Current Volume 17(9) 2011 (26) - Page: 2

22 Aug 2011
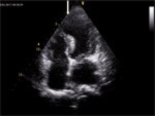
A severe complication after ST-segment elevation myocardial infarction (Part 1)
Małgorzata Stępień-Wojno, Anna Konopka
DOI: 10.12659/MSM.881917
Med Sci Monit 2011; 17(9): CQ7-8

22 Aug 2011
A severe complication after ST-segment elevation myocardial infarction (Part 1)
Małgorzata Stępień-Wojno, Anna Konopka, Miłosz Marona, Lidia Greszata, Wojciech Dyk, Janina Stępińska
DOI: 10.12659/MSM.881917
Med Sci Monit 2011; 17(9): CQ7-8
1,780
Editorial
01 December 2025 : Editorial
Editorial: COVID-19 Six Years on and Endemic Omicron Variants of SARS-CoV-2 Under Monitoring Now Include NB.1.8.1 (Nimbus) and XFG (Stratus)DOI: 10.12659/MSM.952217
Med Sci Monit 2025; 31:e952217
In Press
Clinical Research
A Retrospective Study of the Presentation, Imaging Findings, and Outcomes in 195 Patients with Maxillofacia...Med Sci Monit In Press; DOI: 10.12659/MSM.949933
Clinical Research
Enhanced Eustachian Tube Function and Hearing Recovery with Combined Balloon Dilatation and Tympanic Membra...Med Sci Monit In Press; DOI: 10.12659/MSM.948981
Clinical Research
Virtual Pet–Assisted Therapy to Alleviate Symptoms of Long COVID: A Prospective Pilot Interventional StudyMed Sci Monit In Press; DOI: 10.12659/MSM.950105
Clinical Research
Does Concomitant Biceps Tenotomy Affect Shoulder Proprioception and Strength? A Prospective Intra‑Individua...Med Sci Monit In Press; DOI: 10.12659/MSM.950383
Most Viewed Current Articles
17 Jan 2024 : Review article 10,178,526
Vaccination Guidelines for Pregnant Women: Addressing COVID-19 and the Omicron VariantDOI :10.12659/MSM.942799
Med Sci Monit 2024; 30:e942799
13 Nov 2021 : Clinical Research 3,694,265
Acceptance of COVID-19 Vaccination and Its Associated Factors Among Cancer Patients Attending the Oncology ...DOI :10.12659/MSM.932788
Med Sci Monit 2021; 27:e932788
14 Dec 2022 : Clinical Research 2,335,538
Prevalence and Variability of Allergen-Specific Immunoglobulin E in Patients with Elevated Tryptase LevelsDOI :10.12659/MSM.937990
Med Sci Monit 2022; 28:e937990
16 May 2023 : Clinical Research 706,058
Electrophysiological Testing for an Auditory Processing Disorder and Reading Performance in 54 School Stude...DOI :10.12659/MSM.940387
Med Sci Monit 2023; 29:e940387
