Current Volume 17(5) 2011 (24)

02 May 2011
Bloodstream infections and mortality-related factors in febrile neutropenic cancer patients
Elif Sahin Horasan, Gulden Ersoz
DOI: 10.12659/MSM.881773
Med Sci Monit 2011; 17(5): CR304-309

02 May 2011
Bloodstream infections and mortality-related factors in febrile neutropenic cancer patients
Elif Sahin Horasan, Gulden Ersoz, Anil Tombak, Naci Tiftik, Ali Kaya
DOI: 10.12659/MSM.881773
Med Sci Monit 2011; 17(5): CR304-309
2,572

24 Apr 2011
Usefulness of 99mTc-ECD brain SPECT with voxel-based analysis in evaluation of perfusion changes early after carotid endarterectomy
Anna Nocuń, Marek Wilczyński
DOI: 10.12659/MSM.881771
Med Sci Monit 2011; 17(5): CR297-303

24 Apr 2011
Usefulness of 99mTc-ECD brain SPECT with voxel-based analysis in evaluation of perfusion changes early after carotid endarterectomy
Anna Nocuń, Marek Wilczyński, Jacek Wroński, Beata Chrapko
DOI: 10.12659/MSM.881771
Med Sci Monit 2011; 17(5): CR297-303
2,045

24 Apr 2011
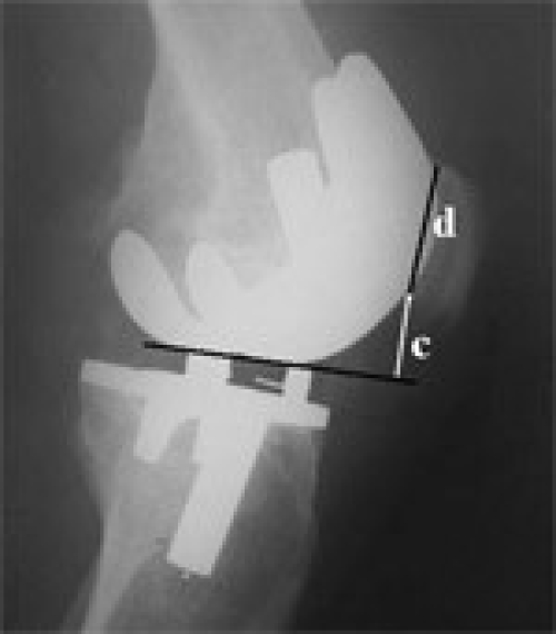
Pseudo-Patella Baja after total knee arthroplasty
Seyyed Morteza Kazemi, Laleh Daftari Besheli
DOI: 10.12659/MSM.881770
Med Sci Monit 2011; 17(5): CR292-296

24 Apr 2011
Pseudo-Patella Baja after total knee arthroplasty
Seyyed Morteza Kazemi, Laleh Daftari Besheli, Alireza Eajazi, Mohammad Reza Miniator Sajadi, Mohammad Ali Okhovatpoor, Ramin Farhang Zanganeh, Reza Minaei
DOI: 10.12659/MSM.881770
Med Sci Monit 2011; 17(5): CR292-296
3,229

24 Apr 2011
Inhibition of peripheral blood neutrophil oxidative burst in periodontitis patients with a homeopathic medication Traumeel S
Juozas Žilinskas, Jonas Žekonis
DOI: 10.12659/MSM.881769
Med Sci Monit 2011; 17(5): CR284-291

24 Apr 2011
Inhibition of peripheral blood neutrophil oxidative burst in periodontitis patients with a homeopathic medication Traumeel S
Juozas Žilinskas, Jonas Žekonis, Gediminas Žekonis, Renata Šadzevičienė, Marija Sapragonienė, Justina Navickaitė, Ingrida Barzdžiukaitė
DOI: 10.12659/MSM.881769
Med Sci Monit 2011; 17(5): CR284-291
3,145

24 Apr 2011
Prognostic value of duration of untreated psychosis in long-term outcome of schizophrenia
Andrzej Cechnicki, Igor Hanuszkiewicz
DOI: 10.12659/MSM.881768
Med Sci Monit 2011; 17(5): CR277-283

24 Apr 2011
Prognostic value of duration of untreated psychosis in long-term outcome of schizophrenia
Andrzej Cechnicki, Igor Hanuszkiewicz, Romuald Polczyk, Anna Bielańska
DOI: 10.12659/MSM.881768
Med Sci Monit 2011; 17(5): CR277-283
2,215

24 Apr 2011
Anxiety, depression and methods of stress coping in patients with nicotine dependence syndrome
Tadeusz Pietras, Andrzej Witusik
DOI: 10.12659/MSM.881767
Med Sci Monit 2011; 17(5): CR272-276

24 Apr 2011
Anxiety, depression and methods of stress coping in patients with nicotine dependence syndrome
Tadeusz Pietras, Andrzej Witusik, Michał Panek, Janusz Szemraj, Paweł Górski
DOI: 10.12659/MSM.881767
Med Sci Monit 2011; 17(5): CR272-276
3,071

24 Apr 2011
Impaired fetal adrenal function in intrahepatic cholestasis of pregnancy
Chunfang Wang, Xiaojun Chen
DOI: 10.12659/MSM.881766
Med Sci Monit 2011; 17(5): CR265-271

24 Apr 2011
Impaired fetal adrenal function in intrahepatic cholestasis of pregnancy
Chunfang Wang, Xiaojun Chen, Shu-Feng Zhou, Xiaotian Li
DOI: 10.12659/MSM.881766
Med Sci Monit 2011; 17(5): CR265-271
2,455

24 Apr 2011
Comprehensive behavioral analysis of patients with a major depressive episode
Helfried Rothuber, Bernhard Mitterauer
DOI: 10.12659/MSM.881765
Med Sci Monit 2011; 17(5): CR259-264

24 Apr 2011
Comprehensive behavioral analysis of patients with a major depressive episode
Helfried Rothuber, Bernhard Mitterauer
DOI: 10.12659/MSM.881765
Med Sci Monit 2011; 17(5): CR259-264
2,053

24 Apr 2011
Palliative first-line therapy with weekly high-dose 5-fluorouracil and sodium folinic acid as a 24-hour infusion (AIO regimen) combined with weekly irinotecan in patients with metastatic adenocarcinoma of the stomach or esophagogastric junction followed by secondary metastatic resection after downsizing
Kathrin Koucky, Axel Wein
DOI: 10.12659/MSM.881764
Med Sci Monit 2011; 17(5): CR248-258

24 Apr 2011
Palliative first-line therapy with weekly high-dose 5-fluorouracil and sodium folinic acid as a 24-hour infusion (AIO regimen) combined with weekly irinotecan in patients with metastatic adenocarcinoma of the stomach or esophagogastric junction followed by secondary metastatic resection after downsizing
Kathrin Koucky, Axel Wein, Peter C. Konturek, Heinz Albrecht, Udo Reulbach, Gudrun Mannlein, Kerstin Wolff, Nicola Ostermeier, Dagmar Busse, Henriette Golcher, Claus Schildberg, Rolf Janka, Werner Hohenberger, Eckhart G. Hahn, Jurgen Siebler, Markus F. Neurath, Frank Boxberger
DOI: 10.12659/MSM.881764
Med Sci Monit 2011; 17(5): CR248-258
2,355

24 Apr 2011
Identification of cytosolic phosphodiesterases in the erythrocyte: A possible role for PDE5
Shaquria P. Adderley, Kelly M. Thuet
DOI: 10.12659/MSM.881763
Med Sci Monit 2011; 17(5): CR241-247

24 Apr 2011
Identification of cytosolic phosphodiesterases in the erythrocyte: A possible role for PDE5
Shaquria P. Adderley, Kelly M. Thuet, Meera Sridharan, Elizabeth A. Bowles, Alan H. Stephenson, Mary L. Ellsworth, Randy S. Sprague
DOI: 10.12659/MSM.881763
Med Sci Monit 2011; 17(5): CR241-247
2,185

24 Apr 2011
Influence of pretreatment with H2 receptor antagonists on the cure rates of Helicobacter pylori eradication
Chikako Tokoro, Masahiko Inamori
DOI: 10.12659/MSM.881762
Med Sci Monit 2011; 17(5): CR235-240

24 Apr 2011
Influence of pretreatment with H2 receptor antagonists on the cure rates of Helicobacter pylori eradication
Chikako Tokoro, Masahiko Inamori, Tomoko Koide, Yusuke Sekino, Hiroshi Iida, Yasunari Sakamoto, Hiroki Endo, Kunihiro Hosono, Hirokazu Takahashi, Masato Yoneda, Hiroaki Yasuzaki, Masami Ogawa, Yasunobu Abe, Kensuke Kubota, Satoru Saito, Ichiro Kawana, Atsushi Nakajima, Shin Maeda, Reikei Matsuda, Daisuke Takahashi
DOI: 10.12659/MSM.881762
Med Sci Monit 2011; 17(5): CR235-240
2,317

24 Apr 2011
Phenotypic detection of broad-spectrum beta-lactamases in microbiological practice
Miroslava Htoutou Sedlakova, Vojtech Hanulik
DOI: 10.12659/MSM.881761
Med Sci Monit 2011; 17(5): BR147-152

24 Apr 2011
Phenotypic detection of broad-spectrum beta-lactamases in microbiological practice
Miroslava Htoutou Sedlakova, Vojtech Hanulik, Magdalena Chroma, Kristyna Hricova, Milan Kolar, Reiner Schaumann, Arne C. Rodloff
DOI: 10.12659/MSM.881761
Med Sci Monit 2011; 17(5): BR147-152
2,312

24 Apr 2011
The inhibitory effect of Zingiber corallinum Hance essential oil on drug-resistant bacteria and evaluation of its acute toxicity
Ce Yang, Lin-Lin Zhou
DOI: 10.12659/MSM.881760
Med Sci Monit 2011; 17(5): BR139-146

24 Apr 2011
The inhibitory effect of Zingiber corallinum Hance essential oil on drug-resistant bacteria and evaluation of its acute toxicity
Ce Yang, Lin-Lin Zhou, Hai-Yan Wang, Su-Na Huang, Qing Liu, Shi-Lin Hu, Ting-Rong Li, Yan-Bing Chen, Jian-Xin Jiang
DOI: 10.12659/MSM.881760
Med Sci Monit 2011; 17(5): BR139-146
2,586

24 Apr 2011
Th17 response is augmented in OVA-induced asthmatic mice exposed to HDM
Feng Lan, Kai Liu
DOI: 10.12659/MSM.881759
Med Sci Monit 2011; 17(5): BR132-138

24 Apr 2011
Th17 response is augmented in OVA-induced asthmatic mice exposed to HDM
Feng Lan, Kai Liu, Jie Zhang, Yanyu Qi, Kai Li, Ping Lin
DOI: 10.12659/MSM.881759
Med Sci Monit 2011; 17(5): BR132-138
2,849

24 Apr 2011
Experimental study of the mechanism of tolerance induction in dexamethasone-treated dendritic cells
Yu-bo Gong, Yi-fei Huang
DOI: 10.12659/MSM.881758
Med Sci Monit 2011; 17(5): BR125-131

24 Apr 2011
Experimental study of the mechanism of tolerance induction in dexamethasone-treated dendritic cells
Yu-bo Gong, Yi-fei Huang, Yan Li, Gen-cheng Han, Yu-rong Li, Da-jiang Wang, Gai-ping Du, Ji-feng Yu, Jing Song
DOI: 10.12659/MSM.881758
Med Sci Monit 2011; 17(5): BR125-131
2,990

24 Apr 2011
Current and future assays for identifying recent HIV infections at the population level
Joanna Smoleń-Dzirba, Tomasz J. Wąsik
DOI: 10.12659/MSM.881757
Med Sci Monit 2011; 17(5): RA124-133

24 Apr 2011
Current and future assays for identifying recent HIV infections at the population level
Joanna Smoleń-Dzirba, Tomasz J. Wąsik
DOI: 10.12659/MSM.881757
Med Sci Monit 2011; 17(5): RA124-133
2,409

24 Apr 2011
Current medical research with the application of coupled techniques with mass spectrometry
Joanna Kałużna-Czaplińska,
DOI: 10.12659/MSM.881756
Med Sci Monit 2011; 17(5): RA117-123

24 Apr 2011
Current medical research with the application of coupled techniques with mass spectrometry
Joanna Kałużna-Czaplińska
DOI: 10.12659/MSM.881756
Med Sci Monit 2011; 17(5): RA117-123
2,942

24 Apr 2011
Management of temporomandibular ankylosis – compromise or individualization – a literature review
Katarzyna Sporniak-Tutak, Joanna Janiszewska-Olszowska
DOI: 10.12659/MSM.881755
Med Sci Monit 2011; 17(5): RA111-116

24 Apr 2011
Management of temporomandibular ankylosis – compromise or individualization – a literature review
Katarzyna Sporniak-Tutak, Joanna Janiszewska-Olszowska, Robert Kowalczyk
DOI: 10.12659/MSM.881755
Med Sci Monit 2011; 17(5): RA111-116
4,593

24 Apr 2011
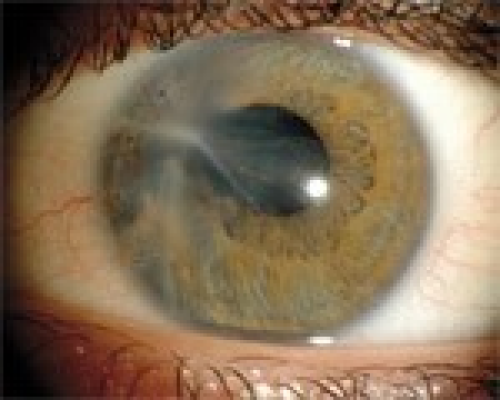
Needle aspiration with surgical excision of an epithelial posttraumatic iris cyst – a case report
Mariola Dorecka, Joanna Miniewicz-Kurkowska
DOI: 10.12659/MSM.881754
Med Sci Monit 2011; 17(5): CS60-62

24 Apr 2011
Needle aspiration with surgical excision of an epithelial posttraumatic iris cyst – a case report
Mariola Dorecka, Joanna Miniewicz-Kurkowska, Katarzyna Michalska-Małecka, Bożena Świątek, Wanda Romaniuk
DOI: 10.12659/MSM.881754
Med Sci Monit 2011; 17(5): CS60-62
2,187

24 Apr 2011
Use of fondaparinux in a pregnant woman with pulmonary embolism and heparin-induced thrombocytopenia
Michał Ciurzyński, Krzysztof Jankowski
DOI: 10.12659/MSM.881753
Med Sci Monit 2011; 17(5): CS56-59

24 Apr 2011
Use of fondaparinux in a pregnant woman with pulmonary embolism and heparin-induced thrombocytopenia
Michał Ciurzyński, Krzysztof Jankowski, Bronisława Pietrzak, Natalia Mazanowska, Ewa Rzewuska, Robert Kowalik, Piotr Pruszczyk
DOI: 10.12659/MSM.881753
Med Sci Monit 2011; 17(5): CS56-59
2,586

24 Apr 2011
Successful operative management of an intact second trimester abdominal pregnancy with additional preoperative selective catheter embolization and postoperative methotrexate therapy
Csaba Demendi, Zoltán Langmár
DOI: 10.12659/MSM.881752
Med Sci Monit 2011; 17(5): CS53-55

24 Apr 2011
Successful operative management of an intact second trimester abdominal pregnancy with additional preoperative selective catheter embolization and postoperative methotrexate therapy
Csaba Demendi, Zoltán Langmár, Ferenc Bánhidy, Balázs Börzsönyi, Éva Csatlós, József Gábor Joó
DOI: 10.12659/MSM.881752
Med Sci Monit 2011; 17(5): CS53-55
2,282

24 Apr 2011
Candidemia in children after complex congenital heart defects surgery treated with caspofungin – our own experience and a review of literature
Radoslaw Jaworski, Ninela Irga
DOI: 10.12659/MSM.881751
Med Sci Monit 2011; 17(5): PH35-39

24 Apr 2011
Candidemia in children after complex congenital heart defects surgery treated with caspofungin – our own experience and a review of literature
Radoslaw Jaworski, Ninela Irga, Ireneusz Haponiuk, Maciej Chojnicki, Elzbieta Arlukowicz, Mariusz Steffek, Mariusz Sroka, Katarzyna Gierat-Haponiuk, Jacek Juscinski, Lucyna Palkowska, Aneta Sendrowska, Wojciech Kosiak
DOI: 10.12659/MSM.881751
Med Sci Monit 2011; 17(5): PH35-39
2,414

24 Apr 2011
Nosocomial infections and risk factors in the intensive care unit of a teaching and research hospital: A prospecive cohort study
Oznur Ak, Ayse Batırel
DOI: 10.12659/MSM.881750
Med Sci Monit 2011; 17(5): PH29-34

24 Apr 2011
Nosocomial infections and risk factors in the intensive care unit of a teaching and research hospital: A prospecive cohort study
Oznur Ak, Ayse Batırel, Serdar Ozer, Serhan Colakoglu
DOI: 10.12659/MSM.881750
Med Sci Monit 2011; 17(5): PH29-34
4,396

24 Apr 2011
SIRT1 as a potential therapeutic target for treatment of nonalcoholic fatty liver disease
Yasar Colak, Oguzhan Ozturk
DOI: 10.12659/MSM.881749
Med Sci Monit 2011; 17(5): HY5-9

24 Apr 2011
SIRT1 as a potential therapeutic target for treatment of nonalcoholic fatty liver disease
Yasar Colak, Oguzhan Ozturk, Ebubekir Senates, Ilyas Tuncer, Elif Yorulmaz, Gupse Adali, Levent Doganay, Feruze Yilmaz Enc
DOI: 10.12659/MSM.881749
Med Sci Monit 2011; 17(5): HY5-9
5,182
Editorial
01 December 2025 : Editorial
Editorial: COVID-19 Six Years on and Endemic Omicron Variants of SARS-CoV-2 Under Monitoring Now Include NB.1.8.1 (Nimbus) and XFG (Stratus)DOI: 10.12659/MSM.952217
Med Sci Monit 2025; 31:e952217
In Press
Clinical Research
A Retrospective Study of the Presentation, Imaging Findings, and Outcomes in 195 Patients with Maxillofacia...Med Sci Monit In Press; DOI: 10.12659/MSM.949933
Clinical Research
Enhanced Eustachian Tube Function and Hearing Recovery with Combined Balloon Dilatation and Tympanic Membra...Med Sci Monit In Press; DOI: 10.12659/MSM.948981
Clinical Research
Virtual Pet–Assisted Therapy to Alleviate Symptoms of Long COVID: A Prospective Pilot Interventional StudyMed Sci Monit In Press; DOI: 10.12659/MSM.950105
Clinical Research
Does Concomitant Biceps Tenotomy Affect Shoulder Proprioception and Strength? A Prospective Intra‑Individua...Med Sci Monit In Press; DOI: 10.12659/MSM.950383
Most Viewed Current Articles
17 Jan 2024 : Review article 10,178,526
Vaccination Guidelines for Pregnant Women: Addressing COVID-19 and the Omicron VariantDOI :10.12659/MSM.942799
Med Sci Monit 2024; 30:e942799
13 Nov 2021 : Clinical Research 3,694,265
Acceptance of COVID-19 Vaccination and Its Associated Factors Among Cancer Patients Attending the Oncology ...DOI :10.12659/MSM.932788
Med Sci Monit 2021; 27:e932788
14 Dec 2022 : Clinical Research 2,335,538
Prevalence and Variability of Allergen-Specific Immunoglobulin E in Patients with Elevated Tryptase LevelsDOI :10.12659/MSM.937990
Med Sci Monit 2022; 28:e937990
16 May 2023 : Clinical Research 706,058
Electrophysiological Testing for an Auditory Processing Disorder and Reading Performance in 54 School Stude...DOI :10.12659/MSM.940387
Med Sci Monit 2023; 29:e940387
