Current Volume 18(2) 2012 (24)

01 Feb 2012
Inhibitory effects of intravenous lansoprazole 30 mg and pantoprazole 40 mg twice daily on intragastric acidity in healthy Chinese volunteers: A randomized, open-labeled, two-way crossover study
Xian-Bao Zhan, Xiao-Rong Guo
DOI: 10.12659/MSM.882468
Med Sci Monit 2012; 18(2): CR125-130

01 Feb 2012
Inhibitory effects of intravenous lansoprazole 30 mg and pantoprazole 40 mg twice daily on intragastric acidity in healthy Chinese volunteers: A randomized, open-labeled, two-way crossover study
Xian-Bao Zhan, Xiao-Rong Guo, Zhao-Shen Li, Yan-Fang Gong, Jun Gao, Zhuan Liao, Zhen Li, Shen Gao, Pei Liu
DOI: 10.12659/MSM.882468
Med Sci Monit 2012; 18(2): CR125-130
2,511

01 Feb 2012
Self-esteem and styles of coping with stress versus strategies of planning in people with psychopathic personality disorders
Beata Pastwa-Wojciechowska, Maria Kaźmierczak
DOI: 10.12659/MSM.882467
Med Sci Monit 2012; 18(2): CR119-124

01 Feb 2012
Self-esteem and styles of coping with stress versus strategies of planning in people with psychopathic personality disorders
Beata Pastwa-Wojciechowska, Maria Kaźmierczak, Magdalena Błażek
DOI: 10.12659/MSM.882467
Med Sci Monit 2012; 18(2): CR119-124
2,781

01 Feb 2012
Head and neck cancer: Value of perfusion CT in depicting primary tumor spread
Agnieszka Trojanowska, Piotr Trojanowski
DOI: 10.12659/MSM.882466
Med Sci Monit 2012; 18(2): CR112-118

01 Feb 2012
Head and neck cancer: Value of perfusion CT in depicting primary tumor spread
Agnieszka Trojanowska, Piotr Trojanowski, Andrzej Drop, Tomasz Jargiełło, Janusz Klatka
DOI: 10.12659/MSM.882466
Med Sci Monit 2012; 18(2): CR112-118
1,851

01 Feb 2012
The influence of heparin resistance on postoperative complications in patients undergoing coronary surgery
Piotr Knapik, Daniel Cieśla
DOI: 10.12659/MSM.882465
Med Sci Monit 2012; 18(2): CR105-111

01 Feb 2012
The influence of heparin resistance on postoperative complications in patients undergoing coronary surgery
Piotr Knapik, Daniel Cieśla, Roman Przybylski, Tomasz Knapik
DOI: 10.12659/MSM.882465
Med Sci Monit 2012; 18(2): CR105-111
2,325

01 Feb 2012
Dentigenous infectious foci – a risk factor of infective endocarditis
Beata Wisniewska-Spychala, Jerzy Sokalski
DOI: 10.12659/MSM.882464
Med Sci Monit 2012; 18(2): CR93-104

01 Feb 2012
Dentigenous infectious foci – a risk factor of infective endocarditis
Beata Wisniewska-Spychala, Jerzy Sokalski, Stefan Grajek, Marek Jemielity, Olga Trojnarska, Irena Choroszy-Krol, Anna Sójka, Tomasz Maksymiuk
DOI: 10.12659/MSM.882464
Med Sci Monit 2012; 18(2): CR93-104
2,699

01 Feb 2012
Thermal ablation of unresectable liver tumors: Factors associated with partial ablation and the impact on long-term survival
Philipp Wiggermann, Ralf Puls
DOI: 10.12659/MSM.882463
Med Sci Monit 2012; 18(2): CR88-92

01 Feb 2012
Thermal ablation of unresectable liver tumors: Factors associated with partial ablation and the impact on long-term survival
Philipp Wiggermann, Ralf Puls, Andrej Vasilj, Dominik Sieroń, Andreas G. Schreyer, Ernst-Michael Jung, Wojciech Wawrzynek, Christian Stroszczynski
DOI: 10.12659/MSM.882463
Med Sci Monit 2012; 18(2): CR88-92
2,341

01 Feb 2012
Lack of association of conjunctival MALT lymphoma with Chlamydiae or Helicobacter pylori in a cohort of Chinese patients
Ji-Ping Cai, Jin-Wei Cheng
DOI: 10.12659/MSM.882462
Med Sci Monit 2012; 18(2): BR84-88

01 Feb 2012
Lack of association of conjunctival MALT lymphoma with Chlamydiae or Helicobacter pylori in a cohort of Chinese patients
Ji-Ping Cai, Jin-Wei Cheng, Xiao-Ye Ma, Yu-Zhen Li, You Li, Xiao Huang, Rui-Li Wei
DOI: 10.12659/MSM.882462
Med Sci Monit 2012; 18(2): BR84-88
2,425

01 Feb 2012
Relation of hs-CRP and BNP levels with the atrial spontaneous echo contrast and thrombi in permanent atrial fibrillation patients with different etiologies
Tayfun Sahin, Eser Acar
DOI: 10.12659/MSM.882461
Med Sci Monit 2012; 18(2): CR78-87

01 Feb 2012
Relation of hs-CRP and BNP levels with the atrial spontaneous echo contrast and thrombi in permanent atrial fibrillation patients with different etiologies
Tayfun Sahin, Eser Acar, Umut Celikyurt, Teoman Kılıc, Guliz Kozdag, Aysen Agacdiken, Dilek Ural
DOI: 10.12659/MSM.882461
Med Sci Monit 2012; 18(2): CR78-87
2,650

01 Feb 2012
Changes in chemiluminescence of whole blood of COPD patients treated with Hypoxen® and effects of C60 fullerenes on blood chemiluminescence
Kirill N. Novikov, Nadezhda G. Berdnikova
DOI: 10.12659/MSM.882460
Med Sci Monit 2012; 18(2): BR76-83

01 Feb 2012
Changes in chemiluminescence of whole blood of COPD patients treated with Hypoxen® and effects of C60 fullerenes on blood chemiluminescence
Kirill N. Novikov, Nadezhda G. Berdnikova, Alexey K. Novikov, Oksana Y. Lyusina, Olga G. Muhitova, Olga I. Yablonskaya, Ha Do Minh, Vladimir L. Voeikov
DOI: 10.12659/MSM.882460
Med Sci Monit 2012; 18(2): BR76-83
2,231

01 Feb 2012
Persistence of initial oral antidiabetic treatment in patients with type 2 diabetes mellitus
György Jermendy, István Wittmann
DOI: 10.12659/MSM.882459
Med Sci Monit 2012; 18(2): CR72-77

01 Feb 2012
Persistence of initial oral antidiabetic treatment in patients with type 2 diabetes mellitus
György Jermendy, István Wittmann, László Nagy, Zoltán Kiss, György Rokszin, Zsolt Abonyi-Tóth, Lajos Katona, György Paragh, István Karádi, Béla Merkely
DOI: 10.12659/MSM.882459
Med Sci Monit 2012; 18(2): CR72-77
2,563

01 Feb 2012
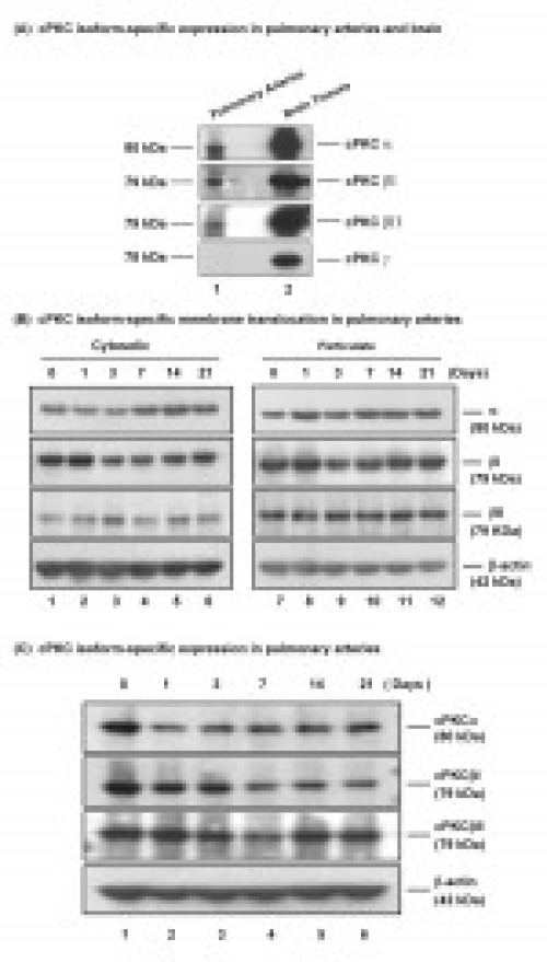
Determination of PKC isoform-specific protein expression in pulmonary arteries of rats with chronic hypoxia-induced pulmonary hypertension
Yiwei Shi, Chen Wang
DOI: 10.12659/MSM.882458
Med Sci Monit 2012; 18(2): BR69-75

01 Feb 2012
Determination of PKC isoform-specific protein expression in pulmonary arteries of rats with chronic hypoxia-induced pulmonary hypertension
Yiwei Shi, Chen Wang, Song Han, Baosen Pang, Nan Zhang, Jun Wang, Junfa Li
DOI: 10.12659/MSM.882458
Med Sci Monit 2012; 18(2): BR69-75
2,417

01 Feb 2012
Sex-specific association of anthropometric measures of body composition with arterial stiffness in a healthy population
Danijela Budimir, Ana Jeroncic
DOI: 10.12659/MSM.882457
Med Sci Monit 2012; 18(2): CR65-71

01 Feb 2012
Sex-specific association of anthropometric measures of body composition with arterial stiffness in a healthy population
Danijela Budimir, Ana Jeroncic, Grgo Gunjaca, Igor Rudan, Ozren Polasek, Mladen Boban
DOI: 10.12659/MSM.882457
Med Sci Monit 2012; 18(2): CR65-71
2,411

01 Feb 2012
Periodontal microcirculation in diabetics: An in vivo non-invasive analysis by means of videocapillaroscopy
Giuseppe Alessandro Scardina, Antonino Cacioppo
DOI: 10.12659/MSM.882456
Med Sci Monit 2012; 18(2): CR58-64

01 Feb 2012
Periodontal microcirculation in diabetics: An in vivo non-invasive analysis by means of videocapillaroscopy
Giuseppe Alessandro Scardina, Antonino Cacioppo, Pietro Messina
DOI: 10.12659/MSM.882456
Med Sci Monit 2012; 18(2): CR58-64
2,237

01 Feb 2012
Indocyanine green angiography in chronic central serous chorioretinopathy
Urszula Gajdzik-Gajdecka, Mariola Dorecka
DOI: 10.12659/MSM.882455
Med Sci Monit 2012; 18(2): CR51-57

01 Feb 2012
Indocyanine green angiography in chronic central serous chorioretinopathy
Urszula Gajdzik-Gajdecka, Mariola Dorecka, Ewa Nita, Anna Michalska, Joanna Miniewicz-Kurowska, Wanda Romaniuk
DOI: 10.12659/MSM.882455
Med Sci Monit 2012; 18(2): CR51-57
2,577

01 Feb 2012
The temporal relationship between RotaTeq immunization and intussusception adverse events in the Vaccine Adverse Event Reporting System (VAERS)
David A. Geier, Paul G. King
DOI: 10.12659/MSM.882470
Med Sci Monit 2012; 18(2): PH12-17

01 Feb 2012
The temporal relationship between RotaTeq immunization and intussusception adverse events in the Vaccine Adverse Event Reporting System (VAERS)
David A. Geier, Paul G. King, Lisa K. Sykes, Mark R. Geier
DOI: 10.12659/MSM.882470
Med Sci Monit 2012; 18(2): PH12-17
2,143

01 Feb 2012
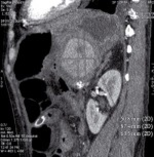
A case of bilateral persistent sciatic artery with unilateral aneurysm: An 18-year period of graft patency after excision of aneurysm
Włodzimierz Drożdż, Andrzej Urbanik
DOI: 10.12659/MSM.882454
Med Sci Monit 2012; 18(2): CS12-15

01 Feb 2012
A case of bilateral persistent sciatic artery with unilateral aneurysm: An 18-year period of graft patency after excision of aneurysm
Włodzimierz Drożdż, Andrzej Urbanik, Piotr Budzyński
DOI: 10.12659/MSM.882454
Med Sci Monit 2012; 18(2): CS12-15
2,186

01 Feb 2012
Massive bleeeding from upper gastrointestinal tract as a symptom of rupture of splenic artery aneurysm to stomach
Tomasz Wierzbicki, Jacek Szmeja
DOI: 10.12659/MSM.882453
Med Sci Monit 2012; 18(2): CS8-11

01 Feb 2012
Massive bleeeding from upper gastrointestinal tract as a symptom of rupture of splenic artery aneurysm to stomach
Tomasz Wierzbicki, Jacek Szmeja, Maciej Borejsza-Wysocki, Michał Męczyński, Piotr Smuszkiewicz, Katarzyna Katulska, Michał Drews
DOI: 10.12659/MSM.882453
Med Sci Monit 2012; 18(2): CS8-11
2,360

01 Feb 2012
Safety of embolic protection device-assisted and unprotected intravascular ultrasound in evaluating carotid artery atherosclerotic lesions
Piotr Musialek, Piotr Pieniazek
DOI: 10.12659/MSM.882452
Med Sci Monit 2012; 18(2): MT7-18

01 Feb 2012
Safety of embolic protection device-assisted and unprotected intravascular ultrasound in evaluating carotid artery atherosclerotic lesions
Piotr Musialek, Piotr Pieniazek, Wieslawa Tracz, Lukasz Tekieli, Tadeusz Przewlocki, Anna Kablak-Ziembicka, Rafal Motyl, Zbigniew Moczulski, Jakub Stepniewski, Mariusz Trystula, Wojciech Zajdel, Agnieszka Roslawiecka, Krzysztof Zmudka, Piotr Podolec
DOI: 10.12659/MSM.882452
Med Sci Monit 2012; 18(2): MT7-18
2,776

01 Feb 2012
How well do anthropometric indices correlate with cardiovascular risk factors? A cross-sectional study in Croati
Davorka Vrdoljak, Biserka Bergman Marković
DOI: 10.12659/MSM.882451
Med Sci Monit 2012; 18(2): PH6-11

01 Feb 2012
How well do anthropometric indices correlate with cardiovascular risk factors? A cross-sectional study in Croati
Davorka Vrdoljak, Biserka Bergman Marković, Ksenija Kranjčević, Dragica Ivezić Lalić, Jasna Vučak, Milica Katić
DOI: 10.12659/MSM.882451
Med Sci Monit 2012; 18(2): PH6-11
2,340

01 Feb 2012
Mirror, mirror on the wall: Hypercalcemia as a consequence of modern cosmetic treatment with liquid silicone
Jurik Schanz, Katharina Flux
DOI: 10.12659/MSM.882450
Med Sci Monit 2012; 18(2): CS5-7

01 Feb 2012
Mirror, mirror on the wall: Hypercalcemia as a consequence of modern cosmetic treatment with liquid silicone
Jurik Schanz, Katharina Flux, Claudia Kircher, Maria Tsioga, Wolfgang Hartschuh, Peter P. Nawroth, Gottfried Rudofsky
DOI: 10.12659/MSM.882450
Med Sci Monit 2012; 18(2): CS5-7
2,076

01 Feb 2012
The application of Levulan®-based photodynamic therapy with imiquimod in the treatment of recurrent basal cell carcinoma
Beata Osiecka, Kamil Jurczyszyn
DOI: 10.12659/MSM.882449
Med Sci Monit 2012; 18(2): PI5-9

01 Feb 2012
The application of Levulan®-based photodynamic therapy with imiquimod in the treatment of recurrent basal cell carcinoma
Beata Osiecka, Kamil Jurczyszyn, Piotr Ziółkowski
DOI: 10.12659/MSM.882449
Med Sci Monit 2012; 18(2): PI5-9
2,765

01 Feb 2012
Prevalence of metabolic syndrome in elderly Japanese-Brazilians
Natasha Priscilla Xavier, Rita Cristina Chaim
DOI: 10.12659/MSM.882448
Med Sci Monit 2012; 18(2): PH1-5

01 Feb 2012
Prevalence of metabolic syndrome in elderly Japanese-Brazilians
Natasha Priscilla Xavier, Rita Cristina Chaim, Suely Godoy Agostinho Gimeno, Sandra Roberta Gouvea Ferreira, Amelia Toyomi Hirai, Camila Moreno Rosa, Carlos Roberto Padovani, Marina Politi Okoshi, Katashi Okoshi
DOI: 10.12659/MSM.882448
Med Sci Monit 2012; 18(2): PH1-5
2,186

01 Feb 2012
Postcardiac injury syndrome. Part II
Maria Jaworska-Wilczynska, Elzbieta Abramczuk
DOI: 10.12659/MSM.882469
Med Sci Monit 2012; 18(2): CQ1-3

01 Feb 2012
Postcardiac injury syndrome. Part II
Maria Jaworska-Wilczynska, Elzbieta Abramczuk, Tomasz Hryniewiecki
DOI: 10.12659/MSM.882469
Med Sci Monit 2012; 18(2): CQ1-3
2,001

01 Feb 2012
A69S and R38X ARMS2 and Y402H CFH gene polymorphisms as risk factors for neovascular age-related macular degeneration in Poland – a brief report
Sławomir J. Teper, Anna Nowińska
DOI: 10.12659/MSM.882447
Med Sci Monit 2012; 18(2): PR1-3

01 Feb 2012
A69S and R38X ARMS2 and Y402H CFH gene polymorphisms as risk factors for neovascular age-related macular degeneration in Poland – a brief report
Sławomir J. Teper, Anna Nowińska, Edward Wylęgała
DOI: 10.12659/MSM.882447
Med Sci Monit 2012; 18(2): PR1-3
2,359
Editorial
01 December 2025 : Editorial
Editorial: COVID-19 Six Years on and Endemic Omicron Variants of SARS-CoV-2 Under Monitoring Now Include NB.1.8.1 (Nimbus) and XFG (Stratus)DOI: 10.12659/MSM.952217
Med Sci Monit 2025; 31:e952217
In Press
Clinical Research
A Retrospective Study of the Presentation, Imaging Findings, and Outcomes in 195 Patients with Maxillofacia...Med Sci Monit In Press; DOI: 10.12659/MSM.949933
Clinical Research
Enhanced Eustachian Tube Function and Hearing Recovery with Combined Balloon Dilatation and Tympanic Membra...Med Sci Monit In Press; DOI: 10.12659/MSM.948981
Clinical Research
Virtual Pet–Assisted Therapy to Alleviate Symptoms of Long COVID: A Prospective Pilot Interventional StudyMed Sci Monit In Press; DOI: 10.12659/MSM.950105
Clinical Research
Does Concomitant Biceps Tenotomy Affect Shoulder Proprioception and Strength? A Prospective Intra‑Individua...Med Sci Monit In Press; DOI: 10.12659/MSM.950383
Most Viewed Current Articles
17 Jan 2024 : Review article 10,178,526
Vaccination Guidelines for Pregnant Women: Addressing COVID-19 and the Omicron VariantDOI :10.12659/MSM.942799
Med Sci Monit 2024; 30:e942799
13 Nov 2021 : Clinical Research 3,694,265
Acceptance of COVID-19 Vaccination and Its Associated Factors Among Cancer Patients Attending the Oncology ...DOI :10.12659/MSM.932788
Med Sci Monit 2021; 27:e932788
14 Dec 2022 : Clinical Research 2,335,538
Prevalence and Variability of Allergen-Specific Immunoglobulin E in Patients with Elevated Tryptase LevelsDOI :10.12659/MSM.937990
Med Sci Monit 2022; 28:e937990
16 May 2023 : Clinical Research 706,058
Electrophysiological Testing for an Auditory Processing Disorder and Reading Performance in 54 School Stude...DOI :10.12659/MSM.940387
Med Sci Monit 2023; 29:e940387
