Current Volume 21, 2015 - Page: 10

14 Aug 2015 : Clinical Research
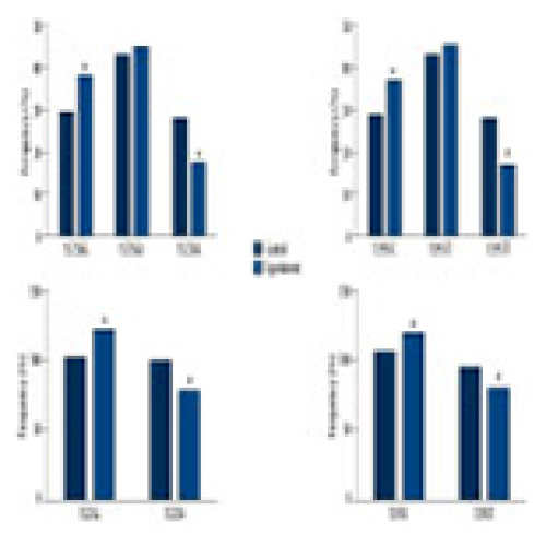
Metabolic Syndrome Components are Associated with Increased Prostate Cancer Risk
Jian-Qin Zhang, Hui Geng
DOI: 10.12659/MSM.893442
Med Sci Monit 2015; 21:2387-2396

14 Aug 2015 : Clinical Research
Metabolic Syndrome Components are Associated with Increased Prostate Cancer Risk
Jian-Qin Zhang, Hui Geng, Mao Ma, Xun-Yi Nan, Bin-Wu Sheng
DOI: 10.12659/MSM.893442
Med Sci Monit 2015; 21:2387-2396
2,331

14 Aug 2015 : Clinical Research
Effect of Sugammadex on Postoperative Bleeding and Coagulation Parameters After Septoplasty: A Randomized Prospective Study
Nilay Taş, Hakan Korkmaz
DOI: 10.12659/MSM.894971
Med Sci Monit 2015; 21:2382-2386

14 Aug 2015 : Clinical Research
Effect of Sugammadex on Postoperative Bleeding and Coagulation Parameters After Septoplasty: A Randomized Prospective Study
Nilay Taş, Hakan Korkmaz, Özgür Yağan, Mukadder Korkmaz
DOI: 10.12659/MSM.894971
Med Sci Monit 2015; 21:2382-2386
2,960

13 Aug 2015 : Clinical Research
Prognostic Factors of Cholangiocarcinoma After Surgical Resection: A Retrospective Study of 293 Patients
Zhi-yuan Mao, Xiao-chuan Guo
DOI: 10.12659/MSM.893586
Med Sci Monit 2015; 21:2375-2381

13 Aug 2015 : Clinical Research
Prognostic Factors of Cholangiocarcinoma After Surgical Resection: A Retrospective Study of 293 Patients
Zhi-yuan Mao, Xiao-chuan Guo, Dan Su, Li-jie Wang, Ting-ting Zhang, Li Bai
DOI: 10.12659/MSM.893586
Med Sci Monit 2015; 21:2375-2381
2,019

13 Aug 2015 : Clinical Research
Reduction of Airborne Bacterial Burden in the OR by Installation of Unidirectional Displacement Airflow (UDF) Systems
Sebastian Fischer, Martin Thieves
DOI: 10.12659/MSM.894251
Med Sci Monit 2015; 21:2367-2374

13 Aug 2015 : Clinical Research
Reduction of Airborne Bacterial Burden in the OR by Installation of Unidirectional Displacement Airflow (UDF) Systems
Sebastian Fischer, Martin Thieves, Tobias Hirsch, Klaus-Dieter Fischer, Helmine Hubert, Steffen Beppler, Hans-Martin Seipp
DOI: 10.12659/MSM.894251
Med Sci Monit 2015; 21:2367-2374
1,966

12 Aug 2015 : Laboratory Research
Experimental Comparison of Efficiency of First Aid Dressings in Burning White Phosphorus on Bacon Model
Wojciech Witkowski, Agnieszka Surowiecka-Pastewka
DOI: 10.12659/MSM.894991
Med Sci Monit 2015; 21:2361-2366

12 Aug 2015 : Laboratory Research
Experimental Comparison of Efficiency of First Aid Dressings in Burning White Phosphorus on Bacon Model
Wojciech Witkowski, Agnieszka Surowiecka-Pastewka, Magdalena Biesaga, Tomasz Gierczak
DOI: 10.12659/MSM.894991
Med Sci Monit 2015; 21:2361-2366
1,790

11 Aug 2015 : Laboratory Research
Down-Regulation of MiR-193a-3p Dictates Deterioration of HCC: A Clinical Real-Time qRT-PCR Study
Yongru Liu, Fanghui Ren
DOI: 10.12659/MSM.894077
Med Sci Monit 2015; 21:2352-2360

11 Aug 2015 : Laboratory Research
Down-Regulation of MiR-193a-3p Dictates Deterioration of HCC: A Clinical Real-Time qRT-PCR Study
Yongru Liu, Fanghui Ren, Yihuan Luo, Minhua Rong, Gang Chen, Yiwu Dang
DOI: 10.12659/MSM.894077
Med Sci Monit 2015; 21:2352-2360
1,994

11 Aug 2015 : Clinical Research
Determinants of Change in Air-Bone Gap and Bone Conduction in Patients Operated on for Chronic Otitis Media
Maciej Wiatr, Agnieszka Wiatr
DOI: 10.12659/MSM.894087
Med Sci Monit 2015; 21:2345-2351

11 Aug 2015 : Clinical Research
Determinants of Change in Air-Bone Gap and Bone Conduction in Patients Operated on for Chronic Otitis Media
Maciej Wiatr, Agnieszka Wiatr, Jacek Składzień, Paweł Stręk
DOI: 10.12659/MSM.894087
Med Sci Monit 2015; 21:2345-2351
2,256

10 Aug 2015 : Laboratory Research
Inhibitory Effects of PEI-RGD/125I-(αv) ASODN on Growth and Invasion of HepG2 Cells
Haidong Cai, Yu Qiao
DOI: 10.12659/MSM.893973
Med Sci Monit 2015; 21:2339-2344

10 Aug 2015 : Laboratory Research
Inhibitory Effects of PEI-RGD/125I-(αv) ASODN on Growth and Invasion of HepG2 Cells
Haidong Cai, Yu Qiao, Ming Sun, Xueyu Yuan, Qiong Luo, Yuehua Yang, Shidong Yuan, Zhongwei Lv
DOI: 10.12659/MSM.893973
Med Sci Monit 2015; 21:2339-2344
1,893

10 Aug 2015 : Clinical Research
Results of Arthroscopic Bankart Lesion Repair in Patients with Post-Traumatic Anterior Instability of the Shoulder and a Non-Engaging Hill-Sachs Lesion with a Suture Anchor after a Minimum of 6-Year Follow-Up
Karol Szyluk, Andrzej Jasiński
DOI: 10.12659/MSM.894387
Med Sci Monit 2015; 21:2331-2338

10 Aug 2015 : Clinical Research
Results of Arthroscopic Bankart Lesion Repair in Patients with Post-Traumatic Anterior Instability of the Shoulder and a Non-Engaging Hill-Sachs Lesion with a Suture Anchor after a Minimum of 6-Year Follow-Up
Karol Szyluk, Andrzej Jasiński, Wojciech Widuchowski, Michał Mielnik, Bogdan Koczy
DOI: 10.12659/MSM.894387
Med Sci Monit 2015; 21:2331-2338
2,355

09 Aug 2015 : Meta-Analysis
Fish Oil Supplementation does not Reduce Risks of Gestational Diabetes Mellitus, Pregnancy-Induced Hypertension, or Pre-Eclampsia: A Meta-Analysis of Randomized Controlled Trials
Bing Chen, Xinran Ji
DOI: 10.12659/MSM.894033
Med Sci Monit 2015; 21:2322-2330

09 Aug 2015 : Meta-Analysis
Fish Oil Supplementation does not Reduce Risks of Gestational Diabetes Mellitus, Pregnancy-Induced Hypertension, or Pre-Eclampsia: A Meta-Analysis of Randomized Controlled Trials
Bing Chen, Xinran Ji, Lei Zhang, Zhaohui Hou, Chundong Li, Ying Tong
DOI: 10.12659/MSM.894033
Med Sci Monit 2015; 21:2322-2330
3,422

08 Aug 2015 : Animal Research
Cabozantinib, a Novel c-Met Inhibitor, Inhibits Colorectal Cancer Development in a Xenograft Model
Yinggang Sun, Liyong Sun
DOI: 10.12659/MSM.893590
Med Sci Monit 2015; 21:2316-2321

08 Aug 2015 : Animal Research
Cabozantinib, a Novel c-Met Inhibitor, Inhibits Colorectal Cancer Development in a Xenograft Model
Yinggang Sun, Liyong Sun, Yanxin An, Xin Shen
DOI: 10.12659/MSM.893590
Med Sci Monit 2015; 21:2316-2321
2,687

07 Aug 2015 : Clinical Research
Combination of Azathioprine and Aminosalicylate Treatment Prevent Risk of Cardiovascular Disease in Women with Ulcerative Colitis by Reducing Inflammation
Lana Claudinez dos Santos, Aline Villela Costa
DOI: 10.12659/MSM.893865
Med Sci Monit 2015; 21:2305-2315

07 Aug 2015 : Clinical Research
Combination of Azathioprine and Aminosalicylate Treatment Prevent Risk of Cardiovascular Disease in Women with Ulcerative Colitis by Reducing Inflammation
Lana Claudinez dos Santos, Aline Villela Costa, Lorrayne Gonçalves Lopes, Alda Jusceline Leonel, Edenil Costa Aguilar, Maria de Lourdes Meirelles Noviello, Maria de Lourdes de Abreu Ferrari, Jacqueline I. Alvarez-Leite
DOI: 10.12659/MSM.893865
Med Sci Monit 2015; 21:2305-2315
2,334

07 Aug 2015 : Clinical Research
Effects of Noninvasive Positive-Pressure Ventilation with Different Interfaces in Patients with Hypoxemia after Surgery for Stanford Type A Aortic Dissection
Yi Yang, Lizhong Sun
DOI: 10.12659/MSM.893956
Med Sci Monit 2015; 21:2294-2304

07 Aug 2015 : Clinical Research
Effects of Noninvasive Positive-Pressure Ventilation with Different Interfaces in Patients with Hypoxemia after Surgery for Stanford Type A Aortic Dissection
Yi Yang, Lizhong Sun, Nan Liu, Xiaotong Hou, Hong Wang, Ming Jia
DOI: 10.12659/MSM.893956
Med Sci Monit 2015; 21:2294-2304
3,061

06 Aug 2015 : Animal Research
Effect of Iodine Intake on p14ARF and p16INK4a Expression in Thyroid Papillary Carcinoma in Rats
Ruimei Sun, Jinde Wang
DOI: 10.12659/MSM.893486
Med Sci Monit 2015; 21:2288-2293

06 Aug 2015 : Animal Research
Effect of Iodine Intake on p14ARF and p16INK4a Expression in Thyroid Papillary Carcinoma in Rats
Ruimei Sun, Jinde Wang, Xiaojiang Li, Lei Li, Jie Yang, Yanxin Ren, Yan Xi, Chuanzheng Sun
DOI: 10.12659/MSM.893486
Med Sci Monit 2015; 21:2288-2293
1,777

06 Aug 2015 : Clinical Research
Correlation between Polymorphism of TRAIL Gene and Condition of Intervertebral Disc Degeneration
Shimin Xu, Ting Liang
DOI: 10.12659/MSM.894157
Med Sci Monit 2015; 21:2282-2287

06 Aug 2015 : Clinical Research
Correlation between Polymorphism of TRAIL Gene and Condition of Intervertebral Disc Degeneration
Shimin Xu, Ting Liang, Shuzhong Li
DOI: 10.12659/MSM.894157
Med Sci Monit 2015; 21:2282-2287
2,024

05 Aug 2015 : Clinical Research
Increased Expression of Tissue/Salivary Transgelin mRNA Predicts Poor Prognosis in Patients with Oral Squamous Cell Carcinoma (OSCC)
Jingqiu Bu, Xi Bu
DOI: 10.12659/MSM.893925
Med Sci Monit 2015; 21:2275-2281

05 Aug 2015 : Clinical Research
Increased Expression of Tissue/Salivary Transgelin mRNA Predicts Poor Prognosis in Patients with Oral Squamous Cell Carcinoma (OSCC)
Jingqiu Bu, Xi Bu, Bing Liu, Fei Chen, Peng Chen
DOI: 10.12659/MSM.893925
Med Sci Monit 2015; 21:2275-2281
2,106

04 Aug 2015 : Clinical Research
High VEGF-D and Low MMP-2 Serum Levels Predict Nodal-Positive Disease in Invasive Bladder Cancer
Tobias Benoit, Etienne X. Keller
DOI: 10.12659/MSM.894383
Med Sci Monit 2015; 21:2266-2274

04 Aug 2015 : Clinical Research
High VEGF-D and Low MMP-2 Serum Levels Predict Nodal-Positive Disease in Invasive Bladder Cancer
Tobias Benoit, Etienne X. Keller, Pirmin Wolfsgruber, Thomas Hermanns, Michele Günthart, Irina Banzola, Tullio Sulser, Maurizio Provenzano, Cédric Poyet
DOI: 10.12659/MSM.894383
Med Sci Monit 2015; 21:2266-2274
2,181

04 Aug 2015 : Clinical Research
Clinical Comparison of Non-Myeloablative Conditioning with Anti-Thymocyte Globulin and Fludarabine for Patients with Hematologic Malignancies
Qingshan Li, Fanyi Meng
DOI: 10.12659/MSM.893846
Med Sci Monit 2015; 21:2257-2265

04 Aug 2015 : Clinical Research
Clinical Comparison of Non-Myeloablative Conditioning with Anti-Thymocyte Globulin and Fludarabine for Patients with Hematologic Malignancies
Qingshan Li, Fanyi Meng, Ming Zhou, Bizhen Yu, Wenjian Mo, Qinghua Du, Xuejie Jiang, Yaming Wei
DOI: 10.12659/MSM.893846
Med Sci Monit 2015; 21:2257-2265
1,869

03 Aug 2015 : Clinical Research
Similar Outcomes of Standard Radiotherapy and Hypofractionated Radiotherapy Following Breast-Conserving Surgery
Hai-Ling Hou, Yong-Chun Song
DOI: 10.12659/MSM.893585
Med Sci Monit 2015; 21:2251-2256

03 Aug 2015 : Clinical Research
Similar Outcomes of Standard Radiotherapy and Hypofractionated Radiotherapy Following Breast-Conserving Surgery
Hai-Ling Hou, Yong-Chun Song, Rui-Ying Li, Li Zhu, Lu-Jun Zhao, Zhi-Yong Yuan, Jin-Qiang You, Zhong-Jie Chen, Ping Wang
DOI: 10.12659/MSM.893585
Med Sci Monit 2015; 21:2251-2256
2,311

02 Aug 2015 : Meta-Analysis
Association between Genetic Polymorphisms in DEFB1 and Susceptibility to Digestive Diseases
Yin-Peng Huang, Tian-Yi Wang
DOI: 10.12659/MSM.893453
Med Sci Monit 2015; 21:2240-2250

02 Aug 2015 : Meta-Analysis
Association between Genetic Polymorphisms in DEFB1 and Susceptibility to Digestive Diseases
Yin-Peng Huang, Tian-Yi Wang, Wei Wang, Hong-Zhi Sun
DOI: 10.12659/MSM.893453
Med Sci Monit 2015; 21:2240-2250
2,264

01 Aug 2015 : Clinical Research
Kinesiology Taping does not Modify Electromyographic Activity or Muscle Flexibility of Quadriceps Femoris Muscle: A Randomized, Placebo-Controlled Pilot Study in Healthy Volleyball Players
Tomasz Halski, Robert Dymarek
DOI: 10.12659/MSM.894150
Med Sci Monit 2015; 21:2232-2239

01 Aug 2015 : Clinical Research
Kinesiology Taping does not Modify Electromyographic Activity or Muscle Flexibility of Quadriceps Femoris Muscle: A Randomized, Placebo-Controlled Pilot Study in Healthy Volleyball Players
Tomasz Halski, Robert Dymarek, Kuba Ptaszkowski, Lucyna Słupska, Katarzyna Rajfur, Joanna Rajfur, Małgorzata Pasternok, Agnieszka Smykla, Jakub Taradaj
DOI: 10.12659/MSM.894150
Med Sci Monit 2015; 21:2232-2239
2,880

31 Jul 2015 : Clinical Research
Expression of EGFR Is Closely Related to Reduced 3-Year Survival Rate in Chinese Female NSCLC
Guangyuan Sun, Bing Liu
DOI: 10.12659/MSM.894786
Med Sci Monit 2015; 21:2225-2231

31 Jul 2015 : Clinical Research
Expression of EGFR Is Closely Related to Reduced 3-Year Survival Rate in Chinese Female NSCLC
Guangyuan Sun, Bing Liu, Jin He, Xuewei Zhao, Bing Li
DOI: 10.12659/MSM.894786
Med Sci Monit 2015; 21:2225-2231
1,896

31 Jul 2015 : Laboratory Research
Specific Inhibition of β-Catenin in Jeko-1 Mantle Cell Lymphoma Cell Line Decreases Proliferation and Induces Apoptosis
Jinshui He, Yiqun Huang
DOI: 10.12659/MSM.893514
Med Sci Monit 2015; 21:2218-2224

31 Jul 2015 : Laboratory Research
Specific Inhibition of β-Catenin in Jeko-1 Mantle Cell Lymphoma Cell Line Decreases Proliferation and Induces Apoptosis
Jinshui He, Yiqun Huang, Jianmin Weng, Liyun Xiao, Kaizhi Weng, Xudong Ma
DOI: 10.12659/MSM.893514
Med Sci Monit 2015; 21:2218-2224
2,204

30 Jul 2015 : Laboratory Research
miR-375 Modulates Radiosensitivity of HR-HPV-Positive Cervical Cancer Cells by Targeting UBE3A through the p53 Pathway
Lili Song, Shikai Liu
DOI: 10.12659/MSM.893859
Med Sci Monit 2015; 21:2210-2217

30 Jul 2015 : Laboratory Research
miR-375 Modulates Radiosensitivity of HR-HPV-Positive Cervical Cancer Cells by Targeting UBE3A through the p53 Pathway
Lili Song, Shikai Liu, Saitian Zeng, Liang Zhang, Xia Li
DOI: 10.12659/MSM.893859
Med Sci Monit 2015; 21:2210-2217
2,788

29 Jul 2015 : Clinical Research
Body Mass Index and Waistline are Predictors of Survival for Hepatocellular Carcinoma After Hepatectomy
Xiyu Liu, Jiangfeng Xu
DOI: 10.12659/MSM.894202
Med Sci Monit 2015; 21:2203-2209

29 Jul 2015 : Clinical Research
Body Mass Index and Waistline are Predictors of Survival for Hepatocellular Carcinoma After Hepatectomy
Xiyu Liu, Jiangfeng Xu
DOI: 10.12659/MSM.894202
Med Sci Monit 2015; 21:2203-2209
2,070
Editorial
01 December 2025 : Editorial
Editorial: COVID-19 Six Years on and Endemic Omicron Variants of SARS-CoV-2 Under Monitoring Now Include NB.1.8.1 (Nimbus) and XFG (Stratus)DOI: 10.12659/MSM.952217
Med Sci Monit 2025; 31:e952217
In Press
Clinical Research
A Retrospective Study of the Presentation, Imaging Findings, and Outcomes in 195 Patients with Maxillofacia...Med Sci Monit In Press; DOI: 10.12659/MSM.949933
Clinical Research
Enhanced Eustachian Tube Function and Hearing Recovery with Combined Balloon Dilatation and Tympanic Membra...Med Sci Monit In Press; DOI: 10.12659/MSM.948981
Clinical Research
Virtual Pet–Assisted Therapy to Alleviate Symptoms of Long COVID: A Prospective Pilot Interventional StudyMed Sci Monit In Press; DOI: 10.12659/MSM.950105
Clinical Research
Does Concomitant Biceps Tenotomy Affect Shoulder Proprioception and Strength? A Prospective Intra‑Individua...Med Sci Monit In Press; DOI: 10.12659/MSM.950383
Most Viewed Current Articles
17 Jan 2024 : Review article 10,178,526
Vaccination Guidelines for Pregnant Women: Addressing COVID-19 and the Omicron VariantDOI :10.12659/MSM.942799
Med Sci Monit 2024; 30:e942799
13 Nov 2021 : Clinical Research 3,694,265
Acceptance of COVID-19 Vaccination and Its Associated Factors Among Cancer Patients Attending the Oncology ...DOI :10.12659/MSM.932788
Med Sci Monit 2021; 27:e932788
14 Dec 2022 : Clinical Research 2,335,538
Prevalence and Variability of Allergen-Specific Immunoglobulin E in Patients with Elevated Tryptase LevelsDOI :10.12659/MSM.937990
Med Sci Monit 2022; 28:e937990
16 May 2023 : Clinical Research 706,058
Electrophysiological Testing for an Auditory Processing Disorder and Reading Performance in 54 School Stude...DOI :10.12659/MSM.940387
Med Sci Monit 2023; 29:e940387
