Current Volume 28, 2022 - Page: 5

29 Aug 2022 : Database Analysis
Transcriptome Analysis of Peripheral Blood Mononuclear Cells Response in Patients with Severe COVID-19 Reveals Crucial Genes Regulating Protein Ubiquitination
Jinfeng Huang, Ruobing Li
DOI: 10.12659/MSM.937532
Med Sci Monit 2022; 28:e937532

29 Aug 2022 : Database Analysis
Transcriptome Analysis of Peripheral Blood Mononuclear Cells Response in Patients with Severe COVID-19 Reveals Crucial Genes Regulating Protein Ubiquitination
Jinfeng Huang, Ruobing Li, Jie Cheng, Peilin Zhen
DOI: 10.12659/MSM.937532
Med Sci Monit 2022; 28:e937532
8,229

26 Aug 2022 : Clinical Research
Comparison of Local and Systemic Ibuprofen for Relief of Postoperative Pain in Symptomatic Teeth with Apical Periodontitis
İbrahim Uysal
, Veysel Eratilla
DOI: 10.12659/MSM.937339
Med Sci Monit 2022; 28:e937339

26 Aug 2022 : Clinical Research
Comparison of Local and Systemic Ibuprofen for Relief of Postoperative Pain in Symptomatic Teeth with Apical Periodontitis
İbrahim Uysal
, Veysel Eratilla
, Celalettin Topbaş
, İsmail Ergül
, Yusuf Çelik
DOI: 10.12659/MSM.937339
Med Sci Monit 2022; 28:e937339
6,053

25 Aug 2022 : Clinical Research
Cross-Cultural Adaptation of the Godin-Shephard Leisure-Time Physical Activity Questionnaire for Arabic Population and Testing its Psychometric Properties
Faisal Asiri, Jaya Shanker Tedla
DOI: 10.12659/MSM.937245
Med Sci Monit 2022; 28:e937245

25 Aug 2022 : Clinical Research
Cross-Cultural Adaptation of the Godin-Shephard Leisure-Time Physical Activity Questionnaire for Arabic Population and Testing its Psychometric Properties
Faisal Asiri, Jaya Shanker Tedla, Ravi Shankar Reddy
, Mastour Saeed Alshahrani, Adel Alshahrani, Devika Rani Sangadala, Kumar Gular, Venkata Nagaraj Kakaraparthi, Snehil Dixit
DOI: 10.12659/MSM.937245
Med Sci Monit 2022; 28:e937245
4,502

24 Aug 2022 : Clinical Research
Risk Factors and Pathogen Spectrum in Continuous Ambulatory Peritoneal Dialysis-Associated Peritonitis: A Single Center Retrospective Study
Supei Yin, Ming Tang
DOI: 10.12659/MSM.937112
Med Sci Monit 2022; 28:e937112

24 Aug 2022 : Clinical Research
Risk Factors and Pathogen Spectrum in Continuous Ambulatory Peritoneal Dialysis-Associated Peritonitis: A Single Center Retrospective Study
Supei Yin, Ming Tang, Zhengsheng Rao, Ximing Chen, Mengjuan Zhang, Ling Liu, Keqin Zhang
DOI: 10.12659/MSM.937112
Med Sci Monit 2022; 28:e937112
6,148

23 Aug 2022 : Meta-Analysis
Optimal Surgical Treatment Method for Anterior Cruciate Ligament Rupture: Results from a Network Meta-Analysis
Yudi Wu, Yajia Li
DOI: 10.12659/MSM.937118
Med Sci Monit 2022; 28:e937118

23 Aug 2022 : Meta-Analysis
Optimal Surgical Treatment Method for Anterior Cruciate Ligament Rupture: Results from a Network Meta-Analysis
Yudi Wu, Yajia Li, Jia Guo, Qianxiang Li, Jianhuang Wu, Ziqin Cao, Yulin Song
DOI: 10.12659/MSM.937118
Med Sci Monit 2022; 28:e937118
6,703

22 Aug 2022 : Editorial
Editorial: The Metabolic (Dysfunction)-Associated Fatty Liver Disease (MAFLD) and Non-Alcoholic Fatty Liver Disease (NAFLD) Debate: Why the American Association for the Study of Liver Diseases (AASLD) and European Association for the Study of the Liver (EASL) Consensus Process is Not Representative
Yasser Mahrous Fouad, Ahmed Gomaa
DOI: 10.12659/MSM.938066
Med Sci Monit 2022; 28:e938066

22 Aug 2022 : Editorial
Editorial: The Metabolic (Dysfunction)-Associated Fatty Liver Disease (MAFLD) and Non-Alcoholic Fatty Liver Disease (NAFLD) Debate: Why the American Association for the Study of Liver Diseases (AASLD) and European Association for the Study of the Liver (EASL) Consensus Process is Not Representative
Yasser Mahrous Fouad, Ahmed Gomaa, Rasha Mohamed El Etreby, Mohamed AbdAllah
, Dina Attia
DOI: 10.12659/MSM.938066
Med Sci Monit 2022; 28:e938066
10,273

22 Aug 2022 : Review article
Programmed Cell Death in Diabetic Nephropathy: A Review of Apoptosis, Autophagy, and Necroptosis
Nour S. Erekat,
DOI: 10.12659/MSM.937766
Med Sci Monit 2022; 28:e937766

22 Aug 2022 : Review article
Programmed Cell Death in Diabetic Nephropathy: A Review of Apoptosis, Autophagy, and Necroptosis
Nour S. Erekat
DOI: 10.12659/MSM.937766
Med Sci Monit 2022; 28:e937766
14,108

19 Aug 2022 : Database Analysis
Use and Effects of Augmentation of Labor with Oxytocin: A Single-Center, Retrospective, Case-Control Study of 4350 Women in Warsaw, Poland, 2015-2020
Grażyna Bączek, Sylwia Rychlewicz
DOI: 10.12659/MSM.937557
Med Sci Monit 2022; 28:e937557

19 Aug 2022 : Database Analysis
Use and Effects of Augmentation of Labor with Oxytocin: A Single-Center, Retrospective, Case-Control Study of 4350 Women in Warsaw, Poland, 2015-2020
Grażyna Bączek, Sylwia Rychlewicz
, Margareta Budner, Ilona Kowalska, Robert Gałązkowski, Justyna Teliga-Czajkowska
DOI: 10.12659/MSM.937557
Med Sci Monit 2022; 28:e937557
4,853

18 Aug 2022 : Clinical Research
A 3-Year Clinical Evaluation of Endodontically Treated Posterior Teeth Restored with Resin Nanoceramic Computer-Aided Design/Computer-Aided Manufacture (CAD/CAM)-Fabricated Partial Crowns
Lei Zhang, Xiao-Xia Hou
DOI: 10.12659/MSM.937331
Med Sci Monit 2022; 28:e937331

18 Aug 2022 : Clinical Research
A 3-Year Clinical Evaluation of Endodontically Treated Posterior Teeth Restored with Resin Nanoceramic Computer-Aided Design/Computer-Aided Manufacture (CAD/CAM)-Fabricated Partial Crowns
Lei Zhang, Xiao-Xia Hou, Maihefuzi Aishan, Meng-Ting Tian, Hui-Yu He
DOI: 10.12659/MSM.937331
Med Sci Monit 2022; 28:e937331
4,091

17 Aug 2022 : Clinical Research
A Retrospective Study of 98 Elderly Patients with High-Risk Lateral Femoral Wall Intertrochanteric Hip Fractures to Compare Outcomes Following Surgery with Proximal Femoral Nail Antirotation (PFNA) Versus Dynamic Hip Screw (DHS)
Zhi Tian, Jia Chen
DOI: 10.12659/MSM.936923
Med Sci Monit 2022; 28:e936923

17 Aug 2022 : Clinical Research
A Retrospective Study of 98 Elderly Patients with High-Risk Lateral Femoral Wall Intertrochanteric Hip Fractures to Compare Outcomes Following Surgery with Proximal Femoral Nail Antirotation (PFNA) Versus Dynamic Hip Screw (DHS)
Zhi Tian, Jia Chen, Yazhou Zhang, Lifang Shi, Wenyi Li
DOI: 10.12659/MSM.936923
Med Sci Monit 2022; 28:e936923
4,522

16 Aug 2022 : Clinical Research
Hemoglobin/Red Blood Cell Distribution Width Ratio in Peripheral Blood Is Positively Associated with Prognosis of Patients with Primary Hepatocellular Carcinoma
Yue Fang, Xiaonan Sun
DOI: 10.12659/MSM.937146
Med Sci Monit 2022; 28:e937146

16 Aug 2022 : Clinical Research
Hemoglobin/Red Blood Cell Distribution Width Ratio in Peripheral Blood Is Positively Associated with Prognosis of Patients with Primary Hepatocellular Carcinoma
Yue Fang, Xiaonan Sun, Lu Zhang, Yidan Xu, Wen Zhu
DOI: 10.12659/MSM.937146
Med Sci Monit 2022; 28:e937146
4,607

15 Aug 2022 : Editorial
Editorial: The Metabolic (Dysfunction) Associated Fatty Liver Disease (MAFLD)-Non-Alcoholic Fatty Liver Disease (NAFLD) Debate: A Forced Consensus and The Risk of a World Divide
Nahum Méndez-Sánchez, Ming-Hua Zheng
DOI: 10.12659/MSM.938080
Med Sci Monit 2022; 28:e938080

15 Aug 2022 : Editorial
Editorial: The Metabolic (Dysfunction) Associated Fatty Liver Disease (MAFLD)-Non-Alcoholic Fatty Liver Disease (NAFLD) Debate: A Forced Consensus and The Risk of a World Divide
Nahum Méndez-Sánchez, Ming-Hua Zheng, Takumi Kawaguchi, Shiv K. Sarin
DOI: 10.12659/MSM.938080
Med Sci Monit 2022; 28:e938080
8,061

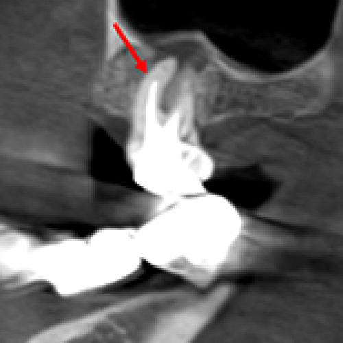
15 Aug 2022 : Clinical Research
Radiological Assessment of Prevalance and Quality of Periapical Status of Endodontic Treatments
Zeynep Aysal
, Husniye Demirturk Kocasarac
DOI: 10.12659/MSM.936569
Med Sci Monit 2022; 28:e936569

15 Aug 2022 : Clinical Research
Radiological Assessment of Prevalance and Quality of Periapical Status of Endodontic Treatments
Zeynep Aysal
, Husniye Demirturk Kocasarac
, Kaan Orhan
, Dilek Helvacioglu-Yigit
DOI: 10.12659/MSM.936569
Med Sci Monit 2022; 28:e936569
7,279

12 Aug 2022 : Clinical Research
Clinical Value of Metagenomic Next-Generation Sequencing in Immunocompromised Patients with Sepsis
Zheng Cheng, Feng Yu
DOI: 10.12659/MSM.937041
Med Sci Monit 2022; 28:e937041

12 Aug 2022 : Clinical Research
Clinical Value of Metagenomic Next-Generation Sequencing in Immunocompromised Patients with Sepsis
Zheng Cheng, Feng Yu
DOI: 10.12659/MSM.937041
Med Sci Monit 2022; 28:e937041
4,228

11 Aug 2022 : Clinical Research
Surgical Management of 48 Patients with Retrosternal Goiter and Tracheal Stenosis: A Retrospective Clinical Study from a Single Surgical Center
Tao Zuo, Zhaoming Gao
DOI: 10.12659/MSM.936637
Med Sci Monit 2022; 28:e936637

11 Aug 2022 : Clinical Research
Surgical Management of 48 Patients with Retrosternal Goiter and Tracheal Stenosis: A Retrospective Clinical Study from a Single Surgical Center
Tao Zuo, Zhaoming Gao, Zhiguo Chen, Bin Wen, Baojun Chen, Zhenfa Zhang
DOI: 10.12659/MSM.936637
Med Sci Monit 2022; 28:e936637
6,000

10 Aug 2022 : Clinical Research
A Retrospective Study from a Single Center to Identify Hematological Factors that Distinguish Between Patients with Colorectal Carcinoma and Colorectal Adenoma
Jun Huang, Pingping Xu
DOI: 10.12659/MSM.936745
Med Sci Monit 2022; 28:e936745

10 Aug 2022 : Clinical Research
A Retrospective Study from a Single Center to Identify Hematological Factors that Distinguish Between Patients with Colorectal Carcinoma and Colorectal Adenoma
Jun Huang, Pingping Xu, Youxiang Chen
DOI: 10.12659/MSM.936745
Med Sci Monit 2022; 28:e936745
6,158

09 Aug 2022 : Animal Research
Label-Free Mass Spectrometry-Based Quantitative Proteomics to Evaluate the Effects of the Calcium-Sensing Receptor Agonist Cinacalcet on Protein Expression in Rat Brains and Livers
DOI: 10.12659/MSM.937338
Med Sci Monit 2022; 28:e937338

09 Aug 2022 : Animal Research
Label-Free Mass Spectrometry-Based Quantitative Proteomics to Evaluate the Effects of the Calcium-Sensing Receptor Agonist Cinacalcet on Protein Expression in Rat Brains and Livers
Ewa Bulska
, Andrzej Gawor
, Anna Konopka
, Grzegorz Wryk, Bożena Czarkowska-Pączek
, Zdzisław Gajewski
, Leszek Pączek
DOI: 10.12659/MSM.937338
Med Sci Monit 2022; 28:e937338
7,474

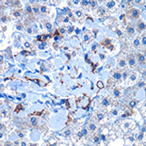
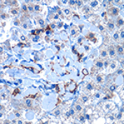
08 Aug 2022 : Clinical Research
Identification of Hepatic Dendritic Cells in Liver Biopsies Showing Steatosis in Patients with Metabolic Dysfunction-Associated Fatty Liver Disease (MAFLD) Associated with Obesity
Beatriz Barranco-Fragoso, Shreya C. Pal
DOI: 10.12659/MSM.937528
Med Sci Monit 2022; 28:e937528

08 Aug 2022 : Clinical Research
Identification of Hepatic Dendritic Cells in Liver Biopsies Showing Steatosis in Patients with Metabolic Dysfunction-Associated Fatty Liver Disease (MAFLD) Associated with Obesity
Beatriz Barranco-Fragoso, Shreya C. Pal
, Luis E. Díaz-Orozco
, Rita Dorantes-Heredia
, Xingshun Qi, Nahum Méndez-Sánchez
DOI: 10.12659/MSM.937528
Med Sci Monit 2022; 28:e937528
6,608

05 Aug 2022 : Clinical Research
Safety and Efficacy of the Baska Mask Versus Endotracheal Intubation in 64 Women Undergoing Elective Laparoscopic Gynecological Surgery Under General Anesthesia: A Prospective Single-Center Study
DOI: 10.12659/MSM.937630
Med Sci Monit 2022; 28:e937630

05 Aug 2022 : Clinical Research
Safety and Efficacy of the Baska Mask Versus Endotracheal Intubation in 64 Women Undergoing Elective Laparoscopic Gynecological Surgery Under General Anesthesia: A Prospective Single-Center Study
Hyoeun Ahn
, Sang-Kee Min, Ji young Park, Won Seok Seo, Jong Yeop Kim
DOI: 10.12659/MSM.937630
Med Sci Monit 2022; 28:e937630
5,122

04 Aug 2022 : Clinical Research
Hair Sample Analysis of Residents from Olsztyn, Northeastern Poland, to Evaluate Levels of Bisphenol S and Bisphenol A: A Pilot Study
Sławomir Gonkowski, Manolis Tzatzarakis
DOI: 10.12659/MSM.936738
Med Sci Monit 2022; 28:e936738

04 Aug 2022 : Clinical Research
Hair Sample Analysis of Residents from Olsztyn, Northeastern Poland, to Evaluate Levels of Bisphenol S and Bisphenol A: A Pilot Study
Sławomir Gonkowski, Manolis Tzatzarakis, Eleni Dermitzaki, Krystyna Makowska, Joanna Wojtkiewicz
DOI: 10.12659/MSM.936738
Med Sci Monit 2022; 28:e936738
4,035

03 Aug 2022 : Clinical Research
Evaluation of Bromelain-Based Enzymatic Debridement Combined with Laser Doppler Imaging and Healing of Burn Wounds
Tomasz Korzeniowski, Jerzy Strużyna
DOI: 10.12659/MSM.936713
Med Sci Monit 2022; 28:e936713

03 Aug 2022 : Clinical Research
Evaluation of Bromelain-Based Enzymatic Debridement Combined with Laser Doppler Imaging and Healing of Burn Wounds
Tomasz Korzeniowski, Jerzy Strużyna, Kamil Torres
DOI: 10.12659/MSM.936713
Med Sci Monit 2022; 28:e936713
5,104

02 Aug 2022 : Database Analysis
Effectiveness of Multimodal Chiropractic Care Featuring Spinal Manipulation for Persistent Spinal Pain Syndrome Following Lumbar Spine Surgery: Retrospective Chart Review of 31 Adults in Hong Kong
Eric Chun-Pu Chu
, Robert J. Trager
DOI: 10.12659/MSM.937640
Med Sci Monit 2022; 28:e937640

02 Aug 2022 : Database Analysis
Effectiveness of Multimodal Chiropractic Care Featuring Spinal Manipulation for Persistent Spinal Pain Syndrome Following Lumbar Spine Surgery: Retrospective Chart Review of 31 Adults in Hong Kong
Eric Chun-Pu Chu
, Robert J. Trager
DOI: 10.12659/MSM.937640
Med Sci Monit 2022; 28:e937640
7,338

01 Aug 2022 : Editorial
Editorial: Long-Term Effects of Symptomatic and Asymptomatic SARS-CoV-2 Infection in Children and the Changing Pathogenesis of Common Childhood Viruses Driven by the COVID-19 Pandemic
Dinah V. Parums,
DOI: 10.12659/MSM.937927
Med Sci Monit 2022; 28:e937927

01 Aug 2022 : Editorial
Editorial: Long-Term Effects of Symptomatic and Asymptomatic SARS-CoV-2 Infection in Children and the Changing Pathogenesis of Common Childhood Viruses Driven by the COVID-19 Pandemic
Dinah V. Parums
DOI: 10.12659/MSM.937927
Med Sci Monit 2022; 28:e937927
24,042

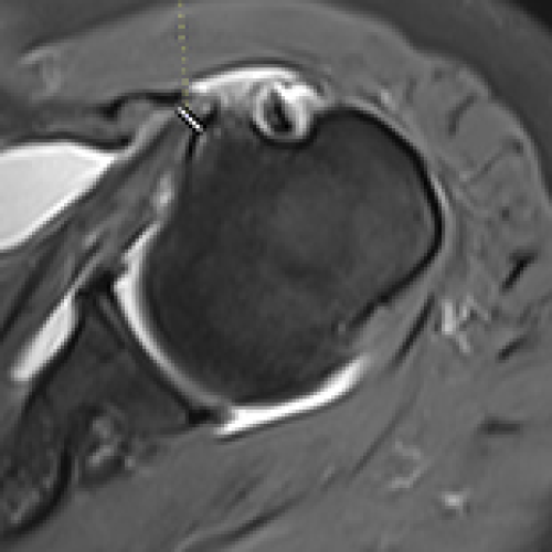
01 Aug 2022 : Clinical Research
Identification of Diagnostic Magnetic Resonance Imaging Findings in 47 Shoulders with Subcoracoid Impingement Syndrome by Comparison with 100 Normal Shoulders
Jia-feng Yu, Ping Xie
DOI: 10.12659/MSM.936703
Med Sci Monit 2022; 28:e936703

01 Aug 2022 : Clinical Research
Identification of Diagnostic Magnetic Resonance Imaging Findings in 47 Shoulders with Subcoracoid Impingement Syndrome by Comparison with 100 Normal Shoulders
Jia-feng Yu, Ping Xie, Ke-fu Liu, Yan Sun, Jing Zhang, Hui Zhu, Yue-hao Chen
DOI: 10.12659/MSM.936703
Med Sci Monit 2022; 28:e936703
4,114

31 Jul 2022 : Clinical Research
A Systematic Review of Cross-Sectional Studies Conducted in the Kingdom of Saudi Arabia on Levels of Dental Anxiety Between Genders and Demographic Groups
Mohammed Y. Tarrosh, Yaser Ali Alhazmi
DOI: 10.12659/MSM.937470
Med Sci Monit 2022; 28:e937470

31 Jul 2022 : Clinical Research
A Systematic Review of Cross-Sectional Studies Conducted in the Kingdom of Saudi Arabia on Levels of Dental Anxiety Between Genders and Demographic Groups
Mohammed Y. Tarrosh, Yaser Ali Alhazmi, Mohammed Yahya Aljabri, Mohammed Mousa H. Bakri
, Hamed A. Al Shawkani, Mohammed M. Al Moaleem, Thiyezen Abdullah Al-Dhelai
, Shilpa Bhandi, Shankargouda Patil
DOI: 10.12659/MSM.937470
Med Sci Monit 2022; 28:e937470
6,839
Editorial
01 November 2025 : Editorial
Editorial: Hypertrophic Cardiomyopathy and Precision Medicine in Cardiovascular DiseaseDOI: 10.12659/MSM.951868
Med Sci Monit 2025; 31:e951868
In Press
Review article
Association of Childhood Asthma with the Concept of Exposomics: A Short ReviewMed Sci Monit In Press; DOI: 10.12659/MSM.949589
Clinical Research
Association of Hyperuricemia with Cardiovascular Risk Factors and Cardiac Structural Changes in Patients Un...Med Sci Monit In Press; DOI: 10.12659/MSM.949422
Clinical Research
Predictive Value of IBI for In-Hospital Death in Elderly Patients with Non-ST-Segment Elevation Myocardial ...Med Sci Monit In Press; DOI: 10.12659/MSM.950592
Clinical Research
Short-Segment Bone Cement–Augmented Pedicle Screw Fixation Combined With Bone Grafting for Management of Ku...Med Sci Monit In Press; DOI: 10.12659/MSM.949901
Most Viewed Current Articles
17 Jan 2024 : Review article 10,154,901
Vaccination Guidelines for Pregnant Women: Addressing COVID-19 and the Omicron VariantDOI :10.12659/MSM.942799
Med Sci Monit 2024; 30:e942799
13 Nov 2021 : Clinical Research 3,690,259
Acceptance of COVID-19 Vaccination and Its Associated Factors Among Cancer Patients Attending the Oncology ...DOI :10.12659/MSM.932788
Med Sci Monit 2021; 27:e932788
14 Dec 2022 : Clinical Research 2,334,173
Prevalence and Variability of Allergen-Specific Immunoglobulin E in Patients with Elevated Tryptase LevelsDOI :10.12659/MSM.937990
Med Sci Monit 2022; 28:e937990
16 May 2023 : Clinical Research 705,709
Electrophysiological Testing for an Auditory Processing Disorder and Reading Performance in 54 School Stude...DOI :10.12659/MSM.940387
Med Sci Monit 2023; 29:e940387
