Current Volume 16(7) 2010 (23)

25 Jun 2010
Screening protocols for the prevention of occupational noise-induced hearing loss: The role of conventional and extended high frequency audiometry may vary according to the years of employment
Maria Riga, George Korres
DOI: 10.12659/MSM.880932
Med Sci Monit 2010; 16(7): CR352-356

25 Jun 2010
Screening protocols for the prevention of occupational noise-induced hearing loss: The role of conventional and extended high frequency audiometry may vary according to the years of employment
Maria Riga, George Korres, Dimitrios Balatsouras, Stavros Korres
DOI: 10.12659/MSM.880932
Med Sci Monit 2010; 16(7): CR352-356
2,547

25 Jun 2010
Thrombomodulin and antibeta2-glycoprotein I in stroke in children
Ewa Pilarska, Malgorzata Lemka
Med Sci Monit 2010; 16(7): CR348-351 :: ID: 880931

25 Jun 2010
Thrombomodulin and antibeta2-glycoprotein I in stroke in children
Ewa Pilarska, Malgorzata Lemka, Alicja Bakowska
Med Sci Monit 2010; 16(7): CR348-351 :: ID: 880931
1,647

25 Jun 2010
The behaviour of bone mineral density and bone metabolism index in young and menopausal women with the consideration of body mass index
Wieslaw Tryniszewski, Mariusz Gadzicki
Med Sci Monit 2010; 16(7): CR342-347 :: ID: 880930

25 Jun 2010
The behaviour of bone mineral density and bone metabolism index in young and menopausal women with the consideration of body mass index
Wieslaw Tryniszewski, Mariusz Gadzicki, Jacek Rysz, Maciej Banach, Zbigniew Maziarz
Med Sci Monit 2010; 16(7): CR342-347 :: ID: 880930
1,706

25 Jun 2010
A comparative study of the antiemetic efficacy of dexamethasone, ondansetron, and metoclopramide in patients undergoing gynecological surgery
Tugsan Egemen Bilgin, Handan Birbicer
Med Sci Monit 2010; 16(7): CR336-341 :: ID: 880929

25 Jun 2010
A comparative study of the antiemetic efficacy of dexamethasone, ondansetron, and metoclopramide in patients undergoing gynecological surgery
Tugsan Egemen Bilgin, Handan Birbicer, Zeliha Ozer, Nurcan Doruk, Ekrem Tok, Ugur Oral
Med Sci Monit 2010; 16(7): CR336-341 :: ID: 880929
2,808

25 Jun 2010
Locus of control, self-efficacy and attribution tendencies in obese patients – implications for primary care consultations
Ulrike Sonntag, Tobias Esch
Med Sci Monit 2010; 16(7): CR330-335 :: ID: 880928

25 Jun 2010
Locus of control, self-efficacy and attribution tendencies in obese patients – implications for primary care consultations
Ulrike Sonntag, Tobias Esch, Lynn von Hagen, Babette Renneberg, Vittoria Braun, Christoph Heintze
Med Sci Monit 2010; 16(7): CR330-335 :: ID: 880928
2,048

25 Jun 2010
Comparative study on skin dose measurement using MOSFET and TLD for pediatric patients with acute lymphatic leukemia
Huda I. Al-Mohammed, Fareed H. Mahyoub
Med Sci Monit 2010; 16(7): CR325-329 :: ID: 880927

25 Jun 2010
Comparative study on skin dose measurement using MOSFET and TLD for pediatric patients with acute lymphatic leukemia
Huda I. Al-Mohammed, Fareed H. Mahyoub, Belal A. Moftah
Med Sci Monit 2010; 16(7): CR325-329 :: ID: 880927
1,909

25 Jun 2010
Body mass index and creatinine clearance are associated with steady-state serum concentrations of the cell damage marker S100B in renal transplant recipients
Sascha Gross, Jaap J. J. Homan van der Heide
Med Sci Monit 2010; 16(7): CR318-324 :: ID: 880926

25 Jun 2010
Body mass index and creatinine clearance are associated with steady-state serum concentrations of the cell damage marker S100B in renal transplant recipients
Sascha Gross, Jaap J. J. Homan van der Heide, Willem J. van Son, Reinold O.B. Gans, Dirk Foell, Gerjan Navis, Stephan J.L. Bakker
Med Sci Monit 2010; 16(7): CR318-324 :: ID: 880926
1,818

25 Jun 2010
High sensitivity C-reactive protein, NT-proBNP and hemodynamic left ventricular function in acute coronary syndrome without ST segment elevation – a preliminary report
Grzegorz Piotrowski, Rafal Gawor
Med Sci Monit 2010; 16(7): CR313-317 :: ID: 880925

25 Jun 2010
High sensitivity C-reactive protein, NT-proBNP and hemodynamic left ventricular function in acute coronary syndrome without ST segment elevation – a preliminary report
Grzegorz Piotrowski, Rafal Gawor, Maciej Banach, Aneta Piotrowska, Jacek Rysz, Zenon Gawor
Med Sci Monit 2010; 16(7): CR313-317 :: ID: 880925
1,666

25 Jun 2010
Adrenaline inhibits the immunological activation of human basophils at pharmacological and ultra-low doses
Pier Francesco Mannaioni, Rosanna Mastroianni
Med Sci Monit 2010; 16(7): BR227-232 :: ID: 880924

25 Jun 2010
Adrenaline inhibits the immunological activation of human basophils at pharmacological and ultra-low doses
Pier Francesco Mannaioni, Rosanna Mastroianni, Domenico Mastrangelo
Med Sci Monit 2010; 16(7): BR227-232 :: ID: 880924
1,822

25 Jun 2010
Organ-related cigarette smoke-induced oxidative stress is strain-dependent
Carlos Romualdo Rueff-Barroso, Eduardo Tavares Lima Trajano
Med Sci Monit 2010; 16(7): BR218-226 :: ID: 880923

25 Jun 2010
Organ-related cigarette smoke-induced oxidative stress is strain-dependent
Carlos Romualdo Rueff-Barroso, Eduardo Tavares Lima Trajano, Jackson Nogueira Alves, Rojane Oliveira Paiva, Manuella Lanzetti, Karla Maria Pereira Pires, Frank Silva Bezerra, Ricardo Aurino Pinho, Samuel Santos Valenca, Luis Cristovao Porto
Med Sci Monit 2010; 16(7): BR218-226 :: ID: 880923
2,098

25 Jun 2010
Differential nutritional, endocrine, and cardiovascular effects in obesity-prone and obesity-resistant rats fed standard and hypercaloric diets
Silvio A. Oliveira Junior, Maeli Dal Pai-Silva
Med Sci Monit 2010; 16(7): BR208-217 :: ID: 880922

25 Jun 2010
Differential nutritional, endocrine, and cardiovascular effects in obesity-prone and obesity-resistant rats fed standard and hypercaloric diets
Silvio A. Oliveira Junior, Maeli Dal Pai-Silva, Paula F. Martinez, Dijon H.S. Campos, Ana P. Lima-Leopoldo, Andre S. Leopoldo, Andre F. Nascimento, Marina P. Okoshi, Katashi Okoshi, Carlos R. Padovani, Antonio C. Cicogna
Med Sci Monit 2010; 16(7): BR208-217 :: ID: 880922
2,037

25 Jun 2010
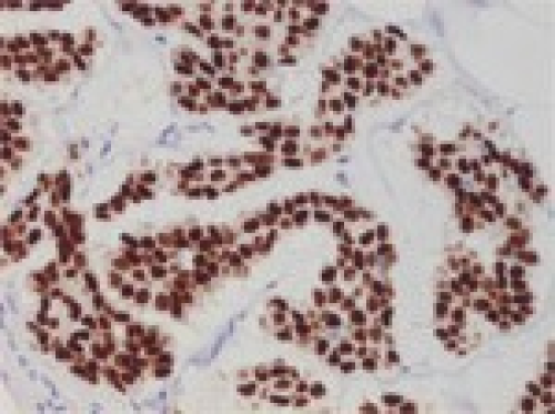
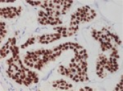
Diagnostic value of estrogen receptors in thyroid lesions
Michael Vaiman, Youlian Olevson
Med Sci Monit 2010; 16(7): BR203-207 :: ID: 880921

25 Jun 2010
Diagnostic value of estrogen receptors in thyroid lesions
Michael Vaiman, Youlian Olevson, Liliana Habler, Alex Kessler, Sergei Zehavi, Judith Sandbank
Med Sci Monit 2010; 16(7): BR203-207 :: ID: 880921
1,957

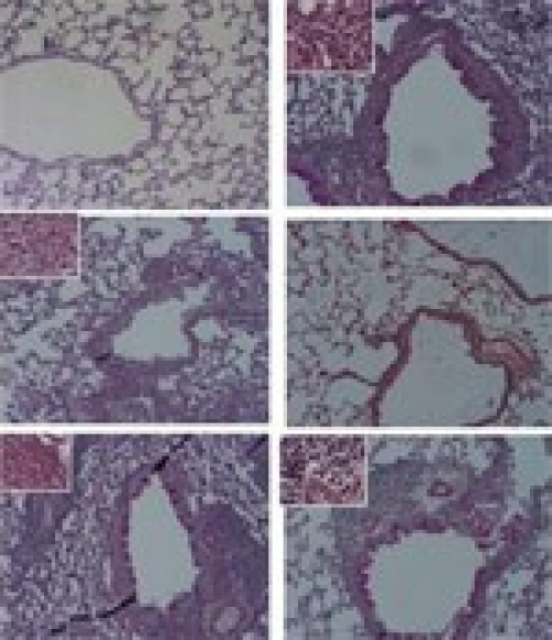
25 Jun 2010
Aspergillus fumigatus synergistically enhances mite-induced allergic airway inflammation
Chizu Fukushima, Hiroto Matsuse
Med Sci Monit 2010; 16(7): BR197-202 :: ID: 880920

25 Jun 2010
Aspergillus fumigatus synergistically enhances mite-induced allergic airway inflammation
Chizu Fukushima, Hiroto Matsuse, Susumu Fukahori, Tomoko Tsuchida, Tetsuya Kawano, Hideaki Senjyu, Shigeru Kohno
Med Sci Monit 2010; 16(7): BR197-202 :: ID: 880920
2,045

25 Jun 2010
Ghrelin, another factor affecting bone metabolism
Dimitrios Nikolopoulos, Stamatios Theoharis
Med Sci Monit 2010; 16(7): RA147-162 :: ID: 880919

25 Jun 2010
Ghrelin, another factor affecting bone metabolism
Dimitrios Nikolopoulos, Stamatios Theoharis, Gregory Kouraklis
Med Sci Monit 2010; 16(7): RA147-162 :: ID: 880919
1,766

25 Jun 2010
Acute aortic dissection: Microenvironmental regulation
Thomas V. Bilfinger,
Med Sci Monit 2010; 16(7): RA143-146 :: ID: 880918

25 Jun 2010
Acute aortic dissection: Microenvironmental regulation
Thomas V. Bilfinger
Med Sci Monit 2010; 16(7): RA143-146 :: ID: 880918
2,000

25 Jun 2010
Cerebral air embolism after arthrography of the ankle
Marcella C.A. Müller, Sjoerd M. Lagarde
Med Sci Monit 2010; 16(7): CS92-94 :: ID: 880917

25 Jun 2010
Cerebral air embolism after arthrography of the ankle
Marcella C.A. Müller, Sjoerd M. Lagarde, Menno R. Germans, Nicole P. Juffermans
Med Sci Monit 2010; 16(7): CS92-94 :: ID: 880917
1,678

25 Jun 2010
Proximal extension of backwash ileitis in ulcerative-colitis – associated colon cancer
Naoyuki Yamaguchi, Hajime Isomoto
Med Sci Monit 2010; 16(7): CS87-91 :: ID: 880916

25 Jun 2010
Proximal extension of backwash ileitis in ulcerative-colitis – associated colon cancer
Naoyuki Yamaguchi, Hajime Isomoto, Saburo Shikuwa, Ken Ohnita, Yohei Mizuta, Masahiro Ito, Shigeru Kohno, Kazuhiko Nakao
Med Sci Monit 2010; 16(7): CS87-91 :: ID: 880916
1,877

25 Jun 2010
Reactive lymphoid hyperplasia of the liver associated with primary biliary cirrhosis
Yuka Fukuo, Tomoyoshi Shibuya
Med Sci Monit 2010; 16(7): CS81-86 :: ID: 880915

25 Jun 2010
Reactive lymphoid hyperplasia of the liver associated with primary biliary cirrhosis
Yuka Fukuo, Tomoyoshi Shibuya, Yuki Fukumura, Tomokazu Mizui, Jin Kan Sai, Akihito Nagahara, Akira Tsukada, Toshiharu Matsumoto, Masafumi Suyama, Sumio Watanabe
Med Sci Monit 2010; 16(7): CS81-86 :: ID: 880915
1,995

25 Jun 2010
Diabetes reduces auditory sensitivity in middle-aged listeners more than in elderly listeners: A population- based study of age-related hearing loss
Yasue Uchida, Saiko Sugiura
Med Sci Monit 2010; 16(7): PH63-68 :: ID: 880914

25 Jun 2010
Diabetes reduces auditory sensitivity in middle-aged listeners more than in elderly listeners: A population- based study of age-related hearing loss
Yasue Uchida, Saiko Sugiura, Fujiko Ando, Tsutomu Nakashima, Hiroshi Shimokata
Med Sci Monit 2010; 16(7): PH63-68 :: ID: 880914
2,425

25 Jun 2010
Assessment of coronary artery calcification using dual-source computed tomography in adult asymptomatic patients with type 1 diabetes mellitus
Pal Maurovich-Horvat, Terez Mori
Med Sci Monit 2010; 16(7): MT59-64 :: ID: 880913

25 Jun 2010
Assessment of coronary artery calcification using dual-source computed tomography in adult asymptomatic patients with type 1 diabetes mellitus
Pal Maurovich-Horvat, Terez Mori, Gabor Kerecsen, Jozsef Fovenyi, Tamas Sallai, Istvan Preda, Bela Merkely, Gyorgy Jermendy
Med Sci Monit 2010; 16(7): MT59-64 :: ID: 880913
2,178

25 Jun 2010
Stabilizing ryanodine receptor type 2: A novel strategy for the treatment of atrial fibrillation
Yan Cheng, Qin Zhan
Med Sci Monit 2010; 16(7): HY23-26 :: ID: 880912

25 Jun 2010
Stabilizing ryanodine receptor type 2: A novel strategy for the treatment of atrial fibrillation
Yan Cheng, Qin Zhan, Jiangmin Zhao, Junjie Xiao
Med Sci Monit 2010; 16(7): HY23-26 :: ID: 880912
1,821

25 Jun 2010
Estrogen analogues: Promising target for prevention and treatment of esophageal squamous cell carcinoma in high risk areas
Qi-Ming Wang, Ling Yuan
Med Sci Monit 2010; 16(7): HY19-22 :: ID: 880911

25 Jun 2010
Estrogen analogues: Promising target for prevention and treatment of esophageal squamous cell carcinoma in high risk areas
Qi-Ming Wang, Ling Yuan, Yi-Jun Qi, Zhi-Yong Ma, Li-Dong Wang
Med Sci Monit 2010; 16(7): HY19-22 :: ID: 880911
2,210

25 Jun 2010
The effect of N-acetylcysteine on blood pressure and markers of cardiovascular risk in non-diabetic patients with chronic kidney disease: A placebo-cotrolled, randomized, cross-over study
Marcin Renke, Leszek Tylicki
Med Sci Monit 2010; 16(7): PI13-18 :: ID: 880910

25 Jun 2010
The effect of N-acetylcysteine on blood pressure and markers of cardiovascular risk in non-diabetic patients with chronic kidney disease: A placebo-cotrolled, randomized, cross-over study
Marcin Renke, Leszek Tylicki, Przemyslaw Rutkowski, Wojciech Larczynski, Alexander Neuwelt, Ewa Aleksandrowicz, Wieslawa Lysiak-Szydlowska, Boleslaw Rutkowski
Med Sci Monit 2010; 16(7): PI13-18 :: ID: 880910
2,467
Volume 16(7) 2010 (23) Supplement

20 May 2010 :
Lateral rectus muscle as a new reference point in estimation of Graves’ ophthalmopathy activity
Agata Majos, Michał Pająk
Med Sci Monit 2010; 16(1): 80-85 :: ID: 880588
4,809 4

20 May 2010 :
Lateral rectus muscle as a new reference point in estimation of Graves’ ophthalmopathy activity
Agata Majos, Michał Pająk, Marcin Elgalal, Marek Olszycki, Ludomir Stefańczyk
Med Sci Monit 2010; 16(1): 80-85 :: ID: 880588
4,809 4

20 May 2010 :
Patient specific implants, designed using Rapid Prototyping and diagnostic imaging, for the repair of orbital fractures
Marcin T. Elgalal, Marcin Kozakiewicz
Med Sci Monit 2010; 16(1): 75-79 :: ID: 880587
4,545 2

20 May 2010 :
Patient specific implants, designed using Rapid Prototyping and diagnostic imaging, for the repair of orbital fractures
Marcin T. Elgalal, Marcin Kozakiewicz, Piotr Loba, Bogdan Walkowiak, Marek Olszycki, Ludomir Stefańczyk
Med Sci Monit 2010; 16(1): 75-79 :: ID: 880587
4,545 2

20 May 2010 :
Comparison of efficacy of MR sequences used for detection of focal liver lesions
Andrzej Cieszanowski, Agnieszka Grodzicka
Med Sci Monit 2010; 16(1): 66-74 :: ID: 880586
4,406 24

20 May 2010 :
Comparison of efficacy of MR sequences used for detection of focal liver lesions
Andrzej Cieszanowski, Agnieszka Grodzicka, Edyta Maj, Barbara Gornicka, Kaczynski Bartosz, Mariusz Grodzicki, Marek Krawczyk, Olgierd Rowinski
Med Sci Monit 2010; 16(1): 66-74 :: ID: 880586
4,406 24

20 May 2010 :
Brain MRI findings in preterm babies versus transfontanel sonography-own experience
Monika Bekiesinska-Figatowska, Ewa Helwich
Med Sci Monit 2010; 16(1): 60-65 :: ID: 880585
4,766 5

20 May 2010 :
Brain MRI findings in preterm babies versus transfontanel sonography-own experience
Monika Bekiesinska-Figatowska, Ewa Helwich, Hanna Bragoszewska, Anna Romaniuk-Doroszewska, Magdalena Rutkowska, Sylwia Szkudlinska-Pawlak, Ewa Adamska, Malgorzata Dzwonkowska
Med Sci Monit 2010; 16(1): 60-65 :: ID: 880585
4,766 5

20 May 2010 :
The imaging features of selected congenital tumors – own material and literature review
Marek Duczkowski, Agnieszka Duczkowska
Med Sci Monit 2010; 16(1): 52-59 :: ID: 880584
4,767 1

20 May 2010 :
The imaging features of selected congenital tumors – own material and literature review
Marek Duczkowski, Agnieszka Duczkowska, Monika Bekiesinska-Figatowska, Hanna Bragoszewska, Maria Uliasz, Elzbieta Jurkiewicz
Med Sci Monit 2010; 16(1): 52-59 :: ID: 880584
4,767 1

20 May 2010 :
Optimization of CT protocol for imaging of polytraumatized patients
Marcin Błaż, Piotr Palczewski
Med Sci Monit 2010; 16(1): 48-51 :: ID: 880583
4,670 9

20 May 2010 :
Optimization of CT protocol for imaging of polytraumatized patients
Marcin Błaż, Piotr Palczewski, Marek Gołębiowski, Wojciech Szeszkowski
Med Sci Monit 2010; 16(1): 48-51 :: ID: 880583
4,670 9

20 May 2010 :
Iliac artery in-stent restenosis evaluation in 64-row CT
Wojciech Poncyljusz, Aleksander Falkowski
Med Sci Monit 2010; 16(1): 43-47 :: ID: 880582
4,492 6

20 May 2010 :
Iliac artery in-stent restenosis evaluation in 64-row CT
Wojciech Poncyljusz, Aleksander Falkowski, Marcin Sawicki, Monika Rać, Robert Juszkat
Med Sci Monit 2010; 16(1): 43-47 :: ID: 880582
4,492 6

20 May 2010 :
Hydrogel-coated coils for the treatment of cerebral aneurysms
Wojciech Poncyljusz, Aleksander Falkowski
Med Sci Monit 2010; 16(1): 40-42 :: ID: 880581
4,698 27

20 May 2010 :
Hydrogel-coated coils for the treatment of cerebral aneurysms
Wojciech Poncyljusz, Aleksander Falkowski, Marcin Sawicki, Ireneusz Kojder, Robert Juszkat
Med Sci Monit 2010; 16(1): 40-42 :: ID: 880581
4,698 27

20 May 2010 :
Technical aspects and short-term results of primary coiling of giant intracranial aneurysms: A 12-year, single-center experience
Zbigniew Serafin, Piotr Strześniewski
Med Sci Monit 2010; 16(1): 33-39 :: ID: 880580
4,588 20

20 May 2010 :
Technical aspects and short-term results of primary coiling of giant intracranial aneurysms: A 12-year, single-center experience
Zbigniew Serafin, Piotr Strześniewski, Maciej Osmański, Władysław Lasek, Wojciech Beuth
Med Sci Monit 2010; 16(1): 33-39 :: ID: 880580
4,588 20

20 May 2010 :
Computed Tomographic Angiography in the diagnosis of brain death
Marcin Sawicki, Anna Walecka
Med Sci Monit 2010; 16(1): 28-32 :: ID: 880579
4,533 0

20 May 2010 :
Computed Tomographic Angiography in the diagnosis of brain death
Marcin Sawicki, Anna Walecka, Romuald Bohatyrewicz, Wojciech Poncyljusz, Janusz Kordowski
Med Sci Monit 2010; 16(1): 28-32 :: ID: 880579
4,533 0

20 May 2010 :
Response of the hand’s small vessel to the cold immersion test, using a blood pool MRA contrast agent – the new perspective in evaluating vasospasm
Marek Olszycki, Agata Majos
Med Sci Monit 2010; 16(1): 24-27 :: ID: 880578
4,983 0

20 May 2010 :
Response of the hand’s small vessel to the cold immersion test, using a blood pool MRA contrast agent – the new perspective in evaluating vasospasm
Marek Olszycki, Agata Majos, Piotr Grzelak, Ludomir Stefańczyk
Med Sci Monit 2010; 16(1): 24-27 :: ID: 880578
4,983 0

20 May 2010 :
Change of the brain proton magnetic resonance spectroscopy metabolite’s ratios with aging
Paweł Krukowski, Przemysław Podgórski
Med Sci Monit 2010; 16(1): 19-23 :: ID: 880577
4,868 1

20 May 2010 :
Change of the brain proton magnetic resonance spectroscopy metabolite’s ratios with aging
Paweł Krukowski, Przemysław Podgórski, Maciej Guziński, Paweł Szewczyk, Marek Sąsiadek
Med Sci Monit 2010; 16(1): 19-23 :: ID: 880577
4,868 1

20 May 2010 :
1H-MRS in mild cognitive impairment (MCI) – the role of particular metabolites in prediction of MCI conversion to AD
Jerzy Walecki, Agnieszka Pawłowska
Med Sci Monit 2010; 16(1): 11-18 :: ID: 880576
4,726 14

20 May 2010 :
1H-MRS in mild cognitive impairment (MCI) – the role of particular metabolites in prediction of MCI conversion to AD
Jerzy Walecki, Agnieszka Pawłowska, Tomasz Gabryelewicz, Jarosław B. Ćwikła, Maria Barcikowska, Tomasz Nesteruk
Med Sci Monit 2010; 16(1): 11-18 :: ID: 880576
4,726 14

20 May 2010 :
Usefulness of perfusion-weighted MR imaging in the differential diagnosis of Alzheimer’s disease and mild cognitive impairment
Anna Zimny, Paweł Szewczyk
Med Sci Monit 2010; 16(1): 5-10 :: ID: 880575
4,845 0

20 May 2010 :
Usefulness of perfusion-weighted MR imaging in the differential diagnosis of Alzheimer’s disease and mild cognitive impairment
Anna Zimny, Paweł Szewczyk, Anna Czarnecka, Elżbieta Trypka, Renata Wojtyńska, Jerzy Leszek, Marek Sąsiadek
Med Sci Monit 2010; 16(1): 5-10 :: ID: 880575
4,845 0
Editorial
01 November 2025 : Editorial
Editorial: Hypertrophic Cardiomyopathy and Precision Medicine in Cardiovascular DiseaseDOI: 10.12659/MSM.951868
Med Sci Monit 2025; 31:e951868
In Press
Review article
Association of Childhood Asthma with the Concept of Exposomics: A Short ReviewMed Sci Monit In Press; DOI: 10.12659/MSM.949589
Clinical Research
Association of Hyperuricemia with Cardiovascular Risk Factors and Cardiac Structural Changes in Patients Un...Med Sci Monit In Press; DOI: 10.12659/MSM.949422
Clinical Research
Predictive Value of IBI for In-Hospital Death in Elderly Patients with Non-ST-Segment Elevation Myocardial ...Med Sci Monit In Press; DOI: 10.12659/MSM.950592
Clinical Research
Short-Segment Bone Cement–Augmented Pedicle Screw Fixation Combined With Bone Grafting for Management of Ku...Med Sci Monit In Press; DOI: 10.12659/MSM.949901
Most Viewed Current Articles
17 Jan 2024 : Review article 10,154,901
Vaccination Guidelines for Pregnant Women: Addressing COVID-19 and the Omicron VariantDOI :10.12659/MSM.942799
Med Sci Monit 2024; 30:e942799
13 Nov 2021 : Clinical Research 3,690,259
Acceptance of COVID-19 Vaccination and Its Associated Factors Among Cancer Patients Attending the Oncology ...DOI :10.12659/MSM.932788
Med Sci Monit 2021; 27:e932788
14 Dec 2022 : Clinical Research 2,334,173
Prevalence and Variability of Allergen-Specific Immunoglobulin E in Patients with Elevated Tryptase LevelsDOI :10.12659/MSM.937990
Med Sci Monit 2022; 28:e937990
16 May 2023 : Clinical Research 705,709
Electrophysiological Testing for an Auditory Processing Disorder and Reading Performance in 54 School Stude...DOI :10.12659/MSM.940387
Med Sci Monit 2023; 29:e940387
