Current Volume 28, 2022 - Page: 11

30 Mar 2022 : Clinical Research
COVID-19 Pandemic Was Associated with Lower Activity but Not Higher Perioperative Mortality in a Large Eastern European Center
Stefan Andrei, Sebastian Isac
DOI: 10.12659/MSM.935809
Med Sci Monit 2022; 28:e935809

30 Mar 2022 : Clinical Research
COVID-19 Pandemic Was Associated with Lower Activity but Not Higher Perioperative Mortality in a Large Eastern European Center
Stefan Andrei, Sebastian Isac, Diana Jelea, Cristina Martac, Mihai-Gabriel Stefan, Mihail Cotorogea-Simion, Cristina Georgiana S. Buzatu, Daiana Ingustu, Imam Abdulkareem, Catalin Vasilescu, Daniela Filipescu, Gabriela Droc
DOI: 10.12659/MSM.935809
Med Sci Monit 2022; 28:e935809
5,016

30 Mar 2022 : Clinical Research
Follow-Up of 108 Patients with Chronic Hepatitis B Virus Infection Treated with Polyethylene Glycol-Conjugated Derivatives of Interferon-Alpha and Monitoring of Off-Treatment Virological Relapse
Liyang Zhou, Qin He
DOI: 10.12659/MSM.934785
Med Sci Monit 2022; 28:e934785

30 Mar 2022 : Clinical Research
Follow-Up of 108 Patients with Chronic Hepatitis B Virus Infection Treated with Polyethylene Glycol-Conjugated Derivatives of Interferon-Alpha and Monitoring of Off-Treatment Virological Relapse
Liyang Zhou, Qin He, Xitao Liu, Xiaoan Yang, Xueting Ou, Bing Situ, Yueping Li, Xingfei Pan, Qihuan Xu
DOI: 10.12659/MSM.934785
Med Sci Monit 2022; 28:e934785
3,789

29 Mar 2022 : Clinical Research
Cognitive and Socioemotional Development at 5 and 9 Years of Age of Children Born with Very Low Birth Weight and Extremely Low Birth Weight in the Czech Republic
DOI: 10.12659/MSM.935784
Med Sci Monit 2022; 28:e935784

29 Mar 2022 : Clinical Research
Cognitive and Socioemotional Development at 5 and 9 Years of Age of Children Born with Very Low Birth Weight and Extremely Low Birth Weight in the Czech Republic
Lucie Švandová
, Radek Ptáček, Martina Vňuková, Hana Ptáčková, Martin Anders, Petr Bob, Simon Weissenberger
, Daniela Marková, Ivan Sebalo
, Jiří Raboch, Michal Goetz
DOI: 10.12659/MSM.935784
Med Sci Monit 2022; 28:e935784
4,708

29 Mar 2022 : Meta-Analysis
The Correlation of Mouse Double Minute 4 (MDM4) Polymorphisms (rs4245739, rs1563828, rs11801299, rs10900598, and rs1380576) with Cancer Susceptibility: A Meta-Analysis
Jian Chen, Xudong Li
DOI: 10.12659/MSM.935671
Med Sci Monit 2022; 28:e935671

29 Mar 2022 : Meta-Analysis
The Correlation of Mouse Double Minute 4 (MDM4) Polymorphisms (rs4245739, rs1563828, rs11801299, rs10900598, and rs1380576) with Cancer Susceptibility: A Meta-Analysis
Jian Chen, Xudong Li, Ruihao Liu, Yufen Xie, Zhigao Liu, Haiwei Xiong, Yingliang Li
DOI: 10.12659/MSM.935671
Med Sci Monit 2022; 28:e935671
4,765

28 Mar 2022 : Clinical Research
A Study to Identify the Optimum Forearm Floss Band Intensity in 29 Young Adults Performing Blood Flow Restriction Training
Yongwoo Lee, JaeLim Choi
DOI: 10.12659/MSM.935771
Med Sci Monit 2022; 28:e935771

28 Mar 2022 : Clinical Research
A Study to Identify the Optimum Forearm Floss Band Intensity in 29 Young Adults Performing Blood Flow Restriction Training
Yongwoo Lee, JaeLim Choi
DOI: 10.12659/MSM.935771
Med Sci Monit 2022; 28:e935771
6,227

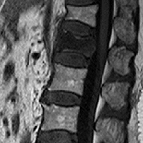
28 Mar 2022 : Clinical Research
A Retrospective Study to Evaluate the Effect of Dynamic Fracture Mobility on Cement Leakage in Percutaneous Vertebroplasty and Percutaneous Kyphoplasty in 286 Patients with Osteoporotic Vertebral Compression Fractures
Hu Ren, Tao Feng
DOI: 10.12659/MSM.935080
Med Sci Monit 2022; 28:e935080

28 Mar 2022 : Clinical Research
A Retrospective Study to Evaluate the Effect of Dynamic Fracture Mobility on Cement Leakage in Percutaneous Vertebroplasty and Percutaneous Kyphoplasty in 286 Patients with Osteoporotic Vertebral Compression Fractures
Hu Ren, Tao Feng, Jianhui Cao, Yaning Hu, Dahai Yu, Shuo Pan, Guangqing Yao
DOI: 10.12659/MSM.935080
Med Sci Monit 2022; 28:e935080
4,873

27 Mar 2022 : Clinical Research
A Faster, Novel Technique to Detect COVID-19 Neutralizing Antibodies
DOI: 10.12659/MSM.935812
Med Sci Monit 2022; 28:e935812

27 Mar 2022 : Clinical Research
A Faster, Novel Technique to Detect COVID-19 Neutralizing Antibodies
Wei-Huai Chiu
, Wei-Yi Kong
, Yu-Jang Su
, Jyun-Wei Wen, Ciao-Ming Tsai
, Chitsung Hong, Pang-Yen Chen
, Cheng-Hao Ko
DOI: 10.12659/MSM.935812
Med Sci Monit 2022; 28:e935812
5,587

26 Mar 2022 : Clinical Research
A Novel Method to Quantify Penile Arterial Blood Supply Using Shear Wave Elastography During Penile Duplex Ultrasound in Men with Erectile Dysfunction
Jingshu Zhang, Wang Zhou
DOI: 10.12659/MSM.935232
Med Sci Monit 2022; 28:e935232

26 Mar 2022 : Clinical Research
A Novel Method to Quantify Penile Arterial Blood Supply Using Shear Wave Elastography During Penile Duplex Ultrasound in Men with Erectile Dysfunction
Jingshu Zhang, Wang Zhou, Yuyang Zhang, Wei Zhang, Chaoxue Zhang
DOI: 10.12659/MSM.935232
Med Sci Monit 2022; 28:e935232
4,347

25 Mar 2022 : Clinical Research
Retrospective Study of the Etiology, Laboratory Findings, and Management of Patients with Urinary Tract Infections and Urosepsis from a Urology Center in Silesia, Southern Poland Between 2017 and 2020
Zygmunt F. Gofron, Malgorzata Aptekorz
DOI: 10.12659/MSM.935478
Med Sci Monit 2022; 28:e935478

25 Mar 2022 : Clinical Research
Retrospective Study of the Etiology, Laboratory Findings, and Management of Patients with Urinary Tract Infections and Urosepsis from a Urology Center in Silesia, Southern Poland Between 2017 and 2020
Zygmunt F. Gofron, Malgorzata Aptekorz
, Katarzyna W. Gibas, Monika Kabała
, Gayane Martirosian
DOI: 10.12659/MSM.935478
Med Sci Monit 2022; 28:e935478
4,329

24 Mar 2022 : Errate
Erratum: Serum Uric Acid Levels in Relation to Atrial Fibrillation: A Case-Control Study
Xia Zhong, Huachen Jiao
DOI: 10.12659/MSM.936696
Med Sci Monit 2022; 28:e936696

24 Mar 2022 : Errate
Erratum: Serum Uric Acid Levels in Relation to Atrial Fibrillation: A Case-Control Study
Xia Zhong, Huachen Jiao, Dongsheng Zhao, Jing Teng
DOI: 10.12659/MSM.936696
Med Sci Monit 2022; 28:e936696
3,484

24 Mar 2022 : Clinical Research
Efficacy of PD-1 Inhibitor Combined with Bevacizumab in Treatment of Advanced Endometrial Cancer Patients with Mismatch Repair Deficiency (dMMR)/High-Level Microsatellite Instability (MSI-H)
DOI: 10.12659/MSM.934493
Med Sci Monit 2022; 28:e934493

24 Mar 2022 : Clinical Research
Efficacy of PD-1 Inhibitor Combined with Bevacizumab in Treatment of Advanced Endometrial Cancer Patients with Mismatch Repair Deficiency (dMMR)/High-Level Microsatellite Instability (MSI-H)
Ying Liao, Changhua Zhu
, Xiaoxia Song, Jiugen Ruan, Yao Ding, Yuan Chen, Qiujuan Yang
DOI: 10.12659/MSM.934493
Med Sci Monit 2022; 28:e934493
3,853

23 Mar 2022 : Clinical Research
Intravenous Lidocaine for Postoperative Analgesia in 90 patients After Total Knee Arthroplasty and Limb Fractures
Rajmonda Nallbani
, Edmond Komoni
DOI: 10.12659/MSM.935852
Med Sci Monit 2022; 28:e935852

23 Mar 2022 : Clinical Research
Intravenous Lidocaine for Postoperative Analgesia in 90 patients After Total Knee Arthroplasty and Limb Fractures
Rajmonda Nallbani
, Edmond Komoni, Fatos Sada, Ismet Q. Jusufi, Antigona Hasani
DOI: 10.12659/MSM.935852
Med Sci Monit 2022; 28:e935852
5,078

23 Mar 2022 : Animal Research
Analysis of Genes Associated with Both Neural Tube Defects and Neuroectodermal Tumors
Rui Cao, Jiaqi Li
DOI: 10.12659/MSM.936079
Med Sci Monit 2022; 28:e936079

23 Mar 2022 : Animal Research
Analysis of Genes Associated with Both Neural Tube Defects and Neuroectodermal Tumors
Rui Cao, Jiaqi Li, Li Zhang, Jianting Li, Yuxiang Liang, Ruifang Ao, Ying Wang, Hang Li, Xin Lu, Zhizhen Liu, Hong Zhao, Jun Xie
DOI: 10.12659/MSM.936079
Med Sci Monit 2022; 28:e936079
5,139

22 Mar 2022 : Clinical Research
Causes of Lower Respiratory Tract Infections and the Use of Diagnostic Biomarkers in Blood Samples from Children in Hohhot, Inner Mongolia, China, Between July 2019 and June 2020
Yanzi Gan, YuWei Hu
DOI: 10.12659/MSM.934889
Med Sci Monit 2022; 28:e934889

22 Mar 2022 : Clinical Research
Causes of Lower Respiratory Tract Infections and the Use of Diagnostic Biomarkers in Blood Samples from Children in Hohhot, Inner Mongolia, China, Between July 2019 and June 2020
Yanzi Gan, YuWei Hu, Hairong Dong, Lina Wu, Yan Niu
DOI: 10.12659/MSM.934889
Med Sci Monit 2022; 28:e934889
5,824

22 Mar 2022 : Clinical Research
Comparison of the Effectiveness of Endometrial Receptivity Analysis (ERA) to Guide Personalized Embryo Transfer with Conventional Frozen Embryo Transfer in 281 Chinese Women with Recurrent Implantation Failure
Yan Jia, Yulin Sha
DOI: 10.12659/MSM.935634
Med Sci Monit 2022; 28:e935634

22 Mar 2022 : Clinical Research
Comparison of the Effectiveness of Endometrial Receptivity Analysis (ERA) to Guide Personalized Embryo Transfer with Conventional Frozen Embryo Transfer in 281 Chinese Women with Recurrent Implantation Failure
Yan Jia, Yulin Sha, Zhu Qiu, Yanhua Guo, Aixiang Tan, Yan Huang, Ying Zhong, Yajun Dong, Hongxia Ye
DOI: 10.12659/MSM.935634
Med Sci Monit 2022; 28:e935634
6,077

21 Mar 2022 : Review article
A Review of Recent Studies on the Effects of SARS-CoV-2 Infection and SARS-CoV-2 Vaccines on Male Reproductive Health
Leila Adamyan, Vladimir Elagin
DOI: 10.12659/MSM.935879
Med Sci Monit 2022; 28:e935879

21 Mar 2022 : Review article
A Review of Recent Studies on the Effects of SARS-CoV-2 Infection and SARS-CoV-2 Vaccines on Male Reproductive Health
Leila Adamyan, Vladimir Elagin, Valeriy Vechorko, Assia Stepanian, Anton Dashko, Dmitriy Doroshenko, Yana Aznaurova, Maxim Sorokin, Andrew Garazha, Anton Buzdin
DOI: 10.12659/MSM.935879
Med Sci Monit 2022; 28:e935879
11,916

21 Mar 2022 : Clinical Research
Clinical Application of Enteral Nutrition Combined with Microbial Preparation for Intestinal Preparation in Elderly Patients with Colorectal Cancer
Yu Shen, Xin Zhao
DOI: 10.12659/MSM.935366
Med Sci Monit 2022; 28:e935366

21 Mar 2022 : Clinical Research
Clinical Application of Enteral Nutrition Combined with Microbial Preparation for Intestinal Preparation in Elderly Patients with Colorectal Cancer
Yu Shen, Xin Zhao, Haijian Zhao, Ning Chen, Jian Wang, Haiwen Zhuang, Xiaoyu Zhang
DOI: 10.12659/MSM.935366
Med Sci Monit 2022; 28:e935366
8,556

20 Mar 2022 : Clinical Research
Aldosterone-to-Renin Ratio Is Associated with Diabetic Nephropathy in Type 2 Diabetic Patients: A Single-Center Retrospective Study
Mariko Higa, Takamasa Ichijo
DOI: 10.12659/MSM.935615
Med Sci Monit 2022; 28:e935615

20 Mar 2022 : Clinical Research
Aldosterone-to-Renin Ratio Is Associated with Diabetic Nephropathy in Type 2 Diabetic Patients: A Single-Center Retrospective Study
Mariko Higa, Takamasa Ichijo, Takahisa Hirose
DOI: 10.12659/MSM.935615
Med Sci Monit 2022; 28:e935615
4,878

19 Mar 2022 : Clinical Research
A Retrospective Study to Compare the Effects of Methylprednisolone and Dexamethasone in 35 Patients with Anaphylactic Shock Due to Iodinated Contrast Media During Cardiac Catheterization
Zhiwei Huang, Fenghuan Hu
DOI: 10.12659/MSM.934703
Med Sci Monit 2022; 28:e934703

19 Mar 2022 : Clinical Research
A Retrospective Study to Compare the Effects of Methylprednisolone and Dexamethasone in 35 Patients with Anaphylactic Shock Due to Iodinated Contrast Media During Cardiac Catheterization
Zhiwei Huang, Fenghuan Hu, Haibo Liu, Man Wang
DOI: 10.12659/MSM.934703
Med Sci Monit 2022; 28:e934703
3,770

18 Mar 2022 : Clinical Research
Unveiling the Differences in Biological Properties of Dental Pulp Stem Cells from Normal and Inflamed Pulp: A Comprehensive Comparative Study
Shao-Chen Nie, Kun Yang
DOI: 10.12659/MSM.934511
Med Sci Monit 2022; 28:e934511

18 Mar 2022 : Clinical Research
Unveiling the Differences in Biological Properties of Dental Pulp Stem Cells from Normal and Inflamed Pulp: A Comprehensive Comparative Study
Shao-Chen Nie, Kun Yang, Na-Na Luan, Xiao-Li Lian, Xiao-Hua Dai, Su-Xia Liang, Ying-Bin Yan
DOI: 10.12659/MSM.934511
Med Sci Monit 2022; 28:e934511
5,232

17 Mar 2022 : Database Analysis
Identification of Key Genes Associated with Brain Metastasis from Breast Cancer: A Bioinformatics Analysis
Cheng Zeng, Mingxi Lin
DOI: 10.12659/MSM.935071
Med Sci Monit 2022; 28:e935071

17 Mar 2022 : Database Analysis
Identification of Key Genes Associated with Brain Metastasis from Breast Cancer: A Bioinformatics Analysis
Cheng Zeng, Mingxi Lin, Yizi Jin, Jian Zhang
DOI: 10.12659/MSM.935071
Med Sci Monit 2022; 28:e935071
7,742

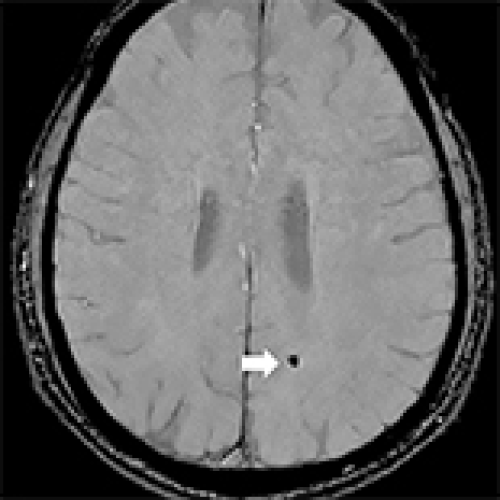
16 Mar 2022 : Clinical Research
Effect of Cerebral Microbleeds on Cognitive Function and Quality of Life in Parkinson Disease
Qixiong Qin, Hengming Wan
DOI: 10.12659/MSM.935026
Med Sci Monit 2022; 28:e935026

16 Mar 2022 : Clinical Research
Effect of Cerebral Microbleeds on Cognitive Function and Quality of Life in Parkinson Disease
Qixiong Qin, Hengming Wan, Danlei Wang, Jingyi Li, Qingmei Yang, Jingwei Zhao, Zheng Xue
DOI: 10.12659/MSM.935026
Med Sci Monit 2022; 28:e935026
4,847

16 Mar 2022 : Animal Research
A New Target of the Four-Herb Chinese Medicine for Wound Repair Promoted by Mitochondrial Metabolism Using Protein Acetylation Analysis
Zhongzhi Zhou, Li Chen
DOI: 10.12659/MSM.934816
Med Sci Monit 2022; 28:e934816

16 Mar 2022 : Animal Research
A New Target of the Four-Herb Chinese Medicine for Wound Repair Promoted by Mitochondrial Metabolism Using Protein Acetylation Analysis
Zhongzhi Zhou, Li Chen, Yuxin Su, Meirong Li, Lingzhi Zhong, Liangying Liao, Yarong Ding, Mulin Liu, Zhonghang Yuan, Wei Wang, Xinyu Hang, Xiuna Fang, Xiaobing Fu, Wenjun He, Qian Hou
DOI: 10.12659/MSM.934816
Med Sci Monit 2022; 28:e934816
6,523

15 Mar 2022 : Clinical Research
Development of a Predictive Nomogram for Estimating Medication Nonadherence in Hemodialysis Patients
Ying Wang, Yinhui Yao
DOI: 10.12659/MSM.934482
Med Sci Monit 2022; 28:e934482

15 Mar 2022 : Clinical Research
Development of a Predictive Nomogram for Estimating Medication Nonadherence in Hemodialysis Patients
Ying Wang, Yinhui Yao, Junhui Hu, Yingxue Lin, Chunhua Cai, Yanwu Zhao
DOI: 10.12659/MSM.934482
Med Sci Monit 2022; 28:e934482
5,360

15 Mar 2022 : Clinical Research
Chain Mediation Model of Perceived Stress, Resilience, and Social Support on Coping Styles of Chinese Patients on Hemodialysis During COVID-19 Pandemic Lockdown
Lu Peng, Yuling Ye
DOI: 10.12659/MSM.935300
Med Sci Monit 2022; 28:e935300

15 Mar 2022 : Clinical Research
Chain Mediation Model of Perceived Stress, Resilience, and Social Support on Coping Styles of Chinese Patients on Hemodialysis During COVID-19 Pandemic Lockdown
Lu Peng, Yuling Ye, Lingzhen Wang, Wanling Qiu, Sicheng Huang, Lixing Wang, Fengling He, Lili Deng, Jingxia Lin
DOI: 10.12659/MSM.935300
Med Sci Monit 2022; 28:e935300
9,300
Editorial
01 November 2025 : Editorial
Editorial: Hypertrophic Cardiomyopathy and Precision Medicine in Cardiovascular DiseaseDOI: 10.12659/MSM.951868
Med Sci Monit 2025; 31:e951868
In Press
Review article
Association of Childhood Asthma with the Concept of Exposomics: A Short ReviewMed Sci Monit In Press; DOI: 10.12659/MSM.949589
Clinical Research
Association of Hyperuricemia with Cardiovascular Risk Factors and Cardiac Structural Changes in Patients Un...Med Sci Monit In Press; DOI: 10.12659/MSM.949422
Clinical Research
Predictive Value of IBI for In-Hospital Death in Elderly Patients with Non-ST-Segment Elevation Myocardial ...Med Sci Monit In Press; DOI: 10.12659/MSM.950592
Clinical Research
Short-Segment Bone Cement–Augmented Pedicle Screw Fixation Combined With Bone Grafting for Management of Ku...Med Sci Monit In Press; DOI: 10.12659/MSM.949901
Most Viewed Current Articles
17 Jan 2024 : Review article 10,154,901
Vaccination Guidelines for Pregnant Women: Addressing COVID-19 and the Omicron VariantDOI :10.12659/MSM.942799
Med Sci Monit 2024; 30:e942799
13 Nov 2021 : Clinical Research 3,690,259
Acceptance of COVID-19 Vaccination and Its Associated Factors Among Cancer Patients Attending the Oncology ...DOI :10.12659/MSM.932788
Med Sci Monit 2021; 27:e932788
14 Dec 2022 : Clinical Research 2,334,173
Prevalence and Variability of Allergen-Specific Immunoglobulin E in Patients with Elevated Tryptase LevelsDOI :10.12659/MSM.937990
Med Sci Monit 2022; 28:e937990
16 May 2023 : Clinical Research 705,709
Electrophysiological Testing for an Auditory Processing Disorder and Reading Performance in 54 School Stude...DOI :10.12659/MSM.940387
Med Sci Monit 2023; 29:e940387
