Current Volume 28, 2022 - Page: 6

30 Jul 2022 : Review article
A Review of the Roles and Limitations of Noninvasive Imaging Methods for Investigating Cardiovascular Disease in Individuals with Obesity
Rosana Marssaro Cortez, Marina Politi Okoshi
DOI: 10.12659/MSM.937362
Med Sci Monit 2022; 28:e937362

30 Jul 2022 : Review article
A Review of the Roles and Limitations of Noninvasive Imaging Methods for Investigating Cardiovascular Disease in Individuals with Obesity
Rosana Marssaro Cortez, Marina Politi Okoshi, Katashi Okoshi
DOI: 10.12659/MSM.937362
Med Sci Monit 2022; 28:e937362
6,552

29 Jul 2022 : Database Analysis
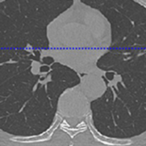
A Novel Deep Learning Model to Distinguish Malignant Versus Benign Solid Lung Nodules
Shuwen Wang, Leilei Zhou
DOI: 10.12659/MSM.936830
Med Sci Monit 2022; 28:e936830

29 Jul 2022 : Database Analysis
A Novel Deep Learning Model to Distinguish Malignant Versus Benign Solid Lung Nodules
Shuwen Wang, Leilei Zhou, Xiaoran Li, Jie Tang, Jing Wu, Xindao Yin, Yu-Chen Chen, Lingquan Lu
DOI: 10.12659/MSM.936830
Med Sci Monit 2022; 28:e936830
3,426

28 Jul 2022 : Errate
Errate: Identification of NDRG Family Member 4 (NDRG4) and CDC28 Protein Kinase Regulatory Subunit 2 (CKS2) as Key Prognostic Genes in Adrenocortical Carcinoma by Transcriptomic Analysis
Zhengqing Yang, Hui Cheng
DOI: 10.12659/MSM.937786
Med Sci Monit 2022; 28:e937786

28 Jul 2022 : Errate
Errate: Identification of NDRG Family Member 4 (NDRG4) and CDC28 Protein Kinase Regulatory Subunit 2 (CKS2) as Key Prognostic Genes in Adrenocortical Carcinoma by Transcriptomic Analysis
Zhengqing Yang, Hui Cheng, Yazhou Zhang, Yan Zhou
DOI: 10.12659/MSM.937786
Med Sci Monit 2022; 28:e937786
3,710

28 Jul 2022 : Clinical Research
Discordant Subjective Perception of Sleep in Patients with Obstructive Sleep Apnea and Insomnia: A Retrospective Study
DOI: 10.12659/MSM.937134
Med Sci Monit 2022; 28:e937134

28 Jul 2022 : Clinical Research
Discordant Subjective Perception of Sleep in Patients with Obstructive Sleep Apnea and Insomnia: A Retrospective Study
Xiaofan Zhuang, Xin Zhang
, Lei Zhang, Wenjuan Liu, You Xu, Yonghua Zhang, Linlin Hu
, Hongjing Mao
DOI: 10.12659/MSM.937134
Med Sci Monit 2022; 28:e937134
5,626

27 Jul 2022 : Meta-Analysis
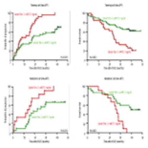
The Prognostic Value of Periostin Expression in Non-Small Cell Lung Cancer: A Meta-Analysis
Mengjie Li, Guangzhi Ma
DOI: 10.12659/MSM.936898
Med Sci Monit 2022; 28:e936898

27 Jul 2022 : Meta-Analysis
The Prognostic Value of Periostin Expression in Non-Small Cell Lung Cancer: A Meta-Analysis
Mengjie Li, Guangzhi Ma, Xuebing Li, Qinghua Zhou
DOI: 10.12659/MSM.936898
Med Sci Monit 2022; 28:e936898
5,082

26 Jul 2022 : Clinical Research
Emergency Removal of Ingested Foreign Bodies in 586 Adults at a Single Hospital in China According to the European Society of Gastrointestinal Endoscopy (ESGE) Recommendations: A 10-Year Retrospective Study
Qing Liu, Fei Liu
DOI: 10.12659/MSM.936463
Med Sci Monit 2022; 28:e936463

26 Jul 2022 : Clinical Research
Emergency Removal of Ingested Foreign Bodies in 586 Adults at a Single Hospital in China According to the European Society of Gastrointestinal Endoscopy (ESGE) Recommendations: A 10-Year Retrospective Study
Qing Liu, Fei Liu, Huahong Xie, Jiaqiang Dong, Hui Chen, Liping Yao
DOI: 10.12659/MSM.936463
Med Sci Monit 2022; 28:e936463
5,890

25 Jul 2022 : Database Analysis
Integrating Network Pharmacology, Molecular Docking, and Experimental Validation to Investigate the Mechanism of (-)-Guaiol Against Lung Adenocarcinoma
Yaoying Zeng, Yanbin Pan
DOI: 10.12659/MSM.937131
Med Sci Monit 2022; 28:e937131

25 Jul 2022 : Database Analysis
Integrating Network Pharmacology, Molecular Docking, and Experimental Validation to Investigate the Mechanism of (-)-Guaiol Against Lung Adenocarcinoma
Yaoying Zeng, Yanbin Pan, Bo Zhang, Yingbin Luo, Jianhui Tian, Yuli Wang, Xudong Ju, Jianchun Wu, Yan Li
DOI: 10.12659/MSM.937131
Med Sci Monit 2022; 28:e937131
7,047

24 Jul 2022 : Clinical Research
Safety of Dexmedetomidine as an Alternative Pediatric Magnetic Resonance Imaging (MRI) Sedative: A Retrospective Single-Center Study
Kristina Liaudanskytė, Ilona Razlevičė
DOI: 10.12659/MSM.936599
Med Sci Monit 2022; 28:e936599

24 Jul 2022 : Clinical Research
Safety of Dexmedetomidine as an Alternative Pediatric Magnetic Resonance Imaging (MRI) Sedative: A Retrospective Single-Center Study
Kristina Liaudanskytė, Ilona Razlevičė, Tomas Bukauskas, Vilija Stremaitytė
, Laura Lukošienė, Andrius Macas
DOI: 10.12659/MSM.936599
Med Sci Monit 2022; 28:e936599
3,957

23 Jul 2022 : Clinical Research
Time of Resumption of Antiplatelet Drugs After Upper Gastrointestinal Hemorrhage
Huan Ma, Xiao Fan
DOI: 10.12659/MSM.936953
Med Sci Monit 2022; 28:e936953

23 Jul 2022 : Clinical Research
Time of Resumption of Antiplatelet Drugs After Upper Gastrointestinal Hemorrhage
Huan Ma, Xiao Fan, Li Jiao, Xia Meng, Liwei Zhao, Junmin Wang
DOI: 10.12659/MSM.936953
Med Sci Monit 2022; 28:e936953
5,547

22 Jul 2022 : Database Analysis
Role of Serum Creatinine Levels in Prognostic Risk Stratification of Prostate Cancer Patients
Xingbo Gu, Jiaojiao Wu
DOI: 10.12659/MSM.937100
Med Sci Monit 2022; 28:e937100

22 Jul 2022 : Database Analysis
Role of Serum Creatinine Levels in Prognostic Risk Stratification of Prostate Cancer Patients
Xingbo Gu, Jiaojiao Wu, Xuefeidan Liu, Yun Hong, Yaoxi Wu, Ye Tian
DOI: 10.12659/MSM.937100
Med Sci Monit 2022; 28:e937100
8,435

21 Jul 2022 : Clinical Research
Serum T Cell Immunoglobulin Mucin 3 Predicts Worse Prognosis in Hepatocellular Carcinoma Patients Undergoing Transcatheter Arterial Chemoembolization
Jun Li, Jing Wang
DOI: 10.12659/MSM.935326
Med Sci Monit 2022; 28:e935326

21 Jul 2022 : Clinical Research
Serum T Cell Immunoglobulin Mucin 3 Predicts Worse Prognosis in Hepatocellular Carcinoma Patients Undergoing Transcatheter Arterial Chemoembolization
Jun Li, Jing Wang
DOI: 10.12659/MSM.935326
Med Sci Monit 2022; 28:e935326
2,597

20 Jul 2022 : Clinical Research
Bioinformatics Profiling and Experimental Validation of 4 Differentially-Expressed LIM Genes in the Course of Colorectal-Adenoma-Carcinoma
Ying He, Zongfu Pan
DOI: 10.12659/MSM.937081
Med Sci Monit 2022; 28:e937081

20 Jul 2022 : Clinical Research
Bioinformatics Profiling and Experimental Validation of 4 Differentially-Expressed LIM Genes in the Course of Colorectal-Adenoma-Carcinoma
Ying He, Zongfu Pan, Qian Shi, Xilin Zhang, Weiyun Shen, Lixia Huo, Huihui Guo, Chengwu Tang, Yuhang Ling
DOI: 10.12659/MSM.937081
Med Sci Monit 2022; 28:e937081
4,453

19 Jul 2022 : Clinical Research
A Retrospective Study from a Single Center in China to Develop a Nomogram to Predict One-Year Mortality in Patients with End-Stage Renal Disease Who Are Receiving Hemodialysis
Wubin Yao, Yan Shen
DOI: 10.12659/MSM.936092
Med Sci Monit 2022; 28:e936092

19 Jul 2022 : Clinical Research
A Retrospective Study from a Single Center in China to Develop a Nomogram to Predict One-Year Mortality in Patients with End-Stage Renal Disease Who Are Receiving Hemodialysis
Wubin Yao, Yan Shen, Huaxing Huang, Hongli Yang, Xingxing Fang, Lianglan Shen
DOI: 10.12659/MSM.936092
Med Sci Monit 2022; 28:e936092
3,712

18 Jul 2022 : Meta-Analysis
Comparison of Hysteroscopic Morcellation Versus Resectoscopy in Treatment of Patients with Endometrial Lesions: A Meta-Analysis
Fangying Ren, Guannan Huang
DOI: 10.12659/MSM.936771
Med Sci Monit 2022; 28:e936771

18 Jul 2022 : Meta-Analysis
Comparison of Hysteroscopic Morcellation Versus Resectoscopy in Treatment of Patients with Endometrial Lesions: A Meta-Analysis
Fangying Ren, Guannan Huang, Xue Wang, Xuehui Li, Jianning Cai
DOI: 10.12659/MSM.936771
Med Sci Monit 2022; 28:e936771
4,963

17 Jul 2022 : Clinical Research
Does Early-Period Patient Dissatisfaction Turn Into Satisfaction Over Time After Total Knee Replacement?
Mahmut Özdemir, Yüksel Uğur Yaradılmış
DOI: 10.12659/MSM.936792
Med Sci Monit 2022; 28:e936792

17 Jul 2022 : Clinical Research
Does Early-Period Patient Dissatisfaction Turn Into Satisfaction Over Time After Total Knee Replacement?
Mahmut Özdemir, Yüksel Uğur Yaradılmış, Fırat Emin Özdemir, Ahmet Safa Tarğal, Özkan Öztürk
, Murat Altay
DOI: 10.12659/MSM.936792
Med Sci Monit 2022; 28:e936792
4,165

16 Jul 2022 : Clinical Research
Attention-Deficit/Hyperactivity Disorder (ADHD) and Time Perception in Adults: Do Adults with Different ADHD Symptomatology Severity Perceive Time Differently? Findings from the National Czech Study
DOI: 10.12659/MSM.936849
Med Sci Monit 2022; 28:e936849

16 Jul 2022 : Clinical Research
Attention-Deficit/Hyperactivity Disorder (ADHD) and Time Perception in Adults: Do Adults with Different ADHD Symptomatology Severity Perceive Time Differently? Findings from the National Czech Study
Radek Ptáček, Martina Vňuková
, Filip Děchtěrenko
, Simon Weissenberger, Eva Kitzlerová, Hana Ptáčková, Martin Anders
DOI: 10.12659/MSM.936849
Med Sci Monit 2022; 28:e936849
4,964

15 Jul 2022 : Laboratory Research
Bcl-2 19-kDa Interacting Protein 3 (BNIP3)-Mediated Mitophagy Attenuates Intermittent Hypoxia-Induced Human Renal Tubular Epithelial Cell Injury
Xiao-Bin Zhang, Gong-Ping Chen
DOI: 10.12659/MSM.936760
Med Sci Monit 2022; 28:e936760

15 Jul 2022 : Laboratory Research
Bcl-2 19-kDa Interacting Protein 3 (BNIP3)-Mediated Mitophagy Attenuates Intermittent Hypoxia-Induced Human Renal Tubular Epithelial Cell Injury
Xiao-Bin Zhang, Gong-Ping Chen, Mao-Hong Huang, Xiang-Xing Chen, Feng-Fu Zhan, Xiu-Zhen He, Ling Cai, Hui-Qing Zeng
DOI: 10.12659/MSM.936760
Med Sci Monit 2022; 28:e936760
4,173

14 Jul 2022 : Clinical Research
Antioxidant System and Ions Concentrations After Femoral Neck and Resurfacing Hip Arthroplasty
Karol Ochocki, Tomasz Stołtny
DOI: 10.12659/MSM.936335
Med Sci Monit 2022; 28:e936335

14 Jul 2022 : Clinical Research
Antioxidant System and Ions Concentrations After Femoral Neck and Resurfacing Hip Arthroplasty
Karol Ochocki, Tomasz Stołtny, Alina Ostałowska, Marta Wróbel, Dominika Rokicka
, Jarosław Pasek, Sławomir Kasperczyk, Krzysztof Strojek, Bogdan Koczy
DOI: 10.12659/MSM.936335
Med Sci Monit 2022; 28:e936335
12,648

13 Jul 2022 : Clinical Research
Serum Calprotectin – a NET Product – as a Biomarker of Disease Activity in Patients with Systemic Lupus Erythematosus: A Single-Center Case-Control Study from Poland
Iwona Homa-Mlak, Marcin Mazurek
DOI: 10.12659/MSM.936534
Med Sci Monit 2022; 28:e936534

13 Jul 2022 : Clinical Research
Serum Calprotectin – a NET Product – as a Biomarker of Disease Activity in Patients with Systemic Lupus Erythematosus: A Single-Center Case-Control Study from Poland
Iwona Homa-Mlak, Marcin Mazurek, Aleksandra Majdan
, Radosław Mlak, Maria Majdan
, Teresa Mełecka-Massalska
DOI: 10.12659/MSM.936534
Med Sci Monit 2022; 28:e936534
4,694

12 Jul 2022 : Database Analysis
LINC00963 May Be Associated with a Poor Prognosis in Patients with Cervical Cancer
Aimin Chang, Ying Shi
DOI: 10.12659/MSM.935070
Med Sci Monit 2022; 28:e935070

12 Jul 2022 : Database Analysis
LINC00963 May Be Associated with a Poor Prognosis in Patients with Cervical Cancer
Aimin Chang, Ying Shi, Ping Wang, Jingjing Ren
DOI: 10.12659/MSM.935070
Med Sci Monit 2022; 28:e935070
4,041

11 Jul 2022 : Clinical Research
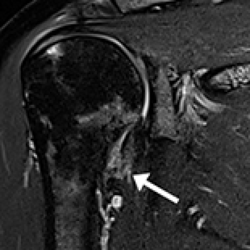
Shoulder Injury Related to Vaccine Administration (SIRVA) in 16 Patients Following COVID-19 Vaccination Who Presented to Chiropractic, Orthopedic, and Physiotherapy Clinics in Hong Kong During 2021
Eric Chun-Pu Chu,
DOI: 10.12659/MSM.937430
Med Sci Monit 2022; 28:e937430

11 Jul 2022 : Clinical Research
Shoulder Injury Related to Vaccine Administration (SIRVA) in 16 Patients Following COVID-19 Vaccination Who Presented to Chiropractic, Orthopedic, and Physiotherapy Clinics in Hong Kong During 2021
Eric Chun-Pu Chu
DOI: 10.12659/MSM.937430
Med Sci Monit 2022; 28:e937430
10,875

10 Jul 2022 : Clinical Research
Automatic Identification of Depression Using Facial Images with Deep Convolutional Neural Network
Xinru Kong, Yan Yao
DOI: 10.12659/MSM.936409
Med Sci Monit 2022; 28:e936409

10 Jul 2022 : Clinical Research
Automatic Identification of Depression Using Facial Images with Deep Convolutional Neural Network
Xinru Kong, Yan Yao, Cuiying Wang, Yuangeng Wang, Jing Teng, Xianghua Qi
DOI: 10.12659/MSM.936409
Med Sci Monit 2022; 28:e936409
5,796

09 Jul 2022 : Meta-Analysis
Urodynamics in Early Diagnosis of Diabetic Bladder Dysfunction in Women: A Systematic Review and Meta-Analysis
Ágnes Rita Martonosi
, Piroska Pázmány
DOI: 10.12659/MSM.937166
Med Sci Monit 2022; 28:e937166

09 Jul 2022 : Meta-Analysis
Urodynamics in Early Diagnosis of Diabetic Bladder Dysfunction in Women: A Systematic Review and Meta-Analysis
Ágnes Rita Martonosi
, Piroska Pázmány
, Szabolcs Kiss
, Fanni Dembrovszky
, Eduard Oštarijaš
, László Szabó
DOI: 10.12659/MSM.937166
Med Sci Monit 2022; 28:e937166
5,467

08 Jul 2022 : Clinical Research
A Single-Center Study Comparing the Effects of Thoracic Spine Manipulation vs Mobility Exercises in 26 Office Workers with Chronic Neck Pain: A Randomized Controlled Clinical Study
Jongmin Seo, Changho Song
DOI: 10.12659/MSM.937316
Med Sci Monit 2022; 28:e937316

08 Jul 2022 : Clinical Research
A Single-Center Study Comparing the Effects of Thoracic Spine Manipulation vs Mobility Exercises in 26 Office Workers with Chronic Neck Pain: A Randomized Controlled Clinical Study
Jongmin Seo, Changho Song, Doochul Shin
DOI: 10.12659/MSM.937316
Med Sci Monit 2022; 28:e937316
20,835

07 Jul 2022 : Clinical Research
Optimal Timing and Outcomes of Minimally Invasive Approach in Acute Biliary Pancreatitis
DOI: 10.12659/MSM.937016
Med Sci Monit 2022; 28:e937016

07 Jul 2022 : Clinical Research
Optimal Timing and Outcomes of Minimally Invasive Approach in Acute Biliary Pancreatitis
Mihai Faur, Sorin Radu Fleaca
, Claudia Diana Gherman, Ciprian Ionut Bacila, Denisa Tanasescu, Dragos Serban
, Laura Carina Tribus, Corneliu Tudor
, Gabriel Catalin Smarandache, Daniel Ovidiu Costea, Mihail Silviu Tudosie, Dan Sabau, Gabriel Andrei Gangura, Ciprian Tanasescu
DOI: 10.12659/MSM.937016
Med Sci Monit 2022; 28:e937016
4,557
Editorial
01 November 2025 : Editorial
Editorial: Hypertrophic Cardiomyopathy and Precision Medicine in Cardiovascular DiseaseDOI: 10.12659/MSM.951868
Med Sci Monit 2025; 31:e951868
In Press
Review article
Association of Childhood Asthma with the Concept of Exposomics: A Short ReviewMed Sci Monit In Press; DOI: 10.12659/MSM.949589
Clinical Research
Association of Hyperuricemia with Cardiovascular Risk Factors and Cardiac Structural Changes in Patients Un...Med Sci Monit In Press; DOI: 10.12659/MSM.949422
Clinical Research
Predictive Value of IBI for In-Hospital Death in Elderly Patients with Non-ST-Segment Elevation Myocardial ...Med Sci Monit In Press; DOI: 10.12659/MSM.950592
Clinical Research
Short-Segment Bone Cement–Augmented Pedicle Screw Fixation Combined With Bone Grafting for Management of Ku...Med Sci Monit In Press; DOI: 10.12659/MSM.949901
Most Viewed Current Articles
17 Jan 2024 : Review article 10,154,901
Vaccination Guidelines for Pregnant Women: Addressing COVID-19 and the Omicron VariantDOI :10.12659/MSM.942799
Med Sci Monit 2024; 30:e942799
13 Nov 2021 : Clinical Research 3,690,259
Acceptance of COVID-19 Vaccination and Its Associated Factors Among Cancer Patients Attending the Oncology ...DOI :10.12659/MSM.932788
Med Sci Monit 2021; 27:e932788
14 Dec 2022 : Clinical Research 2,334,173
Prevalence and Variability of Allergen-Specific Immunoglobulin E in Patients with Elevated Tryptase LevelsDOI :10.12659/MSM.937990
Med Sci Monit 2022; 28:e937990
16 May 2023 : Clinical Research 705,709
Electrophysiological Testing for an Auditory Processing Disorder and Reading Performance in 54 School Stude...DOI :10.12659/MSM.940387
Med Sci Monit 2023; 29:e940387
