Current Volume 28, 2022 - Page: 10

23 Apr 2022 : Clinical Research
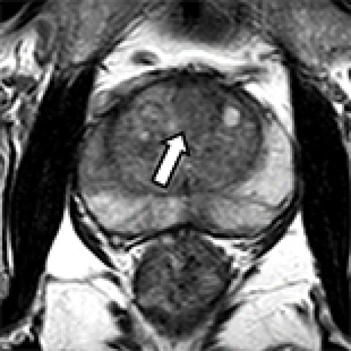
Combining Magnetic Resonance Diffusion-Weighted Imaging with Prostate-Specific Antigen to Differentiate Between Malignant and Benign Prostate Lesions
Liying Han, Guanyong He
DOI: 10.12659/MSM.935307
Med Sci Monit 2022; 28:e935307

23 Apr 2022 : Clinical Research
Combining Magnetic Resonance Diffusion-Weighted Imaging with Prostate-Specific Antigen to Differentiate Between Malignant and Benign Prostate Lesions
Liying Han, Guanyong He, Yingjie Mei, Qing Yu, Minning Zhao, Fu Luo, Guanxun Cheng, Wen Liang
DOI: 10.12659/MSM.935307
Med Sci Monit 2022; 28:e935307
3,469

22 Apr 2022 : Clinical Research
Closed Reduction Percutaneous Intramedullary Fixation with Kirschner Wires in 4 Children with Displaced Fractures of the Distal Humerus
Rufa Wang, Pengfei Zheng
DOI: 10.12659/MSM.935448
Med Sci Monit 2022; 28:e935448

22 Apr 2022 : Clinical Research
Closed Reduction Percutaneous Intramedullary Fixation with Kirschner Wires in 4 Children with Displaced Fractures of the Distal Humerus
Rufa Wang, Pengfei Zheng, Yinming Wang, Zhipeng Gao, Mengqiu Xu, Minjie Fan, Yiwei Wang, Khristinn Kellie Leitch, Gang Lin
DOI: 10.12659/MSM.935448
Med Sci Monit 2022; 28:e935448
4,017

21 Apr 2022 : Database Analysis
Effect of Alzheimer Disease on Prognosis of Intensive Care Unit (ICU) Patients: A Propensity Score Matching Analysis
Baohua Zhu, Xiaoli Chen
DOI: 10.12659/MSM.935397
Med Sci Monit 2022; 28:e935397

21 Apr 2022 : Database Analysis
Effect of Alzheimer Disease on Prognosis of Intensive Care Unit (ICU) Patients: A Propensity Score Matching Analysis
Baohua Zhu, Xiaoli Chen, Wei Li, Dandan Zhou
DOI: 10.12659/MSM.935397
Med Sci Monit 2022; 28:e935397
4,353

20 Apr 2022 : Clinical Research
Effects of Interaction Between Gestational Hypertension and History of Preterm Birth on the Risk of Preterm Birth: An Analysis Based on the National Vital Statistics System Database
Xiaoqin Cao, Daoming Zu
DOI: 10.12659/MSM.935094
Med Sci Monit 2022; 28:e935094

20 Apr 2022 : Clinical Research
Effects of Interaction Between Gestational Hypertension and History of Preterm Birth on the Risk of Preterm Birth: An Analysis Based on the National Vital Statistics System Database
Xiaoqin Cao, Daoming Zu, Yang Liu
DOI: 10.12659/MSM.935094
Med Sci Monit 2022; 28:e935094
3,366

19 Apr 2022 : Clinical Research
Factors Associated with Non-Adherence for Prescribed Treatment in 201 Patients with Multidrug-Resistant and Rifampicin-Resistant Tuberculosis in Anhui Province, China
Qing-Qing Zhu, Jie Wang
DOI: 10.12659/MSM.935334
Med Sci Monit 2022; 28:e935334

19 Apr 2022 : Clinical Research
Factors Associated with Non-Adherence for Prescribed Treatment in 201 Patients with Multidrug-Resistant and Rifampicin-Resistant Tuberculosis in Anhui Province, China
Qing-Qing Zhu, Jie Wang, Napoleon Bellua Sam, Jie Luo, Jie Liu, Hai-Feng Pan
DOI: 10.12659/MSM.935334
Med Sci Monit 2022; 28:e935334
4,511

18 Apr 2022 : Review article
Role of Diffusion Tensor Tractography in Diagnosis of Limb-Kinetic Apraxia in Stroke Patients: A Mini-Narrative Review
DOI: 10.12659/MSM.936417
Med Sci Monit 2022; 28:e936417

18 Apr 2022 : Review article
Role of Diffusion Tensor Tractography in Diagnosis of Limb-Kinetic Apraxia in Stroke Patients: A Mini-Narrative Review
DOI: 10.12659/MSM.936417
Med Sci Monit 2022; 28:e936417
5,294

17 Apr 2022 : Meta-Analysis
Pharmacological Therapies for Osteoporosis: A Bayesian Network Meta-Analysis
Jiping Shen, Zheng Ke
DOI: 10.12659/MSM.935491
Med Sci Monit 2022; 28:e935491

17 Apr 2022 : Meta-Analysis
Pharmacological Therapies for Osteoporosis: A Bayesian Network Meta-Analysis
Jiping Shen, Zheng Ke, Shuangshuang Dong, Minzhi Lv, Ying Yuan, Le Song, Kefen Wu
, Kan Xu, Yu Hu
DOI: 10.12659/MSM.935491
Med Sci Monit 2022; 28:e935491
16,240

16 Apr 2022 : Database Analysis
Identification of Novel Genes and Associated Drugs in Cervical Cancer by Bioinformatics Methods
Dan Wang, Yanling Liu
DOI: 10.12659/MSM.934799
Med Sci Monit 2022; 28:e934799

16 Apr 2022 : Database Analysis
Identification of Novel Genes and Associated Drugs in Cervical Cancer by Bioinformatics Methods
Dan Wang, Yanling Liu, Shuyu Cheng, Guoyan Liu
DOI: 10.12659/MSM.934799
Med Sci Monit 2022; 28:e934799
5,392

15 Apr 2022 : Clinical Research
A Single-Center Retrospective Study of Selected Clinical Parameters and Intraoperative Fluid Management of Patients Undergoing Pancreatoduodenectomy
Patryk Zemła, Justyna Bajak
DOI: 10.12659/MSM.936114
Med Sci Monit 2022; 28:e936114

15 Apr 2022 : Clinical Research
A Single-Center Retrospective Study of Selected Clinical Parameters and Intraoperative Fluid Management of Patients Undergoing Pancreatoduodenectomy
Patryk Zemła, Justyna Bajak, Bartosz Molasy
, Łukasz Krzych
, Sławomir Mrowiec, Katarzyna Kuśnierz
DOI: 10.12659/MSM.936114
Med Sci Monit 2022; 28:e936114
3,600

14 Apr 2022 : Database Analysis
Impact of Low-density Lipoprotein Cholesterol Levels on Outcomes in Nonvalvular Atrial Fibrillation: Results from the China Atrial Fibrillation Registry Study
Zhi-Zhao Li, Xin Du
DOI: 10.12659/MSM.934747
Med Sci Monit 2022; 28:e934747

14 Apr 2022 : Database Analysis
Impact of Low-density Lipoprotein Cholesterol Levels on Outcomes in Nonvalvular Atrial Fibrillation: Results from the China Atrial Fibrillation Registry Study
Zhi-Zhao Li, Xin Du, Nian Liu, Xue-yuan Guo, Chao Jiang, Liu He, Shi-jun Xia, Wei Wang, Ri-bo Tang, San-shuai Chang, Rong-hui Yu, De-yong Long, Rong Bai, Cai-hua Sang, Song-nan Li, Jian-zeng Dong, Chang-sheng Ma
DOI: 10.12659/MSM.934747
Med Sci Monit 2022; 28:e934747
5,732

13 Apr 2022 : Clinical Research
External Quality Assessment of Maternal Serum Levels of Alpha-Fetoprotein, Free Beta-Human Chorionic Gonadotropin, and Unconjugated Estriol in Detecting Down Syndrome and Neural Tube Defects in the Second Trimester of 87 Maternal Serum Samples, Based on 105-139 Days
DOI: 10.12659/MSM.935573
Med Sci Monit 2022; 28:e935573

13 Apr 2022 : Clinical Research
External Quality Assessment of Maternal Serum Levels of Alpha-Fetoprotein, Free Beta-Human Chorionic Gonadotropin, and Unconjugated Estriol in Detecting Down Syndrome and Neural Tube Defects in the Second Trimester of 87 Maternal Serum Samples, Based on 105-139 Days
Yiming Chen
, Yijie Chen
, Yezhen Shi, Wenwen Ning, Xiaoying Wang, Liyao Li, Huimin Zhang
DOI: 10.12659/MSM.935573
Med Sci Monit 2022; 28:e935573
4,226

12 Apr 2022 : Clinical Research
Development and Validation of a Nomogram for Predicting Postoperative Distant Metastasis in Patients with Cervical Cancer
Weihong Zeng, Lishan Huang
DOI: 10.12659/MSM.933379
Med Sci Monit 2022; 28:e933379

12 Apr 2022 : Clinical Research
Development and Validation of a Nomogram for Predicting Postoperative Distant Metastasis in Patients with Cervical Cancer
Weihong Zeng, Lishan Huang, Haihong Lin, Ru Pan, Haochang Liu, Jizhong Wen, Ye Liang, Haikun Yang
DOI: 10.12659/MSM.933379
Med Sci Monit 2022; 28:e933379
5,474

11 Apr 2022 : Clinical Research
High-Resolution Magnetic Resonance Imaging (HR-MRI) Evaluation of the Distribution and Characteristics of Intra-Aneurysm Thrombosis to Improve Clinical Diagnosis of Thrombotic Intracranial Aneurysm
Yan Gu, Chongchang Miao
DOI: 10.12659/MSM.935613
Med Sci Monit 2022; 28:e935613

11 Apr 2022 : Clinical Research
High-Resolution Magnetic Resonance Imaging (HR-MRI) Evaluation of the Distribution and Characteristics of Intra-Aneurysm Thrombosis to Improve Clinical Diagnosis of Thrombotic Intracranial Aneurysm
Yan Gu, Chongchang Miao, Aimin Li, Yonggang Zhang, Jian Xu
DOI: 10.12659/MSM.935613
Med Sci Monit 2022; 28:e935613
4,207

10 Apr 2022 : Clinical Research
Organ-Sparing Pancreatectomy for Benign or Low-Grade Malignant Pancreatic Tumors: A Single-Center Experience with 101 Consecutive Patients
Kang Fang, Gen Sun
DOI: 10.12659/MSM.935685
Med Sci Monit 2022; 28:e935685

10 Apr 2022 : Clinical Research
Organ-Sparing Pancreatectomy for Benign or Low-Grade Malignant Pancreatic Tumors: A Single-Center Experience with 101 Consecutive Patients
Kang Fang, Gen Sun, Ming Zha, Shuju Tu, Yuanpeng Xiong, Siqing Yi, Yonghao Ouyang, Yong Li, Weidong Xiao
DOI: 10.12659/MSM.935685
Med Sci Monit 2022; 28:e935685
4,118

09 Apr 2022 : Review article
A Review of the Neurobiological Mechanisms that Distinguish Between Loudness Recruitment and Hyperacusis
Lin Shi, Rui Zhao
DOI: 10.12659/MSM.936373
Med Sci Monit 2022; 28:e936373

09 Apr 2022 : Review article
A Review of the Neurobiological Mechanisms that Distinguish Between Loudness Recruitment and Hyperacusis
Lin Shi, Rui Zhao, Xinxin Li, Wei Sun, Xiuli Liu
DOI: 10.12659/MSM.936373
Med Sci Monit 2022; 28:e936373
12,332

08 Apr 2022 : Clinical Research
A Retrospective Study to Determine the Association Between Serum Albumin Levels and Atrial Fibrillation by Sex in 950 Patients from a Single Center in China
Xia Zhong, Huachen Jiao
DOI: 10.12659/MSM.935347
Med Sci Monit 2022; 28:e935347

08 Apr 2022 : Clinical Research
A Retrospective Study to Determine the Association Between Serum Albumin Levels and Atrial Fibrillation by Sex in 950 Patients from a Single Center in China
Xia Zhong, Huachen Jiao, Dongsheng Zhao, Jing Teng, Mengqi Yang
DOI: 10.12659/MSM.935347
Med Sci Monit 2022; 28:e935347
4,488

07 Apr 2022 : Clinical Research
Risk Factors for Poor Outcomes of Thoracic Ossification of Ligamentum Flavum After Laminectomy
Jiayuan Sun, Peiyu Du
DOI: 10.12659/MSM.935711
Med Sci Monit 2022; 28:e935711

07 Apr 2022 : Clinical Research
Risk Factors for Poor Outcomes of Thoracic Ossification of Ligamentum Flavum After Laminectomy
Jiayuan Sun, Peiyu Du, Yong Shen
DOI: 10.12659/MSM.935711
Med Sci Monit 2022; 28:e935711
3,839

06 Apr 2022 : Review article
Signal Crosstalk and the Role of Estrogen Receptor beta (ERβ) in Prostate Cancer
Jialin Li, Quanliang Liu
DOI: 10.12659/MSM.935599
Med Sci Monit 2022; 28:e935599

06 Apr 2022 : Review article
Signal Crosstalk and the Role of Estrogen Receptor beta (ERβ) in Prostate Cancer
Jialin Li, Quanliang Liu, Chengming Jiang
DOI: 10.12659/MSM.935599
Med Sci Monit 2022; 28:e935599
9,720

05 Apr 2022 : Clinical Research
Assessment of Meibomian Gland (MD) Impairment Among Seasonal Allergic Conjunctivitis (SAC) Patients
Limei Liu, Jiaomin Yang
DOI: 10.12659/MSM.935359
Med Sci Monit 2022; 28:e935359

05 Apr 2022 : Clinical Research
Assessment of Meibomian Gland (MD) Impairment Among Seasonal Allergic Conjunctivitis (SAC) Patients
Limei Liu, Jiaomin Yang, Wuguang Ji, Chao Wang
DOI: 10.12659/MSM.935359
Med Sci Monit 2022; 28:e935359
3,919

04 Apr 2022 : Clinical Research
Combining Diffusion-Weighted Imaging and T2-Weighted Imaging to Delineate Tumorous Tissue in Peritoneal Carcinomatosis: A Comparative Study with 18F-Fluoro-Deoxyglucose Positron Emission Tomography with Computed Tomography (FDG PET/CT)
Qing Wu, Xiufang Xu
DOI: 10.12659/MSM.934664
Med Sci Monit 2022; 28:e934664

04 Apr 2022 : Clinical Research
Combining Diffusion-Weighted Imaging and T2-Weighted Imaging to Delineate Tumorous Tissue in Peritoneal Carcinomatosis: A Comparative Study with 18F-Fluoro-Deoxyglucose Positron Emission Tomography with Computed Tomography (FDG PET/CT)
Qing Wu, Xiufang Xu
DOI: 10.12659/MSM.934664
Med Sci Monit 2022; 28:e934664
3,801

03 Apr 2022 : Clinical Research
A Retrospective Study on the Effects of Kinesiology Taping on Edema of the Lower Limb in 14 Patients Following Intramedullary Nailing for Femoral Shaft Fracture
Karen Lanier, Andrea M. Johnson
DOI: 10.12659/MSM.936619
Med Sci Monit 2022; 28:e936619

03 Apr 2022 : Clinical Research
A Retrospective Study on the Effects of Kinesiology Taping on Edema of the Lower Limb in 14 Patients Following Intramedullary Nailing for Femoral Shaft Fracture
Karen Lanier, Andrea M. Johnson, Ximena Tapia, Shenae Samuels
DOI: 10.12659/MSM.936619
Med Sci Monit 2022; 28:e936619
6,081

02 Apr 2022 : Database Analysis
Impact of Primary Tumor Resection on Survival of Patients with Metastatic Gallbladder Carcinoma: A Population-Based, Propensity‑Matched Study
Jiang Xie, Zuofu Liao
DOI: 10.12659/MSM.934447
Med Sci Monit 2022; 28:e934447

02 Apr 2022 : Database Analysis
Impact of Primary Tumor Resection on Survival of Patients with Metastatic Gallbladder Carcinoma: A Population-Based, Propensity‑Matched Study
Jiang Xie, Zuofu Liao, Chao Sun, Zhonghao Chen
DOI: 10.12659/MSM.934447
Med Sci Monit 2022; 28:e934447
3,065

01 Apr 2022 : Editorial
Editorial: The Public Health Implications for the Refugee Population, Particularly in Poland, Due to the War in Ukraine
Mateusz Jankowski, Mariusz Gujski
DOI: 10.12659/MSM.936808
Med Sci Monit 2022; 28:e936808

01 Apr 2022 : Editorial
Editorial: The Public Health Implications for the Refugee Population, Particularly in Poland, Due to the War in Ukraine
Mateusz Jankowski, Mariusz Gujski
DOI: 10.12659/MSM.936808
Med Sci Monit 2022; 28:e936808
9,264

01 Apr 2022 : Clinical Research
A Retrospective Study of 881 Lateral Transabdominal Laparoscopic Adrenalectomies Performed Between 1997 and 2017 at a Single Center in Poland to Determine Factors Associated with Surgery Time
Milena Duralska, Jacek Dzwonkowski
DOI: 10.12659/MSM.936272
Med Sci Monit 2022; 28:e936272

01 Apr 2022 : Clinical Research
A Retrospective Study of 881 Lateral Transabdominal Laparoscopic Adrenalectomies Performed Between 1997 and 2017 at a Single Center in Poland to Determine Factors Associated with Surgery Time
Milena Duralska, Jacek Dzwonkowski, Janusz Sierdziński
, Sławomir Nazarewski
DOI: 10.12659/MSM.936272
Med Sci Monit 2022; 28:e936272
3,820

31 Mar 2022 : Database Analysis
Blood Pressure Trajectory and Its Influencing Factors in Chinese Adults: A Cohort Study with Long-Term Follow-Up
Chaoyong Yao, Zhibao Wei
DOI: 10.12659/MSM.934886
Med Sci Monit 2022; 28:e934886

31 Mar 2022 : Database Analysis
Blood Pressure Trajectory and Its Influencing Factors in Chinese Adults: A Cohort Study with Long-Term Follow-Up
Chaoyong Yao, Zhibao Wei
DOI: 10.12659/MSM.934886
Med Sci Monit 2022; 28:e934886
6,221
Editorial
01 November 2025 : Editorial
Editorial: Hypertrophic Cardiomyopathy and Precision Medicine in Cardiovascular DiseaseDOI: 10.12659/MSM.951868
Med Sci Monit 2025; 31:e951868
In Press
Review article
Association of Childhood Asthma with the Concept of Exposomics: A Short ReviewMed Sci Monit In Press; DOI: 10.12659/MSM.949589
Clinical Research
Association of Hyperuricemia with Cardiovascular Risk Factors and Cardiac Structural Changes in Patients Un...Med Sci Monit In Press; DOI: 10.12659/MSM.949422
Clinical Research
Predictive Value of IBI for In-Hospital Death in Elderly Patients with Non-ST-Segment Elevation Myocardial ...Med Sci Monit In Press; DOI: 10.12659/MSM.950592
Clinical Research
Short-Segment Bone Cement–Augmented Pedicle Screw Fixation Combined With Bone Grafting for Management of Ku...Med Sci Monit In Press; DOI: 10.12659/MSM.949901
Most Viewed Current Articles
17 Jan 2024 : Review article 10,154,901
Vaccination Guidelines for Pregnant Women: Addressing COVID-19 and the Omicron VariantDOI :10.12659/MSM.942799
Med Sci Monit 2024; 30:e942799
13 Nov 2021 : Clinical Research 3,690,259
Acceptance of COVID-19 Vaccination and Its Associated Factors Among Cancer Patients Attending the Oncology ...DOI :10.12659/MSM.932788
Med Sci Monit 2021; 27:e932788
14 Dec 2022 : Clinical Research 2,334,173
Prevalence and Variability of Allergen-Specific Immunoglobulin E in Patients with Elevated Tryptase LevelsDOI :10.12659/MSM.937990
Med Sci Monit 2022; 28:e937990
16 May 2023 : Clinical Research 705,709
Electrophysiological Testing for an Auditory Processing Disorder and Reading Performance in 54 School Stude...DOI :10.12659/MSM.940387
Med Sci Monit 2023; 29:e940387
