Current Volume 28, 2022 - Page: 7

06 Jul 2022 : Clinical Research
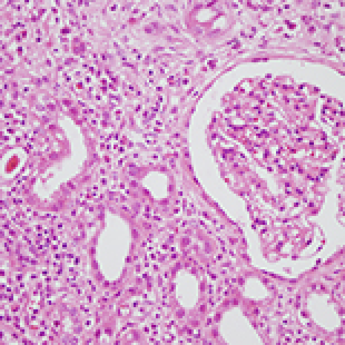
Renal Manifestations in Inflammatory Bowel Disease: A Cohort Study During the Biologic Era
Mevlut Tamer Dincer
, Zeynep Toker Dincer
DOI: 10.12659/MSM.936497
Med Sci Monit 2022; 28:e936497

06 Jul 2022 : Clinical Research
Renal Manifestations in Inflammatory Bowel Disease: A Cohort Study During the Biologic Era
Mevlut Tamer Dincer
, Zeynep Toker Dincer, Oguz Kagan Bakkaloglu, Serkan Feyyaz Yalin, Sinan Trabulus, Aykut Ferhat Celik, Nurhan Seyahi, Mehmet Riza Altiparmak
DOI: 10.12659/MSM.936497
Med Sci Monit 2022; 28:e936497
6,304

05 Jul 2022 : Clinical Research
A Real-World Study to Compare the Safety and Efficacy of Paritaprevir/Ombitasvir/Ritonavir and Dasabuvir, with or without Ribavirin, in 587 Patients with Chronic Hepatitis C at the Fundeni Clinical Institute, Bucharest, Romania
Xenia Bacinschi, Gabriel Cristian Popescu
DOI: 10.12659/MSM.936706
Med Sci Monit 2022; 28:e936706

05 Jul 2022 : Clinical Research
A Real-World Study to Compare the Safety and Efficacy of Paritaprevir/Ombitasvir/Ritonavir and Dasabuvir, with or without Ribavirin, in 587 Patients with Chronic Hepatitis C at the Fundeni Clinical Institute, Bucharest, Romania
Xenia Bacinschi, Gabriel Cristian Popescu, Anca Zgura, Laurentia Gales, Anghel Rodica, Adriana Mercan, Dragos Serban, Bogdan Haineala, Letitia Toma, Laura Iliescu
DOI: 10.12659/MSM.936706
Med Sci Monit 2022; 28:e936706
4,029

04 Jul 2022 : Clinical Research
Post-Kidney Transplantation Results After Circulatory or Brain Death Without Pre-Mortem Heparin Administration
DOI: 10.12659/MSM.936877
Med Sci Monit 2022; 28:e936877

04 Jul 2022 : Clinical Research
Post-Kidney Transplantation Results After Circulatory or Brain Death Without Pre-Mortem Heparin Administration
Jan Roman
, František Jalůvka, Petr Ostruszka, Petr Jelínek
, Ján Hrubovčák, Pavel Havránek, Adéla Vrtková, Zdeněk Lys, Jarmila Dědochová, Václav Procházka
DOI: 10.12659/MSM.936877
Med Sci Monit 2022; 28:e936877
4,026

03 Jul 2022 : Clinical Research
Association Between Sleep Duration and Sleep Disorder Data from the National Health and Nutrition Examination Survey and Stroke Among Adults in the United States
Jun Wang, Xin Ren
DOI: 10.12659/MSM.936384
Med Sci Monit 2022; 28:e936384

03 Jul 2022 : Clinical Research
Association Between Sleep Duration and Sleep Disorder Data from the National Health and Nutrition Examination Survey and Stroke Among Adults in the United States
Jun Wang, Xin Ren
DOI: 10.12659/MSM.936384
Med Sci Monit 2022; 28:e936384
22,315

02 Jul 2022 : Clinical Research
A Simulation Study Using a Quality Cardiopulmonary Resuscitation Medical Manikin to Evaluate the Effects of Using Personal Protective Equipment on Performance of Emergency Resuscitation by Medical Students from the University of Silesia, Katowice, Poland and Non-Medical Personnel
Michał Starosolski, Beata Zysiak-Christ
DOI: 10.12659/MSM.936844
Med Sci Monit 2022; 28:e936844

02 Jul 2022 : Clinical Research
A Simulation Study Using a Quality Cardiopulmonary Resuscitation Medical Manikin to Evaluate the Effects of Using Personal Protective Equipment on Performance of Emergency Resuscitation by Medical Students from the University of Silesia, Katowice, Poland and Non-Medical Personnel
Michał Starosolski, Beata Zysiak-Christ, Alicja Kalemba, Cezary Kapłan, Krzysztof Ulbrich
DOI: 10.12659/MSM.936844
Med Sci Monit 2022; 28:e936844
6,154

01 Jul 2022 : Editorial
Editorial: World Health Organization (WHO) Variants of Concern Lineages Under Monitoring (VOC-LUM) in Response to the Global Spread of Lineages and Sublineages of Omicron, or B.1.1.529, SARS-CoV-2
Dinah V. Parums,
DOI: 10.12659/MSM.937676
Med Sci Monit 2022; 28:e937676

01 Jul 2022 : Editorial
Editorial: World Health Organization (WHO) Variants of Concern Lineages Under Monitoring (VOC-LUM) in Response to the Global Spread of Lineages and Sublineages of Omicron, or B.1.1.529, SARS-CoV-2
Dinah V. Parums
DOI: 10.12659/MSM.937676
Med Sci Monit 2022; 28:e937676
8,711

01 Jul 2022 : Clinical Research
Can the Density of Mineralized Dental Tissues (Dentin and Enamel) Be Measured and Compared with 3D Cone Beam Computed Tomography in Cases of Ectodermal Dysplasia?
Yasemin Yavuz, Ebru Akleyin
DOI: 10.12659/MSM.937003
Med Sci Monit 2022; 28:e937003

01 Jul 2022 : Clinical Research
Can the Density of Mineralized Dental Tissues (Dentin and Enamel) Be Measured and Compared with 3D Cone Beam Computed Tomography in Cases of Ectodermal Dysplasia?
Yasemin Yavuz, Ebru Akleyin, Mehmet Sinan Doğan, Myroslav Goncharuk-Khomyn, Zeki Akkus
DOI: 10.12659/MSM.937003
Med Sci Monit 2022; 28:e937003
4,138

30 Jun 2022 : Clinical Research
Nomogram for Prediction of Postoperative Morbidity in Patients with Colon Cancer Requiring Emergency Therapy
Raul Mihailov, Dorel Firescu
DOI: 10.12659/MSM.936303
Med Sci Monit 2022; 28:e936303

30 Jun 2022 : Clinical Research
Nomogram for Prediction of Postoperative Morbidity in Patients with Colon Cancer Requiring Emergency Therapy
Raul Mihailov, Dorel Firescu, Georgiana Bianca Constantin, Cristina Șerban, Eugenia Panaitescu, Cristian Marica
, Rodica Bîrlă, Traian Patrascu
DOI: 10.12659/MSM.936303
Med Sci Monit 2022; 28:e936303
5,173

29 Jun 2022 : Clinical Research
Diffusion Tensor Imaging Evaluates Effects of Acupoint Injection at Zusanli (ST36) for Type 2 Diabetic Peripheral Neuropathy
Yangkui Zhai, Wenjuan Yu
DOI: 10.12659/MSM.935979
Med Sci Monit 2022; 28:e935979

29 Jun 2022 : Clinical Research
Diffusion Tensor Imaging Evaluates Effects of Acupoint Injection at Zusanli (ST36) for Type 2 Diabetic Peripheral Neuropathy
Yangkui Zhai, Wenjuan Yu, Wen Shen, Yan Zhang
DOI: 10.12659/MSM.935979
Med Sci Monit 2022; 28:e935979
8,006

28 Jun 2022 : Clinical Research
Impact of a Rehabilitation Program on the Change in Components of Body Mass of the Upper and Lower Limbs in People After Ischemic Stroke
Grzegorz Przysada, Justyna Leszczak
DOI: 10.12659/MSM.936397
Med Sci Monit 2022; 28:e936397

28 Jun 2022 : Clinical Research
Impact of a Rehabilitation Program on the Change in Components of Body Mass of the Upper and Lower Limbs in People After Ischemic Stroke
Grzegorz Przysada, Justyna Leszczak, Joanna Baran, Andżelina Wolan-Nieroda, Bogumiła Pniak, Viliam Knap, Mariusz Drużbicki, Agnieszka Guzik
DOI: 10.12659/MSM.936397
Med Sci Monit 2022; 28:e936397
5,209

27 Jun 2022 : Clinical Research
Influence of Cone-Beam Computed Tomography Voxel Sizes in the Detection of Chemically Induced External Root Resorptions
Mehmet Eray Kolsuz, Hakan Eren
DOI: 10.12659/MSM.936160
Med Sci Monit 2022; 28:e936160

27 Jun 2022 : Clinical Research
Influence of Cone-Beam Computed Tomography Voxel Sizes in the Detection of Chemically Induced External Root Resorptions
Mehmet Eray Kolsuz, Hakan Eren, Berkan Çelikten, Perihan Dalgali Evli
, Hüsniye Demirtürk Kocasaraç, Kaan Orhan
DOI: 10.12659/MSM.936160
Med Sci Monit 2022; 28:e936160
4,607

25 Jun 2022 : Clinical Research
Serum TP53 Protein Level as a Sensitive Biomarker for the Diagnosis of Myocardial Damage in Children
Xianglin Zeng, Chunwang Lin
DOI: 10.12659/MSM.936248
Med Sci Monit 2022; 28:e936248

25 Jun 2022 : Clinical Research
Serum TP53 Protein Level as a Sensitive Biomarker for the Diagnosis of Myocardial Damage in Children
Xianglin Zeng, Chunwang Lin, Yanna Sun, Jianping Zhang
DOI: 10.12659/MSM.936248
Med Sci Monit 2022; 28:e936248
3,748

24 Jun 2022 : Clinical Research
Medroxyprogesterone Acetate for Abnormal Uterine Bleeding Due to Ovulatory Dysfunction: The Effect of 2 Different-Duration Regimens
DOI: 10.12659/MSM.936727
Med Sci Monit 2022; 28:e936727

24 Jun 2022 : Clinical Research
Medroxyprogesterone Acetate for Abnormal Uterine Bleeding Due to Ovulatory Dysfunction: The Effect of 2 Different-Duration Regimens
DOI: 10.12659/MSM.936727
Med Sci Monit 2022; 28:e936727
5,168

23 Jun 2022 : Clinical Research
Expression of the GZMB Gene Polymorphism, SNP rs8192917, in 990 Han Chinese Patients with Postoperative Keloids
Xiulin Wen, Huicong Du
DOI: 10.12659/MSM.936963
Med Sci Monit 2022; 28:e936963

23 Jun 2022 : Clinical Research
Expression of the GZMB Gene Polymorphism, SNP rs8192917, in 990 Han Chinese Patients with Postoperative Keloids
Xiulin Wen, Huicong Du, Xiaoyan Hao, Jingrong Wang, Yuan Guo
DOI: 10.12659/MSM.936963
Med Sci Monit 2022; 28:e936963
4,541

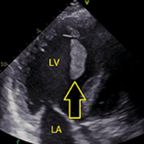
22 Jun 2022 : Review article
A Review of the Role of Transthoracic and Transesophageal Echocardiography, Computed Tomography, and Magnetic Resonance Imaging in Cardioembolic Stroke
Sergiu Florin Arnautu
, Diana Aurora Arnautu
DOI: 10.12659/MSM.936365
Med Sci Monit 2022; 28:e936365

22 Jun 2022 : Review article
A Review of the Role of Transthoracic and Transesophageal Echocardiography, Computed Tomography, and Magnetic Resonance Imaging in Cardioembolic Stroke
Sergiu Florin Arnautu
, Diana Aurora Arnautu, Ana Lascu, Andrei A. Hajevschi, Ciprian Ilie Ilie Rosca
, Abhinav Sharma
, Dragos Catalin Jianu
DOI: 10.12659/MSM.936365
Med Sci Monit 2022; 28:e936365
12,077

21 Jun 2022 : Clinical Research
Prognostic Significance of Preoperative Integrated Liver Inflammatory Score in Patients with Hepatocellular Carcinoma
DOI: 10.12659/MSM.937005
Med Sci Monit 2022; 28:e937005

21 Jun 2022 : Clinical Research
Prognostic Significance of Preoperative Integrated Liver Inflammatory Score in Patients with Hepatocellular Carcinoma
Biao Wu, Yumeng Wu
, Xianlin Guo, Yifei Liu, Yanping Yue, Wenjing Zhao, Jibin Liu, Xuming Wu, Aiguo Shen, Suqing Zhang
DOI: 10.12659/MSM.937005
Med Sci Monit 2022; 28:e937005
4,209

20 Jun 2022 : Clinical Research
A Single-Center Retrospective Study to Compare the Efficacy and Safety of Modified FOLFIRINOX with S-1 as Adjuvant Chemotherapy in 71 Patients with Resected Pancreatic Carcinoma
Linhua Yao, Chengwu Tang
DOI: 10.12659/MSM.937136
Med Sci Monit 2022; 28:e937136

20 Jun 2022 : Clinical Research
A Single-Center Retrospective Study to Compare the Efficacy and Safety of Modified FOLFIRINOX with S-1 as Adjuvant Chemotherapy in 71 Patients with Resected Pancreatic Carcinoma
Linhua Yao, Chengwu Tang, Wenming Feng, Hanbin Dai
DOI: 10.12659/MSM.937136
Med Sci Monit 2022; 28:e937136
3,318

18 Jun 2022 : Review article
Narrative Review of the Mechanism of Hip Prosthesis Dislocation and Methods to Reduce the Risk of Dislocation
Maciej Kostewicz, Grzegorz Szczęsny
DOI: 10.12659/MSM.935665
Med Sci Monit 2022; 28:e935665

18 Jun 2022 : Review article
Narrative Review of the Mechanism of Hip Prosthesis Dislocation and Methods to Reduce the Risk of Dislocation
Maciej Kostewicz, Grzegorz Szczęsny
, Wiesław Tomaszewski, Paweł Małdyk
DOI: 10.12659/MSM.935665
Med Sci Monit 2022; 28:e935665
7,787

17 Jun 2022 : Clinical Research
Effect of Miswak Derivatives on Color Changes and Mechanical Properties of Polymer-Based Computer-Aided Design and Computer-Aided Manufactured (CAD/CAM) Dental Ceramic Materials
Manea M. Al-Ahmari, Abdulrahman H. Alzahrani
DOI: 10.12659/MSM.936892
Med Sci Monit 2022; 28:e936892

17 Jun 2022 : Clinical Research
Effect of Miswak Derivatives on Color Changes and Mechanical Properties of Polymer-Based Computer-Aided Design and Computer-Aided Manufactured (CAD/CAM) Dental Ceramic Materials
Manea M. Al-Ahmari, Abdulrahman H. Alzahrani, Feras A. Al-Qatarneh, Mohammed M. Al Moaleem, Mansoor Shariff, Saeed M. Alqahtani, Amit Porwal, Fuad A. Al-Sanabani, Thiyezen A. AlDhelai
DOI: 10.12659/MSM.936892
Med Sci Monit 2022; 28:e936892
5,113

16 Jun 2022 : Clinical Research
Remimazolam Tosilate Sedation with Adjuvant Sufentanil in Chinese Patients with Liver Cirrhosis Undergoing Gastroscopy: A Randomized Controlled Study
YingHao Cao, Ping Chi
DOI: 10.12659/MSM.936580
Med Sci Monit 2022; 28:e936580

16 Jun 2022 : Clinical Research
Remimazolam Tosilate Sedation with Adjuvant Sufentanil in Chinese Patients with Liver Cirrhosis Undergoing Gastroscopy: A Randomized Controlled Study
YingHao Cao, Ping Chi, Chen Zhou, WenFei Lv, ZheFen Quan, Fu Shan Xue
DOI: 10.12659/MSM.936580
Med Sci Monit 2022; 28:e936580
10,463

15 Jun 2022 : Animal Research
Differential circRNA and mRNA Expression Profiling During Osteogenic Differentiation in Rat Bone Marrow Mesenchymal Stem Cells
Yuan Yao, Jialin Liu
DOI: 10.12659/MSM.936761
Med Sci Monit 2022; 28:e936761

15 Jun 2022 : Animal Research
Differential circRNA and mRNA Expression Profiling During Osteogenic Differentiation in Rat Bone Marrow Mesenchymal Stem Cells
Yuan Yao, Jialin Liu, Wenjing Zhang, Xiangzhen Han, Huiyu He, Xiaowei Ji
DOI: 10.12659/MSM.936761
Med Sci Monit 2022; 28:e936761
5,401

14 Jun 2022 : Clinical Research
Fully Automatic Knee Joint Segmentation and Quantitative Analysis for Osteoarthritis from Magnetic Resonance (MR) Images Using a Deep Learning Model
Xiongfeng Tang, Deming Guo
DOI: 10.12659/MSM.936733
Med Sci Monit 2022; 28:e936733

14 Jun 2022 : Clinical Research
Fully Automatic Knee Joint Segmentation and Quantitative Analysis for Osteoarthritis from Magnetic Resonance (MR) Images Using a Deep Learning Model
Xiongfeng Tang, Deming Guo, Aie Liu, Dijia Wu, Jianhua Liu, Nannan Xu, Yanguo Qin
DOI: 10.12659/MSM.936733
Med Sci Monit 2022; 28:e936733
8,872

13 Jun 2022 : Database Analysis
Retrospective Study from a Single Center to Identify Risk Factors Associated with Reinfection in Patients Undergoing 2-Stage Revision Surgery for Periprosthetic Joint Infection
Bingshi Zhang, Zeming Liu
DOI: 10.12659/MSM.936973
Med Sci Monit 2022; 28:e936973

13 Jun 2022 : Database Analysis
Retrospective Study from a Single Center to Identify Risk Factors Associated with Reinfection in Patients Undergoing 2-Stage Revision Surgery for Periprosthetic Joint Infection
Bingshi Zhang, Zeming Liu, Sikai Liu, Bo Liu, Mengnan Li, Wenao Li, Yongtai Han
DOI: 10.12659/MSM.936973
Med Sci Monit 2022; 28:e936973
3,530

11 Jun 2022 : Clinical Research
Efficacy of Focused Extracorporeal Shock Wave Therapy in Chronic Low Back Pain: A Prospective Randomized 3-Month Follow-Up Study
Katarzyna Rajfur, Joanna Rajfur
DOI: 10.12659/MSM.936614
Med Sci Monit 2022; 28:e936614

11 Jun 2022 : Clinical Research
Efficacy of Focused Extracorporeal Shock Wave Therapy in Chronic Low Back Pain: A Prospective Randomized 3-Month Follow-Up Study
Katarzyna Rajfur, Joanna Rajfur, Tomasz Matusz, Karolina Walewicz, Robert Dymarek, Kuba Ptaszkowski
, Jakub Taradaj
DOI: 10.12659/MSM.936614
Med Sci Monit 2022; 28:e936614
18,952

10 Jun 2022 : Clinical Research
Association Between Serum Homocysteine Levels and Severity of Diabetic Kidney Disease in 489 Patients with Type 2 Diabetes Mellitus: A Single-Center Study
Juan Wu, Dengke Liu
DOI: 10.12659/MSM.936323
Med Sci Monit 2022; 28:e936323

10 Jun 2022 : Clinical Research
Association Between Serum Homocysteine Levels and Severity of Diabetic Kidney Disease in 489 Patients with Type 2 Diabetes Mellitus: A Single-Center Study
Juan Wu, Dengke Liu, Liu Yang, Jianping Liu
DOI: 10.12659/MSM.936323
Med Sci Monit 2022; 28:e936323
10,552
Editorial
01 November 2025 : Editorial
Editorial: Hypertrophic Cardiomyopathy and Precision Medicine in Cardiovascular DiseaseDOI: 10.12659/MSM.951868
Med Sci Monit 2025; 31:e951868
In Press
Review article
Association of Childhood Asthma with the Concept of Exposomics: A Short ReviewMed Sci Monit In Press; DOI: 10.12659/MSM.949589
Clinical Research
Association of Hyperuricemia with Cardiovascular Risk Factors and Cardiac Structural Changes in Patients Un...Med Sci Monit In Press; DOI: 10.12659/MSM.949422
Clinical Research
Predictive Value of IBI for In-Hospital Death in Elderly Patients with Non-ST-Segment Elevation Myocardial ...Med Sci Monit In Press; DOI: 10.12659/MSM.950592
Clinical Research
Short-Segment Bone Cement–Augmented Pedicle Screw Fixation Combined With Bone Grafting for Management of Ku...Med Sci Monit In Press; DOI: 10.12659/MSM.949901
Most Viewed Current Articles
17 Jan 2024 : Review article 10,154,901
Vaccination Guidelines for Pregnant Women: Addressing COVID-19 and the Omicron VariantDOI :10.12659/MSM.942799
Med Sci Monit 2024; 30:e942799
13 Nov 2021 : Clinical Research 3,690,259
Acceptance of COVID-19 Vaccination and Its Associated Factors Among Cancer Patients Attending the Oncology ...DOI :10.12659/MSM.932788
Med Sci Monit 2021; 27:e932788
14 Dec 2022 : Clinical Research 2,334,173
Prevalence and Variability of Allergen-Specific Immunoglobulin E in Patients with Elevated Tryptase LevelsDOI :10.12659/MSM.937990
Med Sci Monit 2022; 28:e937990
16 May 2023 : Clinical Research 705,709
Electrophysiological Testing for an Auditory Processing Disorder and Reading Performance in 54 School Stude...DOI :10.12659/MSM.940387
Med Sci Monit 2023; 29:e940387
