Current Volume 15(8) 2009 (25)

01 Aug 2009
Prognostic value of immunohistochemistry in the Ewing's sarcoma family of tumors
Rajko Kavalar, Živa Pohar Marinšek
Med Sci Monit 2009; 15(8): CR442-452 :: ID: 878145

01 Aug 2009
Prognostic value of immunohistochemistry in the Ewing's sarcoma family of tumors
Rajko Kavalar, Živa Pohar Marinšek, Berta Jereb, Branka Čagran, Rastko Golouh
Med Sci Monit 2009; 15(8): CR442-452 :: ID: 878145
1,824

01 Aug 2009
Age related decline of microvascular regulation measured in healthy individuals by retinal dynamic vessel analysis
Matthias Kneser, Thomas Kohlmann
Med Sci Monit 2009; 15(8): CR436-441 :: ID: 878144

01 Aug 2009
Age related decline of microvascular regulation measured in healthy individuals by retinal dynamic vessel analysis
Matthias Kneser, Thomas Kohlmann, Jens Pokorny, Frank Tost
Med Sci Monit 2009; 15(8): CR436-441 :: ID: 878144
1,863

01 Aug 2009
Esophageal pressure method and impulse oscillometry to assess mechanical properties of the respiratory system in healthy men
Wolfgang Galetke, Winfried J. Randerath
Med Sci Monit 2009; 15(8): CR429-435 :: ID: 878143

01 Aug 2009
Esophageal pressure method and impulse oscillometry to assess mechanical properties of the respiratory system in healthy men
Wolfgang Galetke, Winfried J. Randerath, Christine Feier, Thomas Muth, Elisabeth Borsch-Galetke
Med Sci Monit 2009; 15(8): CR429-435 :: ID: 878143
1,619

01 Aug 2009
Physical activities among other types of health-related behaviour in people losing weight
Mariusz Lipowski, Leszek Bulinski
Med Sci Monit 2009; 15(8): CR423-428 :: ID: 878142

01 Aug 2009
Physical activities among other types of health-related behaviour in people losing weight
Mariusz Lipowski, Leszek Bulinski, Marcin Krawczynski
Med Sci Monit 2009; 15(8): CR423-428 :: ID: 878142
1,876

01 Aug 2009
Performance of manual hyperinflation: a skills lab study among trained intensive care unit nurses
Frederique Paulus, Jan M. Binnekade
Med Sci Monit 2009; 15(8): CR418-422 :: ID: 878141

01 Aug 2009
Performance of manual hyperinflation: a skills lab study among trained intensive care unit nurses
Frederique Paulus, Jan M. Binnekade, Pauline Middelhoek, Margreeth B. Vroom, Marcus J. Schultz
Med Sci Monit 2009; 15(8): CR418-422 :: ID: 878141
1,818

01 Aug 2009
Catabolism of salivary glycoconjugates in acute ethanol intoxication
Napoleon Waszkiewicz, Sławomir D Szajda
Med Sci Monit 2009; 15(8): CR413-417 :: ID: 878140

01 Aug 2009
Catabolism of salivary glycoconjugates in acute ethanol intoxication
Napoleon Waszkiewicz, Sławomir D Szajda, Anna Jankowska, Magdalena Waszkiewicz, Alina Kepka, Beata Konarzewska, Agata Szulc, Jadwiga Snarska, Krzysztof Zwierz
Med Sci Monit 2009; 15(8): CR413-417 :: ID: 878140
1,737

01 Aug 2009
Down's syndrome and the pattern of congenital heart disease in a community with high parental consanguinity
Abdullah Salem Al-Jarallah,
Med Sci Monit 2009; 15(8): CR409-412 :: ID: 878139

01 Aug 2009
Down's syndrome and the pattern of congenital heart disease in a community with high parental consanguinity
Abdullah Salem Al-Jarallah
Med Sci Monit 2009; 15(8): CR409-412 :: ID: 878139
2,362

01 Aug 2009
New clinical insights for transiently evoked otoacoustic emission protocols
Stavros Hatzopoulos, Antoni Grzanka
Med Sci Monit 2009; 15(8): CR403-408 :: ID: 878138

01 Aug 2009
New clinical insights for transiently evoked otoacoustic emission protocols
Stavros Hatzopoulos, Antoni Grzanka, Alessandro Martini, Wieslaw Konopka
Med Sci Monit 2009; 15(8): CR403-408 :: ID: 878138
1,656

01 Aug 2009
Ultrasonographic assessment of the prevalence of cholelithiasis and biliary sludge in beta-thalassemia patients in Iran
Mehrzad Lotfi, Pegah Keramati
Med Sci Monit 2009; 15(8): CR398-402 :: ID: 878137

01 Aug 2009
Ultrasonographic assessment of the prevalence of cholelithiasis and biliary sludge in beta-thalassemia patients in Iran
Mehrzad Lotfi, Pegah Keramati, Reza Assdsangabi, Seyed Ali Nabavizadeh, Mehran Karimi
Med Sci Monit 2009; 15(8): CR398-402 :: ID: 878137
1,801

01 Aug 2009
Relationship between haplotypes of KCNN4 gene and susceptibility to human vascular diseases in Japanese
Mai Yamaguchi, Tomohiro Nakayama
Med Sci Monit 2009; 15(8): CR389-397 :: ID: 878136

01 Aug 2009
Relationship between haplotypes of KCNN4 gene and susceptibility to human vascular diseases in Japanese
Mai Yamaguchi, Tomohiro Nakayama, Zhenyan Fu, Takahiro Naganuma, Naoyuki Sato, Masayoshi Soma, Nobutaka Doba, Shigeaki Hinohara, Akihiko Morita, Tomohiko Mizutani
Med Sci Monit 2009; 15(8): CR389-397 :: ID: 878136
1,936

01 Aug 2009
Coronary flow velocity reserve in patients with ischemic stroke
Makoto Nakajima, Hideki Doi
Med Sci Monit 2009; 15(8): CR383-388 :: ID: 878135

01 Aug 2009
Coronary flow velocity reserve in patients with ischemic stroke
Makoto Nakajima, Hideki Doi, Teruyuki Hirano, Makoto Uchino
Med Sci Monit 2009; 15(8): CR383-388 :: ID: 878135
1,738

01 Aug 2009
Polymorphisms in the vitamin D receptor gene and risk of lung cancer
Med Sci Monit 2009; 15(8): BR232-242 :: ID: 878134

01 Aug 2009
Polymorphisms in the vitamin D receptor gene and risk of lung cancer
Med Sci Monit 2009; 15(8): BR232-242 :: ID: 878134
1,993

01 Aug 2009
Antiproliferative effects of preservative-free triamcinolone acetonide on cultured human retinal pigment epithelial cells
Radosław Kaczmarek, Peter Szurman
Med Sci Monit 2009; 15(8): BR227-231 :: ID: 878133

01 Aug 2009
Antiproliferative effects of preservative-free triamcinolone acetonide on cultured human retinal pigment epithelial cells
Radosław Kaczmarek, Peter Szurman, Marta Misiuk-Hojło, Andrzej Grzybowski
Med Sci Monit 2009; 15(8): BR227-231 :: ID: 878133
1,822

01 Aug 2009
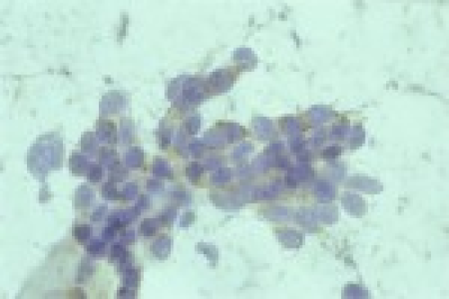
Focal adhesion kinase (FAK) immunocytochemical expression in breast ductal invasive carcinoma (DIC): correlation with clinicopathological parameters and tumor proliferative capacity
Stamatios E Theocharis, Jerzy T Klijanienko
Med Sci Monit 2009; 15(8): BR221-226 :: ID: 878132

01 Aug 2009
Focal adhesion kinase (FAK) immunocytochemical expression in breast ductal invasive carcinoma (DIC): correlation with clinicopathological parameters and tumor proliferative capacity
Stamatios E Theocharis, Jerzy T Klijanienko, Elianne Padoy, Stavros Athanassiou, Xavier X Sastre-Garau
Med Sci Monit 2009; 15(8): BR221-226 :: ID: 878132
1,755

01 Aug 2009
Combining "open-lung" ventilation and arteriovenous extracorporeal lung assist: influence of different tidal volumes on gas exchange in experimental lung failure
Ralf M Muellenbach, Markus Kredel
Med Sci Monit 2009; 15(8): BR213-220 :: ID: 878131

01 Aug 2009
Combining "open-lung" ventilation and arteriovenous extracorporeal lung assist: influence of different tidal volumes on gas exchange in experimental lung failure
Ralf M Muellenbach, Markus Kredel, Julian Kuestermann, Michael Klingelhoefer, Frank Schuster, Christian Wunder, Peter Kranke, Norbert Roewer, Joerg Brederlau
Med Sci Monit 2009; 15(8): BR213-220 :: ID: 878131
1,683

01 Aug 2009
Permissive hypercapnia, instituted via reduction of pressure amplitude on pulmonary tissue protection during high frequency oscillatory ventilation, is not protective in a rat model of acid-induced lung injury
Yasuki Fujita, Akinori Uchiyama
Med Sci Monit 2009; 15(8): BR207-212 :: ID: 878130

01 Aug 2009
Permissive hypercapnia, instituted via reduction of pressure amplitude on pulmonary tissue protection during high frequency oscillatory ventilation, is not protective in a rat model of acid-induced lung injury
Yasuki Fujita, Akinori Uchiyama, Takashi Mashimo, Masaji Nishimura, Yuji Fujino
Med Sci Monit 2009; 15(8): BR207-212 :: ID: 878130
1,717

01 Aug 2009
Autoinflammatory syndromes behind the scenes of recurrent fevers in children
Donato Rigante,
Med Sci Monit 2009; 15(8): RA179-187 :: ID: 878129

01 Aug 2009
Autoinflammatory syndromes behind the scenes of recurrent fevers in children
Donato Rigante
Med Sci Monit 2009; 15(8): RA179-187 :: ID: 878129
2,415

01 Aug 2009
Genetic disorders and periodontal health: a literature review
Giuseppe Pizzo, Daniela Lo Re
Med Sci Monit 2009; 15(8): RA167-178 :: ID: 878128

01 Aug 2009
Genetic disorders and periodontal health: a literature review
Giuseppe Pizzo, Daniela Lo Re, Maria Ruth Piscopo, Ignazio Pizzo, Giovanna Giuliana
Med Sci Monit 2009; 15(8): RA167-178 :: ID: 878128
2,007

01 Aug 2009
Orbital tumor as an initial manifestation of Wegener's granulomatosis in children: a series of four cases
Barbara Chipczynska, Miroslawa Gralek
Med Sci Monit 2009; 15(8): CS135-138 :: ID: 878127

01 Aug 2009
Orbital tumor as an initial manifestation of Wegener's granulomatosis in children: a series of four cases
Barbara Chipczynska, Miroslawa Gralek, Wojciech Hautz, Maria Zegadlo-Mylik, Beata Kocyla-Karczmarewicz, Krystyna Kanigowska, Malgorzata Seroczynska, Beata Kepa, Dorota Klimczak-Slaczka
Med Sci Monit 2009; 15(8): CS135-138 :: ID: 878127
1,745

01 Aug 2009
Nephrotic-range proteinuria with small glomerular fibrillary deposits in a patient on diphenylhydantoin treatment
Ahmet Alper Kiykim, Gultekin Genctoy
Med Sci Monit 2009; 15(8): CS132-134 :: ID: 878126

01 Aug 2009
Nephrotic-range proteinuria with small glomerular fibrillary deposits in a patient on diphenylhydantoin treatment
Ahmet Alper Kiykim, Gultekin Genctoy, Mehmet Horoz, Sibel Sari, Ebru Gok, Banu Coskun, Nejat Yilmaz, Iclal Gurses
Med Sci Monit 2009; 15(8): CS132-134 :: ID: 878126
1,653

01 Aug 2009
Catatonia recognition and treatment
Olivier Cottencin, Thierry Danel
Med Sci Monit 2009; 15(8): CS129-131 :: ID: 878125

01 Aug 2009
Catatonia recognition and treatment
Olivier Cottencin, Thierry Danel, Michel Goudemand, Pierre Thomas, Silla M. Consoli
Med Sci Monit 2009; 15(8): CS129-131 :: ID: 878125
1,677

01 Aug 2009
Risk-tendency graph (RTG): a new gait-analysis technique for monitoring FES-assisted paraplegic walking stability
Dong Ming, Yong Hu
Med Sci Monit 2009; 15(8): MT105-112 :: ID: 878124

01 Aug 2009
Risk-tendency graph (RTG): a new gait-analysis technique for monitoring FES-assisted paraplegic walking stability
Dong Ming, Yong Hu, Yatwa Wong, Baikun Wan, Keith D.K. Luk, John C.Y . Leong
Med Sci Monit 2009; 15(8): MT105-112 :: ID: 878124
1,679

01 Aug 2009
Psychological distress in Brazilian Crohn's disease patients: screening, prevalence, and risk factors
Maria Tereza Brandi, Mário Sergio Ribeiro
Med Sci Monit 2009; 15(8): PH101-108 :: ID: 878123

01 Aug 2009
Psychological distress in Brazilian Crohn's disease patients: screening, prevalence, and risk factors
Maria Tereza Brandi, Mário Sergio Ribeiro, Liliana Andrade Chebli, Márcio Bousada Franco, André Luiz Pinto, Pedro Duarte Gaburri, Alexandre Zanini, Julio Maria Chebli
Med Sci Monit 2009; 15(8): PH101-108 :: ID: 878123
1,701

01 Aug 2009
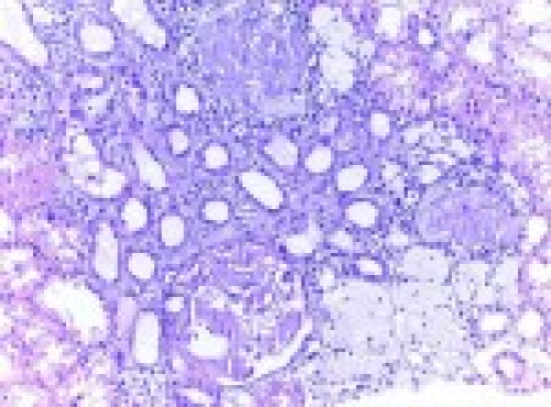
Doppler sonography measurements of renal vascular resistance in autosomal-dominant polycystic kidney disease
Marcin Sawicki, Anna Walecka
Med Sci Monit 2009; 15(8): MT101-104 :: ID: 878122

01 Aug 2009
Doppler sonography measurements of renal vascular resistance in autosomal-dominant polycystic kidney disease
Marcin Sawicki, Anna Walecka, Jacek Rozanski, Krzysztof Safranow, Kazimierz Ciechanowski
Med Sci Monit 2009; 15(8): MT101-104 :: ID: 878122
1,744

01 Aug 2009
Implementation of a Virtual Laryngoscope System Using Efficient Reconstruction Algorithms
Shouhua Luo, Yuling Yan
Med Sci Monit 2009; 15(8): MT95-100 :: ID: 878121

01 Aug 2009
Implementation of a Virtual Laryngoscope System Using Efficient Reconstruction Algorithms
Shouhua Luo, Yuling Yan
Med Sci Monit 2009; 15(8): MT95-100 :: ID: 878121
1,753
Editorial
01 November 2025 : Editorial
Editorial: Hypertrophic Cardiomyopathy and Precision Medicine in Cardiovascular DiseaseDOI: 10.12659/MSM.951868
Med Sci Monit 2025; 31:e951868
In Press
Review article
Association of Childhood Asthma with the Concept of Exposomics: A Short ReviewMed Sci Monit In Press; DOI: 10.12659/MSM.949589
Clinical Research
Association of Hyperuricemia with Cardiovascular Risk Factors and Cardiac Structural Changes in Patients Un...Med Sci Monit In Press; DOI: 10.12659/MSM.949422
Clinical Research
Predictive Value of IBI for In-Hospital Death in Elderly Patients with Non-ST-Segment Elevation Myocardial ...Med Sci Monit In Press; DOI: 10.12659/MSM.950592
Clinical Research
Short-Segment Bone Cement–Augmented Pedicle Screw Fixation Combined With Bone Grafting for Management of Ku...Med Sci Monit In Press; DOI: 10.12659/MSM.949901
Most Viewed Current Articles
17 Jan 2024 : Review article 10,154,901
Vaccination Guidelines for Pregnant Women: Addressing COVID-19 and the Omicron VariantDOI :10.12659/MSM.942799
Med Sci Monit 2024; 30:e942799
13 Nov 2021 : Clinical Research 3,690,259
Acceptance of COVID-19 Vaccination and Its Associated Factors Among Cancer Patients Attending the Oncology ...DOI :10.12659/MSM.932788
Med Sci Monit 2021; 27:e932788
14 Dec 2022 : Clinical Research 2,334,173
Prevalence and Variability of Allergen-Specific Immunoglobulin E in Patients with Elevated Tryptase LevelsDOI :10.12659/MSM.937990
Med Sci Monit 2022; 28:e937990
16 May 2023 : Clinical Research 705,709
Electrophysiological Testing for an Auditory Processing Disorder and Reading Performance in 54 School Stude...DOI :10.12659/MSM.940387
Med Sci Monit 2023; 29:e940387
