Current Volume 24, 2018 - Page: 13

28 Sep 2018 : Animal Research
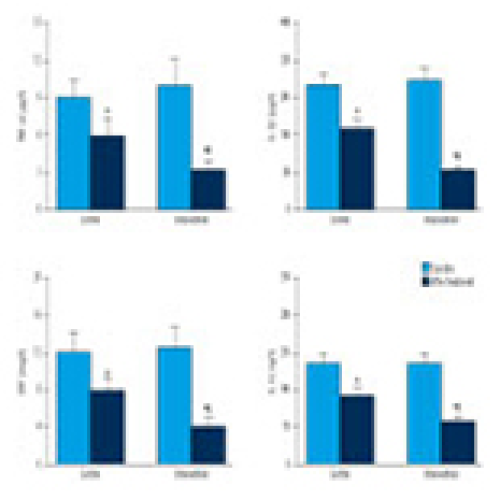
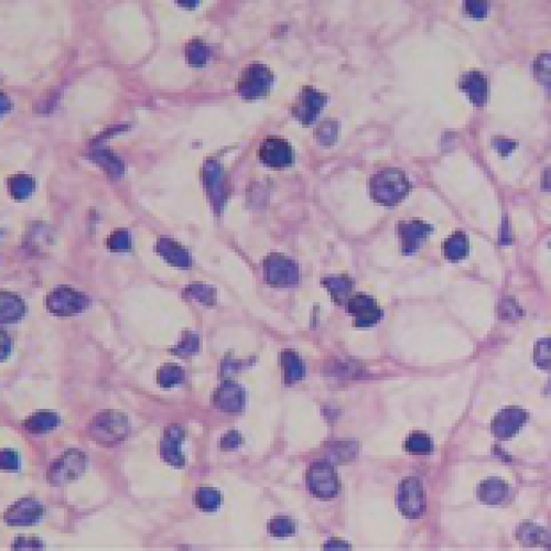
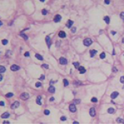
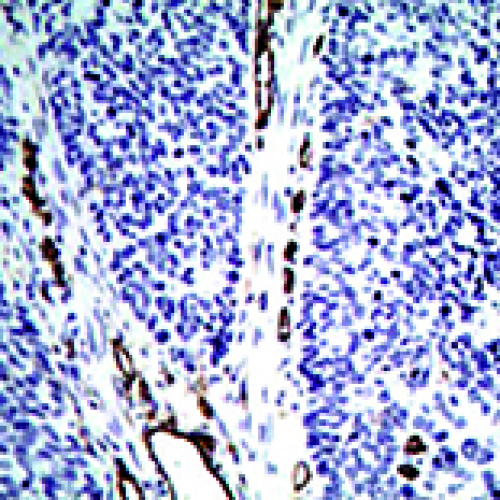
Accelerated Glomerular Cell Senescence in Experimental Lupus Nephritis
Chen Yang, Jing Xue
DOI: 10.12659/MSM.909353
Med Sci Monit 2018; 24: ANS6882-6891

28 Sep 2018 : Animal Research
Accelerated Glomerular Cell Senescence in Experimental Lupus Nephritis
Chen Yang, Jing Xue, Ning An, Xi-jie Huang, Zhi-hong Wu, Lin Ye, Zhi-hang Li, Shu-jun Wang, Qing-jun Pan, Dong Liang, Hua-feng Liu
DOI: 10.12659/MSM.909353
Med Sci Monit 2018; 24: ANS6882-6891
3,376

28 Sep 2018 : Clinical Research
Role of Different Blood Purification Nursing Models in Uremic Patients: A Preliminary Report
Wei-Hong Huang, Yu-Feng Wu
DOI: 10.12659/MSM.910877
Med Sci Monit 2018; 24: CLR6873-6881

28 Sep 2018 : Clinical Research
Role of Different Blood Purification Nursing Models in Uremic Patients: A Preliminary Report
Wei-Hong Huang, Yu-Feng Wu, Jin-Mei Cong, Xia Jiang
DOI: 10.12659/MSM.910877
Med Sci Monit 2018; 24: CLR6873-6881
1,967

28 Sep 2018 : Clinical Research
Correlation of T Cell Immunoglobulin and ITIM Domain (TIGIT) and Programmed Death 1 (PD-1) with Clinicopathological Characteristics of Renal Cell Carcinoma May Indicate Potential Targets for Treatment
Xin Hong, Xiaofeng Wang
DOI: 10.12659/MSM.910388
Med Sci Monit 2018; 24: CLR6861-6872

28 Sep 2018 : Clinical Research
Correlation of T Cell Immunoglobulin and ITIM Domain (TIGIT) and Programmed Death 1 (PD-1) with Clinicopathological Characteristics of Renal Cell Carcinoma May Indicate Potential Targets for Treatment
Xin Hong, Xiaofeng Wang, Tian Wang, Xu Zhang
DOI: 10.12659/MSM.910388
Med Sci Monit 2018; 24: CLR6861-6872
2,580

27 Sep 2018 : Laboratory Research
Silence of α1-Antitrypsin Inhibits Migration and Proliferation of Triple Negative Breast Cancer Cells
Zhijing Zhao, Junfeng Ma
DOI: 10.12659/MSM.910665
Med Sci Monit 2018; 24: LBR6851-6860

27 Sep 2018 : Laboratory Research
Silence of α1-Antitrypsin Inhibits Migration and Proliferation of Triple Negative Breast Cancer Cells
Zhijing Zhao, Junfeng Ma, Ying Mao, Liying Dong, Siqi Li, Yi Zhang
DOI: 10.12659/MSM.910665
Med Sci Monit 2018; 24: LBR6851-6860
2,135

27 Sep 2018 : Clinical Research
The Role of Radiotherapy and Surgery in the Management of Aggressive Vertebral Hemangioma: A Retrospective Study of 20 Patients
Ben Wang, Na Meng
DOI: 10.12659/MSM.910439
Med Sci Monit 2018; 24: CLR6840-6850

27 Sep 2018 : Clinical Research
The Role of Radiotherapy and Surgery in the Management of Aggressive Vertebral Hemangioma: A Retrospective Study of 20 Patients
Ben Wang, Na Meng, Hongqing Zhuang, Songbo Han, Shaomin Yang, Liang Jiang, Feng Wei, Xiaoguang Liu, Zhongjun Liu
DOI: 10.12659/MSM.910439
Med Sci Monit 2018; 24: CLR6840-6850
2,620

27 Sep 2018 : Laboratory Research
CD36 Promotes Podocyte Apoptosis by Activating the Pyrin Domain-Containing-3 (NLRP3) Inflammasome in Primary Nephrotic Syndrome
Xuejun Yang, You Wu
DOI: 10.12659/MSM.909810
Med Sci Monit 2018; 24: LBR6832-6839

27 Sep 2018 : Laboratory Research
CD36 Promotes Podocyte Apoptosis by Activating the Pyrin Domain-Containing-3 (NLRP3) Inflammasome in Primary Nephrotic Syndrome
Xuejun Yang, You Wu, Qianqian Li, Gaofu Zhang, Mo Wang, Haiping Yang, Qiu Li
DOI: 10.12659/MSM.909810
Med Sci Monit 2018; 24: LBR6832-6839
3,153

26 Sep 2018 : Clinical Research
Effects of Postoperative Physiotherapy Supervision Duration on Clinical Outcome, Speed, and Agility in Males 8 Months After Anterior Cruciate Ligament Reconstruction
Aleksandra Królikowska, Łukasz Sikorski
DOI: 10.12659/MSM.912162
Med Sci Monit 2018; 24: CLR6823-6831

26 Sep 2018 : Clinical Research
Effects of Postoperative Physiotherapy Supervision Duration on Clinical Outcome, Speed, and Agility in Males 8 Months After Anterior Cruciate Ligament Reconstruction
Aleksandra Królikowska, Łukasz Sikorski, Andrzej Czamara, Paweł Reichert
DOI: 10.12659/MSM.912162
Med Sci Monit 2018; 24: CLR6823-6831
3,018

26 Sep 2018 : Clinical Research
The Clinical Performance of a New Chemiluminescent Immunoassay in Measuring Anti-β2 Glycoprotein 1 and Anti-Cardiolipin Antibodies
Jiansuo Zhou, Xiuzhu Hou
DOI: 10.12659/MSM.910369
Med Sci Monit 2018; 24: CLR6816-6822

26 Sep 2018 : Clinical Research
The Clinical Performance of a New Chemiluminescent Immunoassay in Measuring Anti-β2 Glycoprotein 1 and Anti-Cardiolipin Antibodies
Jiansuo Zhou, Xiuzhu Hou, Hua Zhang, Tiancheng Wang, Liyan Cui
DOI: 10.12659/MSM.910369
Med Sci Monit 2018; 24: CLR6816-6822
2,195

26 Sep 2018 : Clinical Research
Histopathological Analysis of 173 Consecutive Patients with Colorectal Carcinoma: A Pathologist’s View
Ceren Canbey Göret, Nuri Emrah Göret
DOI: 10.12659/MSM.911012
Med Sci Monit 2018; 24: CLR6809-6815

26 Sep 2018 : Clinical Research
Histopathological Analysis of 173 Consecutive Patients with Colorectal Carcinoma: A Pathologist’s View
Ceren Canbey Göret, Nuri Emrah Göret
DOI: 10.12659/MSM.911012
Med Sci Monit 2018; 24: CLR6809-6815
2,031

26 Sep 2018 : Clinical Research
BRAF V600E and RET/PTC Promote the Activity of Nuclear Factor-κB, Inflammatory Mediators, and Lymph Node Metastasis in Papillary Thyroid Carcinoma: A Study of 50 Patients in Inner Mongolia
Dehua Zhou, Zhou Li
DOI: 10.12659/MSM.909205
Med Sci Monit 2018; 24: CLR6795-6808

26 Sep 2018 : Clinical Research
BRAF V600E and RET/PTC Promote the Activity of Nuclear Factor-κB, Inflammatory Mediators, and Lymph Node Metastasis in Papillary Thyroid Carcinoma: A Study of 50 Patients in Inner Mongolia
Dehua Zhou, Zhou Li, Xuefeng Bai
DOI: 10.12659/MSM.909205
Med Sci Monit 2018; 24: CLR6795-6808
2,635

25 Sep 2018 : Laboratory Research
Differences in Cpg Island Distribution Between Subgenotypes of the Hepatitis B Virus Genotype
Lin Chen, Yi Shi
DOI: 10.12659/MSM.910049
Med Sci Monit 2018; 24: LBR6781-6794

25 Sep 2018 : Laboratory Research
Differences in Cpg Island Distribution Between Subgenotypes of the Hepatitis B Virus Genotype
Lin Chen, Yi Shi, Wanrong Yang, Yafei Zhang, Qinxiu Xie, Yunsong Li, Xu Li, Jun Li, Zhenhua Zhang
DOI: 10.12659/MSM.910049
Med Sci Monit 2018; 24: LBR6781-6794
2,395

25 Sep 2018 : Clinical Research
Comparison of Androgen Levels, Endocrine and Metabolic Indices, and Clinical Findings in Women with Polycystic Ovary Syndrome in Uygur and Han Ethnic Groups from Xinjiang Province in China
Hongli Zhao, Xiangxin Song
DOI: 10.12659/MSM.909715
Med Sci Monit 2018; 24: CLR6774-6780

25 Sep 2018 : Clinical Research
Comparison of Androgen Levels, Endocrine and Metabolic Indices, and Clinical Findings in Women with Polycystic Ovary Syndrome in Uygur and Han Ethnic Groups from Xinjiang Province in China
Hongli Zhao, Xiangxin Song, Li Zhang, Yancheng Xu, Xinling Wang
DOI: 10.12659/MSM.909715
Med Sci Monit 2018; 24: CLR6774-6780
1,980

25 Sep 2018 : Clinical Research
Development and Application of a No-Clog Surgical Suction Tip Using 3D Printing Technology
Jianji Wang, Long Yang
DOI: 10.12659/MSM.909900
Med Sci Monit 2018; 24: CLR6765-6773

25 Sep 2018 : Clinical Research
Development and Application of a No-Clog Surgical Suction Tip Using 3D Printing Technology
Jianji Wang, Long Yang, Minxian Ma, Guangdi Li, Shunen Xu, Qingjun Li, Zhe Xu, Jun Liu, Chuan Ye
DOI: 10.12659/MSM.909900
Med Sci Monit 2018; 24: CLR6765-6773
2,080

25 Sep 2018 : Animal Research
Tumor Growth Assessment by Computed Tomography Perfusion Imaging (CTPI), Perfusion-Weighted Imaging (PWI), and Diffusion-Weighted Imaging (DWI) in a Rabbit Pleural Squamous Cell Carcinoma VX2-Implanted Model
Qiang Zhang, Caixia Ba
DOI: 10.12659/MSM.909431
Med Sci Monit 2018; 24: ANS6756-6764

25 Sep 2018 : Animal Research
Tumor Growth Assessment by Computed Tomography Perfusion Imaging (CTPI), Perfusion-Weighted Imaging (PWI), and Diffusion-Weighted Imaging (DWI) in a Rabbit Pleural Squamous Cell Carcinoma VX2-Implanted Model
Qiang Zhang, Caixia Ba, Mingmin Zhang, Zhaoxin Liu, Baoqi Shi, Fuliang Qi, Haijiang Wang, Yuan Lv, Haijiao Jin, Xiaochuan Yang
DOI: 10.12659/MSM.909431
Med Sci Monit 2018; 24: ANS6756-6764
2,249

24 Sep 2018 : Clinical Research
Efficacy and Safety of High-Dose Controlled-Release Oxycodone in the Treatment of Moderate to Severe Pain in Patients with Advanced Cancer: A Retrospective Study
Wenxian Wang, Zhengbo Song
DOI: 10.12659/MSM.909691
Med Sci Monit 2018; 24: CLR6750-6755

24 Sep 2018 : Clinical Research
Efficacy and Safety of High-Dose Controlled-Release Oxycodone in the Treatment of Moderate to Severe Pain in Patients with Advanced Cancer: A Retrospective Study
Wenxian Wang, Zhengbo Song, Yiping Zhang
DOI: 10.12659/MSM.909691
Med Sci Monit 2018; 24: CLR6750-6755
2,187

24 Sep 2018 : Laboratory Research
Cantharidin Inhibits Anti-Apoptotic Bcl-2 Family Proteins and Induces Apoptosis in Human Osteosarcoma Cell Lines MG-63 and MNNG/HOS via Mitochondria-Dependent Pathway
Shoumin Feng, Jian Zhu
DOI: 10.12659/MSM.910294
Med Sci Monit 2018; 24: LBR6742-6749

24 Sep 2018 : Laboratory Research
Cantharidin Inhibits Anti-Apoptotic Bcl-2 Family Proteins and Induces Apoptosis in Human Osteosarcoma Cell Lines MG-63 and MNNG/HOS via Mitochondria-Dependent Pathway
Shoumin Feng, Jian Zhu, Kaishun Xia, Wei Yu, Yitian Wang, Junjie Wang, Fangcai Li, Zhengming Yang, Xiaobo Yang, Bing Liu, Huimin Tao, Chengzhen Liang
DOI: 10.12659/MSM.910294
Med Sci Monit 2018; 24: LBR6742-6749
2,468

24 Sep 2018 : Laboratory Research
Effects of Deferoxamine on Leukemia In Vitro and Its Related Mechanism
Yujing Yang, Yanli Xu
DOI: 10.12659/MSM.910325
Med Sci Monit 2018; 24: LBR6735-6741

24 Sep 2018 : Laboratory Research
Effects of Deferoxamine on Leukemia In Vitro and Its Related Mechanism
Yujing Yang, Yanli Xu, Ailing Su, Dan Yang, Xuezhong Zhang
DOI: 10.12659/MSM.910325
Med Sci Monit 2018; 24: LBR6735-6741
2,413

24 Sep 2018 : Clinical Research
Diabetes Mellitus is a Risk Factor for Hepatocellular Carcinoma in Patients with Chronic Hepatitis B Virus Infection in China
Xu Li, Hongqin Xu
DOI: 10.12659/MSM.911702
Med Sci Monit 2018; 24: CLR6729-6734

24 Sep 2018 : Clinical Research
Diabetes Mellitus is a Risk Factor for Hepatocellular Carcinoma in Patients with Chronic Hepatitis B Virus Infection in China
Xu Li, Hongqin Xu, Pujun Gao
DOI: 10.12659/MSM.911702
Med Sci Monit 2018; 24: CLR6729-6734
2,382

23 Sep 2018 : Animal Research
Interleukin-33 (IL-33) Increases Hyperoxia-Induced Bronchopulmonary Dysplasia in Newborn Mice by Regulation of Inflammatory Mediators
Xiqin Tang,
DOI: 10.12659/MSM.910851
Med Sci Monit 2018; 24: ANS6717-6728

23 Sep 2018 : Animal Research
Interleukin-33 (IL-33) Increases Hyperoxia-Induced Bronchopulmonary Dysplasia in Newborn Mice by Regulation of Inflammatory Mediators
Xiqin Tang
DOI: 10.12659/MSM.910851
Med Sci Monit 2018; 24: ANS6717-6728
2,199

23 Sep 2018 : Laboratory Research
Ghrelin Alleviates Angiotensin II-Induced H9c2 Apoptosis: Impact of the miR-208 Family
Xiaotong Wang, Chunyan Yang
DOI: 10.12659/MSM.908096
Med Sci Monit 2018; 24: LBR6707-6716

23 Sep 2018 : Laboratory Research
Ghrelin Alleviates Angiotensin II-Induced H9c2 Apoptosis: Impact of the miR-208 Family
Xiaotong Wang, Chunyan Yang, Xueyan Liu, Ping Yang
DOI: 10.12659/MSM.908096
Med Sci Monit 2018; 24: LBR6707-6716
2,559

23 Sep 2018 : Animal Research
Icariin Reduces Cartilage Degeneration in a Mouse Model of Osteoarthritis and is Associated with the Changes in Expression of Indian Hedgehog and Parathyroid Hormone-Related Protein
Yuan Luo, Yiwen Zhang
DOI: 10.12659/MSM.910983
Med Sci Monit 2018; 24: ANS6695-6706

23 Sep 2018 : Animal Research
Icariin Reduces Cartilage Degeneration in a Mouse Model of Osteoarthritis and is Associated with the Changes in Expression of Indian Hedgehog and Parathyroid Hormone-Related Protein
Yuan Luo, Yiwen Zhang, Yuanliang Huang
DOI: 10.12659/MSM.910983
Med Sci Monit 2018; 24: ANS6695-6706
3,662

22 Sep 2018 : Clinical Research
Antihypertensive Therapy in the Acute Phase of Lacunar Infarcts
Guanghui Zhang, Pin Meng
DOI: 10.12659/MSM.910183
Med Sci Monit 2018; 24: CLR6688-6694

22 Sep 2018 : Clinical Research
Antihypertensive Therapy in the Acute Phase of Lacunar Infarcts
Guanghui Zhang, Pin Meng, Zhenwei Guo, Na Liu, Niu Ji, Xiaomin Li, Shan Geng, Mingli He
DOI: 10.12659/MSM.910183
Med Sci Monit 2018; 24: CLR6688-6694
2,312

22 Sep 2018 : Hypothesis
Associations Between Gene Polymorphisms and Psychological Stress in the Guangxi Minority Region of China
Xiujin Lin, Jianbo Liu
DOI: 10.12659/MSM.910432
Med Sci Monit 2018; 24: HYP6680-6687

22 Sep 2018 : Hypothesis
Associations Between Gene Polymorphisms and Psychological Stress in the Guangxi Minority Region of China
Xiujin Lin, Jianbo Liu, Peipei Fu, Xuan Zeng, Jian Qin, Zhenghua Tang, Junduan Wu
DOI: 10.12659/MSM.910432
Med Sci Monit 2018; 24: HYP6680-6687
2,660

22 Sep 2018 : Clinical Research
Expression of B Cell-Specific Moloney Murine Leukemia Virus Integration Site 1 (BMI-1) and WW Domain-Containing Oxidoreductase (WWOX) in Liver Cancer Tissue and Normal Liver Tissue
Jun Yu, Minlan Hu
DOI: 10.12659/MSM.909675
Med Sci Monit 2018; 24: CLR6673-6679

22 Sep 2018 : Clinical Research
Expression of B Cell-Specific Moloney Murine Leukemia Virus Integration Site 1 (BMI-1) and WW Domain-Containing Oxidoreductase (WWOX) in Liver Cancer Tissue and Normal Liver Tissue
Jun Yu, Minlan Hu, Wenmei Chen, Zirong Wen
DOI: 10.12659/MSM.909675
Med Sci Monit 2018; 24: CLR6673-6679
1,474

21 Sep 2018 : Animal Research
Mitochondrial Dynamics in Rat Heart Induced by 5-Fluorouracil
Dongxia Zhang, Jingtao Ma
DOI: 10.12659/MSM.910537
Med Sci Monit 2018; 24: ANS6666-6672

21 Sep 2018 : Animal Research
Mitochondrial Dynamics in Rat Heart Induced by 5-Fluorouracil
Dongxia Zhang, Jingtao Ma
DOI: 10.12659/MSM.910537
Med Sci Monit 2018; 24: ANS6666-6672
3,438
Editorial
01 December 2025 : Editorial
Editorial: COVID-19 Six Years on and Endemic Omicron Variants of SARS-CoV-2 Under Monitoring Now Include NB.1.8.1 (Nimbus) and XFG (Stratus)DOI: 10.12659/MSM.952217
Med Sci Monit 2025; 31:e952217
In Press
Clinical Research
A Retrospective Study of the Presentation, Imaging Findings, and Outcomes in 195 Patients with Maxillofacia...Med Sci Monit In Press; DOI: 10.12659/MSM.949933
Clinical Research
Enhanced Eustachian Tube Function and Hearing Recovery with Combined Balloon Dilatation and Tympanic Membra...Med Sci Monit In Press; DOI: 10.12659/MSM.948981
Clinical Research
Virtual Pet–Assisted Therapy to Alleviate Symptoms of Long COVID: A Prospective Pilot Interventional StudyMed Sci Monit In Press; DOI: 10.12659/MSM.950105
Clinical Research
Does Concomitant Biceps Tenotomy Affect Shoulder Proprioception and Strength? A Prospective Intra‑Individua...Med Sci Monit In Press; DOI: 10.12659/MSM.950383
Most Viewed Current Articles
17 Jan 2024 : Review article 10,178,526
Vaccination Guidelines for Pregnant Women: Addressing COVID-19 and the Omicron VariantDOI :10.12659/MSM.942799
Med Sci Monit 2024; 30:e942799
13 Nov 2021 : Clinical Research 3,694,265
Acceptance of COVID-19 Vaccination and Its Associated Factors Among Cancer Patients Attending the Oncology ...DOI :10.12659/MSM.932788
Med Sci Monit 2021; 27:e932788
14 Dec 2022 : Clinical Research 2,335,538
Prevalence and Variability of Allergen-Specific Immunoglobulin E in Patients with Elevated Tryptase LevelsDOI :10.12659/MSM.937990
Med Sci Monit 2022; 28:e937990
16 May 2023 : Clinical Research 706,058
Electrophysiological Testing for an Auditory Processing Disorder and Reading Performance in 54 School Stude...DOI :10.12659/MSM.940387
Med Sci Monit 2023; 29:e940387
