Current Volume 21, 2015 - Page: 11

29 Jul 2015 : Meta-Analysis
Arg753Gln Polymorphisms in Toll-Like Receptor 2 Gene are Associated with Tuberculosis Risk: A Meta-Analysis
Hangyu Wu, Li Yang
DOI: 10.12659/MSM.893214
Med Sci Monit 2015; 21:2196-2202

29 Jul 2015 : Meta-Analysis
Arg753Gln Polymorphisms in Toll-Like Receptor 2 Gene are Associated with Tuberculosis Risk: A Meta-Analysis
Hangyu Wu, Li Yang
DOI: 10.12659/MSM.893214
Med Sci Monit 2015; 21:2196-2202
2,202

28 Jul 2015 : Meta-Analysis
Effectiveness and Safety of Autologous Bone Marrow Stromal Cells Transplantation After Ischemic Stroke: A Meta-Analysis
Wenying Cao, Pan Li
DOI: 10.12659/MSM.895081
Med Sci Monit 2015; 21:2190-2195

28 Jul 2015 : Meta-Analysis
Effectiveness and Safety of Autologous Bone Marrow Stromal Cells Transplantation After Ischemic Stroke: A Meta-Analysis
Wenying Cao, Pan Li
DOI: 10.12659/MSM.895081
Med Sci Monit 2015; 21:2190-2195
2,507

27 Jul 2015 : Meta-Analysis
Association between SLC30A8 rs13266634 Polymorphism and Type 2 Diabetes Risk: A Meta-Analysis
Liqing Cheng, Dongmei Zhang
DOI: 10.12659/MSM.894052
Med Sci Monit 2015; 21:2178-2189

27 Jul 2015 : Meta-Analysis
Association between SLC30A8 rs13266634 Polymorphism and Type 2 Diabetes Risk: A Meta-Analysis
Liqing Cheng, Dongmei Zhang, Lina Zhou, Jie Zhao, Bing Chen
DOI: 10.12659/MSM.894052
Med Sci Monit 2015; 21:2178-2189
3,223

27 Jul 2015 : Clinical Research
Evaluation of Vibration Response Imaging (VRI) Technique and Difference in VRI Indices Among Non-Smokers, Active Smokers and Passive Smokers
Hongying Jiang, Jichao Chen
DOI: 10.12659/MSM.894335
Med Sci Monit 2015; 21:2170-2177

27 Jul 2015 : Clinical Research
Evaluation of Vibration Response Imaging (VRI) Technique and Difference in VRI Indices Among Non-Smokers, Active Smokers and Passive Smokers
Hongying Jiang, Jichao Chen, Jinying Cao, Lan Mu, Zhenyu Hu, Jian He
DOI: 10.12659/MSM.894335
Med Sci Monit 2015; 21:2170-2177
1,621

26 Jul 2015 : Clinical Research
Impact of Community-Based Integrated Traditional Chinese and Western Medicine Metabolic Syndrome Intervention Technology in Rural Residents in Southern Jiangsu, China
Yuqing Wang, Bo Xie
DOI: 10.12659/MSM.893972
Med Sci Monit 2015; 21:2163-2169

26 Jul 2015 : Clinical Research
Impact of Community-Based Integrated Traditional Chinese and Western Medicine Metabolic Syndrome Intervention Technology in Rural Residents in Southern Jiangsu, China
Yuqing Wang, Bo Xie, Yanghong Tao, Yonghua Ma, Kaijin Zhang
DOI: 10.12659/MSM.893972
Med Sci Monit 2015; 21:2163-2169
2,074

25 Jul 2015 : Review article
Niacin in the Treatment of Hyperlipidemias in Light of New Clinical Trials: Has Niacin Lost its Place?
Miroslav Zeman, Marek Vecka
DOI: 10.12659/MSM.893619
Med Sci Monit 2015; 21:2156-2162

25 Jul 2015 : Review article
Niacin in the Treatment of Hyperlipidemias in Light of New Clinical Trials: Has Niacin Lost its Place?
Miroslav Zeman, Marek Vecka, František Perlík, Róbert Hromádka, Barbora Staňková, Eva Tvrzická, Aleš Žák
DOI: 10.12659/MSM.893619
Med Sci Monit 2015; 21:2156-2162
7,387

24 Jul 2015 : Meta-Analysis
Is Alpha-1 Antichymotrypsin Gene Polymorphism a Risk Factor for Primary Intracerebral Hemorrhage? A Case-Control Study and Meta-Analysis
Xin Hu, Yunke Li
DOI: 10.12659/MSM.894365
Med Sci Monit 2015; 21:2149-2155

24 Jul 2015 : Meta-Analysis
Is Alpha-1 Antichymotrypsin Gene Polymorphism a Risk Factor for Primary Intracerebral Hemorrhage? A Case-Control Study and Meta-Analysis
Xin Hu, Yunke Li, Hao Li, Yuan Fang, Ming Liu, Chao You
DOI: 10.12659/MSM.894365
Med Sci Monit 2015; 21:2149-2155
2,190

24 Jul 2015 : Clinical Research
Comparison of Arthrodesis with Total Contact Casting for Midfoot Ulcerations Associated with Charcot Neuroarthropathy
Yan Wang, Junlin Zhou
DOI: 10.12659/MSM.893677
Med Sci Monit 2015; 21:2141-2148

24 Jul 2015 : Clinical Research
Comparison of Arthrodesis with Total Contact Casting for Midfoot Ulcerations Associated with Charcot Neuroarthropathy
Yan Wang, Junlin Zhou, Fen Yan, Gong Li, Xiaofen Duan, Heng Pan, Jiao He
DOI: 10.12659/MSM.893677
Med Sci Monit 2015; 21:2141-2148
2,993

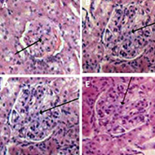
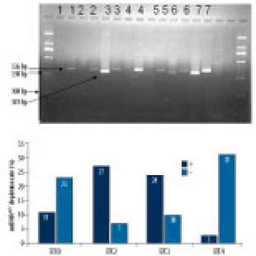
23 Jul 2015 : Animal Research
Effect of Puerarin on Expression of ICAM-1 and TNF-α in Kidneys of Diabetic Rats
Xiaoxia Pan, Jianfu Wang
DOI: 10.12659/MSM.893714
Med Sci Monit 2015; 21:2134-2140

23 Jul 2015 : Animal Research
Effect of Puerarin on Expression of ICAM-1 and TNF-α in Kidneys of Diabetic Rats
Xiaoxia Pan, Jianfu Wang, Yanhua Pu, Jinming Yao, Huanjun Wang
DOI: 10.12659/MSM.893714
Med Sci Monit 2015; 21:2134-2140
2,838

22 Jul 2015 : Clinical Research
Comparison of Dexmedetomidine versus Propofol for Sedation after Uvulopalatopharyngoplasty
Jihong Xu, Chunji Jin
DOI: 10.12659/MSM.893884
Med Sci Monit 2015; 21:2125-2133

22 Jul 2015 : Clinical Research
Comparison of Dexmedetomidine versus Propofol for Sedation after Uvulopalatopharyngoplasty
Jihong Xu, Chunji Jin, Xiaopeng Cui, Zhou Jin
DOI: 10.12659/MSM.893884
Med Sci Monit 2015; 21:2125-2133
2,789

22 Jul 2015 : Clinical Research
Exercise-Induced Repolarization Changes in Patients with Isolated Myocardial Bridging
Gökhan Aksan, Gökay Nar
DOI: 10.12659/MSM.893632
Med Sci Monit 2015; 21:2116-2124

22 Jul 2015 : Clinical Research
Exercise-Induced Repolarization Changes in Patients with Isolated Myocardial Bridging
Gökhan Aksan, Gökay Nar, Sinan İnci, Ahmet Yanık, Kadriye Orta Kılıçkesmez, Olcay Aksoy, Korhan Soylu
DOI: 10.12659/MSM.893632
Med Sci Monit 2015; 21:2116-2124
2,622

21 Jul 2015 : Laboratory Research
Construction of Anti-CD20 Single-Chain Antibody-CD28-CD137-TCRζ Recombinant Genetic Modified T Cells and its Treatment Effect on B Cell Lymphoma
Fei Chen, Chuming Fan
DOI: 10.12659/MSM.893791
Med Sci Monit 2015; 21:2110-2115

21 Jul 2015 : Laboratory Research
Construction of Anti-CD20 Single-Chain Antibody-CD28-CD137-TCRζ Recombinant Genetic Modified T Cells and its Treatment Effect on B Cell Lymphoma
Fei Chen, Chuming Fan, Xuezhong Gu, Haixi Zhang, Qian Liu, Xiaoli Gao, Jie Lu, Baoli He, Xun Lai
DOI: 10.12659/MSM.893791
Med Sci Monit 2015; 21:2110-2115
2,170

20 Jul 2015 : Clinical Research
Correlation Analysis of Nasopharyngeal Carcinoma TNM Staging with Serum EA IgA and VCA IgA in EBV and VEGF-C and -D
Ruimei Sun, Xiaoli Wang
DOI: 10.12659/MSM.893415
Med Sci Monit 2015; 21:2105-2109

20 Jul 2015 : Clinical Research
Correlation Analysis of Nasopharyngeal Carcinoma TNM Staging with Serum EA IgA and VCA IgA in EBV and VEGF-C and -D
Ruimei Sun, Xiaoli Wang, Xiaojiang Li
DOI: 10.12659/MSM.893415
Med Sci Monit 2015; 21:2105-2109
2,206

20 Jul 2015 : Clinical Research
Effect of the Syrian Civil War on Prevalence of Cutaneous Leishmaniasis in Southeastern Anatolia, Turkey
Rahime Inci, Perihan Ozturk
DOI: 10.12659/MSM.893977
Med Sci Monit 2015; 21:2100-2104

20 Jul 2015 : Clinical Research
Effect of the Syrian Civil War on Prevalence of Cutaneous Leishmaniasis in Southeastern Anatolia, Turkey
Rahime Inci, Perihan Ozturk, Mehmet Kamil Mulayim, Kemal Ozyurt, Emine Tugba Alatas, Mehmet Fatih Inci
DOI: 10.12659/MSM.893977
Med Sci Monit 2015; 21:2100-2104
2,853

19 Jul 2015 : Clinical Research
Plasma Brain Natriuretic Peptide, Endothelin-1, and Matrix Metalloproteinase 9 Expression and Significance in Type 2 Diabetes Mellitus Patients with Ischemic Heart Disease
Chunfang Ju, Meixin Ye
DOI: 10.12659/MSM.893375
Med Sci Monit 2015; 21:2094-2099

19 Jul 2015 : Clinical Research
Plasma Brain Natriuretic Peptide, Endothelin-1, and Matrix Metalloproteinase 9 Expression and Significance in Type 2 Diabetes Mellitus Patients with Ischemic Heart Disease
Chunfang Ju, Meixin Ye, Feng Li
DOI: 10.12659/MSM.893375
Med Sci Monit 2015; 21:2094-2099
1,986

18 Jul 2015 : Clinical Research
Does Gracilis Tendon Harvest During ACL Reconstruction with a Hamstring Autograft Affect Torque of Muscles Responsible for Shin Rotation?
Aleksandra Królikowska, Andrzej Czamara
DOI: 10.12659/MSM.893930
Med Sci Monit 2015; 21:2084-2093

18 Jul 2015 : Clinical Research
Does Gracilis Tendon Harvest During ACL Reconstruction with a Hamstring Autograft Affect Torque of Muscles Responsible for Shin Rotation?
Aleksandra Królikowska, Andrzej Czamara, Maciej Kentel
DOI: 10.12659/MSM.893930
Med Sci Monit 2015; 21:2084-2093
2,234

17 Jul 2015 : Clinical Research
Repair of Concomitant Incisional and Parastomal Hernias Using a Hybrid Technique: A Series of 32 Patients
Xinyong Zhu, Wen Tian
DOI: 10.12659/MSM.893838
Med Sci Monit 2015; 21:2079-2083

17 Jul 2015 : Clinical Research
Repair of Concomitant Incisional and Parastomal Hernias Using a Hybrid Technique: A Series of 32 Patients
Xinyong Zhu, Wen Tian, Jiye Li, Pengjun Sun, Lijuan Pei, Shijie Wang
DOI: 10.12659/MSM.893838
Med Sci Monit 2015; 21:2079-2083
1,775

17 Jul 2015 : Review article
Mitochondria, Chloroplasts in Animal and Plant Cells: Significance of Conformational Matching
George B. Stefano, Christopher Snyder
DOI: 10.12659/MSM.894758
Med Sci Monit 2015; 21:2073-2078

17 Jul 2015 : Review article
Mitochondria, Chloroplasts in Animal and Plant Cells: Significance of Conformational Matching
George B. Stefano, Christopher Snyder, Richard M. Kream
DOI: 10.12659/MSM.894758
Med Sci Monit 2015; 21:2073-2078
4,640

16 Jul 2015 : Meta-Analysis
Diagnostic Value of Convex Probe Endobronchial Ultrasound-Guided Transbronchial Needle Aspiration in Mediastinal Tuberculous Lymphadenitis: A Systematic Review and Meta-Analysis
Wei Li, Ting Zhang
DOI: 10.12659/MSM.894526
Med Sci Monit 2015; 21:2064-2072

16 Jul 2015 : Meta-Analysis
Diagnostic Value of Convex Probe Endobronchial Ultrasound-Guided Transbronchial Needle Aspiration in Mediastinal Tuberculous Lymphadenitis: A Systematic Review and Meta-Analysis
Wei Li, Ting Zhang, Yuqing Chen, Chao Liu, Wenjia Peng
DOI: 10.12659/MSM.894526
Med Sci Monit 2015; 21:2064-2072
3,168

15 Jul 2015 : Clinical Research
Changes in Mitochondrial Toxicity in Peripheral Blood Mononuclear Cells During Four-Year Administration of Entecavir Monotherapy in Chinese Patients with Chronic Hepatitis B
Li Zhou, Xiaoyu Liu
DOI: 10.12659/MSM.892937
Med Sci Monit 2015; 21:2058-2063

15 Jul 2015 : Clinical Research
Changes in Mitochondrial Toxicity in Peripheral Blood Mononuclear Cells During Four-Year Administration of Entecavir Monotherapy in Chinese Patients with Chronic Hepatitis B
Li Zhou, Xiaoyu Liu, Feng Ren, Yu Chen, Sujun Zheng, Yuanping Han, Caiyan Zhao, Zhongping Duan
DOI: 10.12659/MSM.892937
Med Sci Monit 2015; 21:2058-2063
1,960

15 Jul 2015 : Clinical Research
Effect of Intravenous Iron Supplementation on Acute Mountain Sickness: A Preliminary Randomized Controlled Study
Xuewen Ren, Qiuying Zhang
DOI: 10.12659/MSM.891182
Med Sci Monit 2015; 21:2050-2057

15 Jul 2015 : Clinical Research
Effect of Intravenous Iron Supplementation on Acute Mountain Sickness: A Preliminary Randomized Controlled Study
Xuewen Ren, Qiuying Zhang, Hao Wang, Chunyan Man, Heng Hong, Li Chen, Tanshi Li, Ping Ye
DOI: 10.12659/MSM.891182
Med Sci Monit 2015; 21:2050-2057
2,459

14 Jul 2015 : Clinical Research
Ground Reaction Forces of the Lead and Trail Limbs when Stepping Over an Obstacle
Sunee Bovonsunthonchai, Fuengfa Khobkhun
DOI: 10.12659/MSM.893965
Med Sci Monit 2015; 21:2041-2049

14 Jul 2015 : Clinical Research
Ground Reaction Forces of the Lead and Trail Limbs when Stepping Over an Obstacle
Sunee Bovonsunthonchai, Fuengfa Khobkhun, Roongtiwa Vachalathiti
DOI: 10.12659/MSM.893965
Med Sci Monit 2015; 21:2041-2049
1,808

13 Jul 2015 : Laboratory Research
Expression Level of Genes Coding for Cell Adhesion Molecules of Cadherin Group in Colorectal Cancer Patients
Zbigniew Lorenc, Mieszko Norbert Opiłka
DOI: 10.12659/MSM.893610
Med Sci Monit 2015; 21:2031-2040

13 Jul 2015 : Laboratory Research
Expression Level of Genes Coding for Cell Adhesion Molecules of Cadherin Group in Colorectal Cancer Patients
Zbigniew Lorenc, Mieszko Norbert Opiłka, Celina Kruszniewska-Rajs, Antoni Rajs, Dariusz Waniczek, Małgorzata Starzewska, Justyna Lorenc, Urszula Mazurek
DOI: 10.12659/MSM.893610
Med Sci Monit 2015; 21:2031-2040
2,002

13 Jul 2015 : Clinical Research
Six Weeks Habituation of Simulated Barefoot Running Induces Neuromuscular Adaptations and Changes in Foot Strike Patterns in Female Runners
Iman Akef Khowailed, Jerrold Petrofsky
DOI: 10.12659/MSM.893518
Med Sci Monit 2015; 21:2021-2030

13 Jul 2015 : Clinical Research
Six Weeks Habituation of Simulated Barefoot Running Induces Neuromuscular Adaptations and Changes in Foot Strike Patterns in Female Runners
Iman Akef Khowailed, Jerrold Petrofsky, Everett Lohman, Noha Daher
DOI: 10.12659/MSM.893518
Med Sci Monit 2015; 21:2021-2030
2,787

12 Jul 2015 : Animal Research
Restrictive Fluid Resuscitation Leads to Better Oxygenation than Non-Restrictive Fluid Resuscitation in Piglets with Pulmonary or Extrapulmonary Acute Respiratory Distress Syndrome
Shunan Ye, Qiujie Li
DOI: 10.12659/MSM.892734
Med Sci Monit 2015; 21:2008-2020

12 Jul 2015 : Animal Research
Restrictive Fluid Resuscitation Leads to Better Oxygenation than Non-Restrictive Fluid Resuscitation in Piglets with Pulmonary or Extrapulmonary Acute Respiratory Distress Syndrome
Shunan Ye, Qiujie Li, Shiying Yuan, Huaqing Shu, Yin Yuan
DOI: 10.12659/MSM.892734
Med Sci Monit 2015; 21:2008-2020
2,713
Editorial
01 December 2025 : Editorial
Editorial: COVID-19 Six Years on and Endemic Omicron Variants of SARS-CoV-2 Under Monitoring Now Include NB.1.8.1 (Nimbus) and XFG (Stratus)DOI: 10.12659/MSM.952217
Med Sci Monit 2025; 31:e952217
In Press
Clinical Research
A Retrospective Study of the Presentation, Imaging Findings, and Outcomes in 195 Patients with Maxillofacia...Med Sci Monit In Press; DOI: 10.12659/MSM.949933
Clinical Research
Enhanced Eustachian Tube Function and Hearing Recovery with Combined Balloon Dilatation and Tympanic Membra...Med Sci Monit In Press; DOI: 10.12659/MSM.948981
Clinical Research
Virtual Pet–Assisted Therapy to Alleviate Symptoms of Long COVID: A Prospective Pilot Interventional StudyMed Sci Monit In Press; DOI: 10.12659/MSM.950105
Clinical Research
Does Concomitant Biceps Tenotomy Affect Shoulder Proprioception and Strength? A Prospective Intra‑Individua...Med Sci Monit In Press; DOI: 10.12659/MSM.950383
Most Viewed Current Articles
17 Jan 2024 : Review article 10,178,526
Vaccination Guidelines for Pregnant Women: Addressing COVID-19 and the Omicron VariantDOI :10.12659/MSM.942799
Med Sci Monit 2024; 30:e942799
13 Nov 2021 : Clinical Research 3,694,265
Acceptance of COVID-19 Vaccination and Its Associated Factors Among Cancer Patients Attending the Oncology ...DOI :10.12659/MSM.932788
Med Sci Monit 2021; 27:e932788
14 Dec 2022 : Clinical Research 2,335,538
Prevalence and Variability of Allergen-Specific Immunoglobulin E in Patients with Elevated Tryptase LevelsDOI :10.12659/MSM.937990
Med Sci Monit 2022; 28:e937990
16 May 2023 : Clinical Research 706,058
Electrophysiological Testing for an Auditory Processing Disorder and Reading Performance in 54 School Stude...DOI :10.12659/MSM.940387
Med Sci Monit 2023; 29:e940387
