Current Volume 28, 2022 - Page: 2

01 Dec 2022 : Clinical Research
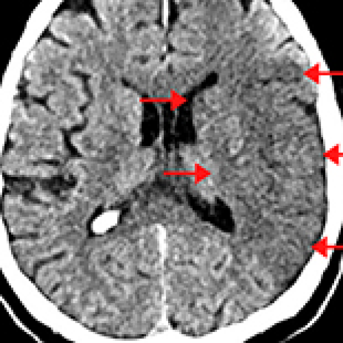
Clinical Outcomes of Extracranial Carotid Artery-Related Stroke Eligible for Mechanical Reperfusion on Top of Per-Guidelines Thrombolytic Therapy: Analysis from a 6-Month Consecutive Patient Sample in 2 Centers
Karolina Dzierwa, Magdalena Knapik
DOI: 10.12659/MSM.938549
Med Sci Monit 2022; 28:e938549

01 Dec 2022 : Clinical Research
Clinical Outcomes of Extracranial Carotid Artery-Related Stroke Eligible for Mechanical Reperfusion on Top of Per-Guidelines Thrombolytic Therapy: Analysis from a 6-Month Consecutive Patient Sample in 2 Centers
Karolina Dzierwa, Magdalena Knapik, Łukasz Tekieli, Adam Mazurek, Małgorzata Urbańczyk-Zawadzka, Artur Klecha, Tomasz Kowalczyk, Teresa Koźmik, Łukasz Wiewiórka
, Paweł Banyś, Ewa Węglarz, Justyna Stefaniak, Rafał T. Nizankowski, Iris Q. Grunwald, Piotr Musiałek
DOI: 10.12659/MSM.938549
Med Sci Monit 2022; 28:e938549
7,212

30 Nov 2022 : Clinical Research
Clinicopathological Features of Breast Cancer in Relation to Exposure of Cycling Reproductive Hormones: A Multicenter Retrospective Study of 14,731 Patients Diagnosed with Invasive Breast Cancer
Jiazheng Sun, Jinxiang Tan
DOI: 10.12659/MSM.938619
Med Sci Monit 2022; 28:e938619

30 Nov 2022 : Clinical Research
Clinicopathological Features of Breast Cancer in Relation to Exposure of Cycling Reproductive Hormones: A Multicenter Retrospective Study of 14,731 Patients Diagnosed with Invasive Breast Cancer
Jiazheng Sun, Jinxiang Tan, Hong Zheng, Jun Jiang, Tianning Zou, Hongyuan Li, Guosheng Ren, Dejuan Yang
DOI: 10.12659/MSM.938619
Med Sci Monit 2022; 28:e938619
3,925

29 Nov 2022 : Clinical Research
Sex-Related Differences in Sitagliptin Treatment in Type 2 Diabetes: Results from the PROLOGUE Trial
Xilin Wu, Shiming Zhang
DOI: 10.12659/MSM.938030
Med Sci Monit 2022; 28:e938030

29 Nov 2022 : Clinical Research
Sex-Related Differences in Sitagliptin Treatment in Type 2 Diabetes: Results from the PROLOGUE Trial
Xilin Wu, Shiming Zhang, Yingzhu Jin, Xun Xiao
DOI: 10.12659/MSM.938030
Med Sci Monit 2022; 28:e938030
3,736

28 Nov 2022 : Clinical Research
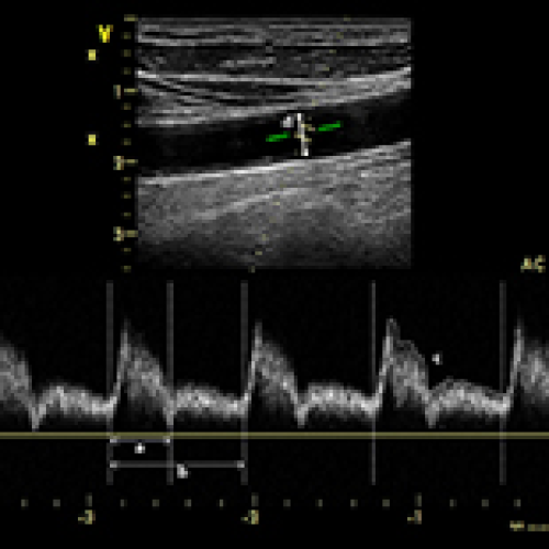
Ultrasonographic Carotid Artery Flow Measurements as Predictors of Spinal Anesthesia-Induced Hypotension in Elderly Patients: A Prospective Observational Study
Hyae Jin Kim, Ah-Reum Cho
DOI: 10.12659/MSM.938714
Med Sci Monit 2022; 28:e938714

28 Nov 2022 : Clinical Research
Ultrasonographic Carotid Artery Flow Measurements as Predictors of Spinal Anesthesia-Induced Hypotension in Elderly Patients: A Prospective Observational Study
Hyae Jin Kim, Ah-Reum Cho, Hanbit Lee, Haekyu Kim, Jae-Young Kwon, Hyeon-Jeong Lee, Christine Kang, Soeun Jeon, Nara Kim
DOI: 10.12659/MSM.938714
Med Sci Monit 2022; 28:e938714
5,802

25 Nov 2022 : Database Analysis
Correlation Between Serum Albumin and D-Dimer Levels in 909 Patients with Non-Valvular Atrial Fibrillation: A Retrospective Study from a Single Center in China
Hua-jing Yuan, Xia Zhong
DOI: 10.12659/MSM.938511
Med Sci Monit 2022; 28:e938511

25 Nov 2022 : Database Analysis
Correlation Between Serum Albumin and D-Dimer Levels in 909 Patients with Non-Valvular Atrial Fibrillation: A Retrospective Study from a Single Center in China
Hua-jing Yuan, Xia Zhong, Yan Li, Yi-tao Xue, Hua-chen Jiao
DOI: 10.12659/MSM.938511
Med Sci Monit 2022; 28:e938511
4,649

24 Nov 2022 : Clinical Research
Multiple Cytokine Analysis of Th1/Th2/Th9/Th17/Th22/Treg Cytokine Pathway for Individual Immune Profile Assessment in Patients with Psoriasis
Anna Michalak-Stoma, Joanna Bartosińska
DOI: 10.12659/MSM.938277
Med Sci Monit 2022; 28:e938277

24 Nov 2022 : Clinical Research
Multiple Cytokine Analysis of Th1/Th2/Th9/Th17/Th22/Treg Cytokine Pathway for Individual Immune Profile Assessment in Patients with Psoriasis
Anna Michalak-Stoma, Joanna Bartosińska, Dorota Raczkiewicz, Małgorzata Kowal, Joanna Kozak, Mariusz Gujski, Dorota Krasowska, Grażyna Chodorowska
DOI: 10.12659/MSM.938277
Med Sci Monit 2022; 28:e938277
12,213

23 Nov 2022 : Database Analysis
Bibliometric Analysis of Research Relating to IgA Nephropathy from 2010 to 2021
Mengdan Xi, Xiangfu Gao
DOI: 10.12659/MSM.937976
Med Sci Monit 2022; 28:e937976

23 Nov 2022 : Database Analysis
Bibliometric Analysis of Research Relating to IgA Nephropathy from 2010 to 2021
Mengdan Xi, Xiangfu Gao
DOI: 10.12659/MSM.937976
Med Sci Monit 2022; 28:e937976
9,689

22 Nov 2022 : Clinical Research
Macronutrients Management for Growth in Neonates with Congenital Gastrointestinal Malformation
Timea E. Brandibur, Aniko Maria Manea
DOI: 10.12659/MSM.938106
Med Sci Monit 2022; 28:e938106

22 Nov 2022 : Clinical Research
Macronutrients Management for Growth in Neonates with Congenital Gastrointestinal Malformation
Timea E. Brandibur, Aniko Maria Manea, Abhinav Sharma
, Nilima Rajpal Kundnani
, Marius Călin Popoiu, Bilal Ahmad, Diala S. Dahdal
, Daniela Cioboata, Nicoleta Lungu, Florina Marinela Doandes, Eugen Radu Boia, Marioara D. Boia
DOI: 10.12659/MSM.938106
Med Sci Monit 2022; 28:e938106
4,573

21 Nov 2022 : Clinical Research
Long-Term Effect of Pancreaticoduodenectomy Combined with Revascularization for Resectable Pancreatic Carcinoma in Elderly Patients
Jiali Yang, Zhengrong Xu
DOI: 10.12659/MSM.938443
Med Sci Monit 2022; 28:e938443

21 Nov 2022 : Clinical Research
Long-Term Effect of Pancreaticoduodenectomy Combined with Revascularization for Resectable Pancreatic Carcinoma in Elderly Patients
Jiali Yang, Zhengrong Xu, Junfeng Zhang, Yao Zheng, Jianyou Gu, Qiang Zhou, Xianxing Wang, Shixiang Guo, Hongyu Zhang, Shengkai Chen, Huaizhi Wang
DOI: 10.12659/MSM.938443
Med Sci Monit 2022; 28:e938443
5,048

18 Nov 2022 : Review article
A Systematic Review of the Literature Between 2009 and 2019 to Identify and Evaluate Publications on the Effects of Age-Related Hearing Loss on Speech Processing
Andrea Cristina de Oliveira Eichner, Caroline Donadon
DOI: 10.12659/MSM.938089
Med Sci Monit 2022; 28:e938089

18 Nov 2022 : Review article
A Systematic Review of the Literature Between 2009 and 2019 to Identify and Evaluate Publications on the Effects of Age-Related Hearing Loss on Speech Processing
Andrea Cristina de Oliveira Eichner, Caroline Donadon
, Piotr Henryk Skarżyński
, Milaine Dominici Sanfins
DOI: 10.12659/MSM.938089
Med Sci Monit 2022; 28:e938089
6,098

17 Nov 2022 : Clinical Research
Identification and Validation of a Novel Model: Predicting Short-Term Complications After Local Flap Surgery for Skin Tumor Removal
Zhengnan Zhao, Yue Tao
DOI: 10.12659/MSM.938002
Med Sci Monit 2022; 28:e938002

17 Nov 2022 : Clinical Research
Identification and Validation of a Novel Model: Predicting Short-Term Complications After Local Flap Surgery for Skin Tumor Removal
Zhengnan Zhao, Yue Tao, Xinjian Xiang, Zexu Liang, Yu Zhao
DOI: 10.12659/MSM.938002
Med Sci Monit 2022; 28:e938002
4,009

16 Nov 2022 : Clinical Research
A Prospective Observational Study Conducted at a Single Center in Japan to Validate a Previously Developed Predictive Formula of In-Hospital Mortality for Patients Aged ≥65 Years with Endogenous Diseases Transported by Ambulance
DOI: 10.12659/MSM.938385
Med Sci Monit 2022; 28:e938385

16 Nov 2022 : Clinical Research
A Prospective Observational Study Conducted at a Single Center in Japan to Validate a Previously Developed Predictive Formula of In-Hospital Mortality for Patients Aged ≥65 Years with Endogenous Diseases Transported by Ambulance
Motoshi Fujiwara, Masaki Tago
, Risa Hirata
, Shun Yamashita
, Naoko E. Katsuki, Noriko Ide, Tomoyo M. Nishi, Yoshimasa Oda, Masanori Nishiyama, Shu-ichi Yamashita
DOI: 10.12659/MSM.938385
Med Sci Monit 2022; 28:e938385
3,207

15 Nov 2022 : Clinical Research
Suppression of Tumorigenicity 2 Pro-Inflammatory Biomarker Linking Diabetes Mellitus and Periodontitis: A Pilot Study
Paladugu Devi Navya, Gurumoorthy Kaarthikeyan
DOI: 10.12659/MSM.938218
Med Sci Monit 2022; 28:e938218

15 Nov 2022 : Clinical Research
Suppression of Tumorigenicity 2 Pro-Inflammatory Biomarker Linking Diabetes Mellitus and Periodontitis: A Pilot Study
Paladugu Devi Navya, Gurumoorthy Kaarthikeyan, Selva Raj J., Ahmed Alamoudi, Maha A. Bahammam, Bassam Zidane, Hammam Ahmed Bahammam
, Sarah Ahmed Bahammam, Ali Abdel-Halim Abdel-Azim Hassan, Mona Awad Kamil, Shilpa Bhandi, A. Thirumal Raj
, Shankargouda Patil
DOI: 10.12659/MSM.938218
Med Sci Monit 2022; 28:e938218
5,832

14 Nov 2022 : Clinical Research
Characteristics and Treatment of Pediatric Tracheobronchial Foreign Bodies: A Retrospective Analysis of 715 Cases
Shang Yan, Peng Jiang
DOI: 10.12659/MSM.937928
Med Sci Monit 2022; 28:e937928

14 Nov 2022 : Clinical Research
Characteristics and Treatment of Pediatric Tracheobronchial Foreign Bodies: A Retrospective Analysis of 715 Cases
Shang Yan, Peng Jiang, Guowei Chen, Yongchao Chen, Hongguang Pan, Lan Li, Nan Zeng
DOI: 10.12659/MSM.937928
Med Sci Monit 2022; 28:e937928
5,706

11 Nov 2022 : Review article
Autophagy and Its Association with Genetic Mutations in Parkinson Disease
Nour S. Erekat,
DOI: 10.12659/MSM.938519
Med Sci Monit 2022; 28:e938519

11 Nov 2022 : Review article
Autophagy and Its Association with Genetic Mutations in Parkinson Disease
Nour S. Erekat
DOI: 10.12659/MSM.938519
Med Sci Monit 2022; 28:e938519
9,013

10 Nov 2022 : Clinical Research
Thyroid-Stimulating Hormone as a Biomarker for Stress After Thyroid Surgery: A Prospective Cohort Study
DOI: 10.12659/MSM.937957
Med Sci Monit 2022; 28:e937957

10 Nov 2022 : Clinical Research
Thyroid-Stimulating Hormone as a Biomarker for Stress After Thyroid Surgery: A Prospective Cohort Study
DOI: 10.12659/MSM.937957
Med Sci Monit 2022; 28:e937957
5,220

09 Nov 2022 : Clinical Research
Retrospective Study from a Single Center on the Efficacy of Pulsed Lavage Following Excision of Burns ≥30% of the Total Body Surface Area in 63 Patients
Jia Wan, Jia He
DOI: 10.12659/MSM.937697
Med Sci Monit 2022; 28:e937697

09 Nov 2022 : Clinical Research
Retrospective Study from a Single Center on the Efficacy of Pulsed Lavage Following Excision of Burns ≥30% of the Total Body Surface Area in 63 Patients
Jia Wan, Jia He, Lu Chen, Le Qiu, Fei Wang, Xu-Lin Chen
DOI: 10.12659/MSM.937697
Med Sci Monit 2022; 28:e937697
3,875

08 Nov 2022 : Database Analysis
Clinical Characteristics and Factors Associated with In-Hospital Mortality in 66 755 Patients Hospitalized Due to Diabetes in Poland, January to December 2019
Kuba Sękowski, Justyna Grudziąż-Sękowska
DOI: 10.12659/MSM.938550
Med Sci Monit 2022; 28:e938550

08 Nov 2022 : Database Analysis
Clinical Characteristics and Factors Associated with In-Hospital Mortality in 66 755 Patients Hospitalized Due to Diabetes in Poland, January to December 2019
Kuba Sękowski, Justyna Grudziąż-Sękowska, Paweł Goryński, Jarosław Pinkas, Mateusz Jankowski
DOI: 10.12659/MSM.938550
Med Sci Monit 2022; 28:e938550
4,509

07 Nov 2022 : Database Analysis
Mechanism of Progesterone in Treatment of Traumatic Brain Injury Based on Network Pharmacology and Molecular Docking Technology
Chen Zheng, Jian Gong
DOI: 10.12659/MSM.937564
Med Sci Monit 2022; 28:e937564

07 Nov 2022 : Database Analysis
Mechanism of Progesterone in Treatment of Traumatic Brain Injury Based on Network Pharmacology and Molecular Docking Technology
Chen Zheng, Jian Gong, Lili Zang, Daiying Song, Xinyue Ran, Juncen Li, Bo Jiang, Jianli Xu, Qihua Wu
DOI: 10.12659/MSM.937564
Med Sci Monit 2022; 28:e937564
6,643

04 Nov 2022 : Database Analysis
Analysis of Infections Caused by Influenza Viruses and Influenza-Like Viruses in the Population of People over 65 Years of Age in the 2019-2020 Epidemic Season in Poland
Katarzyna Kondratiuk, Ewelina Hallmann
DOI: 10.12659/MSM.937953
Med Sci Monit 2022; 28:e937953

04 Nov 2022 : Database Analysis
Analysis of Infections Caused by Influenza Viruses and Influenza-Like Viruses in the Population of People over 65 Years of Age in the 2019-2020 Epidemic Season in Poland
Katarzyna Kondratiuk, Ewelina Hallmann, Katarzyna Łuniewska, Karol Szymański
, Lidia B. Brydak
DOI: 10.12659/MSM.937953
Med Sci Monit 2022; 28:e937953
4,587

03 Nov 2022 : Database Analysis
Association Between Nadir Hematocrit and Severe Acute Kidney Injury After Off-Pump Coronary Artery Bypass Graft Surgery: A Retrospective Cohort Study Based on the MIMIC-IV Database
Yisen Deng, Bo Ma
DOI: 10.12659/MSM.937878
Med Sci Monit 2022; 28:e937878

03 Nov 2022 : Database Analysis
Association Between Nadir Hematocrit and Severe Acute Kidney Injury After Off-Pump Coronary Artery Bypass Graft Surgery: A Retrospective Cohort Study Based on the MIMIC-IV Database
Yisen Deng, Bo Ma, Xuming Wang, Xueqiang Fan, Qiangqiang Nie, Xixi Gao, Yuguang Yang, Peng Liu
DOI: 10.12659/MSM.937878
Med Sci Monit 2022; 28:e937878
7,319

02 Nov 2022 : Database Analysis
Influence of Surface Type with Coffee Immersion on Surface Topography and Optical and Mechanical Properties of Selected Ceramic Materials
Abdulrahman H. Alzahrani, Lujain Ibrahim N. Aldosari
DOI: 10.12659/MSM.938354
Med Sci Monit 2022; 28:e938354

02 Nov 2022 : Database Analysis
Influence of Surface Type with Coffee Immersion on Surface Topography and Optical and Mechanical Properties of Selected Ceramic Materials
Abdulrahman H. Alzahrani, Lujain Ibrahim N. Aldosari, Abdulkhaliq Ali F. Alshadidi, Mohammed M. Al Moaleem, Ramzi A.A. Dhamiri, Mohammad B.F. Aldossary, Yahya Y. Hazazi, Fahad A.M. Awaji, Abdullah Mohsen Ageeli
DOI: 10.12659/MSM.938354
Med Sci Monit 2022; 28:e938354
4,615

01 Nov 2022 : Editorial
Editorial: Recent Approval of Sotorasib as the First Targeted Therapy for KRAS G12C-Mutated Advanced Non-Small Cell Lung Cancer (NSCLC)
Dinah V. Parums,
DOI: 10.12659/MSM.938746
Med Sci Monit 2022; 28:e938746

01 Nov 2022 : Editorial
Editorial: Recent Approval of Sotorasib as the First Targeted Therapy for KRAS G12C-Mutated Advanced Non-Small Cell Lung Cancer (NSCLC)
Dinah V. Parums
DOI: 10.12659/MSM.938746
Med Sci Monit 2022; 28:e938746
8,843

01 Nov 2022 : Clinical Research
Questionnaire-Based Study of 81 Patients in Poland to Evaluate the Course of Inflammatory Bowel Disease and the Effects of the COVID-19 Pandemic on Quality of Life and Mental State from February to June 2021
Natalia Owsianko
, Natalia Romańczuk-Osenka
DOI: 10.12659/MSM.938243
Med Sci Monit 2022; 28:e938243

01 Nov 2022 : Clinical Research
Questionnaire-Based Study of 81 Patients in Poland to Evaluate the Course of Inflammatory Bowel Disease and the Effects of the COVID-19 Pandemic on Quality of Life and Mental State from February to June 2021
Natalia Owsianko
, Natalia Romańczuk-Osenka, Martyna Szczerbakow, Katarzyna Pikora, Katarzyna Sowa, Urszula Daniluk, Paweł Rogalski, Agnieszka Świdnicka-Siergiejko, Stefania Antonowicz
, Michalina Krzyżak, Dominik Maślach, Andrzej Dąbrowski, Jarosław Daniluk
DOI: 10.12659/MSM.938243
Med Sci Monit 2022; 28:e938243
6,384

31 Oct 2022 : Clinical Research
hOGG1 rs1052133 Polymorphism and Prostate Cancer Risk: A Chinese Case-Control Study and Meta-Analysis
Hanjiang Xu, Meng Zhang
DOI: 10.12659/MSM.938012
Med Sci Monit 2022; 28:e938012

31 Oct 2022 : Clinical Research
hOGG1 rs1052133 Polymorphism and Prostate Cancer Risk: A Chinese Case-Control Study and Meta-Analysis
Hanjiang Xu, Meng Zhang, Zongyao Hao, Chaozhao Liang
DOI: 10.12659/MSM.938012
Med Sci Monit 2022; 28:e938012
5,031
Editorial
01 November 2025 : Editorial
Editorial: Hypertrophic Cardiomyopathy and Precision Medicine in Cardiovascular DiseaseDOI: 10.12659/MSM.951868
Med Sci Monit 2025; 31:e951868
In Press
Review article
Association of Childhood Asthma with the Concept of Exposomics: A Short ReviewMed Sci Monit In Press; DOI: 10.12659/MSM.949589
Clinical Research
Association of Hyperuricemia with Cardiovascular Risk Factors and Cardiac Structural Changes in Patients Un...Med Sci Monit In Press; DOI: 10.12659/MSM.949422
Clinical Research
Predictive Value of IBI for In-Hospital Death in Elderly Patients with Non-ST-Segment Elevation Myocardial ...Med Sci Monit In Press; DOI: 10.12659/MSM.950592
Clinical Research
Short-Segment Bone Cement–Augmented Pedicle Screw Fixation Combined With Bone Grafting for Management of Ku...Med Sci Monit In Press; DOI: 10.12659/MSM.949901
Most Viewed Current Articles
17 Jan 2024 : Review article 10,154,901
Vaccination Guidelines for Pregnant Women: Addressing COVID-19 and the Omicron VariantDOI :10.12659/MSM.942799
Med Sci Monit 2024; 30:e942799
13 Nov 2021 : Clinical Research 3,690,259
Acceptance of COVID-19 Vaccination and Its Associated Factors Among Cancer Patients Attending the Oncology ...DOI :10.12659/MSM.932788
Med Sci Monit 2021; 27:e932788
14 Dec 2022 : Clinical Research 2,334,173
Prevalence and Variability of Allergen-Specific Immunoglobulin E in Patients with Elevated Tryptase LevelsDOI :10.12659/MSM.937990
Med Sci Monit 2022; 28:e937990
16 May 2023 : Clinical Research 705,709
Electrophysiological Testing for an Auditory Processing Disorder and Reading Performance in 54 School Stude...DOI :10.12659/MSM.940387
Med Sci Monit 2023; 29:e940387
