Current Volume 15(10) 2009 (22)

30 Sep 2009
Intravenous ketamine and local bupivacaine infiltration are effective as part of a multimodal regime for reducing post-tonsillectomy pain
Kerem Inanoglu, B. Cagla Ozbakis Akkurt
Med Sci Monit 2009; 15(10): CR539-543 :: ID: 878216

30 Sep 2009
Intravenous ketamine and local bupivacaine infiltration are effective as part of a multimodal regime for reducing post-tonsillectomy pain
Kerem Inanoglu, B. Cagla Ozbakis Akkurt, Selim Turhanoglu, Semsettin Okuyucu, Ertap Akoglu
Med Sci Monit 2009; 15(10): CR539-543 :: ID: 878216
2,067

30 Sep 2009
Prolonged QT dispersion in children with congenital valvular aortic stenosis
Anna Piorecka-Makula, Bozena Werner
Med Sci Monit 2009; 15(10): CR534-538 :: ID: 878215

30 Sep 2009
Prolonged QT dispersion in children with congenital valvular aortic stenosis
Anna Piorecka-Makula, Bozena Werner
Med Sci Monit 2009; 15(10): CR534-538 :: ID: 878215
1,939

30 Sep 2009
Nutritional status in relation to respiratory impairment and systemic inflammation in patients with acute exacerbations of COPD
Peter Skyba, Zuzana Kluchova
Med Sci Monit 2009; 15(10): CR528-533 :: ID: 878214

30 Sep 2009
Nutritional status in relation to respiratory impairment and systemic inflammation in patients with acute exacerbations of COPD
Peter Skyba, Zuzana Kluchova, Pavol Joppa, Darina Petrasova, Ruzena Tkacova
Med Sci Monit 2009; 15(10): CR528-533 :: ID: 878214
1,963

30 Sep 2009
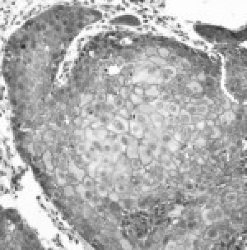
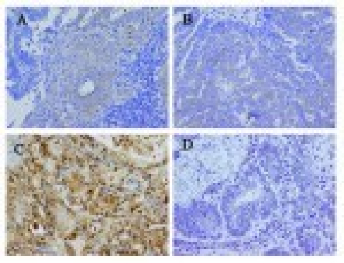
EGFR immunoexpression and peripheral blood cytokine secretion as potential biomarkers of tumor behavior in laryngeal squamous cell carcinoma
Katarzyna Starska, Ewa Glowacka
Med Sci Monit 2009; 15(10): CR518-527 :: ID: 878213

30 Sep 2009
EGFR immunoexpression and peripheral blood cytokine secretion as potential biomarkers of tumor behavior in laryngeal squamous cell carcinoma
Katarzyna Starska, Ewa Glowacka, Iwona Lewy-Trenda, Olga Stasikowska, Marek Lukomski
Med Sci Monit 2009; 15(10): CR518-527 :: ID: 878213
1,853

30 Sep 2009
Type 1 diabetes: evidence of interaction between ACP1 and ADA1 gene polymorphisms
Patrizia Saccucci, Maria Luisa Manca Bitti
Med Sci Monit 2009; 15(10): CR511-517 :: ID: 878212

30 Sep 2009
Type 1 diabetes: evidence of interaction between ACP1 and ADA1 gene polymorphisms
Patrizia Saccucci, Maria Luisa Manca Bitti, Nunzio Bottini, Novella Rapini, Simona Piccinini, Federica D’Annibale, Francesco Chiarelli, Alberto Verrotti, Egidio Bottini, Fulvia Gloria-Bottini
Med Sci Monit 2009; 15(10): CR511-517 :: ID: 878212
1,919

30 Sep 2009
Comparison of cardiac and gastric responses to vagal stimulation in hypertensive women
Piotr J. Thor, Agata Furgala
Med Sci Monit 2009; 15(10): CR504-511 :: ID: 878211

30 Sep 2009
Comparison of cardiac and gastric responses to vagal stimulation in hypertensive women
Piotr J. Thor, Agata Furgala, Marcel Mazur, Aneta Posnik-Urbanska, Wladyslawa Kolasinska-Kloch, Danuta Czarnecka, Kalina Kawecka-Jaszcz
Med Sci Monit 2009; 15(10): CR504-511 :: ID: 878211
2,176

30 Sep 2009
Effect of beta blockers on sepsis outcome
Jose Gutierrez, Amin Hossam
Med Sci Monit 2009; 15(10): CR499-503 :: ID: 878210

30 Sep 2009
Effect of beta blockers on sepsis outcome
Jose Gutierrez, Amin Hossam, Roxana Lazarezcu, El Kay, Tatjana Rundek
Med Sci Monit 2009; 15(10): CR499-503 :: ID: 878210
1,915

30 Sep 2009
Expression of mTOR protein and its clinical significance in endometrial cancer
Jae Hong No, Yong-Tark Jeon
Med Sci Monit 2009; 15(10): BR301-305 :: ID: 878209

30 Sep 2009
Expression of mTOR protein and its clinical significance in endometrial cancer
Jae Hong No, Yong-Tark Jeon, In-Ae Park, Daehee Kang, Jae Weon Kim, Noh-Hyun Park, Soon-Beom Kang, Yong-Sang Song
Med Sci Monit 2009; 15(10): BR301-305 :: ID: 878209
2,093

30 Sep 2009
Effect of replacement fluids saline, gelofusine, and blood on biochemical and hematological parameters in rats subjected to repeated blood sampling
Spela Skrajnar, Manica Cerne
Med Sci Monit 2009; 15(10): BR293-300 :: ID: 878208

30 Sep 2009
Effect of replacement fluids saline, gelofusine, and blood on biochemical and hematological parameters in rats subjected to repeated blood sampling
Spela Skrajnar, Manica Cerne, Mojca Bozic, Luka Peternel
Med Sci Monit 2009; 15(10): BR293-300 :: ID: 878208
2,013

30 Sep 2009
Monoamine oxidase and semicarbazide sensitive amine oxidase activities in normal and inflamed human dental pulp
Tatyana Vavilova, Irene Ostrovskaya
Med Sci Monit 2009; 15(10): BR289-292 :: ID: 878207

30 Sep 2009
Monoamine oxidase and semicarbazide sensitive amine oxidase activities in normal and inflamed human dental pulp
Tatyana Vavilova, Irene Ostrovskaya, Lyudmila Axenova, Olga Buneeva, Alexei Medvedev
Med Sci Monit 2009; 15(10): BR289-292 :: ID: 878207
1,728

30 Sep 2009
Identification and characterization of phage PS166 lysogens from non-O1, O139 strains of Vibrio cholerae
Siddhartha Basu, Ranajit K. Ghosh
Med Sci Monit 2009; 15(10): BR281-288 :: ID: 878206

30 Sep 2009
Identification and characterization of phage PS166 lysogens from non-O1, O139 strains of Vibrio cholerae
Siddhartha Basu, Ranajit K. Ghosh
Med Sci Monit 2009; 15(10): BR281-288 :: ID: 878206
1,612

30 Sep 2009
Comparison of lung volume measurements by multiple-breath heptafluoropropane washout and computed tomography in small ventilated piglets
Hans Proquitté, Thomas Elgeti
Med Sci Monit 2009; 15(10): BR275-280 :: ID: 878205

30 Sep 2009
Comparison of lung volume measurements by multiple-breath heptafluoropropane washout and computed tomography in small ventilated piglets
Hans Proquitté, Thomas Elgeti, Charles Christoph Roehr, Patrik Rogalla, Roland R. Wauer, Gerd Schmalisch
Med Sci Monit 2009; 15(10): BR275-280 :: ID: 878205
1,686

30 Sep 2009
Oxidative stress and ischemic myocardial syndromes
Mithilesh K Misra, Maryam Sarwat
Med Sci Monit 2009; 15(10): RA209-219 :: ID: 878204

30 Sep 2009
Oxidative stress and ischemic myocardial syndromes
Mithilesh K Misra, Maryam Sarwat, Pushpa Bhakuni, Renu Tuteja, Narendra Tuteja
Med Sci Monit 2009; 15(10): RA209-219 :: ID: 878204
2,706

30 Sep 2009
Circadian changes in the hemostatic system in healthy men and patients with cardiovascular diseases
Piotr Chrusciel, Aleksander Goch
DOI: 10.12659/MSM.878203
Med Sci Monit 2009; 15(10): 203-208

30 Sep 2009
Circadian changes in the hemostatic system in healthy men and patients with cardiovascular diseases
Piotr Chrusciel, Aleksander Goch, Maciej Banach, Dimitri P. Mikhailidis, Jacek Rysz, Jan Henryk Goch
DOI: 10.12659/MSM.878203
Med Sci Monit 2009; 15(10): 203-208
2,157

30 Sep 2009
Management of right ventricular myxoma diagnosed at full-term pregnancy
Radomir Sindjelic, Gordana Vlajkovic
Med Sci Monit 2009; 15(10): CS158-161 :: ID: 878202

30 Sep 2009
Management of right ventricular myxoma diagnosed at full-term pregnancy
Radomir Sindjelic, Gordana Vlajkovic, Petar Djukic
Med Sci Monit 2009; 15(10): CS158-161 :: ID: 878202
1,947

30 Sep 2009
Tumor embolus due to uterine cancer
Lukasz S Dzieciuchowicz, Maciej Slowinski
Med Sci Monit 2009; 15(10): CS155-157 :: ID: 878201

30 Sep 2009
Tumor embolus due to uterine cancer
Lukasz S Dzieciuchowicz, Maciej Slowinski, Jacek J Brzezinski, Witold Kycler
Med Sci Monit 2009; 15(10): CS155-157 :: ID: 878201
1,661

30 Sep 2009
Gastrointestinal tuberculosis as a cause of massive bleeding
Med Sci Monit 2009; 15(10): CS151-154 :: ID: 878200

30 Sep 2009
Gastrointestinal tuberculosis as a cause of massive bleeding
Med Sci Monit 2009; 15(10): CS151-154 :: ID: 878200
1,859

30 Sep 2009
Intra-operative assessment of human pulmonary alveoli in vivo using Sidestream Dark Field imaging: a feasibility study
Corstiaan den Uil, Rick Bezemer
Med Sci Monit 2009; 15(10): MT137-141 :: ID: 878199

30 Sep 2009
Intra-operative assessment of human pulmonary alveoli in vivo using Sidestream Dark Field imaging: a feasibility study
Corstiaan den Uil, Rick Bezemer, Dinis R. Miranda, Can Ince, Wim K. Lagrand, Michael Hartman, Ad J. Bogers, Peter E. Spronk, Maarten L. Simoons
Med Sci Monit 2009; 15(10): MT137-141 :: ID: 878199
1,604

30 Sep 2009
Prognostic value of negative dobutamine-stress cardiac magnetic resonance imaging
Sebastian Kelle, Christina Egnell
Med Sci Monit 2009; 15(10): MT131-136 :: ID: 878198

30 Sep 2009
Prognostic value of negative dobutamine-stress cardiac magnetic resonance imaging
Sebastian Kelle, Christina Egnell, Juliane Vierecke, Amedeo Chiribiri, Susanne Vogel, Eckart Fleck, Eike Nagel
Med Sci Monit 2009; 15(10): MT131-136 :: ID: 878198
1,763

30 Sep 2009
Prognostic value of clinical, laboratory, and morphological factors in patients with primary focal segmental glomerulosclerosis - distribution of pathological variants in the Croatian population
Jadranka Vlasić-Matas, Merica Glavina Durdov
Med Sci Monit 2009; 15(10): PH121-128 :: ID: 878197

30 Sep 2009
Prognostic value of clinical, laboratory, and morphological factors in patients with primary focal segmental glomerulosclerosis - distribution of pathological variants in the Croatian population
Jadranka Vlasić-Matas, Merica Glavina Durdov, Vesna Capkun, Kresimir Galesić
Med Sci Monit 2009; 15(10): PH121-128 :: ID: 878197
1,834

30 Sep 2009
Knowledge of Vibrio vulnificus infection among Japanese patients with liver diseases: a prospective multicenter study
Yumiko Nagao, Hisako Matsuoka
Med Sci Monit 2009; 15(10): PH115-120 :: ID: 878196

30 Sep 2009
Knowledge of Vibrio vulnificus infection among Japanese patients with liver diseases: a prospective multicenter study
Yumiko Nagao, Hisako Matsuoka, Masataka Seike, Kazumi Yamasaki, Junji Kato, Takeyuki Nakajima, Yutaka Miyazaki, Tomoyoshi Ohno, Sadataka Inuzuka, Hiromasa Ohira, Osamu Yokosuka, Hiroshi Yatsuhashi, Tetsu Mori, Koichi Honda, Takumi Kawaguchi, Tatsuya Ide, Michio Sata
Med Sci Monit 2009; 15(10): PH115-120 :: ID: 878196
1,601

30 Sep 2009
Pharmacokinetics and pharmacodynamics of propofol during propofol-alfentanil and propofol-remifentanil total intravenous anaesthesia monitored by spectral frequency index
Agnieszka Bienert, Zbigniew Zaba
Med Sci Monit 2009; 15(10): PI47-53 :: ID: 878195

30 Sep 2009
Pharmacokinetics and pharmacodynamics of propofol during propofol-alfentanil and propofol-remifentanil total intravenous anaesthesia monitored by spectral frequency index
Agnieszka Bienert, Zbigniew Zaba, Edmund Grzeskowiak, Krzysztof Kusza, Tomasz Grabowski
Med Sci Monit 2009; 15(10): PI47-53 :: ID: 878195
1,940
Editorial
01 November 2025 : Editorial
Editorial: Hypertrophic Cardiomyopathy and Precision Medicine in Cardiovascular DiseaseDOI: 10.12659/MSM.951868
Med Sci Monit 2025; 31:e951868
In Press
Review article
Association of Childhood Asthma with the Concept of Exposomics: A Short ReviewMed Sci Monit In Press; DOI: 10.12659/MSM.949589
Clinical Research
Association of Hyperuricemia with Cardiovascular Risk Factors and Cardiac Structural Changes in Patients Un...Med Sci Monit In Press; DOI: 10.12659/MSM.949422
Clinical Research
Predictive Value of IBI for In-Hospital Death in Elderly Patients with Non-ST-Segment Elevation Myocardial ...Med Sci Monit In Press; DOI: 10.12659/MSM.950592
Clinical Research
Short-Segment Bone Cement–Augmented Pedicle Screw Fixation Combined With Bone Grafting for Management of Ku...Med Sci Monit In Press; DOI: 10.12659/MSM.949901
Most Viewed Current Articles
17 Jan 2024 : Review article 10,154,901
Vaccination Guidelines for Pregnant Women: Addressing COVID-19 and the Omicron VariantDOI :10.12659/MSM.942799
Med Sci Monit 2024; 30:e942799
13 Nov 2021 : Clinical Research 3,690,259
Acceptance of COVID-19 Vaccination and Its Associated Factors Among Cancer Patients Attending the Oncology ...DOI :10.12659/MSM.932788
Med Sci Monit 2021; 27:e932788
14 Dec 2022 : Clinical Research 2,334,173
Prevalence and Variability of Allergen-Specific Immunoglobulin E in Patients with Elevated Tryptase LevelsDOI :10.12659/MSM.937990
Med Sci Monit 2022; 28:e937990
16 May 2023 : Clinical Research 705,709
Electrophysiological Testing for an Auditory Processing Disorder and Reading Performance in 54 School Stude...DOI :10.12659/MSM.940387
Med Sci Monit 2023; 29:e940387
