Current Volume 24, 2018 - Page: 6

21 Nov 2018 : Laboratory Research
miR-339-5p Increases Radiosensitivity of Lung Cancer Cells by Targeting Phosphatases of Regenerating Liver-1 (PRL-1)
Jia Wang, Mawei Jiang
DOI: 10.12659/MSM.910808
Med Sci Monit 2018; 24: LBR8408-8416

21 Nov 2018 : Laboratory Research
miR-339-5p Increases Radiosensitivity of Lung Cancer Cells by Targeting Phosphatases of Regenerating Liver-1 (PRL-1)
Jia Wang, Mawei Jiang, Shian Xia
DOI: 10.12659/MSM.910808
Med Sci Monit 2018; 24: LBR8408-8416
2,191

21 Nov 2018 : Clinical Research
A Modified Strategy Using Barbed Sutures for Wound Closure in Total Joint Arthroplasty: A Prospective, Randomized, Double-Blind, Self-Controlled Clinical Trial
Rui Li, Ming Ni
DOI: 10.12659/MSM.912854
Med Sci Monit 2018; 24: CLR8401-8407

21 Nov 2018 : Clinical Research
A Modified Strategy Using Barbed Sutures for Wound Closure in Total Joint Arthroplasty: A Prospective, Randomized, Double-Blind, Self-Controlled Clinical Trial
Rui Li, Ming Ni, Jing Zhao, Xiang Li, Zhuo Zhang, Peng Ren, Chi Xu, Ji-Ying Chen
DOI: 10.12659/MSM.912854
Med Sci Monit 2018; 24: CLR8401-8407
2,435

21 Nov 2018 : Laboratory Research
Methylenetetrahydrofolate Dehydrogenase 1 (MTHFD1) is Underexpressed in Clear Cell Renal Cell Carcinoma Tissue and Transfection and Overexpression in Caki-1 Cells Inhibits Cell Proliferation and Increases Apoptosis
Donglin He, Zhihai Yu
DOI: 10.12659/MSM.911124
Med Sci Monit 2018; 24: LBR8391-8400

21 Nov 2018 : Laboratory Research
Methylenetetrahydrofolate Dehydrogenase 1 (MTHFD1) is Underexpressed in Clear Cell Renal Cell Carcinoma Tissue and Transfection and Overexpression in Caki-1 Cells Inhibits Cell Proliferation and Increases Apoptosis
Donglin He, Zhihai Yu, Sheng Liu, Hong Dai, Qing Xu, Feng Li
DOI: 10.12659/MSM.911124
Med Sci Monit 2018; 24: LBR8391-8400
2,493

20 Nov 2018 : Laboratory Research
High Expression of CCDC34 Is Associated with Poor Survival in Cervical Cancer Patients
Lian-Bin Liu, Jing Huang
DOI: 10.12659/MSM.913346
Med Sci Monit 2018; 24: LBR8383-8390

20 Nov 2018 : Laboratory Research
High Expression of CCDC34 Is Associated with Poor Survival in Cervical Cancer Patients
Lian-Bin Liu, Jing Huang, Jin-Ping Zhong, Gui-Lin Ye, Ling Xue, Mao-Hua Zhou, Gang Huang, Shao-Jin Li
DOI: 10.12659/MSM.913346
Med Sci Monit 2018; 24: LBR8383-8390
2,223

20 Nov 2018 : Laboratory Research
Over-Expression of ATPase II Alleviates Ethanol-Induced Hepatocyte Injury in HL-7702 Cells
Qing Li, Yan Yang
DOI: 10.12659/MSM.910254
Med Sci Monit 2018; 24: LBR8372-8382

20 Nov 2018 : Laboratory Research
Over-Expression of ATPase II Alleviates Ethanol-Induced Hepatocyte Injury in HL-7702 Cells
Qing Li, Yan Yang, Ying Liu
DOI: 10.12659/MSM.910254
Med Sci Monit 2018; 24: LBR8372-8382
1,888

20 Nov 2018 : Laboratory Research
Scientometric Analysis of SIRT6 Studies
Kaining Lu, Shan Yu
DOI: 10.12659/MSM.913644
Med Sci Monit 2018; 24: LBR8357-8371

20 Nov 2018 : Laboratory Research
Scientometric Analysis of SIRT6 Studies
Kaining Lu, Shan Yu, Dan Sun, Haotian Xing, Jun An, Chuize Kong, Meng Yu, Yuyan Zhu
DOI: 10.12659/MSM.913644
Med Sci Monit 2018; 24: LBR8357-8371
4,931

20 Nov 2018 : Laboratory Research
Leucine-Rich Alpha-2-Glycoprotein1 Gene Interferes with Regulation of Apoptosis in Leukemia KASUMI-1 Cells
Shishan Xiao, Hongqian Zhu
DOI: 10.12659/MSM.911249
Med Sci Monit 2018; 24: LBR8348-8356

20 Nov 2018 : Laboratory Research
Leucine-Rich Alpha-2-Glycoprotein1 Gene Interferes with Regulation of Apoptosis in Leukemia KASUMI-1 Cells
Shishan Xiao, Hongqian Zhu
DOI: 10.12659/MSM.911249
Med Sci Monit 2018; 24: LBR8348-8356
2,628

19 Nov 2018 : Clinical Research
Association Between Gestational Weight Gain and Pregnancy Complications or Adverse Delivery Outcomes in Chinese Han Dichorionic Twin Pregnancies: Validation of the Institute of Medicine (IOM) 2009 Guidelines
Lan Wang, Li Wen
DOI: 10.12659/MSM.911784
Med Sci Monit 2018; 24: CLR8342-8347

19 Nov 2018 : Clinical Research
Association Between Gestational Weight Gain and Pregnancy Complications or Adverse Delivery Outcomes in Chinese Han Dichorionic Twin Pregnancies: Validation of the Institute of Medicine (IOM) 2009 Guidelines
Lan Wang, Li Wen, Yangxi Zheng, Wenzheng Zhou, Lingwei Mei, Haoran Li, Chao Tong, Hongbo Qi, Philip N. Baker
DOI: 10.12659/MSM.911784
Med Sci Monit 2018; 24: CLR8342-8347
2,518

19 Nov 2018 : Meta-Analysis
Systematic Review and Meta-Analysis of Diagnostic Accuracy of Endoscopic Ultrasound (EUS)-Guided Fine-Needle Aspiration (FNA) Using 22-gauge and 25-gauge Needles for Pancreatic Masses
Guo Tian, Haiwei Bao
DOI: 10.12659/MSM.911405
Med Sci Monit 2018; 24: MTA8333-8341

19 Nov 2018 : Meta-Analysis
Systematic Review and Meta-Analysis of Diagnostic Accuracy of Endoscopic Ultrasound (EUS)-Guided Fine-Needle Aspiration (FNA) Using 22-gauge and 25-gauge Needles for Pancreatic Masses
Guo Tian, Haiwei Bao, Ju Li, Tian’an Jiang
DOI: 10.12659/MSM.911405
Med Sci Monit 2018; 24: MTA8333-8341
2,720

19 Nov 2018 : Clinical Research
Role of Natural Killer T (NKT) Cells in Type II Diabetes-Induced Vascular Injuries
Xiaohong Lv, Yun Gao
DOI: 10.12659/MSM.912446
Med Sci Monit 2018; 24: CLR8322-8332

19 Nov 2018 : Clinical Research
Role of Natural Killer T (NKT) Cells in Type II Diabetes-Induced Vascular Injuries
Xiaohong Lv, Yun Gao, Tantan Dong, Libo Yang
DOI: 10.12659/MSM.912446
Med Sci Monit 2018; 24: CLR8322-8332
2,541

19 Nov 2018 : Clinical Research
Assessment of the Dental Age of Children in the Polish Population with Comparison of the Demirjian and the Willems Methods
Ewa Sobieska, Aneta Fester
DOI: 10.12659/MSM.910657
Med Sci Monit 2018; 24: CLR8315-8321

19 Nov 2018 : Clinical Research
Assessment of the Dental Age of Children in the Polish Population with Comparison of the Demirjian and the Willems Methods
Ewa Sobieska, Aneta Fester, Marina Nieborak, Małgorzata Zadurska
DOI: 10.12659/MSM.910657
Med Sci Monit 2018; 24: CLR8315-8321
1,854

18 Nov 2018 : Animal Research
Dynamic Evaluation of Orthodontically-Induced Tooth Movement, Root Resorption, and Alveolar Bone Remodeling in Rats by in Vivo Micro-Computed Tomography
Jianping Zhou, Fengxue Yang
DOI: 10.12659/MSM.912470
Med Sci Monit 2018; 24: ANS8306-8314

18 Nov 2018 : Animal Research
Dynamic Evaluation of Orthodontically-Induced Tooth Movement, Root Resorption, and Alveolar Bone Remodeling in Rats by in Vivo Micro-Computed Tomography
Jianping Zhou, Fengxue Yang, Xiaolin Xu, Gang Feng, Jun Chen, Jinglin Song, Hongwei Dai
DOI: 10.12659/MSM.912470
Med Sci Monit 2018; 24: ANS8306-8314
2,052

18 Nov 2018 : Clinical Research
Comparison of Combination Stereotactic Body Radiotherapy Plus High-Intensity Focused Ultrasound Ablation Versus Stereotactic Body Radiotherapy Alone for Massive Hepatocellular Carcinoma
Lei Wang, Lingzhao Li
DOI: 10.12659/MSM.910735
Med Sci Monit 2018; 24: CLR8298-8305

18 Nov 2018 : Clinical Research
Comparison of Combination Stereotactic Body Radiotherapy Plus High-Intensity Focused Ultrasound Ablation Versus Stereotactic Body Radiotherapy Alone for Massive Hepatocellular Carcinoma
Lei Wang, Lingzhao Li, Xiaofang Wang, Di Zhao, Guoyong Shan, Xiaodong Wu, Mengli Wang, Junqi Liu, Xingya Li
DOI: 10.12659/MSM.910735
Med Sci Monit 2018; 24: CLR8298-8305
1,826

18 Nov 2018 : Animal Research
Carvedilol Ameliorates Intrahepatic Angiogenesis, Sinusoidal Remodeling and Portal Pressure in Cirrhotic Rats
Liping Ling, Guangqi Li
DOI: 10.12659/MSM.913118
Med Sci Monit 2018; 24: ANS8290-8297

18 Nov 2018 : Animal Research
Carvedilol Ameliorates Intrahepatic Angiogenesis, Sinusoidal Remodeling and Portal Pressure in Cirrhotic Rats
Liping Ling, Guangqi Li, Dongxiao Meng, Sining Wang, Chunqing Zhang
DOI: 10.12659/MSM.913118
Med Sci Monit 2018; 24: ANS8290-8297
2,740

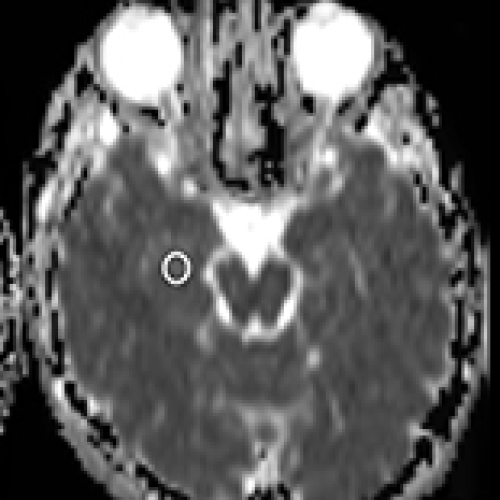
17 Nov 2018 : Clinical Research
Investigation of Brain Impairment Using Diffusion-Weighted and Diffusion Tensor Magnetic Resonance Imaging in Experienced Healthy Divers
Mehmet Hakan SeyithanoÄźlu, Anas Abdallah
DOI: 10.12659/MSM.911475
Med Sci Monit 2018; 24: CLR8279-8289

17 Nov 2018 : Clinical Research
Investigation of Brain Impairment Using Diffusion-Weighted and Diffusion Tensor Magnetic Resonance Imaging in Experienced Healthy Divers
Mehmet Hakan SeyithanoÄźlu, Anas Abdallah, Tolga Turan DĂĽndar, Serkan KitiĹź, AyĹźe AralaĹźmak, Meliha GĂĽndaÄź Papaker, Hadi Sasani
DOI: 10.12659/MSM.911475
Med Sci Monit 2018; 24: CLR8279-8289
1,718

17 Nov 2018 : Animal Research
Alteration of Circadian Rhythms in 2D2 Transgenic Mice
Huiru Xue, Xiuli Cao
DOI: 10.12659/MSM.908528
Med Sci Monit 2018; 24: ANS8272-8278

17 Nov 2018 : Animal Research
Alteration of Circadian Rhythms in 2D2 Transgenic Mice
Huiru Xue, Xiuli Cao, Meini Zhang
DOI: 10.12659/MSM.908528
Med Sci Monit 2018; 24: ANS8272-8278
2,393

17 Nov 2018 : Clinical Research
A Clinical Prognostic Score to Predict Survival of Advanced or Metastatic Non-Small Cell Lung Cancer (NSCLC) Patients Receiving First-Line Chemotherapy: A Retrospective Analysis
Jing Gong, Ling Xu
DOI: 10.12659/MSM.911026
Med Sci Monit 2018; 24: CLR8264-8271

17 Nov 2018 : Clinical Research
A Clinical Prognostic Score to Predict Survival of Advanced or Metastatic Non-Small Cell Lung Cancer (NSCLC) Patients Receiving First-Line Chemotherapy: A Retrospective Analysis
Jing Gong, Ling Xu, Zhi Li, Xuejun Hu, Jing Liu, Yuee Teng, Bo Jin, Mingfang Zhao, Jing Shi, Tianshu Guo, Xiaonan Shi, Yu Cheng, Yunpeng Liu, Xiujuan Qu
DOI: 10.12659/MSM.911026
Med Sci Monit 2018; 24: CLR8264-8271
1,786

16 Nov 2018 : Laboratory Research
Functional Long Noncoding RNAs (lncRNAs) in Clear Cell Kidney Carcinoma Revealed by Reconstruction and Comprehensive Analysis of the lncRNA–miRNA–mRNA Regulatory Network
Hehuan Zhu, Jun Lu
DOI: 10.12659/MSM.910773
Med Sci Monit 2018; 24: LBR8250-8263

16 Nov 2018 : Laboratory Research
Functional Long Noncoding RNAs (lncRNAs) in Clear Cell Kidney Carcinoma Revealed by Reconstruction and Comprehensive Analysis of the lncRNA–miRNA–mRNA Regulatory Network
Hehuan Zhu, Jun Lu, Hu Zhao, Zhan Chen, Qiang Cui, Zhiwen Lin, Xuyang Wang, Jie Wang, Huiyue Dong, Shuiliang Wang, Jianming Tan
DOI: 10.12659/MSM.910773
Med Sci Monit 2018; 24: LBR8250-8263
2,856

16 Nov 2018 : Laboratory Research
Increased Expression of c-Met is Associated with Chemotherapy-Resistant Breast Cancer and Poor Clinical Outcome
Lizhou Jia, Xiaobing Yang
DOI: 10.12659/MSM.913514
Med Sci Monit 2018; 24: LBR8239-8249

16 Nov 2018 : Laboratory Research
Increased Expression of c-Met is Associated with Chemotherapy-Resistant Breast Cancer and Poor Clinical Outcome
Lizhou Jia, Xiaobing Yang, Wei Tian, Siqi Guo, Wenbin Huang, Wei Zhao
DOI: 10.12659/MSM.913514
Med Sci Monit 2018; 24: LBR8239-8249
2,595

16 Nov 2018 : Clinical Research
Relationship Between Fat Mass and Obesity-Associated (FTO) Gene Polymorphisms with Obesity and Metabolic Syndrome in Ethnic Mongolians
Qiang Zhang, Xiayun Xia
DOI: 10.12659/MSM.910928
Med Sci Monit 2018; 24: CLR8232-8238

16 Nov 2018 : Clinical Research
Relationship Between Fat Mass and Obesity-Associated (FTO) Gene Polymorphisms with Obesity and Metabolic Syndrome in Ethnic Mongolians
Qiang Zhang, Xiayun Xia, Shixin Fang, Xiangzhen Yuan
DOI: 10.12659/MSM.910928
Med Sci Monit 2018; 24: CLR8232-8238
2,253

15 Nov 2018 : Clinical Research
Evaluation of Intravenous Parecoxib Infusion Pump of Patient-Controlled Analgesia Compared to Fentanyl for Postoperative Pain Management in Laparoscopic Liver Resection
Yufeng Liu, Xuan Song
DOI: 10.12659/MSM.913182
Med Sci Monit 2018; 24: CLR8224-8231

15 Nov 2018 : Clinical Research
Evaluation of Intravenous Parecoxib Infusion Pump of Patient-Controlled Analgesia Compared to Fentanyl for Postoperative Pain Management in Laparoscopic Liver Resection
Yufeng Liu, Xuan Song, Dan Sun, Jiabei Wang, Yaliang Lan, Guangchao Yang, Fanzheng Meng, Yan Wang, Yifeng Cui, Bo Zhang, Xianying Li, Lianxin Liu
DOI: 10.12659/MSM.913182
Med Sci Monit 2018; 24: CLR8224-8231
2,860

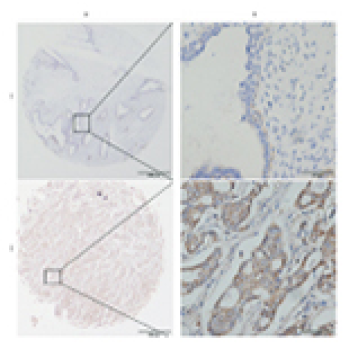
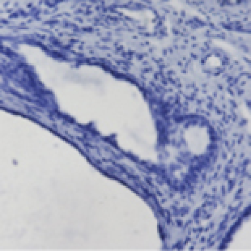
15 Nov 2018 : Laboratory Research
Astrocyte Elevated Gene 1 (AEG-1) Acts as a Promoter Gene in Clear Cell Renal Cell Carcinoma Cell Growth and Metastasis
Da Peng Yu, Yan Zhou
DOI: 10.12659/MSM.911010
Med Sci Monit 2018; 24: LBR8213-8223

15 Nov 2018 : Laboratory Research
Astrocyte Elevated Gene 1 (AEG-1) Acts as a Promoter Gene in Clear Cell Renal Cell Carcinoma Cell Growth and Metastasis
Da Peng Yu, Yan Zhou
DOI: 10.12659/MSM.911010
Med Sci Monit 2018; 24: LBR8213-8223
2,134

15 Nov 2018 : Clinical Research
Comparison of Rearranged During Transfection (RET) Gene Rearrangements in Primary Versus Metastatic Non-Small Cell Lung Cancer (NSCLC)
Quxia Zhang, Chunwei Xu
DOI: 10.12659/MSM.911634
Med Sci Monit 2018; 24: CLR8207-8212

15 Nov 2018 : Clinical Research
Comparison of Rearranged During Transfection (RET) Gene Rearrangements in Primary Versus Metastatic Non-Small Cell Lung Cancer (NSCLC)
Quxia Zhang, Chunwei Xu, Wenxian Wang, Meijuan Wu, Youcai Zhu, Wu Zhuang, Kaiqi Du, Yunjian Huang, Yanping Chen, Biao Wu
DOI: 10.12659/MSM.911634
Med Sci Monit 2018; 24: CLR8207-8212
1,809

14 Nov 2018 : Laboratory Research
Epigallocatechin Gallate Is the Most Effective Catechin Against Antioxidant Stress via Hydrogen Peroxide and Radical Scavenging Activity
Jinting He, Lei Xu
DOI: 10.12659/MSM.911175
Med Sci Monit 2018; 24: LBR8198-8206

14 Nov 2018 : Laboratory Research
Epigallocatechin Gallate Is the Most Effective Catechin Against Antioxidant Stress via Hydrogen Peroxide and Radical Scavenging Activity
Jinting He, Lei Xu, Le Yang, Xiaofeng Wang
DOI: 10.12659/MSM.911175
Med Sci Monit 2018; 24: LBR8198-8206
4,198

14 Nov 2018 : Clinical Research
High Expression of KIF22/Kinesin-Like DNA Binding Protein (Kid) as a Poor Prognostic Factor in Prostate Cancer Patients
Zheng Zhang, Hui Xie
DOI: 10.12659/MSM.912643
Med Sci Monit 2018; 24: CLR8190-8197

14 Nov 2018 : Clinical Research
High Expression of KIF22/Kinesin-Like DNA Binding Protein (Kid) as a Poor Prognostic Factor in Prostate Cancer Patients
Zheng Zhang, Hui Xie, Shimiao Zhu, Xuanrong Chen, Jianpeng Yu, Tianyun Shen, Xiaoqing Li, Zhiqun Shang, Yuanjie Niu
DOI: 10.12659/MSM.912643
Med Sci Monit 2018; 24: CLR8190-8197
2,184
Editorial
01 November 2025 : Editorial
Editorial: Hypertrophic Cardiomyopathy and Precision Medicine in Cardiovascular DiseaseDOI: 10.12659/MSM.951868
Med Sci Monit 2025; 31:e951868
In Press
Review article
Association of Childhood Asthma with the Concept of Exposomics: A Short ReviewMed Sci Monit In Press; DOI: 10.12659/MSM.949589
Clinical Research
Association of Hyperuricemia with Cardiovascular Risk Factors and Cardiac Structural Changes in Patients Un...Med Sci Monit In Press; DOI: 10.12659/MSM.949422
Clinical Research
Predictive Value of IBI for In-Hospital Death in Elderly Patients with Non-ST-Segment Elevation Myocardial ...Med Sci Monit In Press; DOI: 10.12659/MSM.950592
Clinical Research
Short-Segment Bone Cement–Augmented Pedicle Screw Fixation Combined With Bone Grafting for Management of Ku...Med Sci Monit In Press; DOI: 10.12659/MSM.949901
Most Viewed Current Articles
17 Jan 2024 : Review article 10,154,901
Vaccination Guidelines for Pregnant Women: Addressing COVID-19 and the Omicron VariantDOI :10.12659/MSM.942799
Med Sci Monit 2024; 30:e942799
13 Nov 2021 : Clinical Research 3,690,259
Acceptance of COVID-19 Vaccination and Its Associated Factors Among Cancer Patients Attending the Oncology ...DOI :10.12659/MSM.932788
Med Sci Monit 2021; 27:e932788
14 Dec 2022 : Clinical Research 2,334,173
Prevalence and Variability of Allergen-Specific Immunoglobulin E in Patients with Elevated Tryptase LevelsDOI :10.12659/MSM.937990
Med Sci Monit 2022; 28:e937990
16 May 2023 : Clinical Research 705,709
Electrophysiological Testing for an Auditory Processing Disorder and Reading Performance in 54 School Stude...DOI :10.12659/MSM.940387
Med Sci Monit 2023; 29:e940387
