu
, Aydan Mutis Alan
, Saadet Usakli
, Beyza Nur Aydin Keskin
, Mehmet Erdem
, Ahmet Murt
, Mevlut Tamer Dincer
, Nurhan Seyahi
, Sinan Trabulus
DOI: 10.12659/MSM.946471
Med Sci Monit 2024; 30:e946471
4,201

28 Nov 2024 : Review article
Enhanced Diagnostic Imaging: Arrival-Time Parametric Imaging in Contrast-Enhanced Ultrasound for Multi-Organ Assessment
Nan Jiang, Jun-Ying Cao
DOI: 10.12659/MSM.945281
Med Sci Monit 2024; 30:e945281

28 Nov 2024 : Review article
Enhanced Diagnostic Imaging: Arrival-Time Parametric Imaging in Contrast-Enhanced Ultrasound for Multi-Organ Assessment
Nan Jiang, Jun-Ying Cao, Zhuang Jin, Tian-Qi Yu, Shu-Ting Chen, Yun Zhang
DOI: 10.12659/MSM.945281
Med Sci Monit 2024; 30:e945281
3,992

27 Nov 2024 : Clinical Research
Evaluation of Cardiometabolic Risk in Patients with Non-Functioning Adrenal Adenomas Using the Systematic Coronary Risk Evaluation 2 (SCORE2) and the Systematic Coronary Risk Evaluation 2-Older Persons (SCORE2-OP) Algorithms
Marzena Jabczyk
, Justyna Nowak
DOI: 10.12659/MSM.945899
Med Sci Monit 2024; 30:e945899

27 Nov 2024 : Clinical Research
Evaluation of Cardiometabolic Risk in Patients with Non-Functioning Adrenal Adenomas Using the Systematic Coronary Risk Evaluation 2 (SCORE2) and the Systematic Coronary Risk Evaluation 2-Older Persons (SCORE2-OP) Algorithms
Marzena Jabczyk
, Justyna Nowak
, Sylwia Mielcarska
, Bartosz Hudzik
, Kinga Wołkowska-Pokrywa
, Elżbieta Świętochowska
, Barbara Zubelewicz-Szkodzińska
DOI: 10.12659/MSM.945899
Med Sci Monit 2024; 30:e945899
3,944

26 Nov 2024 : Clinical Research
Sarcopenia's Role in Neoadjuvant Chemotherapy Outcomes for Locally Advanced Breast Cancer: A Retrospective Analysis
Mustafa Karaca, Mustafa Serkan Alemdar
DOI: 10.12659/MSM.945240
Med Sci Monit 2024; 30:e945240

26 Nov 2024 : Clinical Research
Sarcopenia's Role in Neoadjuvant Chemotherapy Outcomes for Locally Advanced Breast Cancer: A Retrospective Analysis
Mustafa Karaca, Mustafa Serkan Alemdar, Özge Deniz Karaca, Yıldız Kılar, Gökhan Köker, Hasan Sözel, Mustafa Yıldız, Gülhan Özçelik Köker, Mustafa Özgür Arici
DOI: 10.12659/MSM.945240
Med Sci Monit 2024; 30:e945240
5,384

25 Nov 2024 : Clinical Research
Efficacy and Safety of Direct Oral Anticoagulants After Mechanical Thrombectomy in Venous Thromboembolism: A Comparative Study of 55 Patients
Wei-Chieh Lee, Chon-Seng Hong
DOI: 10.12659/MSM.946362
Med Sci Monit 2024; 30:e946362

25 Nov 2024 : Clinical Research
Efficacy and Safety of Direct Oral Anticoagulants After Mechanical Thrombectomy in Venous Thromboembolism: A Comparative Study of 55 Patients
Wei-Chieh Lee, Chon-Seng Hong, Wei-Ting Chang, Chia-Te Liao, Po-Sen Huang, Shen-Chung Huang, Chih-Hsien Lin, Chun-Yen Chiang, Zhih-Cherng Chen
, Jhih-Yuan Shih
DOI: 10.12659/MSM.946362
Med Sci Monit 2024; 30:e946362
4,342

24 Nov 2024 : Clinical Research
Mindfulness Meditation Reduces Stress and Hospital Stay in Gastrointestinal Tumor Patients During Perioperative Period
Xuelian Wang, Yinzhong Lu
DOI: 10.12659/MSM.945834
Med Sci Monit 2024; 30:e945834

24 Nov 2024 : Clinical Research
Mindfulness Meditation Reduces Stress and Hospital Stay in Gastrointestinal Tumor Patients During Perioperative Period
Xuelian Wang, Yinzhong Lu, Chunhong Gu, Jun Shao, Yaling Yan, Junjie Zhang
DOI: 10.12659/MSM.945834
Med Sci Monit 2024; 30:e945834
6,437

23 Nov 2024 : Review article
A Review of Emerging Viral Pathogens and Current Concerns for Vertical Transmission of Infection
Dinah V. Parums,
DOI: 10.12659/MSM.947335
Med Sci Monit 2024; 30:e947335

23 Nov 2024 : Review article
A Review of Emerging Viral Pathogens and Current Concerns for Vertical Transmission of Infection
Dinah V. Parums
DOI: 10.12659/MSM.947335
Med Sci Monit 2024; 30:e947335
6,615

22 Nov 2024 : Clinical Research
Echocardiographic and Impedance Cardiography Analysis of Left Ventricular Diastolic Function in Acromegaly Patients
Agnieszka Włochacz
, Paweł Krzesiński
DOI: 10.12659/MSM.946196
Med Sci Monit 2024; 30:e946196

22 Nov 2024 : Clinical Research
Echocardiographic and Impedance Cardiography Analysis of Left Ventricular Diastolic Function in Acromegaly Patients
Agnieszka Włochacz
, Paweł Krzesiński
, Beata Uziębło-Życzkowska
, Przemysław Witek
, Grzegorz Zieliński
, Grzegorz Gielerak
DOI: 10.12659/MSM.946196
Med Sci Monit 2024; 30:e946196
4,276

21 Nov 2024 : Clinical Research
Decreased RSPO3 and β-Catenin in Preeclampsia: Correlation with Blood Pressure and Pregnancy Outcomes
Yunyun Liu, Peishan Li
DOI: 10.12659/MSM.945848
Med Sci Monit 2024; 30:e945848

21 Nov 2024 : Clinical Research
Decreased RSPO3 and β-Catenin in Preeclampsia: Correlation with Blood Pressure and Pregnancy Outcomes
Yunyun Liu, Peishan Li, Juan Liao, Mingli Rao, Ling Peng, Hua Gan, Lin Shang, Zhenghua Xiao, Xue Liu
DOI: 10.12659/MSM.945848
Med Sci Monit 2024; 30:e945848
5,167

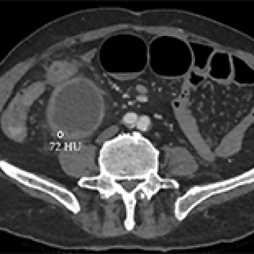
20 Nov 2024 : Clinical Research
Computed Tomography Parameters for Prognosis Prediction in Non-Occlusive Mesenteric Ischemia
DOI: 10.12659/MSM.946207
Med Sci Monit 2024; 30:e946207

20 Nov 2024 : Clinical Research
Computed Tomography Parameters for Prognosis Prediction in Non-Occlusive Mesenteric Ischemia
DOI: 10.12659/MSM.946207
Med Sci Monit 2024; 30:e946207
3,414

19 Nov 2024 : Review article
Optimizing Anesthetic Management for Laparoscopic Surgery: A Comprehensive Review
Paweł Radkowski
, Hubert Oniszczuk
DOI: 10.12659/MSM.945951
Med Sci Monit 2024; 30:e945951

19 Nov 2024 : Review article
Optimizing Anesthetic Management for Laparoscopic Surgery: A Comprehensive Review
Paweł Radkowski
, Hubert Oniszczuk
, Justyna Opolska
, Aleksandra Kłosińska
, Tariq Dabdoub
, Dariusz Onichimowski
DOI: 10.12659/MSM.945951
Med Sci Monit 2024; 30:e945951
5,599

18 Nov 2024 : Clinical Research
Impact of Prior Cesarean Delivery on Pregnancy Outcomes and Hemorrhage Risks in Complete Placenta Previa: A Decade-Long Retrospective Analysis
Xuemin Wei, Weiwei Cheng
DOI: 10.12659/MSM.944432
Med Sci Monit 2024; 30:e944432

18 Nov 2024 : Clinical Research
Impact of Prior Cesarean Delivery on Pregnancy Outcomes and Hemorrhage Risks in Complete Placenta Previa: A Decade-Long Retrospective Analysis
Xuemin Wei, Weiwei Cheng
DOI: 10.12659/MSM.944432
Med Sci Monit 2024; 30:e944432
4,274

17 Nov 2024 : Clinical Research
Analysis of Mortality Causes and Locations in Veterans with ALS: A Decade Review
Meheroz H. Rabadi
, Kimberly A. Russell
DOI: 10.12659/MSM.945816
Med Sci Monit 2024; 30:e945816

17 Nov 2024 : Clinical Research
Analysis of Mortality Causes and Locations in Veterans with ALS: A Decade Review
Meheroz H. Rabadi
, Kimberly A. Russell, Chao Xu
DOI: 10.12659/MSM.945816
Med Sci Monit 2024; 30:e945816
4,347

16 Nov 2024 : Review article
Surgical Advances in the Treatment of Acromioclavicular Joint Injury: A Comprehensive Review
Yingkai Ma, Zhenwen Ma
DOI: 10.12659/MSM.942969
Med Sci Monit 2024; 30:e942969

16 Nov 2024 : Review article
Surgical Advances in the Treatment of Acromioclavicular Joint Injury: A Comprehensive Review
Yingkai Ma, Zhenwen Ma, Jiangrong Guo, Xinnan Ma, Songcen LV, Shi Cheng
DOI: 10.12659/MSM.942969
Med Sci Monit 2024; 30:e942969
5,076

15 Nov 2024 : Clinical Research
Adipose-Derived Mesenchymal Stem Cells from Arthritis Patients: Differential Modulation of CD4⁺ T Cell Activation and Cytokine Production
Maciej Ołdak, Weronika Kurowska
DOI: 10.12659/MSM.945273
Med Sci Monit 2024; 30:e945273

15 Nov 2024 : Clinical Research
Adipose-Derived Mesenchymal Stem Cells from Arthritis Patients: Differential Modulation of CD4⁺ T Cell Activation and Cytokine Production
Maciej Ołdak, Weronika Kurowska
, Magdalena Plebańczyk, Iwona Janicka, Anna Radzikowska
, Urszula Skalska
, Ewa Kuca-Warnawin
DOI: 10.12659/MSM.945273
Med Sci Monit 2024; 30:e945273
5,167

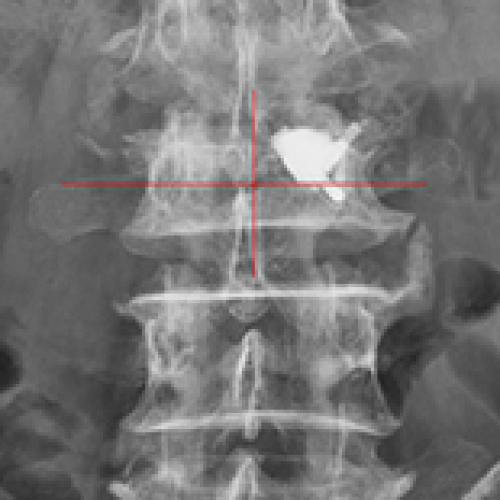
14 Nov 2024 : Clinical Research
Risk Factors for Bone Cement Displacement After Percutaneous Kyphoplasty in Osteoporotic Vertebral Fractures: A Retrospective Analysis
DOI: 10.12659/MSM.945884
Med Sci Monit 2024; 30:e945884

14 Nov 2024 : Clinical Research
Risk Factors for Bone Cement Displacement After Percutaneous Kyphoplasty in Osteoporotic Vertebral Fractures: A Retrospective Analysis
Yonghao Wu
, Shuaiqi Zhu
, Yuqiao Li, Chenfei Zhang
, Weiwei Xia, Zhenqi Zhu, Kaifeng Wang
DOI: 10.12659/MSM.945884
Med Sci Monit 2024; 30:e945884
3,766

13 Nov 2024 : Clinical Research
Impact of Different Orthodontic Appliances on Mandibular Condyle, Anterior Region of Mandibular, and Maxillary Sinus Using Panoramic Radiography
DOI: 10.12659/MSM.946265
Med Sci Monit 2024; 30:e946265

13 Nov 2024 : Clinical Research
Impact of Different Orthodontic Appliances on Mandibular Condyle, Anterior Region of Mandibular, and Maxillary Sinus Using Panoramic Radiography
DOI: 10.12659/MSM.946265
Med Sci Monit 2024; 30:e946265
3,164

12 Nov 2024 : Clinical Research
Iliac Periosteal Bone Autografting vs Talus Non-Weight-Bearing Surgery in Hepple V Talus Osteochondral Injuries: Comparative Analysis of Perioperative Outcomes
Liu Lin, Zengyue Zhu
DOI: 10.12659/MSM.944912
Med Sci Monit 2024; 30:e944912

12 Nov 2024 : Clinical Research
Iliac Periosteal Bone Autografting vs Talus Non-Weight-Bearing Surgery in Hepple V Talus Osteochondral Injuries: Comparative Analysis of Perioperative Outcomes
Liu Lin, Zengyue Zhu, Heda Liu, Yingli Li
DOI: 10.12659/MSM.944912
Med Sci Monit 2024; 30:e944912
3,777
Editorial
01 December 2025 : Editorial
Editorial: COVID-19 Six Years on and Endemic Omicron Variants of SARS-CoV-2 Under Monitoring Now Include NB.1.8.1 (Nimbus) and XFG (Stratus)DOI: 10.12659/MSM.952217
Med Sci Monit 2025; 31:e952217
In Press
Clinical Research
A Retrospective Study of the Presentation, Imaging Findings, and Outcomes in 195 Patients with Maxillofacia...Med Sci Monit In Press; DOI: 10.12659/MSM.949933
Clinical Research
Enhanced Eustachian Tube Function and Hearing Recovery with Combined Balloon Dilatation and Tympanic Membra...Med Sci Monit In Press; DOI: 10.12659/MSM.948981
Clinical Research
Virtual Pet–Assisted Therapy to Alleviate Symptoms of Long COVID: A Prospective Pilot Interventional StudyMed Sci Monit In Press; DOI: 10.12659/MSM.950105
Clinical Research
Does Concomitant Biceps Tenotomy Affect Shoulder Proprioception and Strength? A Prospective Intra‑Individua...Med Sci Monit In Press; DOI: 10.12659/MSM.950383
Most Viewed Current Articles
17 Jan 2024 : Review article 10,178,526
Vaccination Guidelines for Pregnant Women: Addressing COVID-19 and the Omicron VariantDOI :10.12659/MSM.942799
Med Sci Monit 2024; 30:e942799
13 Nov 2021 : Clinical Research 3,694,265
Acceptance of COVID-19 Vaccination and Its Associated Factors Among Cancer Patients Attending the Oncology ...DOI :10.12659/MSM.932788
Med Sci Monit 2021; 27:e932788
14 Dec 2022 : Clinical Research 2,335,538
Prevalence and Variability of Allergen-Specific Immunoglobulin E in Patients with Elevated Tryptase LevelsDOI :10.12659/MSM.937990
Med Sci Monit 2022; 28:e937990
16 May 2023 : Clinical Research 706,058
Electrophysiological Testing for an Auditory Processing Disorder and Reading Performance in 54 School Stude...DOI :10.12659/MSM.940387
Med Sci Monit 2023; 29:e940387
