Current Volume 24, 2018 - Page: 7

14 Nov 2018 : Clinical Research
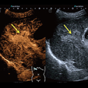
Therapeutic Evaluation of Radiotherapy with Contrast-Enhanced Ultrasound in Non-Resectable Hepatocellular Carcinoma Patients with Portal Vein Tumor Thrombosis
Hongxue Li, Junjie Liu
DOI: 10.12659/MSM.911073
Med Sci Monit 2018; 24: CLR8183-8189

14 Nov 2018 : Clinical Research
Therapeutic Evaluation of Radiotherapy with Contrast-Enhanced Ultrasound in Non-Resectable Hepatocellular Carcinoma Patients with Portal Vein Tumor Thrombosis
Hongxue Li, Junjie Liu, Miao Chen, Hang Li, Liling Long
DOI: 10.12659/MSM.911073
Med Sci Monit 2018; 24: CLR8183-8189
2,419

14 Nov 2018 : Review article
Role of Pyk2 in Human Cancers
Ting Shen, Qiang Guo
DOI: 10.12659/MSM.913479
Med Sci Monit 2018; 24: REV8172-8182

14 Nov 2018 : Review article
Role of Pyk2 in Human Cancers
Ting Shen, Qiang Guo
DOI: 10.12659/MSM.913479
Med Sci Monit 2018; 24: REV8172-8182
4,304

13 Nov 2018 : Clinical Research
Efficacy and Safety of Botulinum Toxin Type A in Spasticity Caused by Spinal Cord Injury: A Randomized, Controlled Trial
Xu Yan, Jie Lan
DOI: 10.12659/MSM.911296
Med Sci Monit 2018; 24: CLR8160-8171

13 Nov 2018 : Clinical Research
Efficacy and Safety of Botulinum Toxin Type A in Spasticity Caused by Spinal Cord Injury: A Randomized, Controlled Trial
Xu Yan, Jie Lan, Yancheng Liu, Jun Miao
DOI: 10.12659/MSM.911296
Med Sci Monit 2018; 24: CLR8160-8171
4,109

13 Nov 2018 : Animal Research
Impact of Hyperbaric Oxygen on Tissue Healing around Dental Implants in Beagles
Juan Liao, Meng-Jun Wu
DOI: 10.12659/MSM.912784
Med Sci Monit 2018; 24: ANS8150-8159

13 Nov 2018 : Animal Research
Impact of Hyperbaric Oxygen on Tissue Healing around Dental Implants in Beagles
Juan Liao, Meng-Jun Wu, Yan-Dong Mu, Peng Li, Jun Go
DOI: 10.12659/MSM.912784
Med Sci Monit 2018; 24: ANS8150-8159
2,094

13 Nov 2018 : Clinical Research
Clinical Inertia in Type 2 Diabetes Patients in Primary Health Care Clinics in Central Bosnia
Marijan Marjanović, Davorka Vrdoljak
DOI: 10.12659/MSM.911286
Med Sci Monit 2018; 24: CLR8141-8149

13 Nov 2018 : Clinical Research
Clinical Inertia in Type 2 Diabetes Patients in Primary Health Care Clinics in Central Bosnia
Marijan Marjanović, Davorka Vrdoljak, Valerija Bralić Lang, Ozren Polašek, Vedran Đido, Marinka Kašćel Fišić, Ivanka Mađar Šimić, Danijela Dodig, Marina Radoš Perić
DOI: 10.12659/MSM.911286
Med Sci Monit 2018; 24: CLR8141-8149
1,878

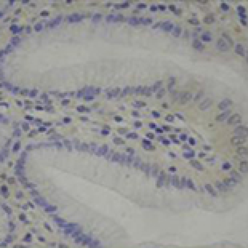
13 Nov 2018 : Laboratory Research
Expression and Molecular Regulation of the Cox2 Gene in Gastroenteropancreatic Neuroendocrine Tumors and Antiproliferation of Nonsteroidal Anti-Inflammatory Drugs (NSAIDs)
Feng Gao, Mohammad Ishraq Zafar
DOI: 10.12659/MSM.912419
Med Sci Monit 2018; 24: LBR8125-8140

13 Nov 2018 : Laboratory Research
Expression and Molecular Regulation of the Cox2 Gene in Gastroenteropancreatic Neuroendocrine Tumors and Antiproliferation of Nonsteroidal Anti-Inflammatory Drugs (NSAIDs)
Feng Gao, Mohammad Ishraq Zafar, Stefan Jüttner, Michael Höcker, Bertram Wiedenmann
DOI: 10.12659/MSM.912419
Med Sci Monit 2018; 24: LBR8125-8140
2,762

12 Nov 2018 : Clinical Research
Clinical Study on Complications of Intracranial Ruptured Aneurysm Embolization by Stent-Assisted Coil
Yinlong Liu, Jianren Wang
DOI: 10.12659/MSM.911773
Med Sci Monit 2018; 24: CLR8115-8124

12 Nov 2018 : Clinical Research
Clinical Study on Complications of Intracranial Ruptured Aneurysm Embolization by Stent-Assisted Coil
Yinlong Liu, Jianren Wang, Liqing Lin, Chunsheng Sang, Zexi Lin, Yaohua Pan, Xi'an Fu
DOI: 10.12659/MSM.911773
Med Sci Monit 2018; 24: CLR8115-8124
2,215

12 Nov 2018 : Laboratory Research
Up-Regulation of Phosphatase in Regenerating Liver-3 (PRL-3) Contributes to Malignant Progression of Hepatocellular Carcinoma by Activating Phosphatase and Tensin Homolog Deleted on Chromosome Ten (PTEN)/Phosphoinositide 3-Kinase (PI3K)/AKT Signaling Pathway
Bing-Hui Li, Yang Wang
DOI: 10.12659/MSM.913307
Med Sci Monit 2018; 24: LBR8105-8114

12 Nov 2018 : Laboratory Research
Up-Regulation of Phosphatase in Regenerating Liver-3 (PRL-3) Contributes to Malignant Progression of Hepatocellular Carcinoma by Activating Phosphatase and Tensin Homolog Deleted on Chromosome Ten (PTEN)/Phosphoinositide 3-Kinase (PI3K)/AKT Signaling Pathway
Bing-Hui Li, Yang Wang, Chao-Yang Wang, Ming-Juan Zhao, Tong Deng, Xue-Qun Ren
DOI: 10.12659/MSM.913307
Med Sci Monit 2018; 24: LBR8105-8114
2,139

12 Nov 2018 : Animal Research
Heat Shock Protein 70 (HSP70) Reduces Hepatic Inflammatory and Oxidative Damage in a Rat Model of Liver Ischemia/Reperfusion Injury with Hyperbaric Oxygen Preconditioning
Hsing-Hsien Wu, Chien-Cheng Huang
DOI: 10.12659/MSM.911641
Med Sci Monit 2018; 24: ANS8096-8104

12 Nov 2018 : Animal Research
Heat Shock Protein 70 (HSP70) Reduces Hepatic Inflammatory and Oxidative Damage in a Rat Model of Liver Ischemia/Reperfusion Injury with Hyperbaric Oxygen Preconditioning
Hsing-Hsien Wu, Chien-Cheng Huang, Ching-Ping Chang, Mao-Tsun Lin, Ko-Chi Niu, Yu-Feng Tian
DOI: 10.12659/MSM.911641
Med Sci Monit 2018; 24: ANS8096-8104
2,501

12 Nov 2018 : Laboratory Research
Long Noncoding RNA FEZF1-AS1 Promotes Proliferation and Inhibits Apoptosis in Ovarian Cancer by Activation of JAK-STAT3 Pathway
Xia Zhao, Zhaofang Cheng
DOI: 10.12659/MSM.911194
Med Sci Monit 2018; 24: LBR8088-8095

12 Nov 2018 : Laboratory Research
Long Noncoding RNA FEZF1-AS1 Promotes Proliferation and Inhibits Apoptosis in Ovarian Cancer by Activation of JAK-STAT3 Pathway
Xia Zhao, Zhaofang Cheng, Jian Wang
DOI: 10.12659/MSM.911194
Med Sci Monit 2018; 24: LBR8088-8095
2,089

11 Nov 2018 : Clinical Research
A Propensity Score-Matched Analysis for Non-Intubated Thoracic Surgery
Lan Lan, Yanyi Cen
DOI: 10.12659/MSM.910605
Med Sci Monit 2018; 24: CLR8081-8087

11 Nov 2018 : Clinical Research
A Propensity Score-Matched Analysis for Non-Intubated Thoracic Surgery
Lan Lan, Yanyi Cen, Canzhou Zhang, Yuan Qiu, Baoyi Ouyang
DOI: 10.12659/MSM.910605
Med Sci Monit 2018; 24: CLR8081-8087
2,358

11 Nov 2018 : Laboratory Research
IC-2 Suppresses Proliferation and Induces Apoptosis of Bladder Cancer Cells via the Wnt/β-Catenin Pathway
Lingfeng Wu, Shunliang He
DOI: 10.12659/MSM.910742
Med Sci Monit 2018; 24: LBR8074-8080

11 Nov 2018 : Laboratory Research
IC-2 Suppresses Proliferation and Induces Apoptosis of Bladder Cancer Cells via the Wnt/β-Catenin Pathway
Lingfeng Wu, Shunliang He, Yi He, Xueping Wang, Linfeng Lu
DOI: 10.12659/MSM.910742
Med Sci Monit 2018; 24: LBR8074-8080
2,284

11 Nov 2018 : Laboratory Research
Silencing the FOLR2 Gene Inhibits Cell Proliferation and Increases Apoptosis in the NCI-H1650 Non-Small Cell Lung Cancer Cell Line via Inhibition of AKT/Mammalian Target of Rapamycin (mTOR)/Ribosomal Protein S6 Kinase 1 (S6K1) Signaling
Xiaohua Xu, Jianyang Jiang
DOI: 10.12659/MSM.911384
Med Sci Monit 2018; 24: LBR8064-8073

11 Nov 2018 : Laboratory Research
Silencing the FOLR2 Gene Inhibits Cell Proliferation and Increases Apoptosis in the NCI-H1650 Non-Small Cell Lung Cancer Cell Line via Inhibition of AKT/Mammalian Target of Rapamycin (mTOR)/Ribosomal Protein S6 Kinase 1 (S6K1) Signaling
Xiaohua Xu, Jianyang Jiang, Lijuan Yao, Bing Ji
DOI: 10.12659/MSM.911384
Med Sci Monit 2018; 24: LBR8064-8073
3,627

10 Nov 2018 : Clinical Research
Agreement and Repeatability of Two Biometers to Measure Anterior Segment Components: Refractive Error Effect
Alberto Domínguez-Vicent, Rune Brautaset
DOI: 10.12659/MSM.907683
Med Sci Monit 2018; 24: CLR8056-8063

10 Nov 2018 : Clinical Research
Agreement and Repeatability of Two Biometers to Measure Anterior Segment Components: Refractive Error Effect
Alberto Domínguez-Vicent, Rune Brautaset
DOI: 10.12659/MSM.907683
Med Sci Monit 2018; 24: CLR8056-8063
1,599

10 Nov 2018 : Clinical Research
Effects of Erythromycin on the Proliferation and Apoptosis of Cultured Nasal Polyp-Derived Cells and the Extracellular Signal-Regulated Kinase (ERK)/Mitogen-Activated Protein Kinase (MAPK) Signaling Pathway
Xiaohua Liu, Xin Wang
DOI: 10.12659/MSM.910934
Med Sci Monit 2018; 24: CLR8048-8055

10 Nov 2018 : Clinical Research
Effects of Erythromycin on the Proliferation and Apoptosis of Cultured Nasal Polyp-Derived Cells and the Extracellular Signal-Regulated Kinase (ERK)/Mitogen-Activated Protein Kinase (MAPK) Signaling Pathway
Xiaohua Liu, Xin Wang, Lili Chen, Yuming Shi, Yongjia Wei
DOI: 10.12659/MSM.910934
Med Sci Monit 2018; 24: CLR8048-8055
1,960

10 Nov 2018 : Clinical Research
A Survey of Current Prophylactic Treatment for Ophthalmia Neonatorum in Croatia and a Review of International Preventive Practices
Snježana Kaštelan, Sonja Anić Jurica
DOI: 10.12659/MSM.910705
Med Sci Monit 2018; 24: CLR8042-8047

10 Nov 2018 : Clinical Research
A Survey of Current Prophylactic Treatment for Ophthalmia Neonatorum in Croatia and a Review of International Preventive Practices
Snježana Kaštelan, Sonja Anić Jurica, Slavko Orešković, Tomislav Župić, Mislav Herman, Antonela Gverović Antunica, Irena Marković, Ivana Bakija
DOI: 10.12659/MSM.910705
Med Sci Monit 2018; 24: CLR8042-8047
2,933

09 Nov 2018 : Clinical Research
TRIM15 Exerts Anti-Tumor Effects Through Suppressing Cancer Cell Invasion in Gastric Adenocarcinoma
Weilin Chen, Chuanhui Lu
DOI: 10.12659/MSM.911142
Med Sci Monit 2018; 24: CLR8033-8041

09 Nov 2018 : Clinical Research
TRIM15 Exerts Anti-Tumor Effects Through Suppressing Cancer Cell Invasion in Gastric Adenocarcinoma
Weilin Chen, Chuanhui Lu, Jianming Hong
DOI: 10.12659/MSM.911142
Med Sci Monit 2018; 24: CLR8033-8041
2,743

09 Nov 2018 : Animal Research
A Potential Competitive Endogenous RNA Pathway Involved in Chronic Spinal Cord Injury
Liang Zhang, Li Yang
DOI: 10.12659/MSM.911536
Med Sci Monit 2018; 24: ANS8022-8032

09 Nov 2018 : Animal Research
A Potential Competitive Endogenous RNA Pathway Involved in Chronic Spinal Cord Injury
Liang Zhang, Li Yang, Wenhui Li, Yalin Yang, Weizong Sun, Pengfei Gong, Ling Wang, Kai Wang
DOI: 10.12659/MSM.911536
Med Sci Monit 2018; 24: ANS8022-8032
2,039

09 Nov 2018 : Laboratory Research
Silencing of Xeroderma Pigmentosum Group D Gene Promotes Hepatoma Cell Growth by Reducing P53 Expression
Hao Ding, Zhili Wen
DOI: 10.12659/MSM.910944
Med Sci Monit 2018; 24: LBR8015-8021

09 Nov 2018 : Laboratory Research
Silencing of Xeroderma Pigmentosum Group D Gene Promotes Hepatoma Cell Growth by Reducing P53 Expression
Hao Ding, Zhili Wen, Guofang Sun
DOI: 10.12659/MSM.910944
Med Sci Monit 2018; 24: LBR8015-8021
2,008

08 Nov 2018 : Laboratory Research
Bacteriocin Isolated from Lactobacillus Rhamnosus L34 Has Antibacterial Effects in a Rabbit Model of Infection After Mandible Fracture Fixation
Tao Fu, Menghua Yu
DOI: 10.12659/MSM.909630
Med Sci Monit 2018; 24: LBR8009-8014

08 Nov 2018 : Laboratory Research
Bacteriocin Isolated from Lactobacillus Rhamnosus L34 Has Antibacterial Effects in a Rabbit Model of Infection After Mandible Fracture Fixation
Tao Fu, Menghua Yu, Qin Yan, Yan-ming Liu
DOI: 10.12659/MSM.909630
Med Sci Monit 2018; 24: LBR8009-8014
2,051

08 Nov 2018 : Clinical Research
Tumor Volume Reduction After Gemcitabine Plus Cisplatin Induction Chemotherapy in Locally Advanced Nasopharyngeal Cancer: Comparison with Paclitaxel and Cisplatin Regimens
Li Zheng, Wenjun Liao
DOI: 10.12659/MSM.909736
Med Sci Monit 2018; 24: CLR8001-8008

08 Nov 2018 : Clinical Research
Tumor Volume Reduction After Gemcitabine Plus Cisplatin Induction Chemotherapy in Locally Advanced Nasopharyngeal Cancer: Comparison with Paclitaxel and Cisplatin Regimens
Li Zheng, Wenjun Liao, Peng Xu, Baisen Li, Hao Wen, Shichuan Zhang
DOI: 10.12659/MSM.909736
Med Sci Monit 2018; 24: CLR8001-8008
2,186

08 Nov 2018 : Clinical Research
Efficacy and Safety of gonadotropin-releasing hormone (GnRH) Agonists Triptorelin Acetate and Cetrorelix Acetate in Assisted Reproduction
Jingjing Jiang, Shanshan Gao
DOI: 10.12659/MSM.911345
Med Sci Monit 2018; 24: CLR7996-8000

08 Nov 2018 : Clinical Research
Efficacy and Safety of gonadotropin-releasing hormone (GnRH) Agonists Triptorelin Acetate and Cetrorelix Acetate in Assisted Reproduction
Jingjing Jiang, Shanshan Gao, Jin Xu
DOI: 10.12659/MSM.911345
Med Sci Monit 2018; 24: CLR7996-8000
2,116

07 Nov 2018 : Clinical Research
Correlation of Expression Levels of Micro Ribonucleic Ccid-10b (miR-10b) and Micro Ribonucleic Acid-181b (miR-181b) with Gastric Cancer and Its Diagnostic Significance
Ying Gao, Zhicai Xu
DOI: 10.12659/MSM.910809
Med Sci Monit 2018; 24: CLR7988-7995

07 Nov 2018 : Clinical Research
Correlation of Expression Levels of Micro Ribonucleic Ccid-10b (miR-10b) and Micro Ribonucleic Acid-181b (miR-181b) with Gastric Cancer and Its Diagnostic Significance
Ying Gao, Zhicai Xu, Fei Yuan, Minglei Li
DOI: 10.12659/MSM.910809
Med Sci Monit 2018; 24: CLR7988-7995
1,521

07 Nov 2018 : Laboratory Research
Protective Effect of Anthocyanin on Paraquat-Induced Apoptosis and Epithelial-Mesenchymal Transition in Alveolar Type II Cells
Zhihua Wang, Dongming Gu
DOI: 10.12659/MSM.910730
Med Sci Monit 2018; 24: LBR7980-7987

07 Nov 2018 : Laboratory Research
Protective Effect of Anthocyanin on Paraquat-Induced Apoptosis and Epithelial-Mesenchymal Transition in Alveolar Type II Cells
Zhihua Wang, Dongming Gu, Lezhi Sheng, Jinfang Cai
DOI: 10.12659/MSM.910730
Med Sci Monit 2018; 24: LBR7980-7987
2,163

07 Nov 2018 : Clinical Research
Correlations of Inflammatory Factors with Intestinal Flora and Gastrointestinal Incommensurate Symptoms in Children with Asthma
Yixing Zhang, Tao Li
DOI: 10.12659/MSM.910854
Med Sci Monit 2018; 24: CLR7975-7979

07 Nov 2018 : Clinical Research
Correlations of Inflammatory Factors with Intestinal Flora and Gastrointestinal Incommensurate Symptoms in Children with Asthma
Yixing Zhang, Tao Li, Huiqiang Yuan, Wei Pan, Qigang Dai
DOI: 10.12659/MSM.910854
Med Sci Monit 2018; 24: CLR7975-7979
2,953
Editorial
01 November 2025 : Editorial
Editorial: Hypertrophic Cardiomyopathy and Precision Medicine in Cardiovascular DiseaseDOI: 10.12659/MSM.951868
Med Sci Monit 2025; 31:e951868
In Press
Review article
Association of Childhood Asthma with the Concept of Exposomics: A Short ReviewMed Sci Monit In Press; DOI: 10.12659/MSM.949589
Clinical Research
Association of Hyperuricemia with Cardiovascular Risk Factors and Cardiac Structural Changes in Patients Un...Med Sci Monit In Press; DOI: 10.12659/MSM.949422
Clinical Research
Predictive Value of IBI for In-Hospital Death in Elderly Patients with Non-ST-Segment Elevation Myocardial ...Med Sci Monit In Press; DOI: 10.12659/MSM.950592
Clinical Research
Short-Segment Bone Cement–Augmented Pedicle Screw Fixation Combined With Bone Grafting for Management of Ku...Med Sci Monit In Press; DOI: 10.12659/MSM.949901
Most Viewed Current Articles
17 Jan 2024 : Review article 10,154,901
Vaccination Guidelines for Pregnant Women: Addressing COVID-19 and the Omicron VariantDOI :10.12659/MSM.942799
Med Sci Monit 2024; 30:e942799
13 Nov 2021 : Clinical Research 3,690,259
Acceptance of COVID-19 Vaccination and Its Associated Factors Among Cancer Patients Attending the Oncology ...DOI :10.12659/MSM.932788
Med Sci Monit 2021; 27:e932788
14 Dec 2022 : Clinical Research 2,334,173
Prevalence and Variability of Allergen-Specific Immunoglobulin E in Patients with Elevated Tryptase LevelsDOI :10.12659/MSM.937990
Med Sci Monit 2022; 28:e937990
16 May 2023 : Clinical Research 705,709
Electrophysiological Testing for an Auditory Processing Disorder and Reading Performance in 54 School Stude...DOI :10.12659/MSM.940387
Med Sci Monit 2023; 29:e940387
