Current Volume 17(7) 2011 (24)

01 Jul 2011
Association of MMP1-1607 1G/2G and TIMP1 372 T/C gene polymorphisms with risk of primary open angle glaucoma in a Polish population
Ireneusz Majsterek, Lukasz Markiewicz
DOI: 10.12659/MSM.881854
Med Sci Monit 2011; 17(7): CR417-421

01 Jul 2011
Association of MMP1-1607 1G/2G and TIMP1 372 T/C gene polymorphisms with risk of primary open angle glaucoma in a Polish population
Ireneusz Majsterek, Lukasz Markiewicz, Karolina Przybylowska, Mira Gacek, Anna K. Kurowska, Anna Kaminska, Jerzy Szaflik, Jacek P. Szaflik
DOI: 10.12659/MSM.881854
Med Sci Monit 2011; 17(7): CR417-421
2,623

21 Jun 2011
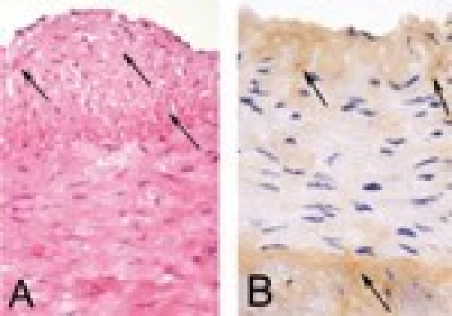
Human internal thoracic artery grafts exhibit severe morphological and functional damage and spasmic vasomotion due to oxidative stress
Levente Kiss, Rita Benko
DOI: 10.12659/MSM.881853
Med Sci Monit 2011; 17(7): CR411-416

21 Jun 2011
Human internal thoracic artery grafts exhibit severe morphological and functional damage and spasmic vasomotion due to oxidative stress
Levente Kiss, Rita Benko, Endre Kovacs, Tamas Szerafin, Katalin Modis, Csaba Szabo, Zsombor Lacza
DOI: 10.12659/MSM.881853
Med Sci Monit 2011; 17(7): CR411-416
2,325

21 Jun 2011
Assessment of spinal appearance in female patients with adolescent idiopathic scoliosis treated operatively
Ewa Misterska, Maciej Glowacki
DOI: 10.12659/MSM.881852
Med Sci Monit 2011; 17(7): CR404-410

21 Jun 2011
Assessment of spinal appearance in female patients with adolescent idiopathic scoliosis treated operatively
Ewa Misterska, Maciej Glowacki, Jerzy Harasymczuk
DOI: 10.12659/MSM.881852
Med Sci Monit 2011; 17(7): CR404-410
2,628

21 Jun 2011
Assessment of sleep patterns, energy expenditure and circadian rhythms of skin temperature in patients with acute coronary syndrome
Hadil Al Otair, Mustafa Al-shamiri
DOI: 10.12659/MSM.881851
Med Sci Monit 2011; 17(7): CR397-403

21 Jun 2011
Assessment of sleep patterns, energy expenditure and circadian rhythms of skin temperature in patients with acute coronary syndrome
Hadil Al Otair, Mustafa Al-shamiri, Mohammed Bahobail, Munir M. Sharif, Ahmed S BaHammam
DOI: 10.12659/MSM.881851
Med Sci Monit 2011; 17(7): CR397-403
2,473

21 Jun 2011
Variation in KCNQ1 is associated with therapeutic response to sulphonylureas
Zbynek Schroner, Martina Dobrikova
DOI: 10.12659/MSM.881850
Med Sci Monit 2011; 17(7): CR392-396

21 Jun 2011
Variation in KCNQ1 is associated with therapeutic response to sulphonylureas
Zbynek Schroner, Martina Dobrikova, Lucia Klimcakova, Martin Javorsky, Jozef Zidzik, Miriam Kozarova, Terezia Hudakova, Ruzena Tkacova, Jan Salagovic, Ivan Tkac
DOI: 10.12659/MSM.881850
Med Sci Monit 2011; 17(7): CR392-396
2,391

21 Jun 2011
Correlation of Peroxisome Proliferator-Activated Receptor-gamma (PPAR-gamma) and Retinoid X Receptor-alpha (RXR-alpha) expression with clinical risk factors in patients with advanced carotid atherosclerosis
Constantinos Giaginis, Christos Klonaris
DOI: 10.12659/MSM.881849
Med Sci Monit 2011; 17(7): CR381-391

21 Jun 2011
Correlation of Peroxisome Proliferator-Activated Receptor-gamma (PPAR-gamma) and Retinoid X Receptor-alpha (RXR-alpha) expression with clinical risk factors in patients with advanced carotid atherosclerosis
Constantinos Giaginis, Christos Klonaris, Athanassios Katsargyris, Gregorios Kouraklis, Chara Spiliopoulou, Stamatios Theocharis
DOI: 10.12659/MSM.881849
Med Sci Monit 2011; 17(7): CR381-391
2,679

21 Jun 2011
Treatment failure of gentamicin in pediatric patients with oropharyngeal tularemia
Ali Kaya, Ismail Onder Uysal
DOI: 10.12659/MSM.881848
Med Sci Monit 2011; 17(7): CR376-380

21 Jun 2011
Treatment failure of gentamicin in pediatric patients with oropharyngeal tularemia
Ali Kaya, Ismail Onder Uysal, Ahmet Sami Guven, Aynur Engin, Abdulaziz Gulturk, Fusun Dilara Icagasioglu, Omer Cevit
DOI: 10.12659/MSM.881848
Med Sci Monit 2011; 17(7): CR376-380
2,315

21 Jun 2011
Electrocardiographic changes in hospitalized patients with leptospirosis over a 10-year period
Vedrana Skerk, Alemka Markotic
DOI: 10.12659/MSM.881847
Med Sci Monit 2011; 17(7): CR369-375

21 Jun 2011
Electrocardiographic changes in hospitalized patients with leptospirosis over a 10-year period
Vedrana Skerk, Alemka Markotic, Ivan Puljiz, Ilija Kuzman, Elvira Celjuska Tosev, Josipa Habus, Nenad Turk, Josip Begovac
DOI: 10.12659/MSM.881847
Med Sci Monit 2011; 17(7): CR369-375
2,151

21 Jun 2011
A comparison of pain level and entropy changes following core stability exercise intervention
Taero Lee, Yoon Hyuk Kim
DOI: 10.12659/MSM.881846
Med Sci Monit 2011; 17(7): CR362-368

21 Jun 2011
A comparison of pain level and entropy changes following core stability exercise intervention
Taero Lee, Yoon Hyuk Kim, Paul S. Sung
DOI: 10.12659/MSM.881846
Med Sci Monit 2011; 17(7): CR362-368
2,939

21 Jun 2011
Changes in bacterial resistance patterns in children with urinary tract infections on antimicrobial prophylaxis at University Hospital in Split
Tanja Ilić, Sanda Gračan
DOI: 10.12659/MSM.881845
Med Sci Monit 2011; 17(7): CR355-361

21 Jun 2011
Changes in bacterial resistance patterns in children with urinary tract infections on antimicrobial prophylaxis at University Hospital in Split
Tanja Ilić, Sanda Gračan, Adela Arapović, Vesna Čapkun, Mirna Šubat-Dežulović, Marijan Saraga
DOI: 10.12659/MSM.881845
Med Sci Monit 2011; 17(7): CR355-361
2,266

21 Jun 2011
Phage therapy of Cronobacter-induced urinary tract infection in mice
Lubomira Tothova, Peter Celec
DOI: 10.12659/MSM.881844
Med Sci Monit 2011; 17(7): BR173-178

21 Jun 2011
Phage therapy of Cronobacter-induced urinary tract infection in mice
Lubomira Tothova, Peter Celec, Janka Babickova, Jana Gajdosova, Hend Al-Alami, Natalia Kamodyova, Hana Drahovska, Adriana Liptakova, Jan Turna, Julius Hodosy
DOI: 10.12659/MSM.881844
Med Sci Monit 2011; 17(7): BR173-178
2,345

21 Jun 2011
Regulation of the instantaneous inward rectifier and the delayed outward rectifier potassium channels by Captopril and Angiotensin II via the Phosphoinositide-3 kinase pathway in volume-overload-induced hypertrophied cardiac myocytes
Zikiar V. Alvin, Graham G. Laurence
DOI: 10.12659/MSM.881843
Med Sci Monit 2011; 17(7): BR165-172

21 Jun 2011
Regulation of the instantaneous inward rectifier and the delayed outward rectifier potassium channels by Captopril and Angiotensin II via the Phosphoinositide-3 kinase pathway in volume-overload-induced hypertrophied cardiac myocytes
Zikiar V. Alvin, Graham G. Laurence, Bernell R. Coleman, Aiqiu Zhao, Majd Hajj-Moussa, Georges E. Haddad
DOI: 10.12659/MSM.881843
Med Sci Monit 2011; 17(7): BR165-172
2,795

21 Jun 2011
Modulating gut microbiota as an anti-diabetic mechanism of berberine
Junling Han, Huiling Lin
DOI: 10.12659/MSM.881842
Med Sci Monit 2011; 17(7): RA164-167

21 Jun 2011
Modulating gut microbiota as an anti-diabetic mechanism of berberine
Junling Han, Huiling Lin, Weiping Huang
DOI: 10.12659/MSM.881842
Med Sci Monit 2011; 17(7): RA164-167
6,602

21 Jun 2011
Gastric pH and motility in a porcine model of acute lung injury using a wireless motility capsule
Stefan Rauch, Ralf M. Muellenbach
DOI: 10.12659/MSM.881841
Med Sci Monit 2011; 17(7): BR161-164

21 Jun 2011
Gastric pH and motility in a porcine model of acute lung injury using a wireless motility capsule
Stefan Rauch, Ralf M. Muellenbach, Amelie Johannes, Bernd Zollhofer, Norbert Roewer
DOI: 10.12659/MSM.881841
Med Sci Monit 2011; 17(7): BR161-164
2,470

21 Jun 2011
Systematic overview of the efficacy of nonpenetrating glaucoma surgery in the treatment of open angle glaucoma
Jin-Wei Cheng, Shi-Wei Cheng
DOI: 10.12659/MSM.881840
Med Sci Monit 2011; 17(7): RA155-163

21 Jun 2011
Systematic overview of the efficacy of nonpenetrating glaucoma surgery in the treatment of open angle glaucoma
Jin-Wei Cheng, Shi-Wei Cheng, Ji-Ping Cai, You Li, Rui-Li Wei
DOI: 10.12659/MSM.881840
Med Sci Monit 2011; 17(7): RA155-163
2,717

21 Jun 2011
Serpiginous-like choroiditis as sign of intraocular tuberculosis
Ljubo Znaor, Aleksej Medic
DOI: 10.12659/MSM.881839
Med Sci Monit 2011; 17(7): CS88-90

21 Jun 2011
Serpiginous-like choroiditis as sign of intraocular tuberculosis
Ljubo Znaor, Aleksej Medic, Ksenija Karaman, Dijana Perkovic
DOI: 10.12659/MSM.881839
Med Sci Monit 2011; 17(7): CS88-90
2,384

21 Jun 2011
Severe thrombocytopenia related to trastuzumab infusion
Marina Mantzourani, Helen Gogas
DOI: 10.12659/MSM.881838
Med Sci Monit 2011; 17(7): CS85-87

21 Jun 2011
Severe thrombocytopenia related to trastuzumab infusion
Marina Mantzourani, Helen Gogas, Aikaterini Katsandris, John Meletis
DOI: 10.12659/MSM.881838
Med Sci Monit 2011; 17(7): CS85-87
2,285

21 Jun 2011
Association between Takayasu arteritis and ulcerative colitis – case report and review of serological HLA analysis
Nobuyuki Takahashi, Kazuaki Tanabe
DOI: 10.12659/MSM.881837
Med Sci Monit 2011; 17(7): CS81-84

21 Jun 2011
Association between Takayasu arteritis and ulcerative colitis – case report and review of serological HLA analysis
Nobuyuki Takahashi, Kazuaki Tanabe, Takashi Sugamori, Masatake Sato, Jun Kitamura, Hidetoshi Sato, Hiroyuki Yoshitomi, Yutaka Ishibashi, Toshio Shimada
DOI: 10.12659/MSM.881837
Med Sci Monit 2011; 17(7): CS81-84
2,686

21 Jun 2011
Predictors of symptoms of posttraumatic stress in Chinese university students during the 2009 H1N1 influenza pandemic
Jiahong Xu, Yayuan Zheng
DOI: 10.12659/MSM.881836
Med Sci Monit 2011; 17(7): PH60-64

21 Jun 2011
Predictors of symptoms of posttraumatic stress in Chinese university students during the 2009 H1N1 influenza pandemic
Jiahong Xu, Yayuan Zheng, Mingmin Wang, Jiangmin Zhao, Qing Zhan, Mingxu Fu, Qianyi Wang, Junjie Xiao, Yan Cheng
DOI: 10.12659/MSM.881836
Med Sci Monit 2011; 17(7): PH60-64
3,120

21 Jun 2011
A connection between the Efferent Auditory System and Noise-Induced Tinnitus Generation. Reduced contralateral suppression of TEOAEs in patients with noise-induced tinnitus
Panagiota Lalaki, Stavros Hatzopoulos
DOI: 10.12659/MSM.881835
Med Sci Monit 2011; 17(7): MT56-62

21 Jun 2011
A connection between the Efferent Auditory System and Noise-Induced Tinnitus Generation. Reduced contralateral suppression of TEOAEs in patients with noise-induced tinnitus
Panagiota Lalaki, Stavros Hatzopoulos, Guiscardo Lorito, Krzysztof Kochanek, Lech Sliwa, Henryk Skarzynski
DOI: 10.12659/MSM.881835
Med Sci Monit 2011; 17(7): MT56-62
2,259

21 Jun 2011
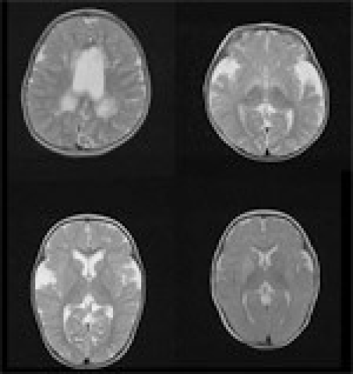
Diagnosis, treatment and outcome of glutaric aciduria type I in Zhejiang Province, China
Lili Yang, Huaiming Yin
DOI: 10.12659/MSM.881834
Med Sci Monit 2011; 17(7): PH55-59

21 Jun 2011
Diagnosis, treatment and outcome of glutaric aciduria type I in Zhejiang Province, China
Lili Yang, Huaiming Yin, Rongwang Yang, Xinwen Huang
DOI: 10.12659/MSM.881834
Med Sci Monit 2011; 17(7): PH55-59
2,227

21 Jun 2011
Measurement and comparison of skin dose using OneDose MOSFET and Mobile MOSFET for patients with acute lymphoblastic leukemia
Essam H. Mattar, Lina F. Hammad
DOI: 10.12659/MSM.881833
Med Sci Monit 2011; 17(7): MT51-55

21 Jun 2011
Measurement and comparison of skin dose using OneDose MOSFET and Mobile MOSFET for patients with acute lymphoblastic leukemia
Essam H. Mattar, Lina F. Hammad, Huda I. Al-Mohammed
DOI: 10.12659/MSM.881833
Med Sci Monit 2011; 17(7): MT51-55
2,245

21 Jun 2011
Publications in ISI-indexed public health journals from mainland China, Hong Kong and Taiwan during 1999–2008
Mei-Ling Zheng, Li-Li Yang
DOI: 10.12659/MSM.881832
Med Sci Monit 2011; 17(7): SR21-27

21 Jun 2011
Publications in ISI-indexed public health journals from mainland China, Hong Kong and Taiwan during 1999–2008
Mei-Ling Zheng, Li-Li Yang, Yi Shen, Qiang Shu
DOI: 10.12659/MSM.881832
Med Sci Monit 2011; 17(7): SR21-27
2,268

21 Jun 2011
Rare complication after mitral valve replacement due to infective endocarditis (Part 2)
Elżbieta Abramczuk, Hanna Heretyk-Grabowska
DOI: 10.12659/MSM.881831
Med Sci Monit 2011; 17(7): CQ3-6

21 Jun 2011
Rare complication after mitral valve replacement due to infective endocarditis (Part 2)
Elżbieta Abramczuk, Hanna Heretyk-Grabowska, Maciej Grabowski, Marcin Demkow, Adam Witkowski, Marek Konka, Tomasz Hryniewiecki
DOI: 10.12659/MSM.881831
Med Sci Monit 2011; 17(7): CQ3-6
2,100
Editorial
01 December 2025 : Editorial
Editorial: COVID-19 Six Years on and Endemic Omicron Variants of SARS-CoV-2 Under Monitoring Now Include NB.1.8.1 (Nimbus) and XFG (Stratus)DOI: 10.12659/MSM.952217
Med Sci Monit 2025; 31:e952217
In Press
Clinical Research
A Retrospective Study of the Presentation, Imaging Findings, and Outcomes in 195 Patients with Maxillofacia...Med Sci Monit In Press; DOI: 10.12659/MSM.949933
Clinical Research
Enhanced Eustachian Tube Function and Hearing Recovery with Combined Balloon Dilatation and Tympanic Membra...Med Sci Monit In Press; DOI: 10.12659/MSM.948981
Clinical Research
Virtual Pet–Assisted Therapy to Alleviate Symptoms of Long COVID: A Prospective Pilot Interventional StudyMed Sci Monit In Press; DOI: 10.12659/MSM.950105
Clinical Research
Does Concomitant Biceps Tenotomy Affect Shoulder Proprioception and Strength? A Prospective Intra‑Individua...Med Sci Monit In Press; DOI: 10.12659/MSM.950383
Most Viewed Current Articles
17 Jan 2024 : Review article 10,178,526
Vaccination Guidelines for Pregnant Women: Addressing COVID-19 and the Omicron VariantDOI :10.12659/MSM.942799
Med Sci Monit 2024; 30:e942799
13 Nov 2021 : Clinical Research 3,694,265
Acceptance of COVID-19 Vaccination and Its Associated Factors Among Cancer Patients Attending the Oncology ...DOI :10.12659/MSM.932788
Med Sci Monit 2021; 27:e932788
14 Dec 2022 : Clinical Research 2,335,538
Prevalence and Variability of Allergen-Specific Immunoglobulin E in Patients with Elevated Tryptase LevelsDOI :10.12659/MSM.937990
Med Sci Monit 2022; 28:e937990
16 May 2023 : Clinical Research 706,058
Electrophysiological Testing for an Auditory Processing Disorder and Reading Performance in 54 School Stude...DOI :10.12659/MSM.940387
Med Sci Monit 2023; 29:e940387
