Current Volume 28, 2022 - Page: 3

28 Oct 2022 : Clinical Research
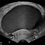
Pelvic Artificial Isolation with Ultrasound-Guided Fluid: A New Technique In Ovarian Endometriotic Cyst Transabdominal Sclerotherapy
DOI: 10.12659/MSM.937855
Med Sci Monit 2022; 28:e937855

28 Oct 2022 : Clinical Research
Pelvic Artificial Isolation with Ultrasound-Guided Fluid: A New Technique In Ovarian Endometriotic Cyst Transabdominal Sclerotherapy
DOI: 10.12659/MSM.937855
Med Sci Monit 2022; 28:e937855
4,742

27 Oct 2022 : Clinical Research
Retrospective Study from a Single Center in Poland of Postoperative Outcomes of Muscle Strength in Patients After Surgical Suturing of the Achilles Tendon Using a Kessler’s Suture and 28 Weeks of Supervised Postoperative Physiotherapy
Łukasz Sikorski, Andrzej Czamara
DOI: 10.12659/MSM.938267
Med Sci Monit 2022; 28:e938267

27 Oct 2022 : Clinical Research
Retrospective Study from a Single Center in Poland of Postoperative Outcomes of Muscle Strength in Patients After Surgical Suturing of the Achilles Tendon Using a Kessler’s Suture and 28 Weeks of Supervised Postoperative Physiotherapy
Łukasz Sikorski, Andrzej Czamara
DOI: 10.12659/MSM.938267
Med Sci Monit 2022; 28:e938267
3,803

26 Oct 2022 : Clinical Research
Evaluation of Orthodontic Mini-Implant Placement in the Maxillary Anterior Alveolar Region in 15 Patients by Cone Beam Computed Tomography at a Single Center in South India
Arathi Murugesan, S.P. Saravana Dinesh
DOI: 10.12659/MSM.937949
Med Sci Monit 2022; 28:e937949

26 Oct 2022 : Clinical Research
Evaluation of Orthodontic Mini-Implant Placement in the Maxillary Anterior Alveolar Region in 15 Patients by Cone Beam Computed Tomography at a Single Center in South India
Arathi Murugesan, S.P. Saravana Dinesh, Srirengalakshmi Muthuswamy Pandian, Lichi Ashwin Solanki, Abdulrahman Alshehri, Wael Awadh, Khalid J. Alzahrani
, Khalaf F. Alsharif, Mrim M. Alnfiai, Reji Mathew, Tarek El-Bialy
, Hosam Ali Baeshen, Shilpa Bhandi, A. Thirumal Raj, Shankargouda Patil
DOI: 10.12659/MSM.937949
Med Sci Monit 2022; 28:e937949
5,969

25 Oct 2022 : Review article
A Review of the Biological Mechanisms of Dexmedetomidine for Postoperative Neurocognitive Disorders
Shanshan Yu, Yashu Leng
DOI: 10.12659/MSM.937862
Med Sci Monit 2022; 28:e937862

25 Oct 2022 : Review article
A Review of the Biological Mechanisms of Dexmedetomidine for Postoperative Neurocognitive Disorders
Shanshan Yu, Yashu Leng, Yaqi Wang, Guoqing Zhao
DOI: 10.12659/MSM.937862
Med Sci Monit 2022; 28:e937862
9,773

24 Oct 2022 : Animal Research
Effect of Antilogous Platelet-Rich Plasma on the Revascularization of Rabbit Prefabricated Flap
Ke Xie, Meixia Huang
DOI: 10.12659/MSM.937718
Med Sci Monit 2022; 28:e937718

24 Oct 2022 : Animal Research
Effect of Antilogous Platelet-Rich Plasma on the Revascularization of Rabbit Prefabricated Flap
Ke Xie, Meixia Huang, Yan Zheng, Daiqing Chen, Junling Hu, Jiansheng Zheng
DOI: 10.12659/MSM.937718
Med Sci Monit 2022; 28:e937718
3,294

21 Oct 2022 : Clinical Research
Distribution and Determinants of Plasma Homocysteine Levels in a Preconception Population: A Retrospective Single-Center Study
Manyu Wu, Xinyan Huang
DOI: 10.12659/MSM.937987
Med Sci Monit 2022; 28:e937987

21 Oct 2022 : Clinical Research
Distribution and Determinants of Plasma Homocysteine Levels in a Preconception Population: A Retrospective Single-Center Study
Manyu Wu, Xinyan Huang, Dan Liu
DOI: 10.12659/MSM.937987
Med Sci Monit 2022; 28:e937987
3,070

20 Oct 2022 : Clinical Research
Latency and Interpeak Interval Values of Auditory Brainstem Response in 73 Individuals with Normal Hearing
Milaine Dominici Sanfins
, Maria Francisca Colella-Santos
DOI: 10.12659/MSM.937847
Med Sci Monit 2022; 28:e937847

20 Oct 2022 : Clinical Research
Latency and Interpeak Interval Values of Auditory Brainstem Response in 73 Individuals with Normal Hearing
Milaine Dominici Sanfins
, Maria Francisca Colella-Santos, Natalia Ferrazoli, Adriano Rezende, Caroline Donadon
, Elżbieta Gos, Piotr Henryk Skarżyński
DOI: 10.12659/MSM.937847
Med Sci Monit 2022; 28:e937847
6,816

19 Oct 2022 : Review article
A Review of the Role of Ultrasound Radiomics and Its Application and Limitations in the Investigation of Thyroid Disease
Wen-Wu Lu, Di Zhang
DOI: 10.12659/MSM.937738
Med Sci Monit 2022; 28:e937738

19 Oct 2022 : Review article
A Review of the Role of Ultrasound Radiomics and Its Application and Limitations in the Investigation of Thyroid Disease
Wen-Wu Lu, Di Zhang, Xue-Jun Ni
DOI: 10.12659/MSM.937738
Med Sci Monit 2022; 28:e937738
9,266

18 Oct 2022 : Review article
Review of the Long-Term Outcomes of Guided Bone Regeneration and Autologous Bone Block Augmentation for Vertical Dental Restoration of Dental Implants
Eliza Drăgan, Alexandru Nemţoi
DOI: 10.12659/MSM.937433
Med Sci Monit 2022; 28:e937433

18 Oct 2022 : Review article
Review of the Long-Term Outcomes of Guided Bone Regeneration and Autologous Bone Block Augmentation for Vertical Dental Restoration of Dental Implants
Eliza Drăgan, Alexandru Nemţoi
DOI: 10.12659/MSM.937433
Med Sci Monit 2022; 28:e937433
7,430

17 Oct 2022 : Clinical Research
Comparison of Incremental Shuttle Walking Test, 6-Minute Walking Test, and Cardiopulmonary Exercise Stress Test in Patients with Myocardial Infarction
Ho-Jeong Lim, Sung-Ju Jee
DOI: 10.12659/MSM.938140
Med Sci Monit 2022; 28:e938140

17 Oct 2022 : Clinical Research
Comparison of Incremental Shuttle Walking Test, 6-Minute Walking Test, and Cardiopulmonary Exercise Stress Test in Patients with Myocardial Infarction
Ho-Jeong Lim, Sung-Ju Jee, Myung-Mo Lee
DOI: 10.12659/MSM.938140
Med Sci Monit 2022; 28:e938140
7,645

14 Oct 2022 : Clinical Research
Correlation Between Trough Level of Abiraterone and Prostate-Specific Antigen (PSA) Response in Metastatic Hormone-Sensitive Prostate Cancer
Zin W. Myint, Jill M. Kolesar
DOI: 10.12659/MSM.938091
Med Sci Monit 2022; 28:e938091

14 Oct 2022 : Clinical Research
Correlation Between Trough Level of Abiraterone and Prostate-Specific Antigen (PSA) Response in Metastatic Hormone-Sensitive Prostate Cancer
Zin W. Myint, Jill M. Kolesar, Joseph Robert McCorkle, Jianrong Wu, Carleton S. Ellis, Danielle E. Otto, Peng Wang
DOI: 10.12659/MSM.938091
Med Sci Monit 2022; 28:e938091
4,271

13 Oct 2022 : Clinical Research
Effects of Hemodilution on Clot Waveform Analysis Parameters, Clotting Factors, and Thrombin Generation Assays in a Dilutional Model Based on Analysis of 11 Healthy Male Blood Donors
Junko Ichikawa, Ryota Okazaki
DOI: 10.12659/MSM.937368
Med Sci Monit 2022; 28:e937368

13 Oct 2022 : Clinical Research
Effects of Hemodilution on Clot Waveform Analysis Parameters, Clotting Factors, and Thrombin Generation Assays in a Dilutional Model Based on Analysis of 11 Healthy Male Blood Donors
Junko Ichikawa, Ryota Okazaki, Tomoki Fukuda, Daejoon Yoon, Makiko Komori
DOI: 10.12659/MSM.937368
Med Sci Monit 2022; 28:e937368
4,284

12 Oct 2022 : Review article
Effects of Physiotherapy on Rehabilitation and Quality of Life in Patients Hospitalized for COVID-19: A Review of Findings from Key Studies Published 2020-2022
Samire Beqaj, Amra Mačak Hadžiomerović
DOI: 10.12659/MSM.938141
Med Sci Monit 2022; 28:e938141

12 Oct 2022 : Review article
Effects of Physiotherapy on Rehabilitation and Quality of Life in Patients Hospitalized for COVID-19: A Review of Findings from Key Studies Published 2020-2022
Samire Beqaj, Amra Mačak Hadžiomerović, Arzija Pašalić, Amila Jaganjac
DOI: 10.12659/MSM.938141
Med Sci Monit 2022; 28:e938141
9,199

11 Oct 2022 : Clinical Research
Development of a Practical Screening Tool to Predict Sarcopenia in Patients on Maintenance Hemodialysis
Xiaoju Du, Guanjie Chen
DOI: 10.12659/MSM.937504
Med Sci Monit 2022; 28:e937504

11 Oct 2022 : Clinical Research
Development of a Practical Screening Tool to Predict Sarcopenia in Patients on Maintenance Hemodialysis
Xiaoju Du, Guanjie Chen, Hailin Zhang, Yuping Liu, Feng Gu, Ying Wang, Lixia Yin
DOI: 10.12659/MSM.937504
Med Sci Monit 2022; 28:e937504
7,050

10 Oct 2022 : Database Analysis
Porphyromonas gingivalis Activation of Tumor-Associated Macrophages via DOK3 Promotes Recurrence of Oral Squamous Cell Carcinoma
Chen-xi Li, Ying Su
DOI: 10.12659/MSM.937126
Med Sci Monit 2022; 28:e937126

10 Oct 2022 : Database Analysis
Porphyromonas gingivalis Activation of Tumor-Associated Macrophages via DOK3 Promotes Recurrence of Oral Squamous Cell Carcinoma
Chen-xi Li, Ying Su, Zhong-cheng Gong, Hui Liu
DOI: 10.12659/MSM.937126
Med Sci Monit 2022; 28:e937126
9,176

07 Oct 2022 : Clinical Research
Abnormal Expression of the LAG-3/FGL-1 Signaling Pathway in Patients with Early-Onset Preeclampsia
Yue Liang, Yining Liu
DOI: 10.12659/MSM.937498
Med Sci Monit 2022; 28:e937498

07 Oct 2022 : Clinical Research
Abnormal Expression of the LAG-3/FGL-1 Signaling Pathway in Patients with Early-Onset Preeclampsia
Yue Liang, Yining Liu, Shan Wang, Yongzhong Gu, Ping Wang, Jinlai Meng
DOI: 10.12659/MSM.937498
Med Sci Monit 2022; 28:e937498
4,923

06 Oct 2022 : Clinical Research
Anterior Talofibular Ligament All-Inside Arthroscopic Reconstruction with InternalBrace™ for Chronic Lateral Ankle Instability
Guang-Long Zeng, Li-Min Cai
DOI: 10.12659/MSM.937699
Med Sci Monit 2022; 28:e937699

06 Oct 2022 : Clinical Research
Anterior Talofibular Ligament All-Inside Arthroscopic Reconstruction with InternalBrace™ for Chronic Lateral Ankle Instability
Guang-Long Zeng, Li-Min Cai, QingXiang Xie, Hao-Bo Huang, Yong-Cong Li, Bo-Yuan Su
DOI: 10.12659/MSM.937699
Med Sci Monit 2022; 28:e937699
6,244

05 Oct 2022 : Clinical Research
Performance of Xpert MTB/RIF for Diagnosis of Tuberculosis in HIV-Infected People in China: A Retrospective, Single-Center Study
Guiju Gao, Chunyu Zhu
DOI: 10.12659/MSM.937264
Med Sci Monit 2022; 28:e937264

05 Oct 2022 : Clinical Research
Performance of Xpert MTB/RIF for Diagnosis of Tuberculosis in HIV-Infected People in China: A Retrospective, Single-Center Study
Guiju Gao, Chunyu Zhu, Yingchu Liu, Siyuan Yang
, Jiang Xiao, Hongxin Zhao, Di Yang, Hongyuan Liang, Fang Wang, Liang Wu, Fujie Zhang, Liang Ni
DOI: 10.12659/MSM.937264
Med Sci Monit 2022; 28:e937264
3,822

04 Oct 2022 : Clinical Research
Questionnaire-Based Study on the Prevalence, Awareness, and Preventive Measures of Occupational Hazards Among Dental Professionals
Mohanad A. Alyousefy, Amal S. Shaiban
DOI: 10.12659/MSM.938084
Med Sci Monit 2022; 28:e938084

04 Oct 2022 : Clinical Research
Questionnaire-Based Study on the Prevalence, Awareness, and Preventive Measures of Occupational Hazards Among Dental Professionals
Mohanad A. Alyousefy, Amal S. Shaiban, Wafa H. Alaajam
, Mohammed Mousa H. Bakri
, Yaser A. Alhazmi
, Mohammed Y. Aljabri, Mohammed M. Al Moaleem, Basem H. Al-Huthaifi, Hebah F. Al-Bahr, Arwa M. Alhaj
DOI: 10.12659/MSM.938084
Med Sci Monit 2022; 28:e938084
13,068

03 Oct 2022 : Clinical Research
Effect of Vitamin D Concentration on Course of COVID-19
Magdalena Dominika Szerszeń, Aleksandra Kucharczyk
DOI: 10.12659/MSM.937741
Med Sci Monit 2022; 28:e937741

03 Oct 2022 : Clinical Research
Effect of Vitamin D Concentration on Course of COVID-19
Magdalena Dominika Szerszeń, Aleksandra Kucharczyk, Katarzyna Bojarska-Senderowicz, Monika Pohorecka, Andrzej Śliwczyński, Janusz Engel, Tomasz Korcz, Dariusz Kosior, Irena Walecka, Wojciech Stefan Zgliczyński, Waldemar Wierzba, Adam Jerzy Sybilski
DOI: 10.12659/MSM.937741
Med Sci Monit 2022; 28:e937741
7,100

01 Oct 2022 : Editorial
Editorial: Rebound COVID-19 and Cessation of Antiviral Treatment for SARS-CoV-2 with Paxlovid and Molnupiravir
Dinah V. Parums,
DOI: 10.12659/MSM.938532
Med Sci Monit 2022; 28:e938532

01 Oct 2022 : Editorial
Editorial: Rebound COVID-19 and Cessation of Antiviral Treatment for SARS-CoV-2 with Paxlovid and Molnupiravir
Dinah V. Parums
DOI: 10.12659/MSM.938532
Med Sci Monit 2022; 28:e938532
17,548

30 Sep 2022 : Clinical Research
Effects of Left Atrial Appendage Closure on Neuroendocrine Function in Patients with Nonvalvular Atrial Fibrillation
Fei Wang, Zhong-bao Ruan
DOI: 10.12659/MSM.937586
Med Sci Monit 2022; 28:e937586

30 Sep 2022 : Clinical Research
Effects of Left Atrial Appendage Closure on Neuroendocrine Function in Patients with Nonvalvular Atrial Fibrillation
Fei Wang, Zhong-bao Ruan, Ge-cai Chen, Jun-guo Zhu, Li Zhu
DOI: 10.12659/MSM.937586
Med Sci Monit 2022; 28:e937586
3,909

29 Sep 2022 : Clinical Research
Postoperative Dynamic of Leptin and Fibroblast Growth Factor 21 in 123 Patients Recovering from Cardiac Surgery
Da Liu, Danyal Ghani
DOI: 10.12659/MSM.937652
Med Sci Monit 2022; 28:e937652

29 Sep 2022 : Clinical Research
Postoperative Dynamic of Leptin and Fibroblast Growth Factor 21 in 123 Patients Recovering from Cardiac Surgery
Da Liu, Danyal Ghani, Wilson Y. Szeto, Krzysztof Laudanski
DOI: 10.12659/MSM.937652
Med Sci Monit 2022; 28:e937652
7,087

28 Sep 2022 : Errate
Errate: Promoting Role of Long Non-Coding RNA Small Nucleolar RNA Host Gene 15 (SNHG15) in Neuronal Injury Following Ischemic Stroke via the MicroRNA-18a/CXC Chemokine Ligand 13 (CXCL13)/ERK/MEK Axis
Tiezhu Guo, Yueting Liu
DOI: 10.12659/MSM.938473
Med Sci Monit 2022; 28:e938473

28 Sep 2022 : Errate
Errate: Promoting Role of Long Non-Coding RNA Small Nucleolar RNA Host Gene 15 (SNHG15) in Neuronal Injury Following Ischemic Stroke via the MicroRNA-18a/CXC Chemokine Ligand 13 (CXCL13)/ERK/MEK Axis
Tiezhu Guo, Yueting Liu, Xinliang Ren, Wei Wang, Hanrui Liu
DOI: 10.12659/MSM.938473
Med Sci Monit 2022; 28:e938473
3,778

28 Sep 2022 : Clinical Research
Factors Predictive of Varicella Zoster Virus Encephalitis/Meningitis: A Single-Center, Retrospective Study
Yanrong Yuan, Jun Wang
DOI: 10.12659/MSM.938057
Med Sci Monit 2022; 28:e938057

28 Sep 2022 : Clinical Research
Factors Predictive of Varicella Zoster Virus Encephalitis/Meningitis: A Single-Center, Retrospective Study
Yanrong Yuan, Jun Wang, Yan Zhang, Huili Liu, Yongxing Yan
DOI: 10.12659/MSM.938057
Med Sci Monit 2022; 28:e938057
4,191
Editorial
01 November 2025 : Editorial
Editorial: Hypertrophic Cardiomyopathy and Precision Medicine in Cardiovascular DiseaseDOI: 10.12659/MSM.951868
Med Sci Monit 2025; 31:e951868
In Press
Review article
Association of Childhood Asthma with the Concept of Exposomics: A Short ReviewMed Sci Monit In Press; DOI: 10.12659/MSM.949589
Clinical Research
Association of Hyperuricemia with Cardiovascular Risk Factors and Cardiac Structural Changes in Patients Un...Med Sci Monit In Press; DOI: 10.12659/MSM.949422
Clinical Research
Predictive Value of IBI for In-Hospital Death in Elderly Patients with Non-ST-Segment Elevation Myocardial ...Med Sci Monit In Press; DOI: 10.12659/MSM.950592
Clinical Research
Short-Segment Bone Cement–Augmented Pedicle Screw Fixation Combined With Bone Grafting for Management of Ku...Med Sci Monit In Press; DOI: 10.12659/MSM.949901
Most Viewed Current Articles
17 Jan 2024 : Review article 10,154,901
Vaccination Guidelines for Pregnant Women: Addressing COVID-19 and the Omicron VariantDOI :10.12659/MSM.942799
Med Sci Monit 2024; 30:e942799
13 Nov 2021 : Clinical Research 3,690,259
Acceptance of COVID-19 Vaccination and Its Associated Factors Among Cancer Patients Attending the Oncology ...DOI :10.12659/MSM.932788
Med Sci Monit 2021; 27:e932788
14 Dec 2022 : Clinical Research 2,334,173
Prevalence and Variability of Allergen-Specific Immunoglobulin E in Patients with Elevated Tryptase LevelsDOI :10.12659/MSM.937990
Med Sci Monit 2022; 28:e937990
16 May 2023 : Clinical Research 705,709
Electrophysiological Testing for an Auditory Processing Disorder and Reading Performance in 54 School Stude...DOI :10.12659/MSM.940387
Med Sci Monit 2023; 29:e940387
