Current Volume 28, 2022 - Page: 4

27 Sep 2022 : Database Analysis
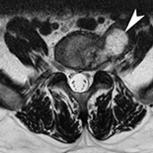
Prevalence of Serious Pathology Among Adults with Low Back Pain Presenting for Chiropractic Care: A Retrospective Chart Review of Integrated Clinics in Hong Kong
Eric Chun-Pu Chu
, Robert J. Trager
DOI: 10.12659/MSM.938042
Med Sci Monit 2022; 28:e938042

27 Sep 2022 : Database Analysis
Prevalence of Serious Pathology Among Adults with Low Back Pain Presenting for Chiropractic Care: A Retrospective Chart Review of Integrated Clinics in Hong Kong
Eric Chun-Pu Chu
, Robert J. Trager
DOI: 10.12659/MSM.938042
Med Sci Monit 2022; 28:e938042
6,102

26 Sep 2022 : Clinical Research
Factors Associated with Placenta Previa: A Retrospective, Single-Center Study in Turkey
Fatih Mehmet Findik,
DOI: 10.12659/MSM.938023
Med Sci Monit 2022; 28:e938023

26 Sep 2022 : Clinical Research
Factors Associated with Placenta Previa: A Retrospective, Single-Center Study in Turkey
Fatih Mehmet Findik
DOI: 10.12659/MSM.938023
Med Sci Monit 2022; 28:e938023
4,922

23 Sep 2022 : Clinical Research
Reliability and Validity of Patient-Reported Outcome Measures for Ankle Instability in Hebrew
Uri Gottlieb, Tomer Yona
DOI: 10.12659/MSM.937831
Med Sci Monit 2022; 28:e937831

23 Sep 2022 : Clinical Research
Reliability and Validity of Patient-Reported Outcome Measures for Ankle Instability in Hebrew
Uri Gottlieb, Tomer Yona, David Shein Lumbroso, Jay R. Hoffman, Shmuel Springer
DOI: 10.12659/MSM.937831
Med Sci Monit 2022; 28:e937831
6,204

22 Sep 2022 : Clinical Research
Impact of Adherence with Disease-Modifying Therapies on All-Cause Mortality Rates Among Veterans with Multiple Sclerosis
Meheroz H. Rabadi, Kimberly Just
DOI: 10.12659/MSM.938116
Med Sci Monit 2022; 28:e938116

22 Sep 2022 : Clinical Research
Impact of Adherence with Disease-Modifying Therapies on All-Cause Mortality Rates Among Veterans with Multiple Sclerosis
Meheroz H. Rabadi, Kimberly Just, Chao Xu
DOI: 10.12659/MSM.938116
Med Sci Monit 2022; 28:e938116
4,910

21 Sep 2022 : Clinical Research
Dental Health and Quality of Life in 117 Patients from Kosovo, Aged 6-80 Years, Evaluated Using the Dental Impact on Daily Living (DIDL) Questionnaire and the Oral Health-Related Quality of Life (OHRQoL) Questionnaire
Fehim Haliti, Sinan Rusinovci
DOI: 10.12659/MSM.938072
Med Sci Monit 2022; 28:e938072

21 Sep 2022 : Clinical Research
Dental Health and Quality of Life in 117 Patients from Kosovo, Aged 6-80 Years, Evaluated Using the Dental Impact on Daily Living (DIDL) Questionnaire and the Oral Health-Related Quality of Life (OHRQoL) Questionnaire
Fehim Haliti, Sinan Rusinovci, Dion Haliti, Dea Haliti, Jonila Rusinovci, Elena Hajdari, Tomislav Jukic, David Stubljar
DOI: 10.12659/MSM.938072
Med Sci Monit 2022; 28:e938072
4,672

20 Sep 2022 : Clinical Research
Intensive Care Residents’ Views Regarding Ethical Issues and Practices
Şükran Sevimli, Arzu Esen Tekeli
DOI: 10.12659/MSM.937357
Med Sci Monit 2022; 28:e937357

20 Sep 2022 : Clinical Research
Intensive Care Residents’ Views Regarding Ethical Issues and Practices
Şükran Sevimli, Arzu Esen Tekeli
DOI: 10.12659/MSM.937357
Med Sci Monit 2022; 28:e937357
3,881

19 Sep 2022 : Clinical Research
Circulating Methylated SEPT9 DNA Analyses to Predict Recurrence Risk and Adjuvant Chemotherapy Benefit in Stage II to III Colorectal Cancer
Zhen Yuan, Shuyuan Wang
DOI: 10.12659/MSM.937757
Med Sci Monit 2022; 28:e937757

19 Sep 2022 : Clinical Research
Circulating Methylated SEPT9 DNA Analyses to Predict Recurrence Risk and Adjuvant Chemotherapy Benefit in Stage II to III Colorectal Cancer
Zhen Yuan, Shuyuan Wang, Kemin Ni
, Yixiang Zhan, Hong Ma, Xinyu Liu, Ran Xin
, Xingyu Zhou, Zhaoce Liu, Xuanzhu Zhao, Xin Yin, Hangyu Ping, Yaohong Liu, Wanting Wang, Suying Yan, Qiurong Han, Wei Cui
, Xipeng Zhang, Qinghuai Zhang, Chunze Zhang
DOI: 10.12659/MSM.937757
Med Sci Monit 2022; 28:e937757
8,073

16 Sep 2022 : Errate
Errate: Remimazolam Tosilate Sedation with Adjuvant Sufentanil in Chinese Patients with Liver Cirrhosis Undergoing Gastroscopy: A Randomized Controlled Study
YingHao Cao, Ping Chi
DOI: 10.12659/MSM.938399
Med Sci Monit 2022; 28:e938399

16 Sep 2022 : Errate
Errate: Remimazolam Tosilate Sedation with Adjuvant Sufentanil in Chinese Patients with Liver Cirrhosis Undergoing Gastroscopy: A Randomized Controlled Study
YingHao Cao, Ping Chi, Chen Zhou, WenFei Lv, ZheFen Quan, Fu Shan Xue
DOI: 10.12659/MSM.938399
Med Sci Monit 2022; 28:e938399
5,560

16 Sep 2022 : Review article
Mechanisms of Myocardial Damage Due to Hyperlipidemia: A Review of Recent Studies
Zhiqi Zhang, Hongyi Wu
DOI: 10.12659/MSM.937051
Med Sci Monit 2022; 28:e937051

16 Sep 2022 : Review article
Mechanisms of Myocardial Damage Due to Hyperlipidemia: A Review of Recent Studies
Zhiqi Zhang, Hongyi Wu, Tao Wang, Yao Liu, Chun Meng
DOI: 10.12659/MSM.937051
Med Sci Monit 2022; 28:e937051
6,951

15 Sep 2022 : Clinical Research
Endobiliary Ablation Combined with Immune Nutrition Improves Quality of Life: A Preliminary Clinical Study in Patients with Advanced Malignant Obstructive Jaundice
Jie Yao, Yalin Kong
DOI: 10.12659/MSM.936863
Med Sci Monit 2022; 28:e936863

15 Sep 2022 : Clinical Research
Endobiliary Ablation Combined with Immune Nutrition Improves Quality of Life: A Preliminary Clinical Study in Patients with Advanced Malignant Obstructive Jaundice
Jie Yao, Yalin Kong, Cheng Wang, Yaping Wei, Hailian Li, Chengli Liu
DOI: 10.12659/MSM.936863
Med Sci Monit 2022; 28:e936863
4,968

14 Sep 2022 : Clinical Research
C-Reactive Protein/Albumin Ratio at Diagnosis of Pediatric Inflammatory Bowel Disease: A Retrospective Multi-Center Study
Aleksandra Glapa-Nowak
, Mariusz Szczepanik
DOI: 10.12659/MSM.937842
Med Sci Monit 2022; 28:e937842

14 Sep 2022 : Clinical Research
C-Reactive Protein/Albumin Ratio at Diagnosis of Pediatric Inflammatory Bowel Disease: A Retrospective Multi-Center Study
Aleksandra Glapa-Nowak
, Mariusz Szczepanik
, Aleksandra Banaszkiewicz
, Jarosław Kwiecień
, Anna Szaflarska-Popławska, Urszula Grzybowska-Chlebowczyk
, Marcin Osiecki
, Jarosław Kierkuś
, Marcin Dziekiewicz
, Jarosław Walkowiak
DOI: 10.12659/MSM.937842
Med Sci Monit 2022; 28:e937842
5,628

13 Sep 2022 : Clinical Research
A Case-Control Study of the Effects of Implementing the Registered Nurses’ Association of Ontario Guidelines for the Assessment and Management of Postoperative Pain and the Use of Relaxation Therapy in 312 Patients with Bone and Soft-Tissue Malignancy
Qian Gao, Qi Xu
DOI: 10.12659/MSM.937496
Med Sci Monit 2022; 28:e937496

13 Sep 2022 : Clinical Research
A Case-Control Study of the Effects of Implementing the Registered Nurses’ Association of Ontario Guidelines for the Assessment and Management of Postoperative Pain and the Use of Relaxation Therapy in 312 Patients with Bone and Soft-Tissue Malignancy
Qian Gao, Qi Xu, Xiaowei Zhou, Zhaonong Yao, Yuhong Yao
DOI: 10.12659/MSM.937496
Med Sci Monit 2022; 28:e937496
6,296

12 Sep 2022 : Editorial
Editorial: Treatment with Dual Incretin Receptor Agonists to Maintain Normal Glucose Levels May Also Maintain Normal Weight and Control Metabolic Dysfunction-Associated Fatty Liver Disease (MAFLD)
Ana Luisa Ordóñez-Vázquez, Sofía Murúa Beltrán-Gall
DOI: 10.12659/MSM.938365
Med Sci Monit 2022; 28:e938365

12 Sep 2022 : Editorial
Editorial: Treatment with Dual Incretin Receptor Agonists to Maintain Normal Glucose Levels May Also Maintain Normal Weight and Control Metabolic Dysfunction-Associated Fatty Liver Disease (MAFLD)
Ana Luisa Ordóñez-Vázquez, Sofía Murúa Beltrán-Gall, Shreya C. Pal, Nahum Méndez-Sánchez
DOI: 10.12659/MSM.938365
Med Sci Monit 2022; 28:e938365
10,866

12 Sep 2022 : Clinical Research
Single Center to Evaluate and Compare Anisometropic Amblyopia in Adults Using Blood Oxygenation Level-Dependent Functional Magnetic Resonance Imaging and Diffusion Kurtosis Imaging
Yajun Mu, Xiaoyan Qin
DOI: 10.12659/MSM.937880
Med Sci Monit 2022; 28:e937880

12 Sep 2022 : Clinical Research
Single Center to Evaluate and Compare Anisometropic Amblyopia in Adults Using Blood Oxygenation Level-Dependent Functional Magnetic Resonance Imaging and Diffusion Kurtosis Imaging
Yajun Mu, Xiaoyan Qin, Nailin Yao, Dong Zhang, Yuanting Yang, Ziqing Huang, Fangyuan Chen, Chaoqun Liu, Yuying Dong, Rijia Zhang, Jian Chen, Qing Zhou
DOI: 10.12659/MSM.937880
Med Sci Monit 2022; 28:e937880
2,896

09 Sep 2022 : Clinical Research
Use of Mobile Apps and Wearables to Monitor Diet, Weight, and Physical Activity: A Cross-Sectional Survey of Adults in Poland
Adam Żarnowski, Mateusz Jankowski
DOI: 10.12659/MSM.937948
Med Sci Monit 2022; 28:e937948

09 Sep 2022 : Clinical Research
Use of Mobile Apps and Wearables to Monitor Diet, Weight, and Physical Activity: A Cross-Sectional Survey of Adults in Poland
Adam Żarnowski, Mateusz Jankowski, Mariusz Gujski
DOI: 10.12659/MSM.937948
Med Sci Monit 2022; 28:e937948
6,422

08 Sep 2022 : Clinical Research
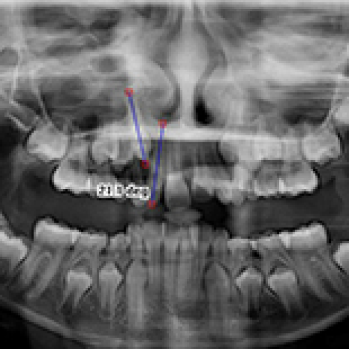
Evaluation of Mesiodistal Root Angulation of Permanent Incisors, Canines, and First Pre-Molars by Orthopantomogram Dental Imaging Findings in 296 Children Aged 6-14 Years
Santosh Kumar Goje, Bhavna Dave
DOI: 10.12659/MSM.937833
Med Sci Monit 2022; 28:e937833

08 Sep 2022 : Clinical Research
Evaluation of Mesiodistal Root Angulation of Permanent Incisors, Canines, and First Pre-Molars by Orthopantomogram Dental Imaging Findings in 296 Children Aged 6-14 Years
Santosh Kumar Goje, Bhavna Dave, Ali Abdel-Halim Abdel-Azim Hassan, Sarah Ahmed Bahammam, Hammam Ahmed Bahammam
, Bassam Zidane, Abdulrahman Alshehri, Wael Awadh, Shilpa Bhandi, A. Thirumal Raj
, Shankargouda Patil
DOI: 10.12659/MSM.937833
Med Sci Monit 2022; 28:e937833
4,864

07 Sep 2022 : Clinical Research
Measurement of Serum Levels of 5 Amino Acids and Dimethylamine Using Liquid Chromatography-Tandem Mass Spectrometry in Patients without Septic Associated Acute Kidney Injury and with Septic Associated Acute Kidney Injury Requiring Continuous Renal Replacement Therapy
Patrycja Leśnik, Lidia Łysenko
DOI: 10.12659/MSM.937784
Med Sci Monit 2022; 28:e937784

07 Sep 2022 : Clinical Research
Measurement of Serum Levels of 5 Amino Acids and Dimethylamine Using Liquid Chromatography-Tandem Mass Spectrometry in Patients without Septic Associated Acute Kidney Injury and with Septic Associated Acute Kidney Injury Requiring Continuous Renal Replacement Therapy
Patrycja Leśnik, Lidia Łysenko, Mariusz G. Fleszar
, Paulina Fortuna
, Ewa Woźnica-Niesobska
, Magdalena Mierzchała-Pasierb, Jarosław Janc
DOI: 10.12659/MSM.937784
Med Sci Monit 2022; 28:e937784
5,109

06 Sep 2022 : Clinical Research
Predictive Value of Red Blood Cell Distribution Width and Atrial Diameter in Paroxysmal Atrial Fibrillation: A Cross-Sectional Study
DOI: 10.12659/MSM.937802
Med Sci Monit 2022; 28:e937802

06 Sep 2022 : Clinical Research
Predictive Value of Red Blood Cell Distribution Width and Atrial Diameter in Paroxysmal Atrial Fibrillation: A Cross-Sectional Study
Guoli Lin
, Caizhi Dai, Kaizu Xu
, Meifang Wu
DOI: 10.12659/MSM.937802
Med Sci Monit 2022; 28:e937802
4,665

05 Sep 2022 : Clinical Research
Interaction of High-Sugar Diet and History of Stroke with Risk of Cognitive Decline in Older Adults
Qian Xu, Sicong Zhang
DOI: 10.12659/MSM.937572
Med Sci Monit 2022; 28:e937572

05 Sep 2022 : Clinical Research
Interaction of High-Sugar Diet and History of Stroke with Risk of Cognitive Decline in Older Adults
Qian Xu, Sicong Zhang, Yanqing Gu, Ping Wang, Qian Zhang, Chunlei Shan
DOI: 10.12659/MSM.937572
Med Sci Monit 2022; 28:e937572
5,075

02 Sep 2022 : Clinical Research
Comparative Evaluation of 3 Commercial Mouthwash Formulations on Clinical Parameters of Chronic Gingivitis
Shahabe Saquib Abullais, Sabiha Ilyas Patel
DOI: 10.12659/MSM.937111
Med Sci Monit 2022; 28:e937111

02 Sep 2022 : Clinical Research
Comparative Evaluation of 3 Commercial Mouthwash Formulations on Clinical Parameters of Chronic Gingivitis
Shahabe Saquib Abullais, Sabiha Ilyas Patel, Elyas Ali Asiri, Adel Ali Ahmed Jathmi, Afnan Hassan Alkhayri, Yosra Mohammed Mousa, Atheer Abdulhade Ganem, Khurshid A. Mattoo
DOI: 10.12659/MSM.937111
Med Sci Monit 2022; 28:e937111
10,393

01 Sep 2022 : Editorial
Editorial: Current Status of Non-Endemic Global Infections with the Monkeypox Virus
Dinah V. Parums,
DOI: 10.12659/MSM.938203
Med Sci Monit 2022; 28:e938203

01 Sep 2022 : Editorial
Editorial: Current Status of Non-Endemic Global Infections with the Monkeypox Virus
Dinah V. Parums
DOI: 10.12659/MSM.938203
Med Sci Monit 2022; 28:e938203
14,933

01 Sep 2022 : Clinical Research
High Level of Irisin as a Marker of Malnutrition in Head and Neck Cancer Patients Subjected to Radiotherapy
Iwona Homa-Mlak, Radosław Mlak
DOI: 10.12659/MSM.936857
Med Sci Monit 2022; 28:e936857

01 Sep 2022 : Clinical Research
High Level of Irisin as a Marker of Malnutrition in Head and Neck Cancer Patients Subjected to Radiotherapy
Iwona Homa-Mlak, Radosław Mlak, Anna Brzozowska, Marcin Mazurek, Tomasz Powrózek, Monika Prendecka-Wróbel, Aneta Szudy-Szczyrek, Piotr Dreher, Katarzyna Kamińska, Teresa Małecka-Massalska, Alicja Wójcik-Załuska
DOI: 10.12659/MSM.936857
Med Sci Monit 2022; 28:e936857
3,740

31 Aug 2022 : Errate
Errate: Role of Ca²⁺ in Inhibiting Ischemia-Induced Apoptosis of Parathyroid Gland Cells in New Zealand White Rabbits
Wei-han Cao, Yan-jun Su
DOI: 10.12659/MSM.938246
Med Sci Monit 2022; 28:e938246

31 Aug 2022 : Errate
Errate: Role of Ca²⁺ in Inhibiting Ischemia-Induced Apoptosis of Parathyroid Gland Cells in New Zealand White Rabbits
Wei-han Cao, Yan-jun Su, Nian-qiu Liu, Ying Peng, Chang Diao, Ruo-chuan Cheng
DOI: 10.12659/MSM.938246
Med Sci Monit 2022; 28:e938246
2,419

31 Aug 2022 : Clinical Research
Chemotherapy-Induced Peripheral Neuropathy (CIPN) in Patients Receiving 4-6 Cycles of Platinum-Based and Taxane-Based Chemotherapy: A Prospective, Single-Center Study from Kosovo
Blerim Myftiu, Zylfije Hundozi
DOI: 10.12659/MSM.937856
Med Sci Monit 2022; 28:e937856

31 Aug 2022 : Clinical Research
Chemotherapy-Induced Peripheral Neuropathy (CIPN) in Patients Receiving 4-6 Cycles of Platinum-Based and Taxane-Based Chemotherapy: A Prospective, Single-Center Study from Kosovo
Blerim Myftiu, Zylfije Hundozi, Faton Sermaxhaj, Afrim Blyta, Nexhmedin Shala, Fisnik Jashari, Hasime Qorraj Bytyqi, Ekrem Hyseni, Ilir Kurtishi
DOI: 10.12659/MSM.937856
Med Sci Monit 2022; 28:e937856
5,121

30 Aug 2022 : Clinical Research
Postoperative Outcomes Following a Modified Method of Surgical Division of the Splenic Pedicle in 719 Patients During Splenectomy for Portal Hypertension: A 12-Year, Retrospective, Single-Center Study
Long Huang, Qingsheng Yu
DOI: 10.12659/MSM.937763
Med Sci Monit 2022; 28:e937763

30 Aug 2022 : Clinical Research
Postoperative Outcomes Following a Modified Method of Surgical Division of the Splenic Pedicle in 719 Patients During Splenectomy for Portal Hypertension: A 12-Year, Retrospective, Single-Center Study
Long Huang, Qingsheng Yu, Hui Peng, Zhou Zhen
DOI: 10.12659/MSM.937763
Med Sci Monit 2022; 28:e937763
4,071
Editorial
01 December 2025 : Editorial
Editorial: COVID-19 Six Years on and Endemic Omicron Variants of SARS-CoV-2 Under Monitoring Now Include NB.1.8.1 (Nimbus) and XFG (Stratus)DOI: 10.12659/MSM.952217
Med Sci Monit 2025; 31:e952217
In Press
Clinical Research
A Retrospective Study of the Presentation, Imaging Findings, and Outcomes in 195 Patients with Maxillofacia...Med Sci Monit In Press; DOI: 10.12659/MSM.949933
Clinical Research
Enhanced Eustachian Tube Function and Hearing Recovery with Combined Balloon Dilatation and Tympanic Membra...Med Sci Monit In Press; DOI: 10.12659/MSM.948981
Clinical Research
Virtual Pet–Assisted Therapy to Alleviate Symptoms of Long COVID: A Prospective Pilot Interventional StudyMed Sci Monit In Press; DOI: 10.12659/MSM.950105
Clinical Research
Does Concomitant Biceps Tenotomy Affect Shoulder Proprioception and Strength? A Prospective Intra‑Individua...Med Sci Monit In Press; DOI: 10.12659/MSM.950383
Most Viewed Current Articles
17 Jan 2024 : Review article 10,178,526
Vaccination Guidelines for Pregnant Women: Addressing COVID-19 and the Omicron VariantDOI :10.12659/MSM.942799
Med Sci Monit 2024; 30:e942799
13 Nov 2021 : Clinical Research 3,694,265
Acceptance of COVID-19 Vaccination and Its Associated Factors Among Cancer Patients Attending the Oncology ...DOI :10.12659/MSM.932788
Med Sci Monit 2021; 27:e932788
14 Dec 2022 : Clinical Research 2,335,538
Prevalence and Variability of Allergen-Specific Immunoglobulin E in Patients with Elevated Tryptase LevelsDOI :10.12659/MSM.937990
Med Sci Monit 2022; 28:e937990
16 May 2023 : Clinical Research 706,058
Electrophysiological Testing for an Auditory Processing Disorder and Reading Performance in 54 School Stude...DOI :10.12659/MSM.940387
Med Sci Monit 2023; 29:e940387
