Current Volume 16(4) 2010 (24)

01 Apr 2010
Increased mean platelet volume in chronic hepatitis B patients with inactive disease
Ozge Turhan, Erkan Coban
Med Sci Monit 2010; 16(4): CR202-205 :: ID: 878503

01 Apr 2010
Increased mean platelet volume in chronic hepatitis B patients with inactive disease
Ozge Turhan, Erkan Coban, Dilara Inan, Ata Nevzat Yalcin
Med Sci Monit 2010; 16(4): CR202-205 :: ID: 878503
2,050

01 Apr 2010
Menstrual pattern following tubal sterilization
Kemal Ozerkan, Gercek Aydın
Med Sci Monit 2010; 16(4): CR197-201 :: ID: 878502

01 Apr 2010
Menstrual pattern following tubal sterilization
Kemal Ozerkan, Gercek Aydın, Isıl Koc, Yesim Uncu, Gurkan Uncu
Med Sci Monit 2010; 16(4): CR197-201 :: ID: 878502
1,732

01 Apr 2010
Manganese superoxide dismutase (MnSOD) gene (Ala-9Val, Ile58Thr) polymorphism in patients with age-related macular degeneration (AMD)
Michal Kowalski, Anna Bielecka -Kowalska
Med Sci Monit 2010; 16(4): CR190-196 :: ID: 878501

01 Apr 2010
Manganese superoxide dismutase (MnSOD) gene (Ala-9Val, Ile58Thr) polymorphism in patients with age-related macular degeneration (AMD)
Michal Kowalski, Anna Bielecka -Kowalska, Katarzyna Oszajca, Eusebio Makandjou -Ola, Piotr Jaworski, Jacek Bartkowiak, Janusz Szemraj
Med Sci Monit 2010; 16(4): CR190-196 :: ID: 878501
1,924

01 Apr 2010
Perioperative analgesia of infants during the therapy for retinopathy of prematurity
Eva Gorbe, Rita Vamos
Med Sci Monit 2010; 16(4): CR186-189 :: ID: 878500

01 Apr 2010
Perioperative analgesia of infants during the therapy for retinopathy of prematurity
Eva Gorbe, Rita Vamos, Gabor Jozsef Joo, Judit Jeager, Attila Molvarec, Botond Berecz, Adrienn Horvath, Balint Sulya, Janos Jr. Rigo
Med Sci Monit 2010; 16(4): CR186-189 :: ID: 878500
1,626

01 Apr 2010
Association between toll-like receptor polymorphisms and serum levels of tumor necrosis factor-alpha and its soluble receptors in obese children
Agnes Jermendy, Anna Korner
Med Sci Monit 2010; 16(4): CR180-185 :: ID: 878499

01 Apr 2010
Association between toll-like receptor polymorphisms and serum levels of tumor necrosis factor-alpha and its soluble receptors in obese children
Agnes Jermendy, Anna Korner, Margit Kovacs, Edit Kaszas, Judit Balázsovics, Albert Szocs, Laszlo Madacsy, Karoly Cseh
Med Sci Monit 2010; 16(4): CR180-185 :: ID: 878499
1,806

01 Apr 2010
Expression of 3-nitrotyrosine, a marker for peroxynitrite, in nasal polyps of nonatopic patients
Med Sci Monit 2010; 16(4): CR172-179 :: ID: 878498

01 Apr 2010
Expression of 3-nitrotyrosine, a marker for peroxynitrite, in nasal polyps of nonatopic patients
Med Sci Monit 2010; 16(4): CR172-179 :: ID: 878498
1,820

01 Apr 2010
Gene polymorphism of epidermal growth factor receptor and airway hyperresponsiveness in young allergic subjects without respiratory symptoms
Takahiro Yoshikawa, Hiroshi Kanazawa
Med Sci Monit 2010; 16(4): CR163-171 :: ID: 878497

01 Apr 2010
Gene polymorphism of epidermal growth factor receptor and airway hyperresponsiveness in young allergic subjects without respiratory symptoms
Takahiro Yoshikawa, Hiroshi Kanazawa, Junji Tanaka, Shigeo Fujimoto, Takushi Yamamoto
Med Sci Monit 2010; 16(4): CR163-171 :: ID: 878497
1,714

01 Apr 2010
Effects of acute verjuice consumption with a high-cholesterol diet on some biochemical risk factors of atherosclerosis in rabbits
Mahbubeh Setorki, Sedighe Asgary
Med Sci Monit 2010; 16(4): BR124-130 :: ID: 878496

01 Apr 2010
Effects of acute verjuice consumption with a high-cholesterol diet on some biochemical risk factors of atherosclerosis in rabbits
Mahbubeh Setorki, Sedighe Asgary, Akram Eidi, Ali Haeri Rohani
Med Sci Monit 2010; 16(4): BR124-130 :: ID: 878496
1,653

01 Apr 2010
The supratrochlear foramen of the humerus and its relation to the medullary canal: a potential surgical application
George K. Paraskevas, Basileios Papaziogas
Med Sci Monit 2010; 16(4): BR119-123 :: ID: 878495

01 Apr 2010
The supratrochlear foramen of the humerus and its relation to the medullary canal: a potential surgical application
George K. Paraskevas, Basileios Papaziogas, Alexandros Tzaveas, George Giaglis, Panagiotis Kitsoulis, Konstantinos Natsis
Med Sci Monit 2010; 16(4): BR119-123 :: ID: 878495
1,805

01 Apr 2010
Fasudil attenuates lipopolysaccharide-induced acute lung injury in mice through the Rho/Rho kinase pathway
Yan Li, Yiling Wu
Med Sci Monit 2010; 16(4): BR112-118 :: ID: 878494

01 Apr 2010
Fasudil attenuates lipopolysaccharide-induced acute lung injury in mice through the Rho/Rho kinase pathway
Yan Li, Yiling Wu, Zhi Wang, Xuan-hong Zhang, Wei-kang Wu
Med Sci Monit 2010; 16(4): BR112-118 :: ID: 878494
2,297

01 Apr 2010
Vanadate affects proliferation of healing fibroblasts, cellular production of collagen, and expression of alpha-SMA in vitro
Zhi-Tao Jiang, Zhao-Zhu Li
Med Sci Monit 2010; 16(4): BR107-111 :: ID: 878493

01 Apr 2010
Vanadate affects proliferation of healing fibroblasts, cellular production of collagen, and expression of alpha-SMA in vitro
Zhi-Tao Jiang, Zhao-Zhu Li, Da-Peng Jiang
Med Sci Monit 2010; 16(4): BR107-111 :: ID: 878493
1,693

01 Apr 2010
Advances in the research of fetal DNA in maternal plasma for noninvasive prenatal diagnostics
Barbora Vlkova, Tomas Szemes
Med Sci Monit 2010; 16(4): RA85-91 :: ID: 878492

01 Apr 2010
Advances in the research of fetal DNA in maternal plasma for noninvasive prenatal diagnostics
Barbora Vlkova, Tomas Szemes, Gabriel Minarik, Jan Turna, Peter Celec
Med Sci Monit 2010; 16(4): RA85-91 :: ID: 878492
1,965

01 Apr 2010
Evidence-based treatment limitations prevent any therapeutic recommendation for acute poststreptococcal glomerulonephritis in children
Marco Zaffanello, Luigi Cataldi
Med Sci Monit 2010; 16(4): RA79-84 :: ID: 878491

01 Apr 2010
Evidence-based treatment limitations prevent any therapeutic recommendation for acute poststreptococcal glomerulonephritis in children
Marco Zaffanello, Luigi Cataldi, Massimo Franchini, Vassilios Fanos
Med Sci Monit 2010; 16(4): RA79-84 :: ID: 878491
2,863

01 Apr 2010
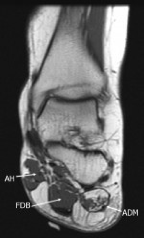
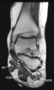
Bilateral Baxter's neuropathy secondary to plantar fasciitis
Berna Dirim, Donald Resnick
Med Sci Monit 2010; 16(4): CS50-53 :: ID: 878490

01 Apr 2010
Bilateral Baxter's neuropathy secondary to plantar fasciitis
Berna Dirim, Donald Resnick, Nesibe Kurt Ozenler
Med Sci Monit 2010; 16(4): CS50-53 :: ID: 878490
3,163

01 Apr 2010
Laparoscopic surgery for the management of ovarian endometriomas
Bruno Mossa, Valeria Ebano
Med Sci Monit 2010; 16(4): MT45-50 :: ID: 878489

01 Apr 2010
Laparoscopic surgery for the management of ovarian endometriomas
Bruno Mossa, Valeria Ebano, Stefania Tucci, Caterina Rega, Emiliano Dolce, Antonio Frega, Rosalia Marziani
Med Sci Monit 2010; 16(4): MT45-50 :: ID: 878489
2,006

01 Apr 2010
Compression peroneal neuropathy following a bicycle injury in a child
Nikolaos K. Sferopoulos,
Med Sci Monit 2010; 16(4): CS45-49 :: ID: 878488

01 Apr 2010
Compression peroneal neuropathy following a bicycle injury in a child
Nikolaos K. Sferopoulos
Med Sci Monit 2010; 16(4): CS45-49 :: ID: 878488
1,841

01 Apr 2010
A case with cardiac tamponade as the first sign of primary gastric signet-ring cell carcinoma treated with combination therapy
Bi-li Zhang, Rong-liang Xu
Med Sci Monit 2010; 16(4): CS41-44 :: ID: 878487

01 Apr 2010
A case with cardiac tamponade as the first sign of primary gastric signet-ring cell carcinoma treated with combination therapy
Bi-li Zhang, Rong-liang Xu, Xing Zheng, Yong-wen Qin
Med Sci Monit 2010; 16(4): CS41-44 :: ID: 878487
1,989

01 Apr 2010
The frequency of depression and menopause-related symptoms in postmenopausal women living in a province in Eastern Turkey, and the factors that affect depressive status
Suleyman E. Deveci, Yasemin Acik
Med Sci Monit 2010; 16(4): PH40-47 :: ID: 878486

01 Apr 2010
The frequency of depression and menopause-related symptoms in postmenopausal women living in a province in Eastern Turkey, and the factors that affect depressive status
Suleyman E. Deveci, Yasemin Acik, Dilek Gunes Dag, Mehmet Tokdemir, Cemal Gundogdu
Med Sci Monit 2010; 16(4): PH40-47 :: ID: 878486
1,863

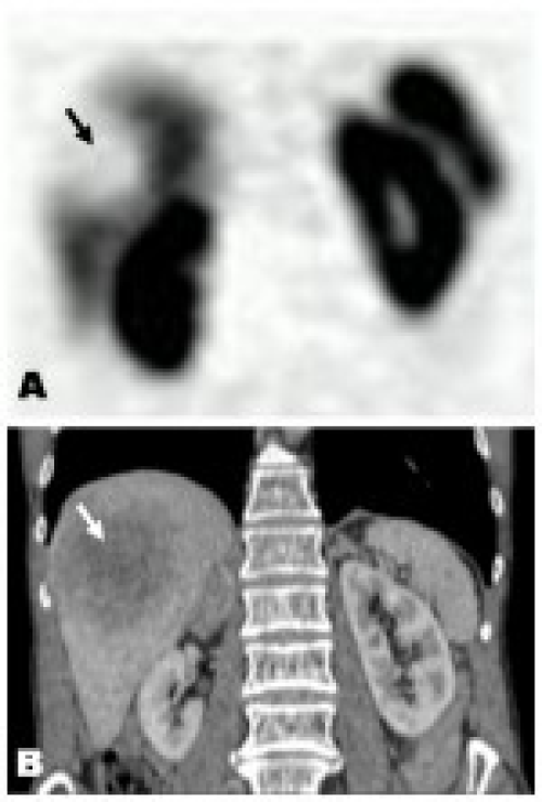
01 Apr 2010
99mTc-EDDA/HYNIC-TOC somatostatin receptor scintigraphy in daily clinical practice
Beata Ewa Chrapko, Anna Nocun
Med Sci Monit 2010; 16(4): MT35-44 :: ID: 878485

01 Apr 2010
99mTc-EDDA/HYNIC-TOC somatostatin receptor scintigraphy in daily clinical practice
Beata Ewa Chrapko, Anna Nocun, Renata Golebiewska, Boguslaw Stefaniak, Elzbieta Korobowicz, Elzbieta Czekajska-Chehab, Marek Sawicki, Wojciech Piotr Polkowski
Med Sci Monit 2010; 16(4): MT35-44 :: ID: 878485
1,841

01 Apr 2010
Women gynecologists' attitude toward their own health
Alina Weissmann-Brenner, Baruch Brenner
Med Sci Monit 2010; 16(4): PH35-39 :: ID: 878484

01 Apr 2010
Women gynecologists' attitude toward their own health
Alina Weissmann-Brenner, Baruch Brenner, Jaqueline Sulkes, Boris Kaplan
Med Sci Monit 2010; 16(4): PH35-39 :: ID: 878484
1,795

01 Apr 2010
Aminofeel improves the sensitivity to taste in patients with HCV-infected liver disease
Yumiko Nagao, Hisako Matsuoka
Med Sci Monit 2010; 16(4): PI7-12 :: ID: 878481

01 Apr 2010
Aminofeel improves the sensitivity to taste in patients with HCV-infected liver disease
Yumiko Nagao, Hisako Matsuoka, Takumi Kawaguchi, Michio Sata
Med Sci Monit 2010; 16(4): PI7-12 :: ID: 878481
2,024

01 Apr 2010
Implications of positive and negative neuroplasticity on cognition in HIV
David E. Vance,
Med Sci Monit 2010; 16(4): HY3-5 :: ID: 878480

01 Apr 2010
Implications of positive and negative neuroplasticity on cognition in HIV
David E. Vance
Med Sci Monit 2010; 16(4): HY3-5 :: ID: 878480
2,135

01 Apr 2010
Reply to the Letter to the Editor: Inactive Hepatitis B carriage, HBV DNA level and biopsy
Fariborz Mansour-Ghanaei,
Med Sci Monit 2010; 16(4): :: ID: 878483

01 Apr 2010
Reply to the Letter to the Editor: Inactive Hepatitis B carriage, HBV DNA level and biopsy
Fariborz Mansour-Ghanaei
Med Sci Monit 2010; 16(4): :: ID: 878483
1,502

01 Apr 2010
Inactive Hepatitis B carriage, HBV DNA level and biopsy
Oguz Karabay, Aziz Ogutlu
Med Sci Monit 2010; 16(4): :: ID: 878482

01 Apr 2010
Inactive Hepatitis B carriage, HBV DNA level and biopsy
Oguz Karabay, Aziz Ogutlu
Med Sci Monit 2010; 16(4): :: ID: 878482
1,751
Volume 16(4) 2010 (24) Supplement

20 May 2010 :
Lateral rectus muscle as a new reference point in estimation of Graves’ ophthalmopathy activity
Agata Majos, Michał Pająk
Med Sci Monit 2010; 16(1): 80-85 :: ID: 880588
4,951 4

20 May 2010 :
Lateral rectus muscle as a new reference point in estimation of Graves’ ophthalmopathy activity
Agata Majos, Michał Pająk, Marcin Elgalal, Marek Olszycki, Ludomir Stefańczyk
Med Sci Monit 2010; 16(1): 80-85 :: ID: 880588
4,951 4

20 May 2010 :
Patient specific implants, designed using Rapid Prototyping and diagnostic imaging, for the repair of orbital fractures
Marcin T. Elgalal, Marcin Kozakiewicz
Med Sci Monit 2010; 16(1): 75-79 :: ID: 880587
4,709 2

20 May 2010 :
Patient specific implants, designed using Rapid Prototyping and diagnostic imaging, for the repair of orbital fractures
Marcin T. Elgalal, Marcin Kozakiewicz, Piotr Loba, Bogdan Walkowiak, Marek Olszycki, Ludomir Stefańczyk
Med Sci Monit 2010; 16(1): 75-79 :: ID: 880587
4,709 2

20 May 2010 :
Comparison of efficacy of MR sequences used for detection of focal liver lesions
Andrzej Cieszanowski, Agnieszka Grodzicka
Med Sci Monit 2010; 16(1): 66-74 :: ID: 880586
4,550 25

20 May 2010 :
Comparison of efficacy of MR sequences used for detection of focal liver lesions
Andrzej Cieszanowski, Agnieszka Grodzicka, Edyta Maj, Barbara Gornicka, Kaczynski Bartosz, Mariusz Grodzicki, Marek Krawczyk, Olgierd Rowinski
Med Sci Monit 2010; 16(1): 66-74 :: ID: 880586
4,550 25

20 May 2010 :
Brain MRI findings in preterm babies versus transfontanel sonography-own experience
Monika Bekiesinska-Figatowska, Ewa Helwich
Med Sci Monit 2010; 16(1): 60-65 :: ID: 880585
4,900 5

20 May 2010 :
Brain MRI findings in preterm babies versus transfontanel sonography-own experience
Monika Bekiesinska-Figatowska, Ewa Helwich, Hanna Bragoszewska, Anna Romaniuk-Doroszewska, Magdalena Rutkowska, Sylwia Szkudlinska-Pawlak, Ewa Adamska, Malgorzata Dzwonkowska
Med Sci Monit 2010; 16(1): 60-65 :: ID: 880585
4,900 5

20 May 2010 :
The imaging features of selected congenital tumors – own material and literature review
Marek Duczkowski, Agnieszka Duczkowska
Med Sci Monit 2010; 16(1): 52-59 :: ID: 880584
4,910 1

20 May 2010 :
The imaging features of selected congenital tumors – own material and literature review
Marek Duczkowski, Agnieszka Duczkowska, Monika Bekiesinska-Figatowska, Hanna Bragoszewska, Maria Uliasz, Elzbieta Jurkiewicz
Med Sci Monit 2010; 16(1): 52-59 :: ID: 880584
4,910 1

20 May 2010 :
Optimization of CT protocol for imaging of polytraumatized patients
Marcin Błaż, Piotr Palczewski
Med Sci Monit 2010; 16(1): 48-51 :: ID: 880583
4,830 9

20 May 2010 :
Optimization of CT protocol for imaging of polytraumatized patients
Marcin Błaż, Piotr Palczewski, Marek Gołębiowski, Wojciech Szeszkowski
Med Sci Monit 2010; 16(1): 48-51 :: ID: 880583
4,830 9

20 May 2010 :
Iliac artery in-stent restenosis evaluation in 64-row CT
Wojciech Poncyljusz, Aleksander Falkowski
Med Sci Monit 2010; 16(1): 43-47 :: ID: 880582
4,630 6

20 May 2010 :
Iliac artery in-stent restenosis evaluation in 64-row CT
Wojciech Poncyljusz, Aleksander Falkowski, Marcin Sawicki, Monika Rać, Robert Juszkat
Med Sci Monit 2010; 16(1): 43-47 :: ID: 880582
4,630 6

20 May 2010 :
Hydrogel-coated coils for the treatment of cerebral aneurysms
Wojciech Poncyljusz, Aleksander Falkowski
Med Sci Monit 2010; 16(1): 40-42 :: ID: 880581
4,866 27

20 May 2010 :
Hydrogel-coated coils for the treatment of cerebral aneurysms
Wojciech Poncyljusz, Aleksander Falkowski, Marcin Sawicki, Ireneusz Kojder, Robert Juszkat
Med Sci Monit 2010; 16(1): 40-42 :: ID: 880581
4,866 27

20 May 2010 :
Technical aspects and short-term results of primary coiling of giant intracranial aneurysms: A 12-year, single-center experience
Zbigniew Serafin, Piotr Strześniewski
Med Sci Monit 2010; 16(1): 33-39 :: ID: 880580
4,733 22

20 May 2010 :
Technical aspects and short-term results of primary coiling of giant intracranial aneurysms: A 12-year, single-center experience
Zbigniew Serafin, Piotr Strześniewski, Maciej Osmański, Władysław Lasek, Wojciech Beuth
Med Sci Monit 2010; 16(1): 33-39 :: ID: 880580
4,733 22

20 May 2010 :
Computed Tomographic Angiography in the diagnosis of brain death
Marcin Sawicki, Anna Walecka
Med Sci Monit 2010; 16(1): 28-32 :: ID: 880579
4,676 0

20 May 2010 :
Computed Tomographic Angiography in the diagnosis of brain death
Marcin Sawicki, Anna Walecka, Romuald Bohatyrewicz, Wojciech Poncyljusz, Janusz Kordowski
Med Sci Monit 2010; 16(1): 28-32 :: ID: 880579
4,676 0

20 May 2010 :
Response of the hand’s small vessel to the cold immersion test, using a blood pool MRA contrast agent – the new perspective in evaluating vasospasm
Marek Olszycki, Agata Majos
Med Sci Monit 2010; 16(1): 24-27 :: ID: 880578
5,131 0

20 May 2010 :
Response of the hand’s small vessel to the cold immersion test, using a blood pool MRA contrast agent – the new perspective in evaluating vasospasm
Marek Olszycki, Agata Majos, Piotr Grzelak, Ludomir Stefańczyk
Med Sci Monit 2010; 16(1): 24-27 :: ID: 880578
5,131 0

20 May 2010 :
Change of the brain proton magnetic resonance spectroscopy metabolite’s ratios with aging
Paweł Krukowski, Przemysław Podgórski
Med Sci Monit 2010; 16(1): 19-23 :: ID: 880577
5,017 1

20 May 2010 :
Change of the brain proton magnetic resonance spectroscopy metabolite’s ratios with aging
Paweł Krukowski, Przemysław Podgórski, Maciej Guziński, Paweł Szewczyk, Marek Sąsiadek
Med Sci Monit 2010; 16(1): 19-23 :: ID: 880577
5,017 1

20 May 2010 :
1H-MRS in mild cognitive impairment (MCI) – the role of particular metabolites in prediction of MCI conversion to AD
Jerzy Walecki, Agnieszka Pawłowska
Med Sci Monit 2010; 16(1): 11-18 :: ID: 880576
4,875 14

20 May 2010 :
1H-MRS in mild cognitive impairment (MCI) – the role of particular metabolites in prediction of MCI conversion to AD
Jerzy Walecki, Agnieszka Pawłowska, Tomasz Gabryelewicz, Jarosław B. Ćwikła, Maria Barcikowska, Tomasz Nesteruk
Med Sci Monit 2010; 16(1): 11-18 :: ID: 880576
4,875 14

20 May 2010 :
Usefulness of perfusion-weighted MR imaging in the differential diagnosis of Alzheimer’s disease and mild cognitive impairment
Anna Zimny, Paweł Szewczyk
Med Sci Monit 2010; 16(1): 5-10 :: ID: 880575
4,985 0

20 May 2010 :
Usefulness of perfusion-weighted MR imaging in the differential diagnosis of Alzheimer’s disease and mild cognitive impairment
Anna Zimny, Paweł Szewczyk, Anna Czarnecka, Elżbieta Trypka, Renata Wojtyńska, Jerzy Leszek, Marek Sąsiadek
Med Sci Monit 2010; 16(1): 5-10 :: ID: 880575
4,985 0
Editorial
01 December 2025 : Editorial
Editorial: COVID-19 Six Years on and Endemic Omicron Variants of SARS-CoV-2 Under Monitoring Now Include NB.1.8.1 (Nimbus) and XFG (Stratus)DOI: 10.12659/MSM.952217
Med Sci Monit 2025; 31:e952217
In Press
Clinical Research
A Retrospective Study of the Presentation, Imaging Findings, and Outcomes in 195 Patients with Maxillofacia...Med Sci Monit In Press; DOI: 10.12659/MSM.949933
Clinical Research
Enhanced Eustachian Tube Function and Hearing Recovery with Combined Balloon Dilatation and Tympanic Membra...Med Sci Monit In Press; DOI: 10.12659/MSM.948981
Clinical Research
Virtual Pet–Assisted Therapy to Alleviate Symptoms of Long COVID: A Prospective Pilot Interventional StudyMed Sci Monit In Press; DOI: 10.12659/MSM.950105
Clinical Research
Does Concomitant Biceps Tenotomy Affect Shoulder Proprioception and Strength? A Prospective Intra‑Individua...Med Sci Monit In Press; DOI: 10.12659/MSM.950383
Most Viewed Current Articles
17 Jan 2024 : Review article 10,178,526
Vaccination Guidelines for Pregnant Women: Addressing COVID-19 and the Omicron VariantDOI :10.12659/MSM.942799
Med Sci Monit 2024; 30:e942799
13 Nov 2021 : Clinical Research 3,694,265
Acceptance of COVID-19 Vaccination and Its Associated Factors Among Cancer Patients Attending the Oncology ...DOI :10.12659/MSM.932788
Med Sci Monit 2021; 27:e932788
14 Dec 2022 : Clinical Research 2,335,538
Prevalence and Variability of Allergen-Specific Immunoglobulin E in Patients with Elevated Tryptase LevelsDOI :10.12659/MSM.937990
Med Sci Monit 2022; 28:e937990
16 May 2023 : Clinical Research 706,058
Electrophysiological Testing for an Auditory Processing Disorder and Reading Performance in 54 School Stude...DOI :10.12659/MSM.940387
Med Sci Monit 2023; 29:e940387
