Current Volume 17(4) 2011 (24)

01 Apr 2011
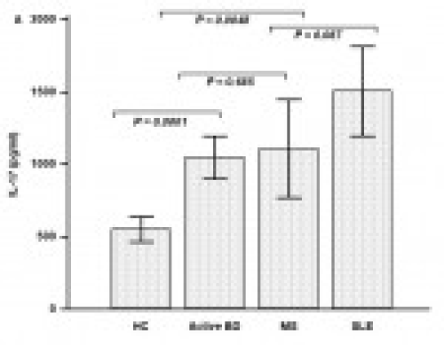
Expression of Th-17 and RORgammat mRNA in Behçet’s Disease
Kamel Hamzaoui, Eya Bouali
DOI: 10.12659/MSM.881720
Med Sci Monit 2011; 17(4): CR227-234

01 Apr 2011
Expression of Th-17 and RORgammat mRNA in Behçet’s Disease
Kamel Hamzaoui, Eya Bouali, Imed Ghorbel, Monia Khanfir, Habib Houman, Agnes Hamzaoui
DOI: 10.12659/MSM.881720
Med Sci Monit 2011; 17(4): CR227-234
3,142

01 Apr 2011
Sulodexide reduces senescence-related changes in human endothelial cells
Katarzyna Suminska-Jasinska, Alicja Polubinska
DOI: 10.12659/MSM.881719
Med Sci Monit 2011; 17(4): CR222-226

01 Apr 2011
Sulodexide reduces senescence-related changes in human endothelial cells
Katarzyna Suminska-Jasinska, Alicja Polubinska, Marta Ciszewicz, Adam Mikstacki, Artur Antoniewicz, Andrzej Breborowicz
DOI: 10.12659/MSM.881719
Med Sci Monit 2011; 17(4): CR222-226
2,844

01 Apr 2011
Visuospatial deficits of dyslexic children
Malgorzata Lipowska, Ewa Czaplewska
DOI: 10.12659/MSM.881718
Med Sci Monit 2011; 17(4): CR216-221

01 Apr 2011
Visuospatial deficits of dyslexic children
Malgorzata Lipowska, Ewa Czaplewska, Anna Wysocka
DOI: 10.12659/MSM.881718
Med Sci Monit 2011; 17(4): CR216-221
2,999

01 Apr 2011
Circadian variation of acute st segment elevation myocardial infarction by anatomic location in a Turkish cohort
Murat Celik, Turgay Celik
DOI: 10.12659/MSM.881717
Med Sci Monit 2011; 17(4): CR210-215

01 Apr 2011
Circadian variation of acute st segment elevation myocardial infarction by anatomic location in a Turkish cohort
Murat Celik, Turgay Celik, Atila Iyısoy, Uygar Cagdas Yuksel, Baris Bugan, Sait Demırkol, Kutsi Kabul, Yalcin Gokoglan, Selim Kılıc
DOI: 10.12659/MSM.881717
Med Sci Monit 2011; 17(4): CR210-215
2,314

01 Apr 2011
Drug-resistant epilepsia and fulminant valproate liver toxicity. Alpers-Huttenlocher syndrome in two children confirmed post mortem by identification of p.W748S mutation in POLG gene
Ewa Pronicka, Anna Weglewska-Jurkiewicz
DOI: 10.12659/MSM.881716
Med Sci Monit 2011; 17(4): CR203-209

01 Apr 2011
Drug-resistant epilepsia and fulminant valproate liver toxicity. Alpers-Huttenlocher syndrome in two children confirmed post mortem by identification of p.W748S mutation in POLG gene
Ewa Pronicka, Anna Weglewska-Jurkiewicz, Maciej Pronicki, Jolanta Sykut-Cegielska, Pawel Kowalski, Magdalena Pajdowska, Irena Jankowska, Katarzyna Kotulska, Piotr Kalicinski, Joanna Jakobkiewicz-Banecka, Grzegorz Wegrzyn
DOI: 10.12659/MSM.881716
Med Sci Monit 2011; 17(4): CR203-209
2,770

01 Apr 2011
Two-year follow-up of Sanfilippo Disease patients treated with a genistein-rich isoflavone extract: Assessment of effects on cognitive functions and general status of patients
Ewa Piotrowska, Joanna Jakobkiewicz-Banecka
DOI: 10.12659/MSM.881715
Med Sci Monit 2011; 17(4): CR196-202

01 Apr 2011
Two-year follow-up of Sanfilippo Disease patients treated with a genistein-rich isoflavone extract: Assessment of effects on cognitive functions and general status of patients
Ewa Piotrowska, Joanna Jakobkiewicz-Banecka, Agnieszka Maryniak, Anna Tylki-Szymanska, Ewa Puk, Anna Liberek, Alicja Wegrzyn, Barbara Czartoryska, Monika Slominska-Wojewodzka, Grzegorz Wegrzyn
DOI: 10.12659/MSM.881715
Med Sci Monit 2011; 17(4): CR196-202
3,013

01 Apr 2011
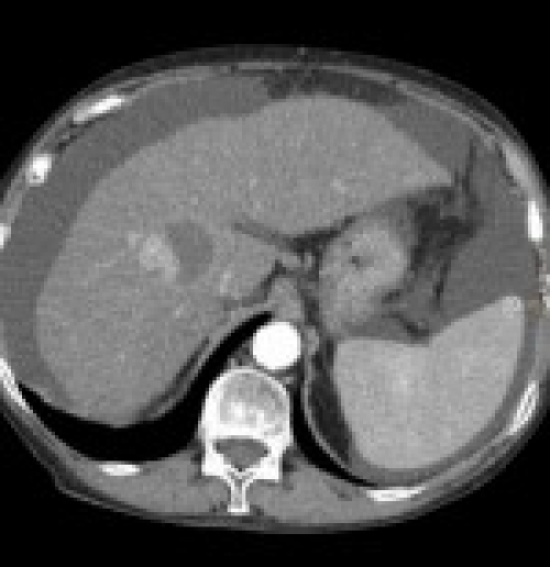
Transarterial Chemoembolization of Child-A hepatocellular carcinoma: Drug-eluting bead TACE (DEB TACE) vs. TACE with Cisplatin/Lipiodol (cTACE)
Philipp Wiggermann, Dominik Sieron
DOI: 10.12659/MSM.881714
Med Sci Monit 2011; 17(4): CR189-195

01 Apr 2011
Transarterial Chemoembolization of Child-A hepatocellular carcinoma: Drug-eluting bead TACE (DEB TACE) vs. TACE with Cisplatin/Lipiodol (cTACE)
Philipp Wiggermann, Dominik Sieron, Christiane Brosche, Thomas Brauer, Fabian Scheer, Ivan Platzek, Wojciech Wawrzynek, Christian Stroszczynski
DOI: 10.12659/MSM.881714
Med Sci Monit 2011; 17(4): CR189-195
3,710

01 Apr 2011
Novel Influenza A (H1N1) infection vs. common Influenza-Like Illness: A prospective study
Evangelos Voudoukis, Apostolos Pappas
DOI: 10.12659/MSM.881713
Med Sci Monit 2011; 17(4): CR185-188

01 Apr 2011
Novel Influenza A (H1N1) infection vs. common Influenza-Like Illness: A prospective study
Evangelos Voudoukis, Apostolos Pappas, Athanasios Panoutsopoulos, Konstantinos Xynos, Fotini Rozi, Konstantina Giannakopoulou, Maria Paulaki, Euthimia Stofa, Charalampos Seretis, Emmanouil Lagoudianakis, George Andrianopoulos
DOI: 10.12659/MSM.881713
Med Sci Monit 2011; 17(4): CR185-188
2,366

01 Apr 2011
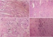
Activated and inactivated PPARs-gamma modulate experimentally induced colitis in rats
Krzysztof Celinski, Tomasz Dworzanski
DOI: 10.12659/MSM.881712
Med Sci Monit 2011; 17(4): BR116-124

01 Apr 2011
Activated and inactivated PPARs-gamma modulate experimentally induced colitis in rats
Krzysztof Celinski, Tomasz Dworzanski, Agnieszka Korolczuk, Maria Slomka, Sebastian Radej, Halina Cichoz-Lach, Agnieszka Madro
DOI: 10.12659/MSM.881712
Med Sci Monit 2011; 17(4): BR116-124
2,209

01 Apr 2011
Protective effect of bilberry (Vaccinium myrtillus) against doxorubicin-induced oxidative cardiotoxicity in rats
Osama M. Ashour, Ahmed A. Elberry
DOI: 10.12659/MSM.881711
Med Sci Monit 2011; 17(4): BR110-115

01 Apr 2011
Protective effect of bilberry (Vaccinium myrtillus) against doxorubicin-induced oxidative cardiotoxicity in rats
Osama M. Ashour, Ahmed A. Elberry, Abdulrahman Alahdal, Ameen M. Al Mohamadi, Ayman A. Nagy, Ashraf B. Abdel-Naim, Essam A. Abdel-Sattar, Ahmed M. Mohamadin
DOI: 10.12659/MSM.881711
Med Sci Monit 2011; 17(4): BR110-115
2,493

01 Apr 2011
Decreased expression of c-kit and telomerase in a rat model of chronic endometrial ischemia
JianGuo Hu, Rui Yuan
DOI: 10.12659/MSM.881710
Med Sci Monit 2011; 17(4): BR103-109

01 Apr 2011
Decreased expression of c-kit and telomerase in a rat model of chronic endometrial ischemia
JianGuo Hu, Rui Yuan
DOI: 10.12659/MSM.881710
Med Sci Monit 2011; 17(4): BR103-109
2,428

01 Apr 2011
Toll-like receptor and its roles in myocardial ischemic/reperfusion injury
Yu Fang, Jianguo Hu
DOI: 10.12659/MSM.881709
Med Sci Monit 2011; 17(4): RA100-109

01 Apr 2011
Toll-like receptor and its roles in myocardial ischemic/reperfusion injury
Yu Fang, Jianguo Hu
DOI: 10.12659/MSM.881709
Med Sci Monit 2011; 17(4): RA100-109
4,128

01 Apr 2011
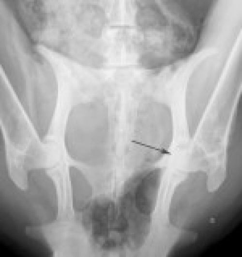
An animal model of femoral head osteonecrosis induced by a single injection of absolute alcohol: An experimental study
Zhen-Hong Zhu, You-Shui Gao
DOI: 10.12659/MSM.881708
Med Sci Monit 2011; 17(4): BR97-102

01 Apr 2011
An animal model of femoral head osteonecrosis induced by a single injection of absolute alcohol: An experimental study
Zhen-Hong Zhu, You-Shui Gao, Shi-Hua Luo, Bing-Fang Zeng, Chang-Qing Zhang
DOI: 10.12659/MSM.881708
Med Sci Monit 2011; 17(4): BR97-102
2,600

01 Apr 2011
Is abnormal eutopic endometrium the cause of endometriosis? The role of eutopic endometrium in pathogenesis of endometriosis
Haiyuan Liu, Jing He Lang
DOI: 10.12659/MSM.881707
Med Sci Monit 2011; 17(4): RA92-99

01 Apr 2011
Is abnormal eutopic endometrium the cause of endometriosis? The role of eutopic endometrium in pathogenesis of endometriosis
Haiyuan Liu, Jing He Lang
DOI: 10.12659/MSM.881707
Med Sci Monit 2011; 17(4): RA92-99
4,665

01 Apr 2011
Mitochondrial dysfunction in long-term neuronal cultures mimics changes with aging
Weiguo Dong, Shaowu Cheng
DOI: 10.12659/MSM.881706
Med Sci Monit 2011; 17(4): BR91-96

01 Apr 2011
Mitochondrial dysfunction in long-term neuronal cultures mimics changes with aging
Weiguo Dong, Shaowu Cheng, Fang Huang, Wenguo Fan, Yue Chen, Hong Shi, Hongwen He
DOI: 10.12659/MSM.881706
Med Sci Monit 2011; 17(4): BR91-96
3,013

01 Apr 2011
Hyperthyroidism
Mala Sharma, Wilbert S. Aronow
DOI: 10.12659/MSM.881705
Med Sci Monit 2011; 17(4): RA85-91

01 Apr 2011
Hyperthyroidism
Mala Sharma, Wilbert S. Aronow, Laxesh Patel, Kaushang Gandhi, Harit Desai
DOI: 10.12659/MSM.881705
Med Sci Monit 2011; 17(4): RA85-91
5,197

01 Apr 2011
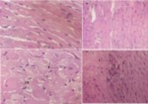
Successful treatment of a patient with an extraordinarily large deep burn
Heng-yu Li, Shi-chu Xiao
DOI: 10.12659/MSM.881704
Med Sci Monit 2011; 17(4): CS47-51

01 Apr 2011
Successful treatment of a patient with an extraordinarily large deep burn
Heng-yu Li, Shi-chu Xiao, Shi-hui Zhu, Guang-yi Wang, Guang-qing Wang, Shi-zhao Ji, Zhao-fan Xia
DOI: 10.12659/MSM.881704
Med Sci Monit 2011; 17(4): CS47-51
2,590

01 Apr 2011
Unusual recurrence of trigeminal neuralgia after microvascular decompression by muscle interposal
Giovanni Grasso, Franceso Meli
DOI: 10.12659/MSM.881703
Med Sci Monit 2011; 17(4): CS43-46

01 Apr 2011
Unusual recurrence of trigeminal neuralgia after microvascular decompression by muscle interposal
Giovanni Grasso, Franceso Meli, Rosario Maugeri, Francesco Certo, Gabriele Costantino, Filippo Giambartino, Domenico G. Iacopino
DOI: 10.12659/MSM.881703
Med Sci Monit 2011; 17(4): CS43-46
2,384

01 Apr 2011
Conservative treatment of an aortoesophagial fistula after endovascular stent grafting for a thoracic aortic aneurysm
Kazuhiro Kasai, Akira Ushio
DOI: 10.12659/MSM.881702
Med Sci Monit 2011; 17(4): CS39-42

01 Apr 2011
Conservative treatment of an aortoesophagial fistula after endovascular stent grafting for a thoracic aortic aneurysm
Kazuhiro Kasai, Akira Ushio, Yoko Tamura, Kei Sawara, Yukiho Kasai, Kanta Oikawa, Masaki Endo, Yasuhiro Takikawa, Kazuyuki Suzuki
DOI: 10.12659/MSM.881702
Med Sci Monit 2011; 17(4): CS39-42
2,338

01 Apr 2011
Limitations of the of the oscillometric method for blood pressure measurements in dialyzed patients
Marek Czarkowski, Monika Staszkow
DOI: 10.12659/MSM.881701
Med Sci Monit 2011; 17(4): MT35-40

01 Apr 2011
Limitations of the of the oscillometric method for blood pressure measurements in dialyzed patients
Marek Czarkowski, Monika Staszkow, Kacper Kostyra, Zuhier Shebani, Krzysztof Rozanowski, Joanna Matuszkiewicz-Rowinska, Stanislaw Niemczyk
DOI: 10.12659/MSM.881701
Med Sci Monit 2011; 17(4): MT35-40
2,536

01 Apr 2011
Effect of hormone replacement therapy (HRT) on periodontal status of postmenopausal women
Giuseppe Pizzo, Rosario Guiglia
DOI: 10.12659/MSM.881700
Med Sci Monit 2011; 17(4): PH23-27

01 Apr 2011
Effect of hormone replacement therapy (HRT) on periodontal status of postmenopausal women
Giuseppe Pizzo, Rosario Guiglia, Maria E. Licata, Ignazio Pizzo, Joan M. Davis, Giovanna Giuliana
DOI: 10.12659/MSM.881700
Med Sci Monit 2011; 17(4): PH23-27
2,978

01 Apr 2011
Increased plasma peroxides as a marker of oxidative stress in myalgic encephalomyelitis/chronic fatigue syndrome (ME/CFS)
Michael Maes, Marta Kubera
DOI: 10.12659/MSM.881699
Med Sci Monit 2011; 17(4): SC11-15

01 Apr 2011
Increased plasma peroxides as a marker of oxidative stress in myalgic encephalomyelitis/chronic fatigue syndrome (ME/CFS)
Michael Maes, Marta Kubera, Marc Uytterhoeven, Nicolas Vrydags, Eugene Bosmans
DOI: 10.12659/MSM.881699
Med Sci Monit 2011; 17(4): SC11-15
3,652

01 Apr 2011
Access to biologic treatment for rheumatoid arthritis in Central and Eastern European (CEE) countries
Ewa Orlewska, Ioan Ancuta
DOI: 10.12659/MSM.881697
Med Sci Monit 2011; 17(4): SR1-13

01 Apr 2011
Access to biologic treatment for rheumatoid arthritis in Central and Eastern European (CEE) countries
Ewa Orlewska, Ioan Ancuta, Branimir Anic, Catalin Codrenau, Nemanja Damjanov, Predrag Djukic, Ruxandra Ionescu, Lubomir Marinchev, Evgeny L. Nasonov, Tonu Peets, Sonja Praprotnik, Rasho Rashkov, Jana Skoupa, Witold Tlustochowicz, Malgorzata Tlustochowicz, Matija Tomsic, Tiina Veldi, Jelena Vojinovic, Piotr Wiland
DOI: 10.12659/MSM.881697
Med Sci Monit 2011; 17(4): SR1-13
3,269

01 Apr 2011
A possible prevention strategy of radiation pneumonitis: Combine radiotherapy with aerosol inhalation of hydrogen-rich solution
Yunhai Chuai, Luqian Zhao
DOI: 10.12659/MSM.881698
Med Sci Monit 2011; 17(4): HY1-4

01 Apr 2011
A possible prevention strategy of radiation pneumonitis: Combine radiotherapy with aerosol inhalation of hydrogen-rich solution
Yunhai Chuai, Luqian Zhao, Jin Ni, Ding Sun, Jianguo Cui, Bailong Li, Liren Qian, Fu Gao, Jianming Cai
DOI: 10.12659/MSM.881698
Med Sci Monit 2011; 17(4): HY1-4
2,921
Editorial
01 December 2025 : Editorial
Editorial: COVID-19 Six Years on and Endemic Omicron Variants of SARS-CoV-2 Under Monitoring Now Include NB.1.8.1 (Nimbus) and XFG (Stratus)DOI: 10.12659/MSM.952217
Med Sci Monit 2025; 31:e952217
In Press
Clinical Research
A Retrospective Study of the Presentation, Imaging Findings, and Outcomes in 195 Patients with Maxillofacia...Med Sci Monit In Press; DOI: 10.12659/MSM.949933
Clinical Research
Enhanced Eustachian Tube Function and Hearing Recovery with Combined Balloon Dilatation and Tympanic Membra...Med Sci Monit In Press; DOI: 10.12659/MSM.948981
Clinical Research
Virtual Pet–Assisted Therapy to Alleviate Symptoms of Long COVID: A Prospective Pilot Interventional StudyMed Sci Monit In Press; DOI: 10.12659/MSM.950105
Clinical Research
Does Concomitant Biceps Tenotomy Affect Shoulder Proprioception and Strength? A Prospective Intra‑Individua...Med Sci Monit In Press; DOI: 10.12659/MSM.950383
Most Viewed Current Articles
17 Jan 2024 : Review article 10,178,526
Vaccination Guidelines for Pregnant Women: Addressing COVID-19 and the Omicron VariantDOI :10.12659/MSM.942799
Med Sci Monit 2024; 30:e942799
13 Nov 2021 : Clinical Research 3,694,265
Acceptance of COVID-19 Vaccination and Its Associated Factors Among Cancer Patients Attending the Oncology ...DOI :10.12659/MSM.932788
Med Sci Monit 2021; 27:e932788
14 Dec 2022 : Clinical Research 2,335,538
Prevalence and Variability of Allergen-Specific Immunoglobulin E in Patients with Elevated Tryptase LevelsDOI :10.12659/MSM.937990
Med Sci Monit 2022; 28:e937990
16 May 2023 : Clinical Research 706,058
Electrophysiological Testing for an Auditory Processing Disorder and Reading Performance in 54 School Stude...DOI :10.12659/MSM.940387
Med Sci Monit 2023; 29:e940387
